past papers quick notes Flashcards

(206 cards)

1
Q

Which condition would be the most likely cause in
pt with bony expansion of maxilla and is elderly and has a high alkaline phosphotase level

A

paget’s disease

How well did you know this?
1
Not at all
2
3
4
5
Perfectly
2
Q

Which condition would be the most likely cause in
pt with bony expansion of maxilla and has a raised serum calcium level

A

hyperparathyroidism

How well did you know this?
1
Not at all
2
3
4
5
Perfectly
3
Q

Which condition would be the most likely cause in
pt with bony expansion of maxilla and is 15years old and has bilateral maxillay expansion

A

cherubism

How well did you know this?
1
Not at all
2
3
4
5
Perfectly
4
Q

Which condition would be the most likely cause in
pt with bony expansion of maxilla and radiography shoes a radiolucency with generalised loss of lamina dura

A

Paget’s disease

How well did you know this?
1
Not at all
2
3
4
5
Perfectly
5
Q

Which condition would be the most likely cause in
pt with bony expansion of maxilla and pt has pigmented spots on their skin and has precocoius puberty

A

Albright’s syndrome

How well did you know this?
1
Not at all
2
3
4
5
Perfectly
6
Q

Which condition would be the most likely cause in
pt presents with pain in their face and is Middle-aged, female patient with constant burning sensation affecting the palate and tongue, with erythema of the mucosa.

A

oral dyseasethesia (burning mouth)

How well did you know this?
1
Not at all
2
3
4
5
Perfectly
7
Q

Which condition would be the most likely cause in
pt presents with pain in their face and has recent onset dull throbbing pain over the maxilla worsened by bending over to tie shoelaces

A

Maxillary sinusitis

How well did you know this?
1
Not at all
2
3
4
5
Perfectly
8
Q

Which condition would be the most likely cause in
pt presents with pain in their face and is young adult F with episodic unilateral peri-orbital pain lasting 20 mins with nasal congestion, the pain being brought on by shaking of the head

A

chronic paroxysmal hemicranias

How well did you know this?
1
Not at all
2
3
4
5
Perfectly
9
Q

Which condition would be the most likely cause in
pt presents with pain in their face and is elderly F with sharp, shooting pain over the right cheek brought on by eating, associated with lacrimation

A

trigeminal neuralgia

How well did you know this?
1
Not at all
2
3
4
5
Perfectly
10
Q

Which condition would be the most likely cause in
pt presents with pain in their face and is elderly F with unilateral, throbbing pain and loss of muscular power around the shoulders

A

giant cell arteritis with polymyalgia rheumatica

How well did you know this?
1
Not at all
2
3
4
5
Perfectly
11
Q

pt referred to OM for evaluation of dry mouth

feature associated dehydration

A

abnormally high glucose levels - diabetic

How well did you know this?
1
Not at all
2
3
4
5
Perfectly
12
Q

pt referred to OM for evaluation of dry mouth

feature associated sjogren’s syndrome

A

anti ro antibody positive

How well did you know this?
1
Not at all
2
3
4
5
Perfectly
13
Q

pt referred to OM for evaluation of dry mouth

feature associated ectodermal aplasia

A

sparse hair follicles

How well did you know this?
1
Not at all
2
3
4
5
Perfectly
14
Q

biopsy for sjorgren’s from where

A

labial gland

How well did you know this?
1
Not at all
2
3
4
5
Perfectly
15
Q

Susan, is a 29 year-old patient who is a regular attender at your practice, she has previously undergone periodontal treatment. She attends your practice as an emergency pain appointment, complaining of pain in her upper front tooth. On examination you notice a swelling pertaining to the 11 as above, the tooth is TTP and there is associated lymphadenopathy.

2 differential dx

A

periodontal abscess

periapical abscess

How well did you know this?
1
Not at all
2
3
4
5
Perfectly
16
Q

2 special investigations undertake for this

A

periapical radiograph
sensibility testing (EPT, ECl)

How well did you know this?
1
Not at all
2
3
4
5
Perfectly
17
Q

2 ways could drain this swelling

A

incise and drain
drain through periodontal pocket

How well did you know this?
1
Not at all
2
3
4
5
Perfectly
18
Q

initial management of this swelling if not endodontically involved

A
  • LA and drain abscess through pocket
  • gentle irrigation and PMPR of pcket - short of the base to prevent traumatising
  • antibiotics due to lymphadenopathy (phenoxymethylpencillin 250mg tablets, 2 tablets 4xdaily)
  • advise on CHX mouthwash 0.2% 10ml 1min rinse 2xdaily (no more than 14days, 30min after toothbrush)
  • review to ensure resolution at 10days and further PMPR
How well did you know this?
1
Not at all
2
3
4
5
Perfectly
19
Q

A patient presents with an Adhesive Bridge, the pontic is replacing the 11 and the 12 and 21 have adhesive wings bonded to them as abutments. You fitted the bridge 3 months previous and it has debonded.

