Part B Flashcards

(63 cards)

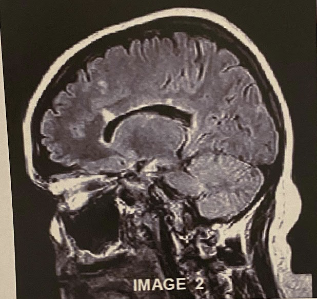
1
Q

The sagittal scan, demonstrates typical hyper intense tendril-like projections in the corpus callous characteristically seen in patients with what disease?
A) Tuberous Sclerosis
B) Multiple Calcified Nodules
C) Multiple Sclerosis

A

C) Multiple Sclerosis

How well did you know this?
1
Not at all
2
3
4
5
Perfectly
2
Q

What anatomy is letter A pointing to?

A

Pons

How well did you know this?
1
Not at all
2
3
4
5
Perfectly
3
Q

What anatomy is letter B pointing to?

A

Corpus Callosum

How well did you know this?
1
Not at all
2
3
4
5
Perfectly
4
Q

What anatomy is letter C pointing to?

A

Medulla Oblongata

How well did you know this?
1
Not at all
2
3
4
5
Perfectly
5
Q

What anatomy is letter D pointing to?

A

Fourth ventricle

How well did you know this?
1
Not at all
2
3
4
5
Perfectly
6
Q

What anatomy is letter E pointing to?

A

Aqueduct of Sylvius

How well did you know this?
1
Not at all
2
3
4
5
Perfectly
7
Q

What anatomy is letter F pointing to?

A

Genu of the corpus callous

How well did you know this?
1
Not at all
2
3
4
5
Perfectly
8
Q

What anatomy is letter G pointing to?

A

Pituitary

How well did you know this?
1
Not at all
2
3
4
5
Perfectly
9
Q

What anatomy is letter H pointing to?

A

Mammillary Bodies

How well did you know this?
1
Not at all
2
3
4
5
Perfectly
10
Q

What anatomy is letter I pointing to?

A

Quadrigeminal plate

How well did you know this?
1
Not at all
2
3
4
5
Perfectly
11
Q

This image is non-contrasted. It was acquired using a _______ sequence
A) Proton Density
B) T1
C) FLAIR
D) GRE

A

C) FLAIR

How well did you know this?
1
Not at all
2
3
4
5
Perfectly
12
Q

A micro adenoma within the pituitary gland usually appears immediately post contrast as:
A) a flow artefact
B) a hypointense area
C) An isointense area
D) A hyperintense area

A

B) a hypointense area

How well did you know this?
1
Not at all
2
3
4
5
Perfectly
13
Q

On a coronal post contrast T1 weighted scan there is a hyper intense benign tumour involving the sheath of the eighth nerve. The is most likely a:
A) acoustic Schwannoma
B) Papilloma
C) Sarcoma

A

A) Acoustic Schwannoma

How well did you know this?
1
Not at all
2
3
4
5
Perfectly
14
Q

When trying to demonstrate an optic nerve lesion post gadolinium, which of the following sequences would be best suited?
A) T1FS
B) T1 non FS
C) STIR
D) T2

A

A) T1FS

How well did you know this?
1
Not at all
2
3
4
5
Perfectly
15
Q

Which letter demonstrates the cervical nerve root exit foramina?

A

C

How well did you know this?
1
Not at all
2
3
4
5
Perfectly
16
Q

What letter demonstrates the intervertebral disc?

A

B

How well did you know this?
1
Not at all
2
3
4
5
Perfectly
17
Q

What letter demonstrates the conus medullaris?

A

A

How well did you know this?
1
Not at all
2
3
4
5
Perfectly
18
Q

The angle that may be used for imaging the sagittal oblique of the shoulder is perpendicular to the:
A) clavicle
B) supraspinatous tendon
C) Humeral shaft

A

B) Supraspinatous tendon

How well did you know this?
1
Not at all
2
3
4
5
Perfectly
19
Q

When trying to identify a bone bruise of the medial epicondyle of the femur, which of the following sequences would best demonstrate the lesion?
A) T1
B) T2FS
C) STIR
D) both b & c

A

C) STIR

How well did you know this?
1
Not at all
2
3
4
5
Perfectly
20
Q

What anatomy does letter A demonstrate?

A

Patella

How well did you know this?
1
Not at all
2
3
4
5
Perfectly
21
Q

What anatomy does letter B demonstrate?

A

PCL

How well did you know this?
1
Not at all
2
3
4
5
Perfectly
22
Q

What anatomy does letter C demonstrate?

A

Patellar Tendon

How well did you know this?
1
Not at all
2
3
4
5
Perfectly
23
Q

What anatomy does letter D demonstrate?

A

Femoral Condyle

How well did you know this?
1
Not at all
2
3
4
5
Perfectly
24
Q

What anatomy does letter E demonstrate?

