Ovaries Flashcards

(73 cards)

1
Q

the condition seen in the image is due to ____ during the ___ phase

A

the condition seen in the image is due to increased estrogen during the follicular phase

How well did you know this?
1
Not at all
2
3
4
5
Perfectly
2
Q

chocolate cysts of the ovary is caused by ___ (repeated ___) which induces ____

A

chocolate cysts of the ovary is caused by endometriosis (repeated cyclical hemorrhage) which induces fibrosis, adhesions, severe pain

How well did you know this?
1
Not at all
2
3
4
5
Perfectly
3
Q

the morphology of chocolate cysts is normal ____ amidst stroma with ____

A

the morphology of chocolate cysts is normal endometrial glands amidst stroma with hemorrhages (hemosiderin-laden macrophages)

How well did you know this?
1
Not at all
2
3
4
5
Perfectly
4
Q

chocolate cysts of the ovary may extend along ___ and is associated with ___ (due to __ scars)

A

chocolate cysts of the ovary may extend along pelvic ligaments and is associated with infertility (due to tubal scars)

How well did you know this?
1
Not at all
2
3
4
5
Perfectly
5
Q

“normal endometrial glands amidst stroma with hemorrhages (hemosiderin-laden macrophages”

what is a complication of this condition?

A

infertility

How well did you know this?
1
Not at all
2
3
4
5
Perfectly
6
Q

in PCOD, ___ levels are high while ___ levels are low

A

in PCOD, LH levels are high while FSH levels are low

How well did you know this?
1
Not at all
2
3
4
5
Perfectly
7
Q

describe the pathogenesis of PCOD

A
  • theca cells make androgen → androgen converted to estrogen in adipose tissue (aromatization mediated by aromatase) → increased estrogen → negative feedback on AP → decreased FSH
How well did you know this?
1
Not at all
2
3
4
5
Perfectly
8
Q

describe the presentation of PCOD

A
  • virilization
  • hirsutism
  • not ovulating (b/c need LH surge, not a constant elevation as seen in this disease)
    • infertility
  • amenorrhea, oligomenorrhea
    • infertility
  • obesity
    • peripheral insulin resistance → T2D
How well did you know this?
1
Not at all
2
3
4
5
Perfectly
9
Q

list the complications of PCOD

A
  • diabetes (due to insulin resistance)
  • infertility
  • increased estrogen → fibrocystic change in breast and endometrial hyperplasia/carcinoma
  • fibroadenoma/leiomyoma grow bigger
How well did you know this?
1
Not at all
2
3
4
5
Perfectly
10
Q

describe what is seen in the ovaries of PCOD patients

A
  • ovaries: large, thick capsule, multiple unruptured follicles as cysts lined by granulosa cells and hypertrophied theca interna cells
  • thick, hypertrophied stroma
How well did you know this?
1
Not at all
2
3
4
5
Perfectly
11
Q

“patient presents with virilization and hirsutism–not ovulating. what is a complication of this condition?”

A

increased estrogen →​ endometrial hyperplasia

How well did you know this?
1
Not at all
2
3
4
5
Perfectly
12
Q

in general, ____ and ____ reduce the risk of ovarian cancer

in general, increased ___ leads to increased risk of ovarian tumors

A

in general, pregnancy and oral contraceptives reduce the risk of ovarian cancer

increased ovulation = increased risk (early menarche, late menopause increase risk)

How well did you know this?
1
Not at all
2
3
4
5
Perfectly
13
Q

list the surface epithelial tumors of the ovary (4)

A
  • serous
  • mucinous
  • endometrioid
  • Brenner’s
How well did you know this?
1
Not at all
2
3
4
5
Perfectly
14
Q

list the germ cell tumors of the ovary (4)

A
  • choriocarcinoma = placental tissue
  • endometrial sinus = yolk sac
  • dysgerminoma = oocytes
  • teratoma = fetal tissue (mature/immature/specialized)
How well did you know this?
1
Not at all
2
3
4
5
Perfectly
15
Q

list the 3 sex cord stromal tumors of the ovary

A
  • granulosa-theca
  • Sertoli-Leydig
  • fibrothecoma
How well did you know this?
1
Not at all
2
3
4
5
Perfectly
16
Q

____ are the most common ovarian tumor

A

serous ovarian tumors are the most common ovarian tumor

How well did you know this?
1
Not at all
2
3
4
5
Perfectly
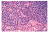
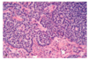
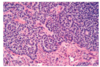
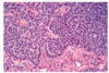
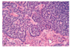
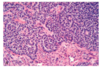
17
Q

in the condition seen in the image, low grade tumors have a mutation in ___ while high grade tumors have a mutation in ____

A

in the condition seen in the image, low-grade tumors have a mutation in KRAS, BRAF while high-grade tumors have a mutation in p53, BRCA1/2