4 potential reasons for debonding of a bridge clinically

A
  • unfavourable occlusion
  • insufficient coverage with adhesive wing for bonding
  • poor enamel quality of abutments
  • inadequate moisture control during cementation
  • caries
How well did you know this?
1
Not at all
2
3
4
5
Perfectly
20
Q

4 methods of checking bridge debonding clinically

A
  • pressing on the pontic and looking for movement of adhesive wings
  • pressing on adhesive wings and looking for bubbling of saliva at wing/tooth interface
  • explore the margins with a proble looking for defects and place probe under pontic and apply coronal pressure and looking for movement of adhesive wing
  • try and pass floss under adhesive wing
  • radiograph?
How well did you know this?
1
Not at all
2
3
4
5
Perfectly
21
Q

A patient presents with an Adhesive Bridge, the pontic is replacing the 11 and the 12 and 21 have adhesive wings bonded to them as abutments. You fitted the bridge 3 months previous and it has debonded.

alternative to replce tooth other than bridge
alternative bridge design

A

RPD or implant

adhesive cantilever using 21 as retainer only or spring cantilever using 16 as retainer

How well did you know this?
1
Not at all
2
3
4
5
Perfectly
22
Q

A patient presents with an Adhesive Bridge, the pontic is replacing the 11 and the 12 and 21 have adhesive wings bonded to them as abutments. You fitted the bridge 3 months previous and it has debonded.

decide implant next
give 2 general and 2 local factors to check prior to implant placement

A

general - head and neck cancer tx (radiotherapy), bisphophonate use, diabetic, smoking status

local - bone height, space available between existing teeth and roots, OH, rotations/drifting of tooth

How well did you know this?
1
Not at all
2
3
4
5
Perfectly
23
Q

patient is attending treatment area for the extraction of their lower left third molar due to persistent pericoronitis

7 features that indicate a close proximity to IDC

A
  • deflection of canal
  • deflection of roots
  • interruption of tramlines of canal
  • narrowing of canal
  • narrowing of roots
  • juxta apical area
  • darking of roots where crosses the IDC

