Pancreatitis Flashcards

(65 cards)

1
Q

Proceso _______ agudo por ________ secundaria del páncreas que se acompaña del _______ variable de otros tejidos regionales o lejanos.

A

Proceso inflamatorio agudo por autodigestión secundaria del páncreas que se acompaña del compromiso variable de otros tejidos regionales o lejanos.

PACREATITIS AGUDA

How well did you know this?
1
Not at all
2
3
4
5
Perfectly
2
Q

¿Cuanto mide el páncreas?

A

de 14 a 30 cm

How well did you know this?
1
Not at all
2
3
4
5
Perfectly
3
Q

¿cuál es la anatomía del páncreas?

A

1.- cabeza
2.- cuello
3.- cuerpo
4.- cola
5.- retroperitoneal el superficie anterior

How well did you know this?
1
Not at all
2
3
4
5
Perfectly
4
Q

Sus relaciones anatómicas son:

A

1.- anterior al estómago
2.- en contacto con el bazo y la 1,2 y 3 porción del duodeno
3.- anterior a la aorta y la vena cava

How well did you know this?
1
Not at all
2
3
4
5
Perfectly
5
Q

Tiene un conducto principal o de :

A

Wirsung

How well did you know this?
1
Not at all
2
3
4
5
Perfectly
6
Q

Tiene un conducto accesorio o de:

A

Santorini

How well did you know this?
1
Not at all
2
3
4
5
Perfectly
7
Q

La irrigación del páncreas en la porción de la cabeza es:

A

1.- Arteria gastroduodenal que viene de la hepática común
2.- Arteria pancreaticoduodenal (anterior y posterior [anterior e inferior respectivamente] )

How well did you know this?
1
Not at all
2
3
4
5
Perfectly
8
Q

La irrigación en la parte de la cola es:

A

Del tronco celiaco
1.- pancreatica dorsal
2.- pancreatica magna (al final se llama: caudada)
3.- pancreatica inferior y transversal

How well did you know this?
1
Not at all
2
3
4
5
Perfectly
9
Q

El drenaje venoso esta dado por:

A

1.- Vena porta
2.- vena esplénica
3.- mesentérica inferior
4.- venas gastroduodenal inf. /sup anterior.. inf. /sup posterior.

How well did you know this?
1
Not at all
2
3
4
5
Perfectly
10
Q

¿Qué secreta el páncreas?

*que se encargan de hidrolizar

A

1.- tripsina
2.- quimiotripsina
3.- carboxilopeptidasas

How well did you know this?
1
Not at all
2
3
4
5
Perfectly
11
Q

¿Cuáles son las enzimas lipolíticas?
*hidroliza ácidos grasos

A

1.- lipasa
2.- colesterololesterasa
3.- fosfolipasa

How well did you know this?
1
Not at all
2
3
4
5
Perfectly
12
Q

La enzima amiolítica es:
*hidrolizar carbohidratos

A

Amilasa

How well did you know this?
1
Not at all
2
3
4
5
Perfectly
13
Q

1.- Los acinos pancreáticos
2.- Ductos intralobulares e interlobulares

Son :

A

Tejido exócrino (98%)
actúa ahi mismo

How well did you know this?
1
Not at all
2
3
4
5
Perfectly
14
Q

1.- Los islotes pancreáticos de Langerhans son:

A

Tejido endocrino (1-2%)
actúa en otro sitio

How well did you know this?
1
Not at all
2
3
4
5
Perfectly
15
Q

Qué secretan los islotes de Langerhans?

A

alfa = glucagon (glucógeno lisis) (+ glucógeno)
beta = insulina (+glucosa)
delta= somatostatina (hormona inhibitoria)

How well did you know this?
1
Not at all
2
3
4
5
Perfectly
16
Q

1.- Alcohol
2.- hiperlipidemia
3.- fármacos
4.- organo fosforados
5.- tóxico

Son etiopatogenias….

