
Lengua Fisurada

Leucoedema

Leucoedema

Queilitis Angular
Queratosis Friccional
Linea Blanca de Oclusion
Mordedura Cronica de Carillos, Labios y Lengua

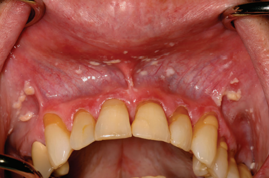
Nevo Blanco Esponjoso

Queilitis Exfoliativa
Injertos Cutaneos y de Tejido Conectivo en Mucosa

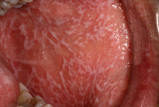
Liquen Plano Reticular

Liquen Plano Reticular

Liquen Plano Reticular

Queilitis Actinica
Estomatitis por Nicotina

Reaccion Liquenoide por Amalgama Dental

Candidosis Seudomembranosa e Hiperplasica
CS

Candidosis Seudomembranosa e Hiperplasica
CS

Candidosis Seudomembranosa e Hiperplasica
CS

Candidosis Seudomembranosa e Hiperplasica
CH
Leucoplasia Pilosa
Leucoplasia

Quemadura Quimica

Hiperplasia Linfoide Mucosa