OTO-Logic Flashcards

(18 cards)

1
Q

Aspirin-desensitization therapy has been shown to increase the ___ between revision surgery, or in some patients, to prevent ___ recurrence.

A

Aspirin-desensitization therapy has been shown to increase the Time Interval between revision surgery, or in some patients, to prevent Polyp recurrence.

How well did you know this?
1
Not at all
2
3
4
5
Perfectly
2
Q

Aspirin-desensitization therapy should ideally be started ____ weeks after sinus surgery.

A

3-4 weeks after sinus surgery.

How well did you know this?
1
Not at all
2
3
4
5
Perfectly
3
Q

Continued ___ dosing is required to maintain desensitization following Aspirin-desensitization therapy.

A

Daily dosing

How well did you know this?
1
Not at all
2
3
4
5
Perfectly
4
Q

In patients with olfactory loss w/out visible evidence of sinonasal inflammation on endoscopy, what is appropriate counseling regarding therapeutic options?

“The addition of ___ ___ to olfactory training has shown improved recovery of olfaction compared to saline irrigation alone.”

A

The addition of Budesonide Irrigations to olfactory training has shown improved recovery of olfaction compared to saline irrigation alone.

How well did you know this?
1
Not at all
2
3
4
5
Perfectly
5
Q

___ and ___ is associated with a lower degree of improvement in SNOT-22 scores following ESS.

A

Tobacco use and Increased length of f/u.

How well did you know this?
1
Not at all
2
3
4
5
Perfectly
6
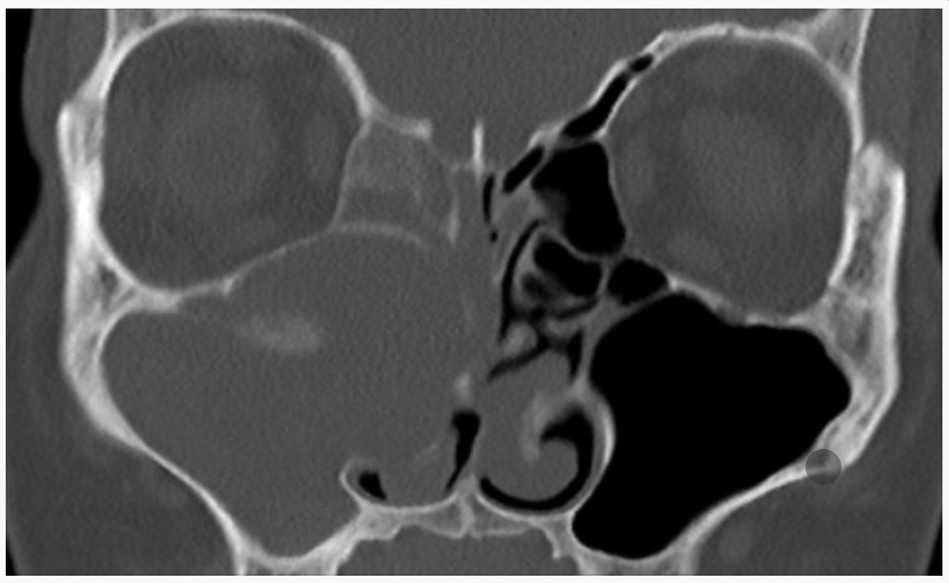
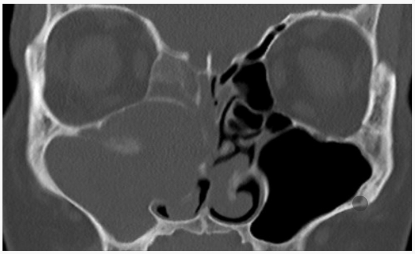
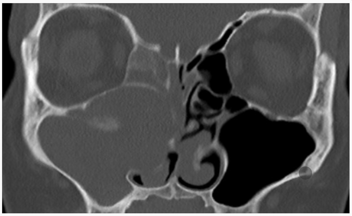
Q

A 28-year-old man from Sudan presents with nasal obstruction secondary to a 9 year history of painless nasal mass (CT shown below). Biopsy of the left nasal mass shows histiocytes with “foamy, moth-eaten” cytoplasm with epithelioid cells. Silver stain showed intracellular bacilli. What is the most likely diagnosis?

A

Rhinoscleroma.

(Rhinoscleroma is caused by infection with Klebsiella rhinoscleromatis. Sporadic cases have been reported in the United States, but the disease is endemic in Central and South America, Africa, the Middle East, and parts of Asia. Disease progression moves through exudative, granulomatous, and sclerotic phases. The pathologic appearance described here is characteristic of the granulomatous phase.)

How well did you know this?
1
Not at all
2
3
4
5
Perfectly
7
Q

What is the most common side effect of Dupixent (Dupilumab) experienced by patients on this medication?