Rood and Shehab

How well did you know this?
1
Not at all
2
3
4
5
Perfectly
24
Q

suspicious of close proximity to IDC of lower 8 - what to do

A

CBCT
infor pt of risk to nerve

How well did you know this?
1
Not at all
2
3
4
5
Perfectly
25
potential complications of extracting tooth which is close proximity to IDC
inferior alveolar nerve paraesthesia (numbness) inferior alveolar nerve dysthesia (pain) temporary or permanent
26
procedure for lower 8s to reduce risk of complications to IAN
coronectomy
27
3 scenarios where inc risk of bleeding post XLA
anticoagulant (apixaban, dabigatran, rivaroxaban, wafarin) antiplatelet (clopidogrel, aspirin) alcoholic liver disease
28
post op methods of achieving haemostasis
damp gauze and pressure surgicel (oxidised cellulose) and suturing LA with vasoconstrictor diathermy
29
patient attends you practice complaining of jaw stiffness and on examination you notice intra-oral signs of bruxism and diagnose TMD. signs/symptoms of TMD | 6
* pain * MoM hypertrophy * clicking, popping, crepitus of TMJ * linea alba * tongue scalloping * tooth wear - attrition
30
2 muscles to palpate for TMD
temporalis masseter
31
6 conservative pieces of advice for TMD
* stop any parafunctional habits - nail biting * prevent chewing gum all the time * cut food into small pieces/ softer diet/ don't incise foods * chew bilaterally * supportive yawning * relaxation methods/reduce stress * jaw exercises booklet
32
edentulous ridge classifications | 6
class 1 - tooth in alveolus class 2 - immediate post XLA class 3 - broad ridge class 4 - knife edge class 5 - flat class 6 - submerged | cawood and atwood classfications 3-6 post XLA for definitive denture
33
RPD reistance
resistance to vertical disloding forces
34
RPD indirect retention
use of supportive components to resit rotation forces components are placed at 90 degrees to clasp axis and on opposite side from disloding forces
35
describe desquamative gingivitis
a clinically descriptive term erythematous and ulcerated gingiva caused by a number of conditions and allergies, inflammation can extend beyound the mucogingival junction reddish, glazed and friable with destruction of the epithelium
36
3 conditions that you would see desquamative gingivitis
lichen planus Mucous membrane pemphigoid (MMP) pemphigus vulgaris
37
management of desquamative gingivitis
biopsy area of mucosa and use immunoflurescence and histological analysis to determine cause betametsone mouth rinse (500microgram soluble tablets, 1 in 10ml water rinse 4xdaily (100 total)) lidocaine ointment/bendydamine oromucosal spray 0.15% systemic corticosteroids to prevent any new lesions forming (prednisolone) diet advice and SLS free toothpaste perio management if indicated - MPBS, 6PPC, OHI
38
another gingival disease that is painful on presentation
necrotising ulcerative gingivitis
39
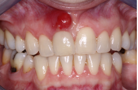
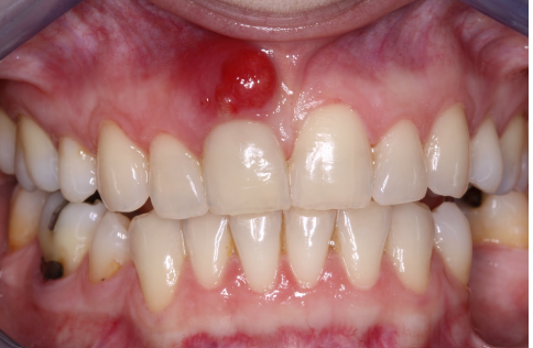
patient presents at your practice with a large discoloured swelling Name 4 local and 3 generalised causes of pigmentation
local * malignant melanoma * melanocytic naevus * amalgam tatto * haemangioma generalised * racial pigmentation * addison's disease * smoking
40
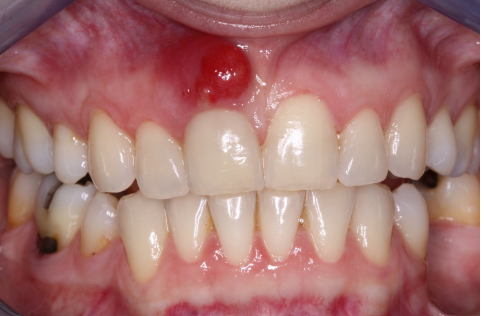
patient presents at your practice with a large discoloured swelling Name 4 local and 3 generalised causes of pigmentation
local * malignant melanoma * melanocytic naevus * amalgam tatto * haemangioma generalised * racial pigmentation * addison's disease * smoking
41
name 2 types of haemangioma and 2 histological differences between them
capillary or cavernous haemagiomas cavernous is encapsulated and capillary is not cavernous is dilated vascular space and capillary is thiin walled
42
4 key personnel involved in decon and description of their roles
Operator * Responsible for day to day operations, recording machine readings User * Responsible for daily testing and maintenance of records Manager * Ultimately responsible for running of LDU and release of instruments fit for use Engineer * Annual and quarterly testing of the machines and any maintenance
43
water used for final rinse cycle and why? (opposed to mains water)
reverse osmotic mains water has minerals in it which can - damage instruments, cause limescale build up, give roughened surface for bacteria to adhere to
44
describe the appearance of dental fluorosis
diffuse chalky discolouration, symmetrical
45
% of Fluoride which is optimum in drinking water
1ppm (1mg/l)
46
methods of delivering fluroide to 8 year old | 3
fluoride toothpaste 1450ppm fluoride mouthrinse 225ppm (if can demo rinse) fluoride varnish 22600ppm
47
local action of fluoride on oral cavity | 3
promotes remineralisation of any demineralised enamel forms fluoroappatite which has a higher erosion resistance inhibits bacterial metabolism and acid production
48
best tx option for fluorosis adv of this (2)
microabrasion conservative - only removing 100microns enamel results are permanent (unlike external vital bleaching)
49
10 year old boy presents at your surgery with his mother. His only complaint is a bad taste in his mouth. On examination you note generalised white plaque that scrapes off easily and leave an erythematous base. dx
pseudomembranous candidosis
50
10 year old boy presents at your surgery with his mother. His only complaint is a bad taste in his mouth. On examination you note generalised white plaque that scrapes off easily and leave an erythematous base. 4 predisposing factors for pseudomembranous candidiasis (2 local and 2 systemic)
