PaSSMed: surgery Flashcards

(77 cards)

1
Q

A 44-year-old female presents with right-sided pleuritic chest pain of sudden onset. The pain is 8/10 severity, constant, and does not radiate to anywhere. She has a past medical history of hypertension, type 2 diabetes, stage 4 chronic kidney disease, hypercholesterolaemia. She does not have any known allergies. On examination, she has a respiratory rate of 24/min, heart rate 120 bpm, temperature of 37.6ºC. There is reduced air entry and inspiratory crackles in the right lower zone. An ECG shows sinus tachycardia and right-sided bundle branch block. D-dimer is reported as elevated. Given the likely diagnosis, what is the diagnostic investigation of choice?

A

A V/Q scan is the preferred option if the patient has an allergy to contrast media or has renal impairment. The patient in this question has a background of chronic kidney disease and therefore to prevent contrast-induced nephropathy, a V/Q scan would be the preferred option.

Not CTPA (normally would be)- contra-indicated in patients who have a renal impairment or are allergic to contrast media.

How well did you know this?
1
Not at all
2
3
4
5
Perfectly
2
Q

Spontaneous bacterial peritonitis: most common organism found on ascitic fluid culture is

A

E. coli

How well did you know this?
1
Not at all
2
3
4
5
Perfectly
3
Q

first-line treatment for prolactinomas

A

Dopamine agonists (e.g. cabergoline, bromocriptine) are first-line treatment for prolactinomas, even if there are significant neurological complications

How well did you know this?
1
Not at all
2
3
4
5
Perfectly
4
Q

An 88-year-old man is admitted to the surgical assessment unit from a nursing home. He is mildly confused so obtaining a history is difficult, but on questioning his care assistant it becomes apparent that he has been complaining of increasing abdominal pain and has a markedly reduced appetite for a week. He has not opened his bowels for several days.

His temperature is 37.0°C, pulse 92 bpm, regular and BP is 172/86 mmHg. His abdomen is very distended with discomfort on palpation.

This patient has a closed-loop obstruction due to volvulus of the sigmoid colon. How would you manage this patient initially?

A

This patient is elderly and frail. He does need intervention to relieve his obstruction. Passage of a decompressing flatus tube will relieve symptoms and is relatively non-invasive. For some patients this treatment may suffice. Volvulus may be recurrent however, requiring sigmoid colectomy as would those with associated perforation.

How well did you know this?
1
Not at all
2
3
4
5
Perfectly
5
Q

A 63-year-old woman is recovering on the ward following a laparoscopic right hemi-colectomy and primary anastomosis for a Duke’s B adenocarcinoma of the colon. You are asked to see her two days post-operatively due to a heart rate of 103 bpm and a blood pressure of 95/73 mmHg.

On examination she has a temperature of 37.1ºC, her respiratory rate is 22 per minute and her saturations are 98% on air. She has a very distended abdomen which is tense and mildly tender but with no guarding, her chest is clear and her operative wounds look clean and healthy. She is not feeling nauseated and she has not opened her bowels since before her operation or passed wind but she is starting to sip clear fluids. Her fluid balance chart shows a net positive fluid balance since surgery. Prior to surgery she had normal renal function and a blood test now shows the following:

What is the most likely cause for the abnormalities in this lady’s observations?

A

Ileus occurs in the few days following surgery and can cause hypovolaemia and electrolyte disturbances BEFORE nausea and vomiting becomes apparent

How well did you know this?
1
Not at all
2
3
4
5
Perfectly
6
Q

ileus

A

Post-operative deterioration is the most common reason for seeing a patient when working as a junior in general surgery and being able to diagnose the cause of a deterioration is crucial to managing patients appropriately. Her observations demonstrate she is hypovolaemic and her blood tests shows she has an acute kidney injury and low electrolytes, this suggests she is losing salt and water. However as her overall fluid balance is positive, the fluid and salt must be being sequestered into a body compartment or what is often referred to as a ‘third space’. An ileus would cause fluid build up in the intestinal lumen as peristalsis stops as this results in an overall loss of water and salt from the intravascular space but an overall positive fluid balance. This is a very common post-abdominal surgery complication and often settles on its own within a few days. The main symptomatic complaints from patients are nausea and vomiting although this often doesn’t become apparent for a few days, and abdominal distension and tenderness. The main signs on examination are abdominal distension, absolute constipation and blood tests in keeping with fluid and electrolyte loss. The treatment would be insertion of a wide-bore nasogastric tube and replacement with intravenous fluids until the bowel becomes motile again.

