Partial denture 1 Flashcards

(53 cards)

1
Q

What are the options for a patient with a missing tooth? (3)

A

Resin retained bridges
Implants
Dentures

How well did you know this?
1
Not at all
2
3
4
5
Perfectly
2
Q

What are resin retained bridges

A
  • Replaces one tooth per bridge and adjacent tooth needs to be healthy and strong
  • comfortable and blends with patients own natural teeth
How well did you know this?
1
Not at all
2
3
4
5
Perfectly
3
Q

What are implants

A

The implant may be a gold standard for missing tooth
- The only replacement for root and relies on excellent lab word and clinical work for the restoration
- May have insufficient bone for the implant
- Surgery may provide more bone for certain circumstances

How well did you know this?
1
Not at all
2
3
4
5
Perfectly
4
Q

What are dentures benefits

A
  • excellent way of missing teeth
  • low cost
  • skill set require is not so high
  • easy to adjust
    -negative attitude towards dentures
  • seamlessly blending with other teeth
How well did you know this?
1
Not at all
2
3
4
5
Perfectly
5
Q

What are the effects of partial dentures

A
  • Known problems with denture
  • adverse effect on plaque control for patients
    -Plaque is more prevalent with dentures in therefore risks of caries and periodontal disease are greater
How well did you know this?
1
Not at all
2
3
4
5
Perfectly
6
Q

What percentage of adults where partial dentures, complete dentures or no dentures.

A

approximately 11% of adults wear a denture
- over 6 million people
- patients form poorer backgrounds are more likely to need dentures

How well did you know this?
1
Not at all
2
3
4
5
Perfectly
7
Q

What re two classification of dentures

A
  • Partial- patient is missing some of their own teeth
  • Complete- patient has none of their own teeth
How well did you know this?
1
Not at all
2
3
4
5
Perfectly
8
Q

What is the classification of dentures by material

A

Classify by the denture material
All acrylic - acrylic denture
Metla framework bt teeth and gum cyclic - cobalt chrome
Cobalt chrome used to make the metal for the frame

Acrylic is weaker than a metal so has to be more bulky to stop it from fracturing for function
So will cover more soft tissue
Which can affect taste perception
Denture itself willacyt as a plaque retentive factor
Meticulous oral hygiene

Cobalt chrome
Stronger
Cut away from gingival margin
Patient gets their taste sensations back
More retentive and stays in better than acrylic denture might do
Only for patients who have a stable mouth which may lead to further loss of tooth
More expensive than acrylic

How well did you know this?
1
Not at all
2
3
4
5
Perfectly
9
Q

What classification is used by saddle position

A

Kennedy

How well did you know this?
1
Not at all
2
3
4
5
Perfectly
10
Q

what is Kennedy Class I

A

Class 1 - bilateral means on both sides of the mouth

How well did you know this?
1
Not at all
2
3
4
5
Perfectly
11
Q

What is a Saddle

A

Area where natural teeth are going to be replaced by denture teeth

How well did you know this?
1
Not at all
2
3
4
5
Perfectly
12
Q

What is a free end saddle

A

Free end - no tooth at one of the ends of the saddle
No tooth at the back of the saddle

How well did you know this?
1
Not at all
2
3
4
5
Perfectly
13
Q

What is Class II

A

Just happening on one side of the mouth

How well did you know this?
1
Not at all
2
3
4
5
Perfectly
14
Q

what type of denture is this

A

Class II

How well did you know this?
1
Not at all
2
3
4
5
Perfectly
15
Q

What is Class III

A

Bound saddle - area where teeth are missing that’s going to be replaced by a denture but at either end of those missing teeth there is a natural tooth
5,6,7 missing
8 at back and 4 at front

How well did you know this?
1
Not at all
2
3
4
5
Perfectly
16
Q

what Type of denture is this

A

Class III

How well did you know this?
1
Not at all
2
3
4
5
Perfectly
17
Q

What is Class IV

A

Calls IV
Gap is at the front of the mouth
Specific problems as terms of aesthetic and stability of the denture
Debate whether class 4 should cross the midline