A
  1. Nasopharyngitis/worsening or persistence of nasal polyps
  2. Worsening Asthma
  3. Injection site erythema

(In order of prevalence)

How well did you know this?
1
Not at all
2
3
4
5
Perfectly
8
Q

Dupixent is an anti ___ monoclonal antibody (mAb) that inhibits the production of IL-4 and IL-13.

A

Dupixent is an anti IL-4R(alpha) monoclonal antibody (mAb) that inhibits the production of IL-4 and IL-13.

How well did you know this?
1
Not at all
2
3
4
5
Perfectly
9
Q

Dupixent is an anti IL-4R(alpha) monoclonal antibody (mAb) that inhibits the production of ___ and ___.

A

Dupixent is an anti IL-4R(alpha) monoclonal antibody (mAb) that inhibits the production of IL-4 and IL-13.

How well did you know this?
1
Not at all
2
3
4
5
Perfectly
10
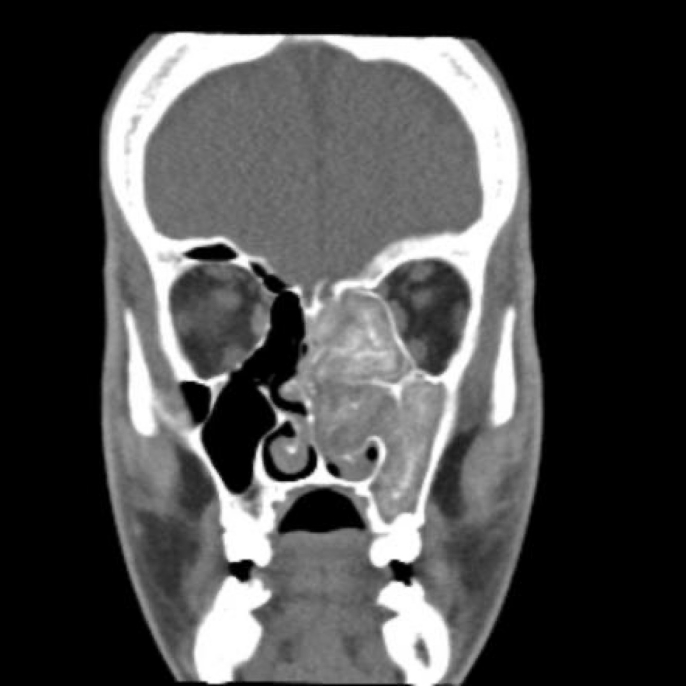
Q

A 69-year-old female presents with nasal obstruction, facial pressure and discolored nasal drainage for 4 months that is recalcitrant to topical steroid sprays, nasal irrigations, and oral antibiotics.

Diagnosis?

A

Inverted papilloma with a bony stalk attaching near the infraorbital nerve

How well did you know this?
1
Not at all
2
3
4
5
Perfectly
11
Q

A 69-year-old female presents with nasal obstruction, facial pressure and discolored nasal drainage for 4 months that is recalcitrant to topical steroid sprays, nasal irrigations, and oral antibiotics.

What next step would assist in diagnosis?

A

A biopsy is warranted to confirm the diagnosis, w/use of a bioendoscopy filter.

How well did you know this?
1
Not at all
2
3
4
5
Perfectly
12
Q

CT of paranasal sinuses reveals erosion or expansion into
lateral nasal wall or extension into maxillary or ethmoid sinuses, and may reveal calcifications.

Diagnosis?

A

Inverted Papilloma.

How well did you know this?
1
Not at all
2
3
4
5
Perfectly
13
Q

CT/CTA/MRI/MRA of paranasal sinuses, shows a mass with extension into the pterygomaxillary fissure.

Dx?

A

JNA

How well did you know this?
1
Not at all
2
3
4
5
Perfectly
14
Q

“Double density sign” on CT sinus scan

A

Fungal sinusitis.

How well did you know this?
1
Not at all
2
3
4
5
Perfectly
15
Q

“Signal dropout of T2-weighted MRI” on CT sinus scan

A

Fungal sinusitis.

How well did you know this?
1
Not at all
2
3
4
5
Perfectly
16
Q

Is there a difference in surgical outcomes between obese and non-obese patients?

A

No.

(a NSQIP database study of patients undergoing endoscopic sinus surgery experienced less perioperative complications despite a higher BMI, ASA class and hypertension requiring medications)

17
Q

Olfactory training has been demonstrated to improve sensitivity to odors and increase overall olfactory function, by repeated exposure to odors.

Which intense odors over 12-week exposure yield optimal results?

A

Rose, Eucalyptus, Lemon, Clove.

18
Q

Inhaled corticosteroids DOWNregulate which inflammatory mediators associated w/severe COVID19:

___, ___, and ___.

A

IL-6, IL-1 beta, and TNF-alpha.