How well did you know this?
1
Not at all
2
3
4
5
Perfectly
7
Q

A 67-year-old woman presents to the emergency department with central abdominal pain. She vomited twice since the onset of the pain. She did not pass any wind or faeces in the last twelve hours.

Her past medical history comprises a partial small bowel resection following traumatic perforation.

On examination, her abdomen looks distended and there is generalised tenderness on palpation. Her blood tests show the following:

A

small bowel obstruction

Serum amylase levels can rise in small bowel obstruction not just pancreatitis

How well did you know this?
1
Not at all
2
3
4
5
Perfectly
8
Q

A 23-year-old female is due to undergo implantation of a middle ear prosthesis for sensorineural hearing loss. Her previous surgical history includes an appendectomy, for which she developed severe post-op nausea and vomiting.

Which of the following anaesthetic agents would be most appropriate to use?

A

Propofol is an antiemetic and is therefore particularly useful for patients with a high risk of post-operative vomiting

  • Nitrous oxide increases the risk of developing PONV.

Volatile liquid anaesthetics like isoflurane increase the risk of developing PONV.

IV ketamine can increase the chances of developing PONV.

How well did you know this?
1
Not at all
2
3
4
5
Perfectly
9
Q

The anaesthetic team is preparing a patient for elective knee replacement surgery. Her height is 1.60 metres and her weight is 80 kilograms. She is a non-smoker, non-drinker, and has no known medical conditions. She takes no regular medications.

What is the patient’s ASA score?

A

II

Patients with BMI between 30 and 40 are classified as ASA II

How well did you know this?
1
Not at all
2
3
4
5
Perfectly
10
Q

What is the muscle relaxant of choice for rapid sequence intubation?

A

Suxamethonium is the muscle relaxant of choice for rapid sequence induction for intubation

How well did you know this?
1
Not at all
2
3
4
5
Perfectly
11
Q

A 18-year-old female presents to the emergency department with a 2 day history of lower abdominal pain. She also complains of nausea and vomiting, and has not opened her bowels for 24 hours. She has mild dysuria and her last menstrual period (LMP) was 21 days ago. She smokes 20 cigarettes a day and drinks 15 units of alcohol per week. On examination she is haemodynamically stable, with pain in the right iliac fossa. Urinary pregnancy and dipstick are both negative. Which one of the following is the most likely diagnosis?

A

This is a fairly standard presentation of acute appendicitis (young age, site, associated symptoms)

  • The urinary investigations have excluded a urinary tract infection and ectopic pregnancy.
  • Mittelschmerz is also known as mid-cycle pain.
  • Diverticulitis usually presents at older ages and commonly localises to the left iliac fossa.
How well did you know this?
1
Not at all
2
3
4
5
Perfectly
12
Q

A 72-year-old man is recovering from an inguinal hernia repair when he suffers from an extensive ischaemic stroke. He is managed on the rehabilitation unit. However, he is still not able to feed safely and repeated swallowing assessments have shown that he tends to aspirate. Which of the following is the best option for long term feeding?

A

A PEG tube is the best long term option although they are associated with a significant degree of morbidity. A feeding jejunostomy would require a general anaesthetic. TPN is not a good option. Long term naso gastric feeding is usually unsatisfactory.

How well did you know this?
1
Not at all
2
3
4
5
Perfectly
13
Q

A 62-year-old female is undergoing a routine cholecystectomy for recurrent gallstones. Her only comorbidity is end-stage renal disease, as a result of polycystic kidney disease. For this she is undergoing regular haemodialysis, three times a week. As part of her pre-operative assessment her American Society of Anaesthesiologists (ASA) classification must be calculated.

What is her ASA classification?

A

Patients with end stage renal disease undergoing regular scheduled dialysis are classified as ASA III

How well did you know this?
1
Not at all
2
3
4
5
Perfectly
14
Q

An 80-year-old man is due for an elective knee replacement at 1 pm. It is now 11 am and he reveals that he drank a black coffee 30 minutes ago.

What is the most appropriate step to take?