How well did you know this?
1
Not at all
2
3
4
5
Perfectly
18
Q

the condition seen in the image is lined by ____

A

the condition seen in the image is lined by single layer of tall columnar ciliated cells

How well did you know this?
1
Not at all
2
3
4
5
Perfectly
19
Q

describe the histology of the condition seen in the image

A

borderline: multilayering, moderate mitosis, nuclear atypia BUT NO stromal invasion

How well did you know this?
1
Not at all
2
3
4
5
Perfectly
20
Q

describe the histology of the condition seen in the image

A

malignant: multilayering, nuclear atypia and stromal INVASION

How well did you know this?
1
Not at all
2
3
4
5
Perfectly
21
Q

the histology of the condition seen in the image is similar to the histology of ____

A

the histology of serous ovarian tumors is similar to the histology of fallopian tubes = tall columnar ciliated

How well did you know this?
1
Not at all
2
3
4
5
Perfectly
22
Q

the condition seen in the image is (unilateral or bilateral?) and (unilocular or multilocular?)

A

the condition seen in the image is bilateral and unilocular

How well did you know this?
1
Not at all
2
3
4
5
Perfectly
23
Q

the condition seen in the image is a ____ cyst with sticky ____ material rich in ____

A

the condition seen in the image is a multiloculated cyst with sticky gelatinous material rich in glycoproteins

How well did you know this?
1
Not at all
2
3
4
5
Perfectly
24
Q

the condition seen in the image are lined by ____ which is similar to ____

A

the condition seen in the image are lined by tall columnar non-ciliated with goblet cells (MUCIN) which is similar to endocervix/intestine

