What are the weak and spastic muscles in equinovarus foot?
Spastic: TP and TA
Weak: PB, PL
Treatment for physeal arrest:
Bar resection with interposition Indications
Ipsilateral complesion of arrestIndications
Treamtnet of CP hips
Adductor and psoas release ± abduction bracing
Proximal femoral osteotmy & soft tissue release
Abduction osteotomy or girdlestone
Salvage acetabular procedure (Chiari, shelf)
7 indicators of poor prognosis with LCP
Age (bone age) > 8 (bone age 6) years at presentation
Female
Decreased hip ROM (decreased abduction)
Gage sign: radiolucency in the shape of a V in the lateral portion of the epiphysis
Calcification lateral to the epiphysis
Lateral subluxation of the femoral head
Horizontal physis
Metaphyseal cysts
What pulleys need to be released in childresn’ trigger finger?
A2 & A3
Upper extremity contractures in CP
Shoulder IR
Elbow flexion
Forearm pronation
Wrist flexion
Thumb in palm deformity:
Finger-flexion deformity
Swan neck
When do you IMN a femur in paediatrics (age & weight)
> 11 years
>49 kg
Remember to use lateral start point
Classification for PFFD
Aiken
A:
B:
C:
D:
What Risser stage correspnds to the fastest growth spurt?
Risser 0
Congenital rib anomalies (ie fused ribs) have what association with congenital scoli?
occur on the concave side of the curve
makes sense
They (in and of themselves) have no effect on curve size or rate of progression
(They are not talking about phase 2 ribs here, a la Mehta angle)
Treatment algorithm of femur fractures in paeds:
7m - 5 years:
6-11 years:
Approaching skeletal maturity (>11 years)
dDx for anterolateral bowing (2)
NF
tibial deficiency
Indications for anterior approach in addition to posterior approach in scolisis
Large curve (>75 degrees)
Stiff curves
Skeletally immature (Risser grade 0, boys
Indications for hemivertebrectomy in congenital scoli
Progressive curve >40 degrees
Patient <5
lumbosacral vertebra best (but can be done in thoracic)
(JAAOS 2004)
dDx for septic hip? (3)
OM
Psoas abscess
Transient synovitis
How much does a leg grow in a year and where does the growth come from?
23 mm /year
What is H and how does it help evaluate DDH?

Hilgenreiners Line
A normal head should be below it.
newborn comes in with congenital dislocation of knee and DDH, which do you treat first and why?
Knee
b/c you can’t get a pavlik on with a dislocated knee
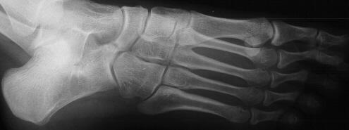
What x-ray is this?
What is the diagnosis?

45 degree oblique
Calcaneonavicular coalition
Should Down syndrome kids avoid contact sports? If yes, what indication?
Avoid sports if progressive radiographic instability or signs of myelopathy
When do children achieve 1/2 of the final leg length?
What is the weakest zone of the growth plate?
Hypertrophic zone
When do you need to excise a physeal bar in a growth arrest following distal femur fracture?
Indicated when deformity is present with a physeal bar of
<50% and at least 2 years or 2 cm of growth remaining
Risk factors for birth fractures
Vaginal deliveries
breech presentation
prolonged labor
macrosomia (>4.5 kg)