A

Patients can drink clear fluids up to 2 hours before an operation

How well did you know this?
1
Not at all
2
3
4
5
Perfectly
15
Q

A 34-year-old woman presents with a lengthy post-operative ileus after extensive small bowel resection for Crohn’s disease. The surgical consultant suspects total intestinal failure after a prolonged postoperative period in which her remaining gut has failed to absorb.

Which of the following routes of administration is most appropriate for the delivery of nutrition in this patient?

A

Total parenteral nutrition should be administered via a central vein as it is strongly phlebitic

How well did you know this?
1
Not at all
2
3
4
5
Perfectly
16
Q

A 67-year-old woman is brought to the Emergency Department with severe abdominal pain which has been worsening the past two days. It began in the lower left side of her abdomen and she has had diarrhoea with it. She has a past medical history of hypertension, chronic kidney disease and diverticular disease.

Her heart rate is 121 bpm, blood pressure is 132/81 mmHg, temperature is 38.2ºC and her oxygen saturation is 97% on air. Her abdomen is tender throughout and exhibits involuntary guarding throughout. Her bowel sounds are inaudible and she has rebound tenderness present throughout her abdomen. A blood test on admission shows the following:

Hb139 g/lNa+139 mmol/lBilirubin8 µmol/lPlatelets732 * 109/lK+4.1 mmol/lALP68 u/lWBC19.1 * 109/lUrea6.1 mmol/lALT34 u/lNeuts16.3 * 109/lCreatinine112 µmol/lγGT55 u/lLymphs1.9 * 109/lAmylase7 u/lAlbumin34 g/l

Which of the following investigations would be best to confirm your diagnosis?

A

An erect chest x-ray is used to identify bowel perforation

How well did you know this?
1
Not at all
2
3
4
5
Perfectly
17
Q

A 26-year-old is scheduled to undergo a proctocolectomy for ulcerative colitis. They currently take long-term daily prednisolone 10mg/day to help manage their ulcerative colitis. They take no other regular medications.

What, if any, alterations need to be made to their medications before surgery?

A

Hydrocortisone supplementation is required prior to surgery for patients taking prednisolone

How well did you know this?
1
Not at all
2
3
4
5
Perfectly
18
Q

A 38-year-old man attends the ED with a 3-day history of epigastric pain. The pain has become increasingly severe but eases on sitting upright. The patient has been vomiting bilious liquid and has not eaten or opened his bowels normally for several days. The patient is not taking any medication but does have a history of alcohol misuse spanning several years.

On examination, he looks unwell and is in pain, his temperature is 37.8°C, heart rate 100 bpm, and blood pressure 120/70 mmHg. His abdomen is mildly distended and bowel sounds are quiet and there is diffuse tenderness with guarding in the upper abdomen. Chest and cardiovascular examination are otherwise unremarkable.

What differential diagnoses would you consider?

A

acute pancreatitis

acute cholecystitis

perforated duodenal ulcer

This patient clinically has an ileus and the severe upper abdominal pain could relate to acute pancreatitis or cholecystitis, a perforated duodenal ulcer or possibly a myocardial infarction. Chronic pancreatitis will have a longer history of pain, often after meals or drinking alcohol and is associated with weight loss, and malabsorption. The history is not typical of ischaemia which is not relieved by sitting and is often associated with rectal bleeding.

How well did you know this?
1
Not at all
2
3
4
5
Perfectly
19
Q

The serum amylase measurement is 380 iU/L (normal range 0-150 iU/L). Which two of the following statements regarding amylase are correct?

A

In acute pancreatitis the amylase level may be very high (>1000 U/ml). If the pancreatitis has been going on for a few days the level may drop however and moderate elevation may also be seen occasionally in other conditions e.g. duodenal perforation, mesenteric infarction, acute cholecystitis.

How well did you know this?
1
Not at all
2
3
4
5
Perfectly
20
Q

6 paramater used to score the severity of pancreatitis

A

The Glasgow-Imrie criteria for the severity of acute pancreatitis is scored once, 48 hours after admission and uses the following parameters:

  • PaO2
  • WCC
  • Serum calcium
  • urea
  • LDH
  • Albumin
  • Glucose
How well did you know this?
1
Not at all
2
3
4
5
Perfectly
21
Q

The patient recovers from this acute episode of pancreatitis, however returns to accident and emergency 6 weeks later with recurrence of upper abdominal pain. On this occasion there is fullness in the epigastrium although the symptoms and signs are less pronounced than at his initial presentation. His amylase is mildly elevated, having previously returned to normal What is the likely diagnosis?