local * use of corticosteorid inhaler * removable prosthesis (URA) systemic * diabetes * systemic immunosuppressive tx * immunosuppression side effect of tx (e.g. chemo)
51
adv and disadv of oral swab
adv - site specifc disadv - not quantitive
52
adv and disadv of oral rinse
adv - quantitive disadv - not site specific
53
1st line medications for pseudomembranous candidosis
fluconazole 50mg capsules, 1 capsule daily for 7 days (child 3mg/kg daily (max 50mg till 17)
54
fluconazole interactions and nature of them
warfarin * inc risk of bleeding (inc free warfarin) statins * cause muscle death and rhambdomyolysis
55
Mrs. Dodds is a 45 year old woman. You placed a large MOD composite in her 46, 6 months ago. She presents at your practice complaining that a bit of the filling has come away and she is not happy at all! You suspect that this may have something to do with the bonding and placement of the composite restoration. describe how composite bonds to dentine
**etch** is used to remove any smear layer present and open up dentineal tubules and expose collagen fibres **prime and bond** primer (HEMA momomer) - aid in changing the surface from hydrophillic to hydrophobic resin adhesive agent - when polymerising it flows into dentine tubules to form resin tags, the polymer chains will aslo become entangled with exposed collagen fibres to give micrmechanical retention - Hybrid Layer composite resin can bond to the hydrophobic adhesive resin surface
56
Describe how Porcelain is treated to improve its retention
sandblasting of fitting surface and hydrofluoric acid to etch the surface and then silane coupling agent applied
57
2 luting cements, other than resin based, that could be used to bond porcelain crown
RMGIC/GIC zinc polycarboxylate
58
describe how a resin based luting cement bonds to porcelain
silane coupling agent bonds with the oxides present in the porcelain, also has C=C end of the molecule, rending the surface hydrophobic and allowing resin based agent to bond to the surface
59
adv of pacing crown as posterior restoration
Cuspal coverage to provide support and protection for the remaining tooth tissue
60
A patient is referred to your practice to have a large MOD amalgam in their 46 replaced as it was causing a lichenoid tissue reaction. You successfully replace it with composite and take a radiograph after placement which confirms that there is no secondary caries or pathology of any kind. The patient attends 5 days later complaining on pain when biting up and down and to transient thermal stimuli. 5 possible causes of symptoms
cracked tooth syndrome residual resin monomer causing pulpal inflammation pulpal damage due to excessive heat production during cavity prep high restoration causing premature occlusal contact uncured HEMA expanding due to moisture
61
5 restorative features to prevent pt complaining of pain on biting and transient theremal stimuli after restoration placed
* low configuration factor to prevent polymerisation shrinkage stresses * incremental placement to prevent soggy bottom * ensure bur cooled by water on high speed * check occlusion after placement using articulating paper * ensure an appropriate curing regime is used
62
The mother of one of you young patients phones your practice, stating that her son has ingested fluoride toothpaste and she is worried. Qs to ask mum | 3
what is the fluoride strength of the toothpaste how much of teh toothpaste did the child ingest what is the weight of the child
63
child has ingested possibly toxic fluoride dose, what is your advice? | 2
ingest a large amount of calcium (milk) take child to A+E immediately
64
most common cause of fluorosis in UK
water
65
pt is 10 with fluorosis what is the 1st line of tx
microabrasion
66
1 yo living in an area of <0.3ppm fluoridated water fluoride supplement value
0.25mg per day
67
4yo living in an area of <0.3ppm fluoridated water fluoride supplement value
0.5mg per day
68
7yo living in an area of <0.3ppm fluoridated water fluoride supplement value
1mg per day
69
10 year old boy presents to your practice after having fallen and banged his upper front tooth. On examination you diagnose a subluxation dx features of subluxation
tooth has not been displaced in the socket inc mobility of the tooth bleeding from gingival sulcus
70
splint for subluxation how long for
passive flexible splint (up to 0.4mm) 2 weeks onto tooth either side of traumatised one
71
when to review subluxation
2 weeks for splint removal 1month 3months 6months then 6monthly for 2years
72
2 features to assess for radiographically after subluxation
forming of any periapical lesion (widening of PDL) initiation of infection related resorption
73
how would infection related resorption present clinically and radiographically what would it indicated about tooth what to do
clinically - pink discolouration radiographically - ballooned, irregular shaped canal indicate infection destroying tooth root need RCT ASAP or place non-setting CaOH (4weeks) or corticosteroid antibiotic medicament in (6weeks) to try halt process
74
how many hours of verifiable CPD in a 5 year cycle under clinical goveranance?
100 hours
75
3 CPD topics and hours indicated by clinical governance for them
decontamination - 5 hours medical emergencies - 10 hours radiology and radiographic protection - 5 hours
76
components of clinical governance | 6
research and development education and training clinical effectiveness risk management openness clinical audit
