How can a bone scan be used to monitor arthritis activity?
Can show increased vascularity around joints which accompanies synovitis
What is an avulsion fracture?
Avulsion of soft tissue fragments cause fracture of the bone
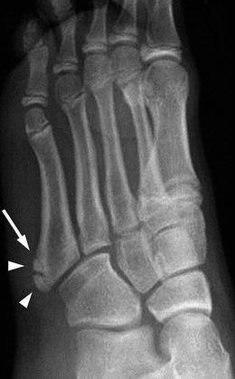
How could you tell the difference between a 5th MT base fracture in an adolescent and the normal anatomical accessory ossification centre?
Ossification centre is longitudinal, 5th MT base fractures are transverse
Arrow = normal apophysis, arrowheads are other ossification centres

What is bone sclerosis?
Increased bone density
What is an impacted fracture?
Axial force through the bone impacts the two bone ends together, so the bone appears sclerotic

What does cortical involvement indicate when imaging a potential bone tumour?
Aggressive tumour and surgery should be considered before the tumour causes a pathological fracture
What causes the loss of joint space in osteoarthritis?
Aymmetric cartilage wear leads to asymmetric joint space reduction
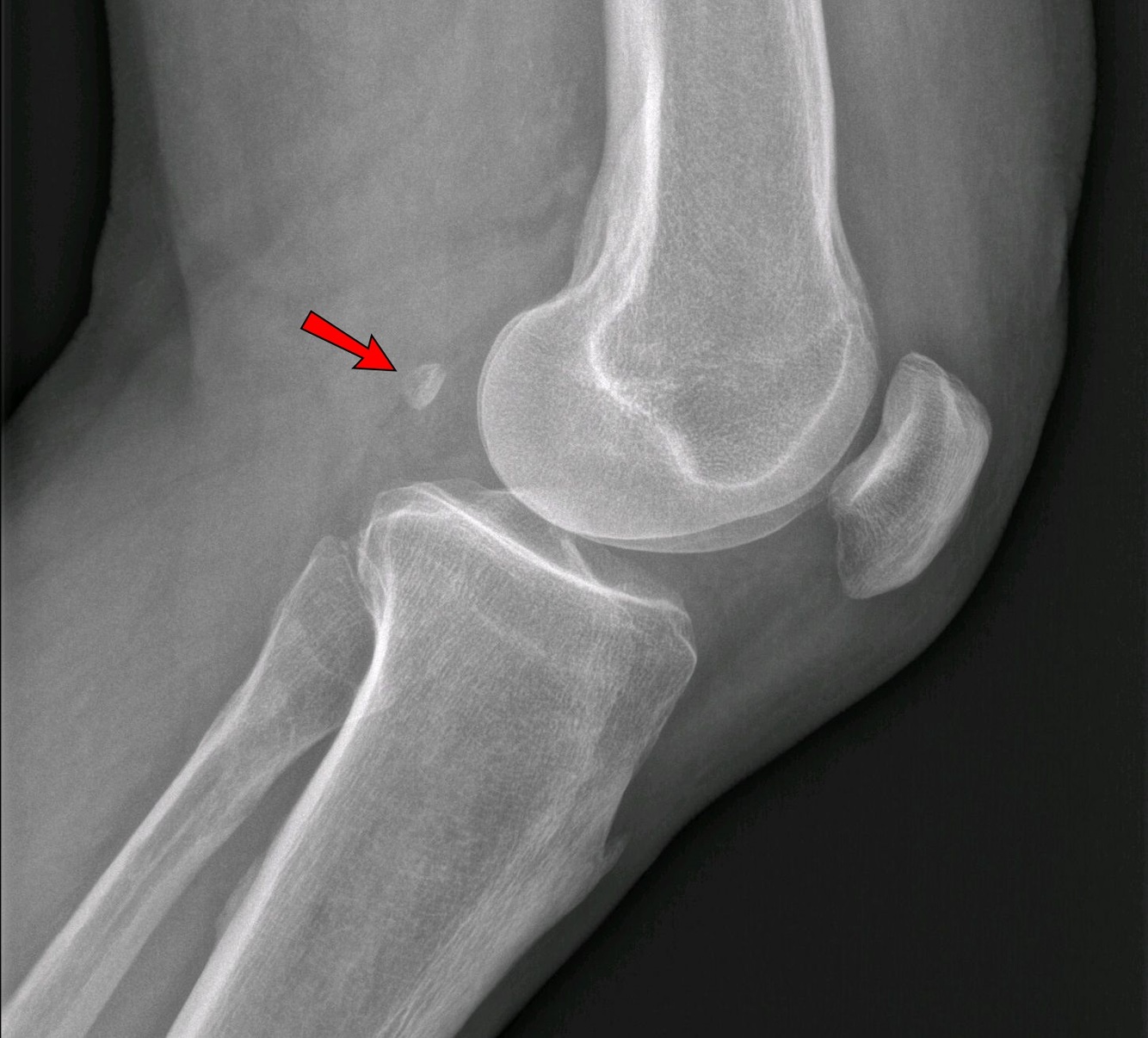
What is the fabella?
Sesamoid within the lateral head of gastrocnemius, often visible posterior to the distal femur

What does Codman triangle indicate when imaging a potential bone tumour?
Periosteal reaction which suggests a more slow-growing tumour

Which joints are commonly affected in Reiter’s syndrome?
Scattered large lower limb joints, lower limb entheses
What is the mechanism of injury in a spiral fracture?
Occur due to torsional (twisting) forces

What causes subchondral cysts in osteoarthritis?
Synovial fluid dissects into bone, forming cysts
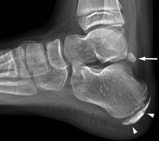
What might be mistaken for a fracture of the posterior calcaneus in a child?
Fragmented accessory ossification centre

How can US be used to monitor arthritis activity?
Colour Doppler US can show thickening of synovium and increased blood flow within it
Name the x-ray views used to image the cervical spine
AP, lateral, odontiod peg (mouth open)
What is the mechanism of injury in a comminuted fracture?
Generally a reflection of a higher energy injury (or poor bone quality)
What is the mechanism of injury in an oblique fracture?
Occur with a shearing force

What causes osteopenia in rheumatoid arthritis?
Hyperaemia causes bone demineralisation resulting in periarticular osteoporosis
What is a segmental fracture?
Very unstable fracture that occurs when the bone is fractured in two separate places

What are technetium bone scans useful for in imaging trauma?
Can be useful to detect stress fractures (e.g. hip, femur, tibia, fibula, 2nd metatarsal) as these may fail to show up on x-ray until hard callus begins to appear
If a bony ring e.g. pelvis is injured, what should you be looking for on x-ray?
Two or more disruptions (fractures/dislocations)
What is the best modality for imaging sciatica?
MRI - shows all disc prolapses, and even the preceeding disc dehydration
What causes subchondral sclerosis in osteoarthritis?
Increase in subchondral bone vascularity and cellularity drives new bone formation, leading to sclerosis of subchondral bone
What is the mechanism of injury in a transverse fracture?
Occur with pure bending force where the cortex on one side fails in compression and the cortex on the other side in tension