A

pancreatic pseudocyst

US/CT will confirm and drainage is needed endoscopically, percutaneously or surgically.

  • classic after 4 weeks resolution
How well did you know this?
1
Not at all
2
3
4
5
Perfectly
22
Q

causes of acute pancreatitis

A
  • alcohol
  • gallstones
  • ERCP
  • Hyperlipidaemia
  • steroid therapy
How well did you know this?
1
Not at all
2
3
4
5
Perfectly
23
Q

important differential for appendicitis in children/teens

A

Mesenteric adenitis typically follows a respiratory tract infection but the patient would not be expected to have guarding

How well did you know this?
1
Not at all
2
3
4
5
Perfectly
24
Q

appendicitis in the elderly

A

may only present with confusion and minimal abdominal symptoms

How well did you know this?
1
Not at all
2
3
4
5
Perfectly
25
infants with appendicitis may present with
diarrhoea and vomiting
26
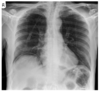
A 42-year-old man has a productive cough one day after an open appendicectomy. describe the findings of this x-ray
free air beneath the right hemi-diaphragm normal finding after surgery: Free air is often present for a short time after abdominal surgery and is unlikely to be of significance in this patient who only has a cough.
27
Pabrinex
Intravenous High Potency **contains vitamins B1, B2, B6, nicotinamide, vitamin C and glucose**.
28
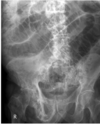
A 62-year-old man has vomiting with abdominal distension and discomfort. He is 2 days post elective sigmoid colonic resection for diverticular disease. what does the axr show
Multiple dilated loops of small bowel are present – note the mucosal folds (valvulae conniventes) traversing the bowel lumen. The patient also has incidental Paget’s Disease of his pelvis – the bone is sclerotic and the trabecular pattern is coarsened.
29
A 62-year-old man has vomiting with abdominal distension and discomfort. He is 2 days post elective sigmoid colonic resection for diverticular disease what is the likely diagnosis
small bowel ileus His clinical presentation is of a post-operative ileus, small bowel obstruction would normally be associated with increased bowel sounds. Patients with small bowel ischaemia are extremely sick.
30
treatment of small bowel ileus after surgeyr
nasogastric tube to drain stomach content- decompress * IV fluids * analgesia * electrolyte replacement
31
Seven days later, the ileus is ongoing. There is approximately 2L of fluid coming up the NG tube daily, bowel sounds are absent, and there is no passage of stool or flatus per rectum. What is the most appropriate form of nutritional support for this patient?
total parenteral nutrition (TPN) The patients GI tract is not working and feeding him into the stomach or upper small bowel, no matter how you get it there (eating and drinking, NG, NJ, or via a PEG) will not work. If the gut is not working, it will not be absorb nutrients and so the parenteral route has to be used. Note that it is very unusual for an ileum to continue for this length of time and you need to ensure that you are not missing another complication (may need a CT scan).
32
why give pabrinex to before commencing TPN
Pabrinex contains a mixture of B vitamins and vitamin C. The reason we give it is to make sure that the patient has plenty of thiamine available to them as they start feeding. Thiamine is required to process the food which has been given and if you have been in a state of starvation then thiamine levels will be low with a risk that it could be used up as feeding commences. This can result in **Wernicke’s encephalopathy** which is reversible if thiamine is given. If it is not identified and thiamine is not administered, then it will rapidly progress to **Korsakoff’s Psychosis**, an irreversible dementia.
33
A 58-year-old man presents to surgical out-patients with a 3-month history of weight loss and feeling unwell. Over the previous 10 days he has noticed he has become jaundiced and is itching over his trunk and limbs. He has lost his appetite but has no pain, nausea, vomiting or dysphagia. He is opening his bowels but the motions have become light coloured and loose, although no bleeding is evident. He smokes 5 cigarettes per day and does not drink alcohol. He had a coronary artery bypass grafting 6 years previously and is taking aspirin, bisoprolol, ramipril and atorvastatin. On examination, he looks underweight and mildly icteric. His temperature is 37.0°C, pulse 62 bpm and regular, and BP 135/85mmHg. Cardio-respiratory examination is unremarkable. No nodes are palpable in his neck. On examination of his abdomen there is fullness in the right upper quadrant with the suggestion of a mass. He has no tenderness or guarding and bowel sounds are present and normal. Rectal examination reveals an empty rectum. mostly likely diagnosis