77
dimensions of healthcare quality | 6
pt centered safe effective efficient equitable timely
78
A patient attends your surgery for the provision of a complete upper denture. They are retaining one single tooth in the upper arch a 17, which must be extracted. 3 possible complications associated with the extraction of a lone-standing upper molar.
oro-antral communication/fistula tuberoisty fracture root displaced in the maxillary sinus
79
how to dx OAC
bubbling of blood in socket good light with direct vision change in sound of suction over area (echoeing) nose holding test or explore with blunt probe (caution) bone present at trifurcation of the roots post XLA/ radiographically
80
how to dx # tuberosity
crack felt/heard during mobilisation of tooth tear in palate mobility of ridge and tuberosity palpable
81
how to dx root in antrum
good suction and irrigation for vision assessment radiograph shows root placed in sinus CBCT
82
management of OAC
If small then encourage clotting in the area, surgicel and suture the margins Prescribe antibiotics and give post op advice including * no nose blowing * avoid playing wind/brass and drinking through a straw * do not inhibit any sneezes sinusitis - amoxicillin 500mg capsules, 1 capsule 3xdaily for 7 days Review to ensure the communication has healed and no symptoms present (1week) If larger communication then raise a buccal advancement flap, surgicel to encourage clotting and suture the buccal advancement flap to the palatal mucosa to close the wound, then manage the same as small
83
management of root in antrum
try to retrieve with ribbon gauze technique refer to Oral surgery
84
how to manage # tuberoisty
Dissect out and close wound (if small) Or reduce and stabilise Reduction - Fingers or forceps – careful as sharp bone Fixation * Orthodontic buccal arch wire spot – welded with composite * Arch bar *** Rigid Splints** remove or tx pulp ensure occlusion free antibiotics post op instructions with antiseptic advice remove tooth 8 weeks later
85
uses of URA other than tipping/tiliting teeth | 4
habit breaker retainer growth modification overbite reduction
86
URA to reduce 8mm OJ. First premolars have previously been extracted and previous URA retracted canines and reduced the overbite. Pt. has permanent dentition.
aim please provide URA to reduce OJ (8mm) A - roberts retractor 0.5mmHSSW with 0.5mm ID tubing R - Adam's clasps 16, 26 0.7mmHSSW A - appropriate B - self cure PMMA mesial stops 13, 21 0.7mmHSSW flattened | (OB already resolved so no need FABP)
87
signs of 'good wear' of URA on visit | 6
* active component become passive * pt can insert/remove appliance competently * post dam mark present on palate * pt can speak normally with appliance in * no hypersalivation whne appliance in situ * signs of wear of appliance
88
22 year old presents at your surgery complaining of pain. You can smell his halitosis from the waiting room. clear dx of ANUG 4 intra oral signs of ANUG
ulceration and recession of papilla greyish slough over ulcers which can be removed red and puffy gingiva puched out creater like ulcers
89
4 risk factors predispose to ANUG
smoking poor OH stress malnutrition
90
tx for necrotising ulcerative gingivitis
* OHI and ID cleaning advice * supra and subgingival PMPR to remove causative plaque - likely under LA * chlorhexidine mouth wash 0.2% 10ml for 1min twice daily for no more than 10 days, at least 30 mins after brushing * review in 10 days | metronidazole 400mg tablets, 1 3xdaily 3days(avoid alcohol, no warfarin)
91
patient arrives at your practice with a debonded gold post and core crown becoming a regular occurrence and you have seen them 3 times in the last 6 weeks for this same issue 3 reasons for why post core may have debonded
secondary caries poor moisture control during cementation root #
92
patient arrives at your practice with a debonded gold post and core crown becoming a regular occurrence and you have seen them 3 times in the last 6 weeks for this same issue at the junction between post and core - 3 reasons why this may have happpened
biocorrosion lack of sufficient ferrule trauma
93
example of a wetting agent use to bond metal to resin within resin based luiting cement.
MDP, 4-META
94
3 ways of retrieving a fractured post
ultrasonic tip eggler forceps mokisto forcepts
95
28 year-old patient fit and well attended your practice, full mouth peri-apicals reveal severe angular bone loss. dx and why
rapid onset generalised periodontitis (no none risk factors) - likely stage 3 grade A Bone loss excessive for the patients age Patient is otherwise fit and well Rapid progression of bone loss
96
28 year-old patient fit and well attended your practice, full mouth peri-apicals reveal severe angular bone loss. special invesitgations
full mouth 6PPC - for clinical attachment loss MPBS - for OH levels thorough history inc FHx to see if relatives with similar symptoms
97
perio prognosis for each tooth based on | 4
clinical attachment loss mobility score furcation involvement pocket depth
98
possible tx options for periapical radiolucencies | 4
no tx and monitor RCT periradicular surgery XLA
99
valid consent 4 criteria
informed current and continuous communicated for specifc procedure
100
things to tell pt for valid consent
* risks and benefits of tx plan * alteranative tx * likely consequence of no tx * complications * likelihood of success * cost
101
capacity 4
