P6 PATHOLOGY Flashcards

(20 cards)

1
Q

Symptoms of malaria

A

Fever, headache, nausea, vomiting, muscular pain

How well did you know this?
1
Not at all
2
3
4
5
Perfectly
2
Q

Symptoms of malaria occur due to

A

schizont rupture & release of pyrogens and toxins

How well did you know this?
1
Not at all
2
3
4
5
Perfectly
3
Q

2 cytokines responsible for fever in malaria

A

TNF-alpha. &. IL1

How well did you know this?
1
Not at all
2
3
4
5
Perfectly
4
Q

reasons why P.falciparum causes the most severe form of malaria

A

1- infects all ages of RBCs
2- Cyto-adherence
3-production of high levels of cytokines

How well did you know this?
1
Not at all
2
3
4
5
Perfectly
5
Q

Anemia seen in malaria is due to

A

severe hemolysis & suppression of
erythropoiesis

How well did you know this?
1
Not at all
2
3
4
5
Perfectly
6
Q

Leukopenia seen in malaria is due to

A

margination of leukocytes

How well did you know this?
1
Not at all
2
3
4
5
Perfectly
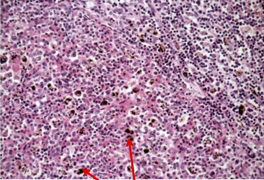
7
Q

Malarial spleen: low power photomicrograph , identify what is pointed at by the arrow

A

Phagocytic cells lining sinusoids in red pulp contain malarial hemozoin pigment

How well did you know this?
1
Not at all
2
3
4
5
Perfectly
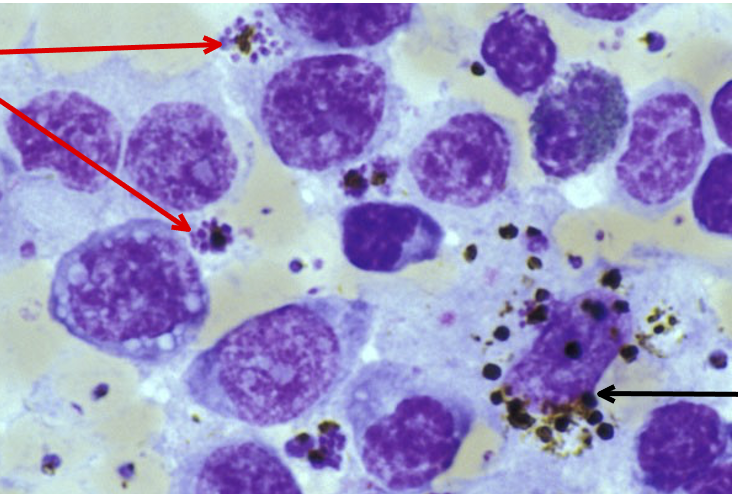
8
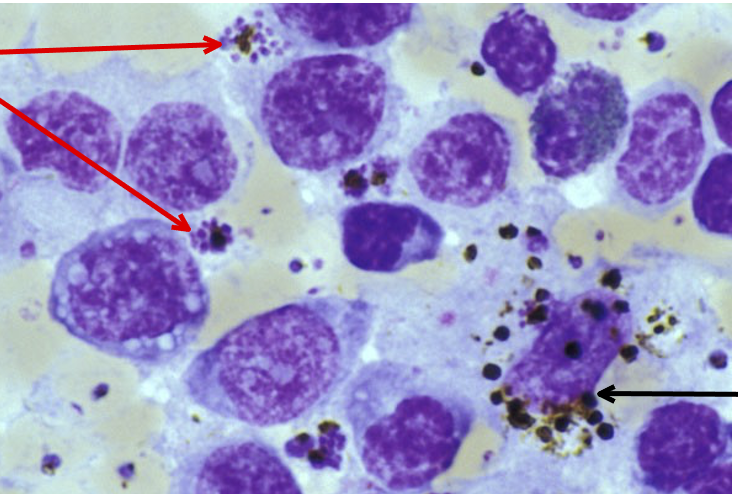
Q

the image is showing smear preparation of the spleen , identify what is pointed at with the red arrow

A

shows trophozoites and schizonts in RBC

How well did you know this?
1
Not at all
2
3
4
5
Perfectly
9
Q

the image is showing smear preparation of the spleen , identify what is pointed at with the black arrow

A

Hemozoin pigment in a macrophage

How well did you know this?
1
Not at all
2
3
4
5
Perfectly
10
Q

Gross splenomegaly with hepatomegaly
is seen as

A

portal hypertension , hypersplenism

How well did you know this?
1
Not at all
2
3
4
5
Perfectly
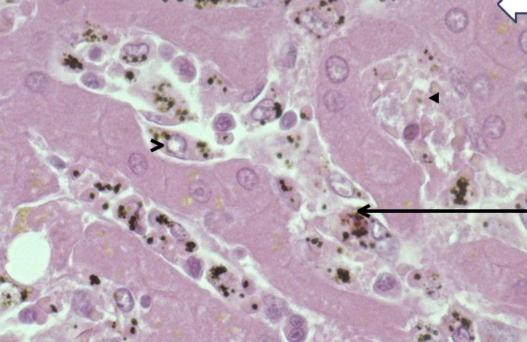
11
Q

Microscopic image of liver infected with malaria , identify what is pointed at by the black arrow

A

Sinusoids lined by Kupffer cells with malaria pigment

How well did you know this?
1
Not at all
2
3
4
5
Perfectly
12
Q

mention 2 causes of acute renal failure incase of malarial infection

A

1- blackwater fever
2- hypovolemia & shock

How well did you know this?
1
Not at all
2
3
4
5
Perfectly
13
Q

blackwater fever is associated with which malaria species

A

P. falciparum

How well did you know this?
1
Not at all
2
3
4
5
Perfectly
14
Q

nephrotic syndrome is most commonly associated with which malaria species

A

chronic P.malariae

How well did you know this?
1
Not at all
2
3
4
5
Perfectly
15
Q

gross appearance of cerebral malaria ,
Describe what is seen

A

petechial hemorrhage in white matter

How well did you know this?
1
Not at all
2
3
4
5
Perfectly
15
Q

Symptoms of cerebral malaria

A

Somnolence
Seizures
Organic psychosis
Coma

16
Q

in cerebral malaria , the CSF results will show

A

increased protein +/- increased pressure, few cells

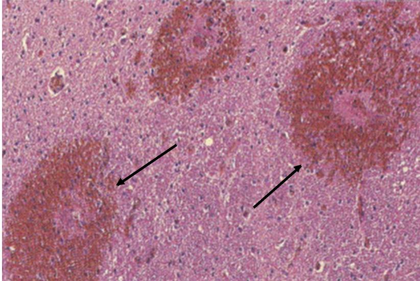
17
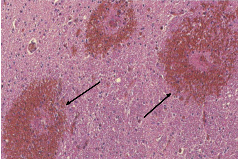
Q

Low power view of brain with malaria , identify what is seen

A

ring haemorrages

18
Q

the pathology seen in the shown image is caused by

A

obstructed blood vessels in P. falciparum infection

18
Q

Identify the pathology shown in the image

A

Durck granuloma: Microglial cells form small perivascular granulomas