carcinoma of the pancreas cholangiocarcinoma
34
Suspected carcinoma of the head of pancreas or cholangiocarcinoma Which two additional tests would be most helpful to request in clinic?
CT TAP (CAP) tumour markers- CA 19-9, CEA, AFP
35
A 58-year-old man presents to surgical out-patients with a 3-month history of weight loss and feeling unwell. Over the previous 10 days he has noticed he has become jaundiced and is itching over his trunk and limbs. He has lost his appetite but has no pain, nausea, vomiting or dysphagia. He is opening his bowels but the motions have become light coloured and loose, although no bleeding is evident. He smokes 5 cigarettes per day and does not drink alcohol. He had a coronary artery bypass grafting 6 years previously and is taking aspirin, bisoprolol, ramipril and atorvastatin. On examination, he looks underweight and mildly icteric. His temperature is 37.0°C, pulse 62 bpm and regular, and BP 135/85mmHg. Cardio-respiratory examination is unremarkable. No nodes are palpable in his neck. On examination of his abdomen there is fullness in the right upper quadrant with the suggestion of a mass. He has no tenderness or guarding and bowel sounds are present and normal. Rectal examination reveals an empty rectum. What is the mass in the right upper quadrant likely to represent?
distended gallbladder
36
remember Courvoisier’s Law
– painless jaundice and a palpalble gallbladder implies a diagnosis other than gallstones.
37
A CT scan demonstrate a 3 cm mass in the head of the pancreas in keeping with a carcinoma, with marked dilatation of the gallbladder and biliary tree. What is the next investigation of choice?
ERCP if stenting is required and allows the opportunity to try and obtain a tissue diagnosis at the same time (endoscopic brushings).
38
complications of ERCP?
Perforation aspiration pneumonia acute pancreatitis ascending cholangitits haemorrhage
39
A 43-year-old woman presents with a non-tender lump in the right groin. She has no altered bowel habits and no abdominal pain. She has a history of asthma and 3 previous vaginal deliveries. On examination, there is a palpable soft swelling with a positive cough impulse. The swelling is inferolateral to the right pubic tubercle, non-tender and fully reducible. Both femoral pulses are palpated separately and are normal. What is the most appropriate management plan for this patient?
refer for surgical repair Femoral hernias need to be repaired, regardless of whether they are symptomatic, due to the risk of strangulation
40
A 41-year-old phlebotomist from Birmingham presents to her GP with a 2 month history of vague right upper quadrant pain and nausea. It is constant, does not radiate, and does not change following food. She describes no history of altered bowel habit, weight loss or fevers. She drinks around 10 units of alcohol per week, is a non smoker, and has no medical history of note. Her GP arranges a set of blood tests and an ultrasound of her liver. Results are below: FBC, U+E, LFT and clotting profile are normal. What is the most likely cause of the patients symptoms?
**Hepatic haemangiomas** are relatively common incidental findings on imaging, but larger lesions may present symptomatically The presence of anti-HBs shows previous hepatitis immunisation or immunity. As a UK phlebotomist, she will have received hepatitis B immunisation.
41
femoral hernia found
**a femoral hernia will pass inferior and lateral to the pubic tubercle**
42
inguinal hernia found
**seen above and medial to the pubic turbercle**
43
A 69-year-old male presents to the emergency department with acute right loin pain which has gotten progressively worse over the last couple of hours. On examination, his heart rate is 78 beats per minute, respiratory rate is 19 breaths per minute, blood pressure is 130/85 mmHg, and temperature is 36.6 ºC. The abdomen is soft and non-tender with a bulge noted in the groin region superior and medial to the pubic tubercle which is unable to be pushed back in. Bowel sounds are present. Given the patient's presentation, what is the most likely diagnosis?
inguinal incarcerated hernia If a hernia cannot be reduced it is referred to as an incarcerated hernia (A femoral strangulated hernia is incorrect. Given the absence of systemic features and normal vital signs, the hernia is unlike to be strangulated. Additionally, femoral hernias are inferior and lateral to the pubic tubercle, whilst inguinal are medial and superior)
44
indication for splenectomy
haemodynamic instability and complete devascularisation of the spleen
45
isograft
twin An Isograft is **a graft of tissue between two individuals who are genetically identical** (i.e. monozygotic twins).