communicate decision able to understand risks/benefits of tx retain decision understand the decision made
102
pt has space between 13 and 14 special investigations needed and justification for them
Radiograph (PA or OPT) - to check if there is a supernumerary or pathology causing the spacing Sensibility testing - as supernumerary may cause root resorption and loss of vitality Mobility assessment - root resorption due to supernumerary may cause mobility
103
pt with space between 13 and 14 what would make case difficult
Presence of supernumerary causing root resorption of these teeth, requiring XLA Position of tooth may make surgical extraction difficult
104
pt with space between 13 and 14 what would make implant placement difficult in this area
lack of space between teeth needed for implant to be placed aesthetic zone so more challenging prosthesis will likely be involved in guidance - need to withstand more force
105
what is the kennedy class
classification of edentulous jaw conditions and partial dentures, based on the distribution of edentulous spaces
106
3 features of RPD for tooth support
occlusal rests cingulum rests incisal rests
107
RPD gingival margin clear good beacuase
improved periodontal health and prevents gum stripping and food packing
108
2 organisms linked to angular cheilitis
staphylococcus aureus candida albicans
109
sample for angular cheilitis
oral swab
110
angular cheilitis sample taking long to be processed why prescribe miconazole?
has antimicrobial action against both candida and staphylococci
111
give example of immunocompromised disease and impact on angular cheilitis
HIV or cancer tx immunosuppression allows oppurtunistic pathogens to cause disease (e.g. candida albicans)
112
give example of GI disease and impact on angular cheilitis
Crohn's disease or coeliac lack of absorption causing malnutrition (vit b12, folate, iron) also immune suppression tx in crohns
113
elderly pt has angular cheilits what condition likely to see intra orally
denture induced candidiasis/stomatitis
114
denture hygiene advice for pt with denture induced candidiasis
take denture out at night soak in sodium hypochlorite for 15mins then in water overnight brush with soap and water after every meal over basin
115
why use alginate and medium body PVS for master imps
good flowability, wetability and capture good surface detail and good tear strength
116
alginate made of
sodium alginate and calcium sulphate
117
PVS made of
polyvinylesiloxane and filler
118
MOD amalgam has #, underlying intact GP restorative options
MCC crown onlay
119
MOD amalgam has #, underlying intact GP been over 6 months since # pt thinks what now
have to reRCT tooth as GP been exposed >3months, bacteria could have reinfected canal and have loss of coronal seal
120
features of Nayyer core
RCT as normal 2-3mm of coronal GP removed amalgam is packed into canal as the core is build up and inc retention
121
things that can be used to bond to amlagam | 2
MDP or 4-META
122
higher bond strength composite or amalgam?
composite 20-50MPa Vs 3-10MPa
123
pemphigus immunofluorescence and histology findings
Basketweave appearance of the immunofluorescence Suprabasal split Presence of Tzank cells in the split Loss of epithelium and shedding of epithelial layer
124
aetiology of pemphigus vulgaris
Caused by autoimmune antibodies IgG, caused by a genetic predisposition and an environmental trigger, more common in women
125
pemphigus vulgaris similar clinically to what but they differ histologically
pemphigoid pemphigus - basket weave fluoresence, suprabasal split, tzank cells pemphigoid - linear fluorescnece, subepithelial split (CT junction)
126
two risk factors for squamous cell carcinoma
smoking alcohol poor diet (lack vitamins)
127
staging for cancer
TNM staging size, lymph node involvement, metastasis
128
grading of cancer
histopathologically by level of dysplasia, mitotic figure and invasion of other tissue (eg underlying muscle)
129
medical and surgical tx for SCC
surgical removal chemo and radiotherapy
130
options to replace function of tissue after surgical removal of tumour
tissue graft speech therapy
131
BEWE grading system
basic erosive wear exam 0 = no surface loss 1 = initial loss of enamel surface detail 2 = distinct surface loss on <50% of sites 3 = >50%
132
3 topical fluorides can give to pt
Fluoride varnish 22,600ppm Toothpaste up to 5000ppm Mouthwash 225ppm
133
DAHL technique
a method of treating the localised wear of anterior teeth, without having to treat the back teeth conservative method can be used to control incisal guidance and gain palatal space for restorative material (increasing the OVD)
134
how does DAHL technique work
Composite added to anterior teeth, increasing the OVD and causing posterior disclusion, over the space of 3-6 months the posterior teeth over erupt back into contact at the new OVD, giving space for any definitive anterior restorations (usually the initial composite is definitive)
135
contraidicated groups for DAHL technique
Bisphosphonates, implants, existing bridgework, previous ortho
136
4 constituents of composite resin
Resin - bis-GMA Filler - silica photoinitiator - camphorquinone binding agent - silane coupling agent (bonds resin to silica)
137
8yo, #11 what to ask about injury
all tooth fragments accounted for? pieces missing? where and how did the injury happen?
138
8yo, #11 mum asks about prognosis what factors are involved? | 4
any pulp exposure displacement of tooth within socket fracture of root length of time any pulp has been exposed for