How well did you know this?
1
Not at all
2
3
4
5
Perfectly
25
describe a complication of the condition seen in the image
peritoneal implant **(****pseudomyxoma****peritonei****/jelly belly**) in borderline & malignant stage → **intestinal obstruction**
26
most cases of pseudomyxoma peritonei are ____ and usually arise from the ____ with secondary ___ and ___ spread
most cases of pseudomyxoma peritonei are **extraovarian** and usually arise from the **appendix** with secondary **ovarian** and **peritoneal** spread
27
mutations in which 4 tumor suppressor genes can lead to endometrioid tumors?
PTEN KRAS B-catenin MSI (microsatellite instability)
28
describe the gross appearance of endometrioid tumors
solid and cystic, small, papillae, velvety surface
29
the histology of the condition seen in the image is like ____ epithelium
the histology of the condition seen in the image is like **transitional** epithelium
30
describe the histology of the condition seen in the image
**spindle cells with nests of urothelium**
31
a complication of the condition seen in the image is ___ but NOT \_\_\_\_
a complication of the condition seen in the image is **torsion** but NOT **rupture**
32
\_\_\_\_ is a marker to monitor response to ovarian cancer therapy and disease progression
**CA-125** is a marker to monitor response to ovarian cancer therapy and disease progression
33
the condition seen in the image is derived from ___ cells
the condition seen in the image is derived from **2-3 layers of germ** cells teeth & hair = ectoderm sebaceous glands = mesoderm
34
the condition seen in the image is an incidental finding when \_\_\_\_
the condition seen in the image is an incidental finding when **a calcified tooth is found on x-ray**
35
describe the complications of the condition seen in the image
rupture, torsion, infertility, transformation to invasive squamous cell carcinoma
36
a complication of the condition seen in the image is that it can transform into \_\_\_\_
a complication of the condition seen in the image is that it can transform into **invasive squamous cell carcinoma**
37
describe struma ovarii
* **origin = germ cell** * pathogenesis: * **thyrotoxicosis** d/t production of T3/T4 * suppresses TSH → **thyroid atrophy**
38
immature teratoma is commonly found in ____ (demographic)
immature teratoma is commonly found in **18-year-old women** (demographic)
39
\_\_\_ found in an immature/malignant teratoma is a poor prognostic sign
**neuroepithelium** found in an immature/malignant teratoma is a poor prognostic sign
40
in an immature/malignant teratoma, the absence of ____ carries an excellent chance of cure
in an immature/malignant teratoma, the absence of **recurrence in the first 2 years** carries an excellent chance of cure
41
an endodermal sinus tumor is derived from \_\_\_\_
an endodermal sinus tumor is derived from **the yolk sac**
42
the tumor markers for endodermal sinus tumor are ___ and \_\_\_\_
the tumor markers for endodermal sinus tumor are **AFP** and **A1AT**
43
\_\_\_\_ are found in an endodermal sinus tumor; describe the appearance
**Schiller-Duval bodies** are found in an endodermal sinus tumor ## Footnote **layers of epithelial cells around blood vessels (glomerulus-like)**
44
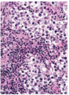
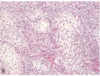
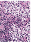
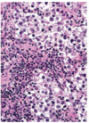
"5 year old with ovarian mass" or young women = which tumor?
**endodermal sinus tumor** (derived from yolk sac)
45
describe the histology of the condition seen in the image
**fried-egg cells** (sheets of monomorphic cells with prominent nucleus/nucleolus & abundant cytoplasm filled with mucin)
46
the male counterpart to the condition seen in the image is \_\_\_\_
the male counterpart to the condition seen in the image is **seminoma of the testes**
47
the condition seen in the image is commonly seen in ___ patients due to \_\_\_\_
the condition seen in the image is commonly seen in **Turner's patients** due to **gonadal dysgenesis**
48
the tumor marker for the condition seen in the image is \_\_\_\_
the tumor marker for the condition seen in the image is **LDH**
49
the cell type seen in the condition in the image is found in which 2 other conditions?
* seminoma of the testes * medullary carcinoma of the breast
50
"a patient with Turner's has a histo slide with sheets of cells with dark blue nucleus and lots of cytoplasm; which similar tumor is found in men?"
**seminoma of the testes**
51
"a patient with Turner's has a histo slide with sheets of cells with dark blue nucleus and lots of cytoplasm; which similar tumor is found in breasts?"
**medullary carcinoma**
52
describe what is seen in choriocarcinoma
hemorrhage, necrosis, pleomorphism, giant cells, multi-nucleation
53
in an ovarian choriocarcinoma, ____ and ___ cells are found
in an ovarian choriocarcinoma, **malignant cytotrophoblasts (mono-nucleated)** and **syncytiotrophoblasts (multi-nucleated)** cells are found
54
"young girl (\<18) with amenorrhea and exaggerated morning sickness" which tumor?
ovarian choriocarcinoma morning sickness = B-hCG
55
a tumor marker for ovarian choriocarcinoma is \_\_\_\_
a tumor marker for ovarian choriocarcinoma is **B-hCG**
56
ovarian choriocarcinoma spreads via ___ NOT \_\_\_\_
ovarian choriocarcinoma spreads via **blood** NOT **lymph**
57
the tumor marker for the condition seen in the image is \_\_\_\_\_
the tumor marker for the condition seen in the image is **tissue inhibin (which inhibits FSH)**
58
on histology of the condition seen in the image, ____ bodies are seen which are \_\_\_\_
on histology of the condition seen in the image, **Call-Exner bodies** are seen which are **cuboidal granulosa cells arranged around a central lumen**
59
describe the presentation of the condition seen in the image **before puberty**
**precocious puberty**
60
describe the presentation of the condition seen in the image in **peri-menopausal women**
**endometrial hyperplasia** w/ uterine bleeding
61
"patient presents with tumor in ovary and endometrial thickening" OR "10 yr old with early onset of menarche, heavy periods and precocious puberty" which tumor?
**granulosa cell tumor**
62
describe the histology of the theca component of the condition seen in the image
**lipid-****leyden****cells**
63
describe the histology of the condition seen in the image
**large polygonal cells & spindle cells forming gland-like structures around an acidophilic core recapitulating immature follicles**
64
describe the complications of the condition seen in the image
* metastasis * increased estrogen * breast cancer * fibrocystic change * endometrial carcinoma * enlargement of leiomyoma/fibroadenoma
65
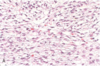
describe the histology of the condition seen in the image
**lipid-leyden (thecoma) & spindle-shaped (fibroma) cells**
66
the condition seen in the image has an association with ascites + right sided pleural effusion (hydrothorax) which is \_\_\_\_
the condition seen in the image has an association with ascites + right sided pleural effusion (hydrothorax) which is **Meig's syndrome**
67
the condition seen in the image is also associated with \_\_\_\_
the condition seen in the image is also associated with **basal cell nevus syndrome**
68
"lady has a palpable abdominal mass that caused abdominal ascites and pleural effusion on the right side" what is a complication of this condition?
**TORSION**
69
\_\_\_\_ are seen in a Sertoli-Leydig cell tumor
**Reinke crystals** are seen in a Sertoli-Leydig cell tumor
70
masculinization is seen in Sertoli-Leydig cell tumors due to increased \_\_\_\_
masculinization is seen in Sertoli-Leydig cell tumors due to increased **androgens** (hirsutism, male distribution of hair, hypertrophy of clitoris, voice changes, virilization)
71
list the 3 origins of Krukenberg tumors
* colon cancer * diffuse gastric carcinoma * invasive lobular carcinoma of the breast
72
all 3 Krukenberg tumors have __ mutations
all 3 Krukenberg tumors have **E-cadherin** mutations
73
describe the histology of Krukenberg tumors
signet ring cells with eccentric nuclei and mucin in the cytoplasm