How well did you know this?
1
Not at all
2
3
4
5
Perfectly
18
Q

What type is this denture

A

Class IV

How well did you know this?
1
Not at all
2
3
4
5
Perfectly
19
Q

What are modifications

A

Denture where there is more than one saddle
If a patients got more saddles , more missing teeth is different areas
Then we give modification number denture
In tis case - 3 saddles
To give classification can be quite confusing as there is a posterior bound saddle and anterior bound saddle
If this patient was just missing UR 4 and 5- class 3
If they were missing anterior 2 or 1 , no posterior missing - class 4
Lower number
Class 3
3 saddles in total - class 3 defines one of the saddles and to record furter 2 saddles
Mod 2 is 2 other saddles
Cobalt chrome - class 2 as free end saddle or class 3 as bounded saddle at lHS - we always go for the lower number
Other saddles as modification number

How well did you know this?
1
Not at all
2
3
4
5
Perfectly
20
Q

What is Class II Mod 2 Denture

A

Denture has 3 saddles
Free end saddle at RHS
Anterior bounded saddles
And posterior saddle at posterior
Could be class 2,3,4
Since its got all 3 - lowest number
Class 2 , mod 2

How well did you know this?
1
Not at all
2
3
4
5
Perfectly
21
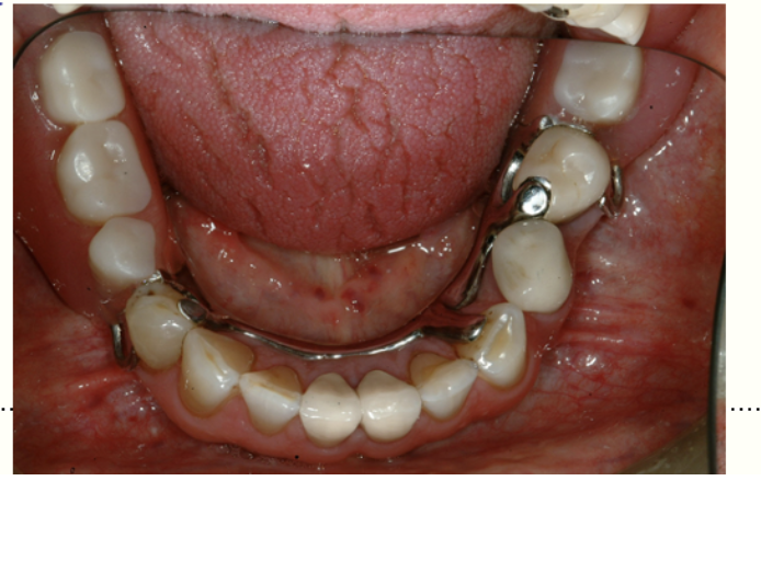
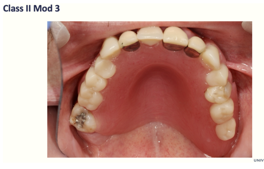
Q

What is Class II Mod 3

A

Class 2
Free end saddle at LHS
3 other saddles replacing UL4 ,UR1
And saddles replacing upper L 3,4,5,6

How well did you know this?
1
Not at all
2
3
4
5
Perfectly
22
Q

What are the components of denture

23
Q

what is a saddle

A

Area of denture that replaces missing teeth
In this case:
Free end saddle on UR
Bound saddles on UL

24
Q

What is a Flange

A

DENTURE REPLACE SOFT TISSUE AS WELL AS MISSING TEETH
Flange- area of acrylic that goes into sulcus
Usually gum coloured