139
8yo, #11 just an enamel-dentine fracture what would you do about missing fragment and how to follow this up
Ask the patient if the fractured fragment was located post injury If not or unsure then PA soft tissue view radiograph to check the soft tissues If still not located then refer the patient for a chest x-ray under the concern that it has been inhaled or swallowed
140
8yo, enamel-dentine #11 composite placement decided pt has a heart valve defect - would you change your tx?
place an indirect pulp cap to minimise risk of future RCT
141
why get consent at 2 different times for IV sedation
As once the patient has been sedated the consent is no longer valid, and the amnesic effects of midazolam may mean they forget giving consent if on the same day
142
3 things to monitor during IV sedation
HR, BP and O2 saturation
143
IV sedation drug and concentration
midazolam 5mg/5ml
144
reversal drug in IV sedation
flumazenil
145
3 post op instructions specific to IV sedation
Do not be responsible for any children Rest for the remainder of the day - need to have someone come with you Do not sign any legal documents or any online shopping
146
factors influencing DMFT scores in different areas of scotland | 3
Socioeconomic status in the areas (SIMD) access to care in the areas preventative programmes active in the area
147
D3MFT what does the 3 mean
obvious decay into dentine
148
Child with 6s and incisors yellow/brown/discoloured and unhappy What questions would you ask the patient and parent
Did the mother take any fluoride supplements during third trimester? Any illnesses in the third trimester? Any difficulties during birth? Was it a cesarean section? Premature birth? Was the child in a intensive care baby unit? Low birth weight? Any infections of the child in early months of life? Any fluoride supplements for the child? Any long term illness of the child in early life?
149
Child with 6s and incisors yellow/brown/discoloured and unhappy congenital or acquired
congenital
150
child with 6s and incisors yellow/brown/discoloured and unhappy what is it
molar incisior hypomineralisation hypomineralisation of systemic origin of 1-4 permanent first molars, frequently associated with affected incisors
151
questions toask parent to rule out fluorosis
Fluoride supplements water fluoridated fluoride supplements any toxic fluoride ingestion toothpaste strength used
152
problems that may encounter with MIH
sensitivity - temp, toothbrushing wear caries risk difficult to bond to
153
scottish population wide intervention
childsmile - toothbrushing and fluoride varnish (nursery and primary)
154
BPE score of 3
max probing depth between 3.5-5.5mm in that sextant (black band partially in pocket)
155
length of ACJ to bone creast av
2mm
156
modified BPE teeth for children
16, 11, 26, 36, 31, 46
157
13y with orthodontic decal types of fluoride delivery
fluoride varnish 22600ppm fluoride toothpaste 2800ppm 0.619% sodium fluoride fluoride mouthwash 225ppm 0.05% sodium fluoride tablets 1mg diet and OHI advice
158
risks of fixed appliance ortho tx
**root resorption relapse decalcification ** failure periodontal issues - recession enamel wear soft tissue trauma loss of vitality allergy
159
term for delayed onset bleeding post XLA
reactionary (up to 48hrs) secondary (up to 1week - infection break down of clot)
160
congenital bleeding disorders 2 e.g.
haemophilia von willebrands
161
acquired bleeding disorders 2 e.g.
drug therapy alcohol liver disease
162
8 signs and symptoms of mandibular #
numbness pain bruising occlusal derangement AOB bony step multiple mobile teeth asymmetry
163
2 radiographic views to take to dx mandibular #
PA of mandible OPT
164
factors which can cause displacement of mandibular # | 4
muscle attachments mechanism of injury unfavourable fracture lines magnitude of force
165
management options for mandibular fracture
no tx and monitor Open Reduction and Internal Fixation Intermaxillary fixation
166
30yo with class III occlusion 3 ways to assess pt
frakfort parallel to floor to visually assess palpate skeletal bases lateral cephalometry
167
special invesigation for ortho assess
radiographs and lateral celaphalgram study models photographs BPE MPBS sensibility tests
168
intral oral features of class III occlusion | 6
posterior crossbite displacement on closing crowded maxilla class III incisor relationship (LI infront of UI) decreased/reversed OJ retroclined lower incisors
169
30yo with class III occlusion why apparent now?
acromegaly?
170
Nurses with uniform on getting bus to work 2 things could mention
professionalism infection control
171
Nurses with uniform on getting bus to work learning outcomes of intervention
reinforce good practice identify gaps in knowledge allow people to work in small groups encourage continued learning help staff understand importance of ppe modify attitudes
172
Nurses with uniform on getting bus to work methods of action after seeing it
Carry out a clinical audit to see what changes are required and implement them carry out another clinical audit to see if improvement has been made
173
How many occlusal units for 2 occluding premolars and one pair of occluding molars
3 units
174
skeleatal class contraindicated with SDA
severe class II or class III as less likely to haev occluding pairs in severe malocclusion
175
3 reasons why periodontal disease is a contraindication to SDA