46
allograft
someone not related **The transplant of an organ, tissue, or cells from one individual to another individual of the same species who is not an identical twin**.
47
xenograft
from another species
48
autograft
from self **the transplantation of tissue from one location to another in the same individual**
49
A 23-year-old man is admitted to the emergency department following an altercation. He was hit in the face using considerable force with a cricket bat. He has a Glasgow Coma Scale score of 13. On examination, there is extensive bruising around the left eye, you can see bruising behind the left mastoid. He has clear fluid dripping down his nose. What is a quick and easy bedside test to perform to confirm that the fluid is CSF?
check for glucose (no glucose in mucus) Beta-3 transferrin gold standard
50
A 35-year-old Singaporean female attends a varicose vein pre operative clinic. On auscultation a mid diastolic murmur is noted at the apex. The murmur is enhanced when the patient lies in the left lateral position.
**Mitral stenosis**
51
A 22-year-old intravenous drug user is found to have a femoral abscess. The nursing staff contact the on call doctor as the patient has a temperature of 39oC. He is found to have a pan systolic murmur loudest at the left sternal edge at the 4th intercostal space.
tricuspid regurg
52
An 83-year-old woman is admitted with a left intertrochanteric neck of femur fracture. On examination the patient is found to have an ejection systolic murmur loudest in the aortic region. There is no radiation of the murmur to the carotid arteries. Her ECG is normal.
aortic sclerosis The main differential diagnosis is of aortic stenosis, however as there is no radiation of the murmur to the carotids and the ECG is normal, this is less likely.
53
A patient who is awaiting an inguinal hernia repair is found to be positive for MRSA after screening at the pre-admission clinic. What treatment should he be offered, if any?
Suppression of MRSA from a carrier once identified * nose: mupirocin 2% in white soft paraffin, tds for 5 days * skin: chlorhexidine gluconate, od for 5 days. Apply all over but particularly to the axilla, groin and perineum
54
contraindication to circumcision
hypospadia **a birth defect in boys in which the opening of the urethra is not located at the tip of the penis**
55
A 52-year-old male presents to the emergency department with a 4-hour history of acute loin pain associated with haematuria and fever. He has a past medical history of hyperparathyroidism. Observations show: * Respiratory rate of 18 breaths/min * Pulse of 113 beats/min * Temperature of 38.7ºC * Blood pressure of 126/88 mmHg * Oxygen saturations of 94% on room air * A CT kidney, ureters and bladder (KUB) identifies hydronephrosis of the left kidney and a renal stone in the left ureter, measuring 1.6cm in diameter. The sepsis 6 pathway is initiated. What is the most appropriate next step in the immediate management of this patient?
nephrostomy tube insertion to decompress the kidneys
56
nephrostomy
A nephrostomy tube is a thin plastic tube that is passed from the back, through the skin and then through the kidney, to the point where the urine collects. Its job is to temporarily drain the urine that is blocked.
57
A 62-year-old man presents to the GP due to worsening urinary symptoms. He describes frequent urges to pass urine throughout the day and has occasionally experienced incontinence. He denies any hesitancy, dribbling or weak stream. He has trialled bladder retraining with minimal success. On examination, his prostate is smooth, regular and not enlarged. A recent PSA (prostate-specific antigen) blood test was normal. The man has no medical history and takes no regular medications. What is the most appropriate management?
**first line:** oxybutynin Antimuscarinic drugs are useful in patients with an overactive bladder **second line: mirabegron**
58
A 52-year-old man attended his GP following two episodes of painless visible haematuria. He was referred to urology for flexible cystoscopy and biopsy, which identified a transitional cell carcinoma of the bladder. What is considered the most important risk factor for this condition?
smoking
59
A 48-year-old women presents with recurrent loin pain and fevers. Investigation reveals a staghorn calculus of the left kidney. Infection with which of the following organisms is most likely?
proteus mirabilis
60
A 68-year-old male presents to his GP complaining of urological symptoms. He describes getting up often in the night to urinate, sometimes with urgency, finding it difficult to begin urinating, and a poor stream when he is able to urinate. The GP performs a digital rectal exam which reveals an enlarged but smooth prostate. A blood test is taken for his PSA levels. His GP decides to prescribe tamsulosin to relieve his symptoms. What is the mechanism of action of tamsulosin?