A

ACL

How well did you know this?
1
Not at all
2
3
4
5
Perfectly
25
What anatomy does letter A demonstrate?
Right MCA
26
What anatomy does letter B demonstrate?
Anterior cerebral arteries
27
What anatomy does letter D demonstrate?
Left ICA
28
What anatomy does letter E demonstrate?
Basilar artery
29
What anatomy does letter F demonstrate?
Right vertebral artery
30
What anatomy does letter A demonstrate?
Liver
31
What anatomy does letter B demonstrate?
IVC
32
What anatomy does letter C demonstrate?
Right Kidney
33
What anatomy does letter D demonstrate?
Right crus of diaphragm
34
What anatomy does letter E demonstrate?
Vertebral body
35
Which plane best demonstrates the anterior cruciate ligament? A) coronal B) Axial C) Sagittal oblique
C) sagittal oblique
36
Which of the following will best demonstrate intracerebral blood products A) Spin Echo B) Fast Spin Echo C) Inversion recovery D) Gradient echo
D) Gradient echo Due to it's lack of 180 degree refocussing pulse.
37
When imaging peripheral vasculature, best results (using a non contrast. enhanced 2D TOF ungated sequence) will come by placing the imaging slices... A) parallel with the flow B) perpendicular to the flow C) obliquely across the flow D) away from the area of interest
B) perpendicular to the flow
38
When imaging a patient for bowel and/or bladder incontinence, what area should be included? A) foramen magnum B) Conus C) Vagus nerve D) 5th intracranial nerve
B) Conus
39
Which two nerves are contained within the internal auditory canal? A) 7th and 8th B) 7th and 5th C) 2nd and 3rd D) none of the above
A) 7th and 8th Facial and vestibularcochlear cranial nerves
40
A tethered cord can be associated with A) a hemangioma B) A lipoma C) a cystic hygroma D) dural thickening
D) dural thickening
41
In a T2 weighted sequence of the liver, a cyst with appear ______ relative to the normal liver A) hyperintense B) hypointense C) isointense D) b or c
A) hyperintense Fluid has a long T2 and therefore appears bright
42
Typical MR sequences to image the intra and extra hepatic biliary system are: A) heavily T1 weighted B) heavily proton density weighted C) heavily T2 weighted D) heavily diffusion weighted
C) heavily T2 weighted
43
A SLAP lesion is associated with which of the following: A) foot B) Ankle C) shoulder D) wrist
C) shoulder
44
Which of the following structures in the brain normally enhance following the administration of gadolinium? A) falx B) normal bone marrow C) non-flowing blood D) b and c
A) falx
45
In order to best visualise the zonal anatomy of the uterus, which imaging plane would be considered optimal? A) sagittal B) axial C) coronal D) b or c
A) sagittal
46
Which of the following sequences would demonstrate multiple sclerosis plaques as hyperintense relative to normal white matter? A) STIR B) FLAIR C) T1 weighted spin echo D) a and b
B) FLAIR
47
In a conventional spin echo sequence, which of the following will produce a signal void? A) calcium B) fat C) a and b D) none of the above
A) calcium
48
The triangular fibrocartilage complex is located in the...? A) foot B) posterior fossa C) wrist D) elbow
C) wrist
49
The view to best visualise the mesial temporal sclerosis is A) coronal oblique B) sagittal oblique C) sagittal D) axial
A) coronal oblique
50
A Hill-Sachs lesion is associated with which of the following? A) foot B) ankle C) shoulder D) wrist
C) shoulder
51
The central portion of the cervical cord consists of A) gray matter B) white matter C) lipids D) dura
A) gray matter gray matter inside the cord white matter surrounding the cord (it is the opposite in the brain)
52
Arrow A demonstrates what type of pathology? A) normal variant B) infection of the talus C) Tumour of the talar dome D) An osteo chondral defect
D) an osteo chondral defect
53
In this image, arrow C depicts the tibio talar ligament, true or false
False, arrow C depicts the calcaneofibular ligament
54
Has fat suppression been used on this image
Yes
55
What pathology does letter A represent? A) anterior superior labral tear B) fissure within the glenoid labrum C) blood vessel in the labrum D) extravasation of the contrast through the hip joint E) perthes disease
A) anterior superior labral tear
56
What anatomy does letter A demonstrate?
Pancreatic Duct
57
What anatomy does letter B demonstrate?
calculus in the CBD
58
What anatomy does letter C demonstrate?
Intra Hepatic Duct
59
What anatomy does letter D demonstrate?
Cystic Duct
60
What anatomy does letter E demonstrate?
Ampulla of Varter
61
Has this patient had a cholecystectomy?
Yes
62
What does Arrow A demonstrate?
Scapho lunate ligament
63
Which of the following exams requires in and out of phase imaging? a) Brain for epilepsy b) Abdomen for characterising adrenal mass c) Cervical spine for arm weakness d) knee for medial ligament tear
b) abdomen for characterising adrenal mass