poor prognosis of teeth drifting of teeth under occlusal load loss of alveolar bone leading to comtpromised denture bearing area in long term
176
metal used for casting adhesive bridge and why
CoCr strong, hard, high young's modulus
177
5 year survival rate for RRB
80% approx
178
Sub Alveolar fracture of 12, 11 with enamel-dentine fracture. >1mm and >24hours describe immediate management
account for any missing tooth fragments radiograph to check for any root displacment of # LA and dam (reposition tooth if any displacment) remove coronal pulp until into healthy pulp hameostasis - cotton wool pledget soaked in saline if no haemostatis = cont remove pulp tissue until achieved haem direct pulp cap placed and sealed using an adhesive restoration
179
Sub Alveolar fracture of 12, 11 with enamel-dentine fracture. >1mm and >24hours has poor prognosis - why? | 3
lack of tooth tissue to support restoration difficulty in isolation and moisture control for any tx - clamp tooth to carry out endo difficulty of placing subgingval crown margins
180
Sub Alveolar fracture of 12, 11 with enamel-dentine fracture. >1mm and >24hours options for repalcement of tooth when extracted | 3
RBB RPD implant
181
2 features notice about palatal tissues
erythematous papillary hyperplasia
182
dx
chronic hyperplastic candidiasis (denture induced)
183
1st line tx
denture hygiene advice - sodium hypochlorite 15mins, out overnight in water, brush with soap after meals tissue conditioner on fitting surface CHX mouthwash
184
2nd line tx
systemic antifungals (fluconazole capusles 50mg, 1 cap daily for 7days) topical antifungals (miconazole 20mg/g apply to fitting surface after food 4xdaily) not if on warfarin or statin * nystatin oral suspension 100,000units/ml, 1ml after food 4xdaily for 7days
185
instructions for special trays for C/C master imps
please pour in 50/50 stone/plaster and construct special trays in light cure acrylic, non perforated, upper with 2mm wax spacer and lower with 1mm spacer with intraoral handles and finger rests in premolar region
186
patient has caries on palatal 12, sensitive to sweet pulpal dx
reversible pulpitis
187
design to minimise the risk of debond of RRB cantilever
pick tooth with large bonding area for abutment, cantilever design for anterior sextant only one wing so less likely to go unnoticed compared to fix fix
188
4 faults that can occur during cementation of RRB
poor moisture control unfavourable occlusion poor enamel quality on abutment inadequate coverage of abutment
189
factors that can cause melanosis of epithelium
smoking chewing tobacco alcohol
190
histological presentation indicative of malignancy
dysplasia
191
clinical presentation indicative of malignancy | 6
exophytic raised rolled borders firm and indurateed friable bleeding persistent >3weeks with no obvious cause
192
Child with mandibular displacement on closing to RHS. Posterior unilateral crossbite of d, e and 6 on the RHS what is mandibular displacement on closing to RHS
discrepancy between arch width meaning teeth meet cusp to cusp so the mandible must deviate to one side to achieve ICP
193
Child with mandibular displacement on closing to RHS. Posterior unilateral crossbite of d, e and 6 on the RHS why should you correct mandibular displacment
can lead to TMJ symptoms and cause attritive wear
194
Child with mandibular displacement on closing to RHS. Posterior unilateral crossbite of d, e and 6 on the RHS what corrects bilateral posterior crossbite
mid palatal screw on URA to expand maxilla
195
Child with mandibular displacement on closing to RHS. Posterior unilateral crossbite of d, e and 6 on the RHS URA design
aim - please construct URA to expand upper arch A- mid palatal screw R- Adams on Ds (0.6HSSW) and 6s (0.7 HSSW) A - reciprocal B - self cure PMMA with FPBP and mid palatal split
196
immediate management of wisdom tooth pain/pericoronitis
Incise and drain any abscess irrigate under operculum with saline / CHX advise analgesics consider antibiotics if systemic involvement * metronidazole 200mg tablets, 1 3xdaily for 3days
197
information you can get on lower 8s from radiograph | 8
relationship to IDC of roots dental caries present bone levels impaction status and direction pathology of supporting structures (e.g. tumour, cysts) periapical status of tooth crown and root morphology working length from distal 7 to ramus - surgical planning
198
3 GI conditions which can cause microcytic anaemia
crohn's ulcerative colitis coeliacs
199
3 oral conditions that microcytic anaemia can be associated with
candidosis dyseasthesia apthous ulcers
200
primary herpetic gingivostomatitis presenting features
child erythematous gingiva, ulcerated mucosa, intact vesicles, ulceration on lip, white tongue due to buildup of dead squamous cells | HSV infection
201
child 13 presents ulceration 8 questions to ask
- are they recurrent - how long have they been present - anything that triggers them - where are they in the mouth - do you get any pain with them - how long is the latency period between episodes - anything make them better or worse - any lesions elsewhere on the body
202
3 head and neck features of cocaine use
nasal septal defect, oral ulceration, bruxism and tooth wear from grinding
203
5 side effects of opioid use
constipation, sedation, xerostomia, excessive sweating, addiction - dependence and tolerance
204
methadone belongs to which drug group
opioid
205
complication of methadone containing sugar
rampant dental caries
206
risk of sugar free methadone preparation
more likely to inject it