
1- Paracoccidioides brasiliensis
Leme de Navio / Mickey

2- Paracoccidioides brasiliensis
SNC

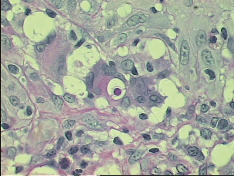
3- Paracoccidioides brasiliensis
Granuloma SNC

4- Paracoccidioides brasiliensis
Histopatológico (Gomori-Grocott)
Leme de Navio / Mickey

5- Paracoccidioides brasiliensis
Dimorfismo (25-37)

6- Paracoccidioides brasiliensis
Dimorfismo (25-37)

7- Paracoccidioides brasiliensis
Dimorfismo (25-37)

8- Paracoccidioides brasiliensis
Evolução

9- Paracoccidioides brasiliensis
Histopatológico

10- Paracoccidioides brasiliensis
Histopatológico

11- Paracoccidioides brasiliensis
Radiologia