25
What is support from a denture
Next term = support Support = resistance from dentures being pushed into the resistance in terms of function Centre of palatal bony and soft tissues thin - provide support Occlusal rests on metal
26
What are the 2 classification by support
27
What is Mucosa borne denture
The spoon denture improves the situation by allowing access to the gingival margins by saliva. The design follows a 3 mm rule i.e as much of the denture as possible is kept at least 3 mm from the gingival margins. Retention of such a denture might be a problem, and so…. All support is placed on soft tissues and no support on teeth themselves Denture just sitting on tissues of the palate Pressure of that bite goes into that soft tissue beneath the teeth.
28
What are the adverse effects of the mucosa borne Denture
Adverse effects Whenever bite down Teeth will sink into the tissues and put pressure on underlying bone and lead to resorption of the bone and teeth sinking in permanently Tend to see mucosa born dentures Positioned around gums - downwards movement on denture can affect the health of the gums Gum stripper It's not tho but exacerbates inflammation due to poor oral hygiene
29
What is the tooth borne denture
Metal component of denture that sit on top of the tooth Metal framework underneath that connecting everything together
30
What are occlusal rests
Whenever a patient sitting on denture teeth has tooth support Force of that bite is transmitted down tis teeth rather than in the mucosa Occlusal rests
31
describe this diagram
Diagram Occlusal rests When patient bites down on denture teeth Force transmitted to teeth on either side As long as those teeth are nice and healthy Need good periodontal health and bone support
32
What is a tooth and mucosa supported denture and limitations
Some dentures can have a mixture Occlusal rests and free end saddle Free end saddles - no teeth at back of saddle to support denture so needs to be supported by mucosa at the back Mixture of tooth and mucosa supported Limitations: Can be problematic When patient bites on denture teeth Part supported by tooth and apart on mucosa Mucosa more compressible than a tooth is Finger on a patient's natural tooth Won't be able to push the tooth a bit
33
Bites on a denture like this , tend to tip at back and give unwanted forces particularly at back end of saddle
33
Describe retention of dentures
Next component Those that provide retention Amalgam - cavity undercuts sod amalgam can't come out Denture has retention too Component t to prevent for happening Usually clasps
34
What type of clasps are there
Two of the main types of clasps used for denture retention Occlusal surface from tooth and come down Come in form musical side onto the undercut area of tooth Gingivally approaching - anterior teeth Encircles tooth almost completely and called the ring clasp Main common usage for Cobalt chrome I bar Resembles I letter
35
What are the connectors components of dentures
Final component Connectors Things that joining all various saddle together There are major and minor connectors
36
What are the properties of major connector
Have major connectors and minor connectors Major connectors join all of the saddles and can be a variety Lingual bar Right hand side - lingual plate Two different designs on upper arch Plate connectors Cobalt chrome on right - ring connector
37
What are the minor connectors
38
What is the development of a Cobalt Chrome Denture
Design How to design dentures Wax pattern converted to metal by lost wax technique Technicians using CAD CAM systems and sintering for metal framework
39
What is the collected Denture
Most common denture - cover whole palate Fully collected denture Popular with dentist and patients Very well tolerated by patients Very retentive and stable
40
What are the limitations of collated dentures
Saliva can't get underneath denture that well Different candida species of fungi can colonise features of denture Candida albicans which lives on inside of denture When mucosa is covered, the saliva can't get underneath and it contains antifungal agents but because saliva can't get underneath the candida thrives
41
why does collecting need to be done correctly
Another problem Collets go Go all around gum margin Denture benign mucosa supported Acrylic is going to be pushing plaque into the pockets all around those teeth all of the time Can lead to inflammation , periodontitis To solve that problem The technician can change the design of the denture so the acrylic goes higher up the tooth the gingival margin Biting force places on tooth than soft tissue
42
What is a spoon denture
Denture clear nearly form all gingival margins Easy and quick denture to make Ideal if front tooth knocked out Single impression of patient 24 hours Embarrassment of losing tooth wouldn't be too long Good in terms of health of tissues
43
What are the disadvantages of spoon dentures
Not very supportive Covering elss fo SA Load of the bite to spread widely Cause localised gingival trauma of teeth Anterior teeth can fracture off load If anterior teeth can break off Could inhale denture Suitable as temporary measure particularly with younger patients
44
What is a modified spoon denture
Some areas of collided But majority of silver margin free Clasps are known as adam's clasps Can be used in orthodontics for retainers Good compromise
45
what are the advantages of modified spoon denture
46
What are the advantages of modified spoon denture
More complicated for technician to make Adam clasp cna fracture but easily replace
47
What is a important feature for dentures
Keep the away for the gums where possible Every denture Named after person Acrylic denture Does Not cover gingival
48
What are the effects of poorly designed dentures
49
What are the 4 principles of good denture design
Provided where possible Spread around several teeth Teeth could feel less fo the laid than if it was all confined to one tooth Denture needs to be rigid
50
What are the clinical stages for acrylic dentures
Normal clinical stages Primary impression Alginate impression Tired to record all of patients missing teeth Sulcus around the mouth where the dneute may go too Impression tray that fits the patient well Acrylic denture - secondary impression to make wax rims Wax rims used to record the occlusion so models mounted onto articulator For that paint to be able top function Send them back to the dentist to try in for the patient Function nicely for the patient Color and shape of teeth, the patients happy Normal route for denture Is possible for primary to fit
51
What are the clinical stages for cobalt chrome dentures
More stages Cannot skip Primary impression for special trays Surveying on the model Identifies where undercuts are Tooth modifications for denture Create undercut where tis not there Take secondary impression
52