A

TÓXICO METABÓLICAS

How well did you know this?
1
Not at all
2
3
4
5
Perfectly
17
Q

1.- litiasis biliar
2.- obstrucción periambular / pancreática
3.- disfunción de Oddi
4.- páncreas divisum
5.- traumatismo y malformaciones

Son etiopatogenias….

A

MECÁNICAS

How well did you know this?
1
Not at all
2
3
4
5
Perfectly
18
Q

1.- isquemia
2.- iatrogenia
3.- infección
4.- herencia
5.- auto-inmune y fibroquistica

Son etiopatogenias…

A

DIVERSAS / OTRAS

How well did you know this?
1
Not at all
2
3
4
5
Perfectly
19
Q

¿Qué aumenta el riesgo de pancreatitis aguda?

A

La colelitiasis

How well did you know this?
1
Not at all
2
3
4
5
Perfectly
20
Q

¿Qué es lo más común que causa pancreatitis?

A

Complicaciones biliares
(acumulación de litos = hacen presión en el esfínter de Oddi y ámpula de váter)

How well did you know this?
1
Not at all
2
3
4
5
Perfectly
21
Q

¿Dónde está el esfínter de Oddi?

A

Dentro del Ámpula de Vater

How well did you know this?
1
Not at all
2
3
4
5
Perfectly
22
Q

Una lesión acinar activa a:

A

Tripsina

How well did you know this?
1
Not at all
2
3
4
5
Perfectly
23
Q

La tripsina activa:

A

1.- Calicreínacinina
2.- quimiotripsina
3.- elastasa
4.- fosfolipasa A2
5.- Lipasa

How well did you know this?
1
Not at all
2
3
4
5
Perfectly
24
Q

EDEMA E INFLAMACIÓN SE DA POR:

A

Calicreínacinina

How well did you know this?
1
Not at all
2
3
4
5
Perfectly
25
EDEMA Y LESIÓN VASCULAR SE DA POR:
Quimiotripsina
26
LESIÓN VASCULAR HEMORRÁGICA SE DA POR:
Elastasa
27
NECROSIS POR COAGULACION CASEOSA (PG, LT) SE DA POR:
Fosfolipasa A2
28
NECROSIS GRASA SE DA POR:
Lipasa
29
¿Qué enzimas faltan en la ilustración?
tripsinógeno ------------------------ tripsina Catepsina B
30
¿Qué lesión causan las enzimas de la ilustración?
1.- lesión del endotelio intersticial 2.- lesión de las células acinares
31
1.- La fosfolipasa A2 2.- La quimiotripsina 3.- La elastasa Provocan:
1.- Vasoconstricción 2.- Estasis capilar 3.- isquemia
32
1.- El complemento kalicreínacina coagulante provoca: parte 1
1.- trombosis 2.- hemorragia 3.- necrosis
33
1.- El complemento kalicreínacina coagulante provoca: parte 2
1.- migración de polimorfos nucleares 2.- liberación de il-1, il-6, il-8 3.- TNF alfa 4.- liberación de prostaglandina y leucotrinos 5.- liberación de radicales libre (necrosis)
34
La siguiente es una clasificación :
ATLANTA
35
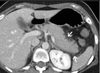
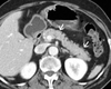
La siguiente imagen muestra un páncreas tipo ____ según la escala de Balthazar.
A .- páncreas normal con bordes definidos
36
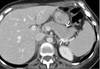
La siguiente imagen muestra un páncreas tipo ____ según la escala de Balthazar.
B.- aumento de tamaño sin alteraciones en tejido circundante
37
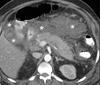
La siguiente imagen muestra un páncreas tipo ____ según la escala de Balthazar.
C.- inflamación del tejido adiposo Peri-pancreático (las flechas presentan aumento de densidad) Necrosis mayor del 50%
38
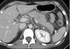
La siguiente imagen muestra un páncreas tipo ____ según la escala de Balthazar.
D.- colección liquida peripancreática (el asterisco muestra el líquido)
39
La siguiente imagen muestra un páncreas tipo ____ según la escala de Balthazar.
E.- dos o mas colecciones líquidas peripancreáticas
40
¿Que provoca el alcohol?
Disfunción de esfínter de Oddi
41
La causa post-CPRE
Complicación al 2%
42
El exceso de ácidos grasos hace que se active la:
Lipasa pancreática = HIPERLIPIDEMIA
43
¿Cómo es el dolor de pancreatitis?
Es un dolor transcriptivo en el epigastrio= irradiado a los flancos (acompañado de náuseas, vómito)
44
Exacerbación de dolor en posición ....
Supino
45
¿Qué es esto?
Equimosis periumbilical Signo de Ullen
46
¿Qué es esto?
equimosis en los flancos Grave Turner
47
¿Cuáles son las enzimas que indican que el páncreas está inflamado?
Amilasa Serica x3 rango normal Lipasa Serica x2 rango normal
48
Amilasa Serica x3 rango normal Lipasa Serica x2 rango normal Estos valores NO ..... _____
Correlacionan con gravedad
49
Marcador bioquímico y pronostico de la gravedad de la pancreatitis... (más efectivo)
PROCALCITONINA
50
¿Qué pedimos inmediatamente en caso de sospecha de pancreatitis por causa biliar?
USG (ultrasonido)
51
¿Qué otro estudio tenemos para observar el páncreas? 1.- método mas sensible y útil para el diagnóstico 2.- permite clasificar la severidad
TAC Tomografía
52
¿Cuáles son los criterios topográficos clásicos de Balthazar?
0...... A.- páncreas normal 1.......B.- aumentado de tamaño 2.......C.- aumentado de tamaño y grasa peripancreática afectada 3.......D.- colección liquida (quiste) 4.......E.- dos o mas colecciones
53
En la escala de Balthazar... 0-3 _____ 4-6 ____ 7-10 ____
BAJO MEDIO ALTO
54
¿Cuál es la escala de BISAP?
B= bun > 25mg/dl I= incongruencia con estado mental S= sirs A= age >60 años P= pleurales efusiones
55
Una placa de tórax para descartar ....
BISAP
56
¿Por que tiene hiperglicemia alguien con pancreatitis?
Por que la las células betas dejan de producir
57
Se produce por el aumento de la presión del conducto pancreático por importación de cálculos; presencia de enzimas digestivas y lisosomas en los acinos pancreáticos...
Litiasis biliar
58
1.- Basada en 11 factores, de los cuales 5 se evaluándonoslos al ingreso y 6 después de 48 horas 2.- px con mas de 3 factores = riesgo severo 3.- 5-6 = mortalidad 40% 4.- 7 = mortalidad al 100%
RANSON
59
1.- Se basa en valores de laboratorio y clínicos. 2.- Mayor de 8 es severa
APACHE II
60
Utiliza 9 criterios que se evalúan a las 48 horas y se considera severa después de ese tiempo...
Glasgow
61
¿Qué función tiene la calcitonina para el diagnostico de pancreatitis?
Determinar el grado de la gravedad
62
1.- disfunción orgánica 2.- derrame pleural 3.- hipertensión intra-abdominal 4.- Sindrome compartimental 5.- metabólicas Esta son:
COMPLICACIONES TEMPRANAS
63
1.- hipocalcemia 2.- hipoalbuminuria 3.- hiperglicemia 4.- hipertriglicemia 5.- retinopatia de putscher Son complicaciones ....
METABÓLICAS
64
1.- Infección de necrosis 2.- formación de pseudo quiste 3.- absceso Son complicaciones de...
2-5 semanas...
65
1.- ascitis pancreática 2.- fibrosis peri-vascular 3.- trombosis y obstrucción de vasos pancreáticos Son complicaciones...
Tardías de mas de 5 semanas