alpha 1 antagonist promote relaxation of the smooth muscle of the prostate and the bladder to reduce LUTS
61
management of BPH
* watchful waiting * **First line: alpha-1 antagonists e.g. tamsulosin**, alfuzosin * decrease smooth muscle tone of the prostate and bladder * considered first-line: NICE recommend if moderate-to-severe voiding symptoms (IPSS ≥ 8) * improve symptoms in around 70% of men * adverse effects: dizziness, postural hypotension, dry mouth, depression * **Second line: 5 alpha-reductase inhibitors e.g. finasteride** * block the conversion of testosterone to dihydrotestosterone (DHT), which is known to induce BPH * indicated if the patient has a significantly enlarged prostate and is considered to be at high risk of progression * unlike alpha-1 antagonists causes a reduction in prostate volume and hence may slow disease progression. This however takes time and symptoms may not improve for 6 months * may also decrease PSA concentrations by up to 50% * adverse effects: erectile dysfunction, reduced libido, ejaculation problems, gynaecomastia * the use of combination therapy (alpha-1 antagonist + 5 alpha-reductase inhibitor) was supported by the Medical Therapy Of Prostatic Symptoms (MTOPS) trial and is also supported by NICE: '*If the man has bothersome moderate-to-severe voiding symptoms and prostatic enlargement*' * if there is a mixture of storage symptoms and voiding symptoms that persist after treatment with an alpha-blocker alone, then an antimuscarinic (anticholinergic) drug such as tolterodine or darifenacin may be tried * surgery * transurethral resection of prostate (TURP)
62
A 64-year-old women attends oncology clinic following a diagnosis of oestrogen receptor (ER) positive breast cancer. Her consultant decides to commence treatment with anastrozole, an aromatase inhibitor. Of the following, which is a potential complication associated with this treatment?
Aromatase inhibitors (e.g. anastrozole) may cause osteoporosis
63
In the management of oestrogen receptor (ER) positive breast cancer, two classes of oral anti-oestrogen drugs are predominantly used.
* **Aromatase inhibitors (AIs)** such as anastrozole and letrozole reduce peripheral oestrogen synthesis. This accounts for the majority of oestrogen synthesis in post-menopausal women, and therefore aromatase inhibitors are used in this group. * The major adverse effect of aromatase inhibitors is osteoporosis. In postmenopausal women, aromatase inhibitors increase bone loss at a rate of 1- 3%/year. Bone mineral density should be checked both prior to commencing and throughout treatment. * **Selective Estrogen Receptor Modulators (SERM)**, such as tamoxifen. This is used to treat both pre- and post-menopausal women with ER positive breast cancer. * Adverse effects include venous thromboembolism, endometrial cancer, cerebral ischaemia and hypertriglyceridaemia.
64
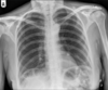
describe this x-ray
**Chilaiditi syndrome** There is a loop of large bowel interposed beneath liver and diaphragm. This can be mistaken for air under the diaphragm at first glance.
65
what is it called when there is a loop of large bowel interposed beneath liver and diaphragm
this is a normal variant known as **Chilaiditi’s syndrome** It should not be confused with free intra-peritoneal air.
66
A 59-year-old patient presents to the surgical assessment unit with a one-week history of worsening colicky right upper quadrant pain. This has been associated with nausea and she has vomited twice. The patient has also felt unwell and “shivery” and she has not opened her bowels normally for the last few days. Previously she has been fit and well and her only previous history to note is that of a cholecystectomy for gallstones several years previously. On examination, she looks unwell and flushed with a heart rate of 95bpm, blood pressure 140/75 mmHg and temperature 38oC. Cardiac and respiratory examination is unremarkable. Abdominal examination demonstrates diffuse tenderness with mild guarding in the right upper quadrant. Bowel sounds are present but reduced – no definite masses are palpable. Cholecystectomy scar is present. What is the most likely diagnosis?
The triad of acute pain, fever and jaundice is diagnostic of **ascending cholangitis.** Although this patient is not obviously jaundiced, she has an obstructive picture in her liver function tests. The serum amylase is usually normal in ascending cholangitis and if gallstones are present in the duct in theory there may be pancreatitis also. Acute hepatitis is associated with a hepatitic picture in liver function tests.
67
The ultrasound examination is technically difficult due to bowel gas but confirms the common bile duct to measure 10mm at the porta hepatis and there is mild intrahepatic biliary tree dilatation. The distal common bile duct and pancreas are not seen. What further investigation is now indicated?
**MRCP** is a non-invasive tool which is good at evaluating the biliary tree. It is preferred to ERCP in this instance as we have not proven a ductal stone as yet, and if the stone has passed then it would be putting the patient to unnecessary risk to proceed direct to ERCP. However there can often be a delay in organising an MRCP and many clinicians would proceed with ERCP in a patient with evidence of ascending cholangitis and a dilated CBD.
68
MRCP
It is essentially an MRI scan, which **uses a strong magnetic field and radio waves to create pictures of the liver, gallbladder, bile ducts, pancreas and pancreatic duct for disease**. It is noninvasive and does not use ionizing radiation
69
complications of ERCP
It can be associated with pancreatitis, infection, aspiration pneumonia. Endoscopic retrograde cholangiopancreatography, or ERCP, is **a procedure to diagnose and treat problems in the liver, gallbladder, bile ducts, and pancreas**. It combines X-ray and the use of an endoscope—a long, flexible, lighted tube.
70
Which single investigation on the ward could be carried out to confirm acute urinary retention?
bladder residual scan
71
A 49-year-old gentleman presents to the emergency department overnight with abdominal pain. He is pacing his cubicle in pain, reports 10/10 pain originating on the right hand side of his back which moves around to his right testicle. He has vomited normal gastric contents once but has no other symptoms. His observations are normal apart from a heart rate of 100bpm. Urine dip shows ++ blood. He is given PR diclofenac and oramorph for pain. The next morning his pain is controlled and the tachycardia has settled, and he undergoes a CTKUB. This shows no stones in the ureters, however, there is 'stranding' of the peri-ureteric fat. There is no sign of bowel or other abdominal organ pathology. What is the correct diagnosis?
Periureteric fat stranding may indicate recent stone passage, if a ureteric calculus is not present.
72
A 56-year-old motorcyclist is involved in a road traffic accident and sustains a displaced femoral shaft fracture. No other injuries are identified on the primary or secondary surveys. The fracture is treated with closed, antegrade intramedullary nailing. The following day the patient becomes increasingly agitated and confused. On examination he is pyrexial, hypoxic SaO2 90% on 6 litres O2, tachycardic and normotensive. Systemic examination demonstrates a non blanching petechial rash present over the torso. What is the most likely explanation for this?
fat embolism
73
fat embolism after orthopaedic surgery
Triad of symptoms: * Respiratory * Neurological * Petechial rash (tends to occur after the first 2 symptoms)
74
A Salter–Harris fracture x
A Salter–Harris fracture is **a fracture that involves the epiphyseal plate or growth plate of a bone, specifically the zone of provisional calcification**. It is thus a form of child bone fracture. It is a common injury found in children, occurring in 15% of childhood long bone fractures.
75
A 72-year-old retired teacher is admitted to A&E with a fall and hip pain. He is normally fit and well. He lives with his son in a detached, 2 storey house. A hip x-ray confirms an extracapsular fracture. appropriate management
Dynamic hip screw ## Footnote Extracapsular fractures should be treated surgically. Since the blood supply to the femoral head is not compromised joint replacement is not usually warranted.
76
A 72-year-old retired teacher is admitted to A&E with a fall and hip pain. He is normally fit and well. He lives with his son in a detached, 2 storey house. A hip x-ray confirms an subtrochanteric fracture.
intramedullary device Intramedullary device is normally recommended for reverse oblique, transverse or subtrochanteric fractures.
77
An 86-year-old retired pharmacist is admitted to A&E following a fall. She complains of right hip pain. She is known to have hypertension and is currently on bendrofluazide. She lives alone and does not mobilise. Her right leg is shortened and externally rotated. A hip x-ray confirms a displaced intracapsular fracture.
**Hemiarthroplasty non cemented prosthesis****69%** ## Footnote This patient warrants a hemiarthroplasty due to reduced mobility and older age. The anterolateral approach is recommended in the SIGN guidelines. In this case most surgeons would not use a cemented prosthesis.