Path Flashcards

(42 cards)

1
Q

Tissue/Capillary osmotic/hydrostatic pressures

A
How well did you know this?
1
Not at all
2
3
4
5
Perfectly
2
Q

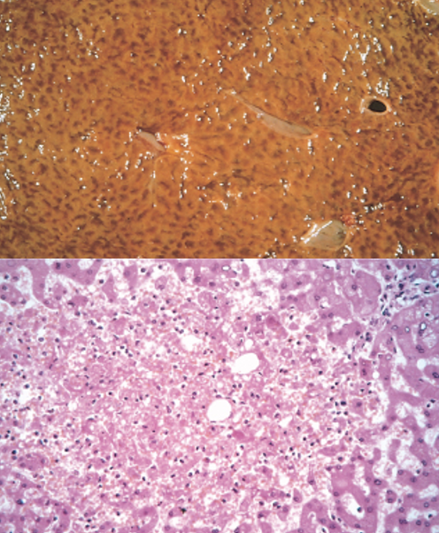
causes of edema

A
  1. Increased intravascular hydrostatic pressure
  2. Decreased intravascular osmotic pressure
  3. Increased microvascular permeability
  4. Decreased lymphatic drainage
How well did you know this?
1
Not at all
2
3
4
5
Perfectly
3
Q

Increased intravascular hydrostatic pressure

A

causes edema due to:
* Active increase: Hyperemia (more blood into vessel) due to inflammation
* Passive increase: Congestion (blood not leaving vessel)

If a localized portion is affected: localized edema.
Heart failure: generalized edema.
Increased blood volume in the microvasculature

How well did you know this?
1
Not at all
2
3
4
5
Perfectly
4
Q

Decreased intravascular osmotic pressure

A

cause of edema
Commonly results from decreased concentration of plasma proteins, particularly albumin. Increased fluid filtration and decreased absorption
Hypoalbuminemia caused either by decreased production of albumin by the liver or excessive loss from the plasma.
Edema tends to be generalized.
Salt retention occurs when renal function is compromised (primary disorders of the kidneys and disorders with decreased renal perfusion)

How well did you know this?
1
Not at all
2
3
4
5
Perfectly
5
Q

Increased microvascular permeability

A

cause of edema

How well did you know this?
1
Not at all
2
3
4
5
Perfectly
6
Q

decreased lymphatic drainage

A

cause of edema
Localized to the area served by the affected lymphatic vessel.

How well did you know this?
1
Not at all
2
3
4
5
Perfectly
7
Q

anasarca

A

generalized SQ edema

How well did you know this?
1
Not at all
2
3
4
5
Perfectly
8
Q

hyperemia

A

Increased amounts of blood present in blood vessels in a region of the body.
It may be caused by greater arrival of blood to a tissue
generally localized
Active and mostly short-duration process

  1. Physiologic hyperemia
    A. Tissue with increased metabolic activity
    B. Stimulation of nerve centers that stimulate pressure (medulla, pons, mesencephalon). eg. Blushing.
  2. Pathologic hyperemia
    Inflammatory process, caused by vasodilator substances released from the affected tissues
How well did you know this?
1
Not at all
2
3
4
5
Perfectly
9
Q

CONGESTION

A

Increased amounts of blood present in blood vessels in a region of the body.
The blood accumulates in a tissue due to an obstacle preventing its exit

How well did you know this?
1
Not at all
2
3
4
5
Perfectly
10
Q

Physiologic hyperemia

A

A. Tissue with increased metabolic activity
B. Stimulation of nerve centers that stimulate pressure (medulla, pons, mesencephalon). eg. Blushing.

How well did you know this?
1
Not at all
2
3
4
5
Perfectly
11
Q

pathologic hyperemia

A

Inflammatory process, caused by vasodilator substances released from the affected tissues

How well did you know this?
1
Not at all
2
3
4
5
Perfectly
12
Q

acute local congestion

A

Compression of veins in a portion of the body. It is often the result of poor viscera position (intussusception, volvulus, torsion), ligatures, Etc

How well did you know this?
1
Not at all
2
3
4
5
Perfectly
13
Q

chronic local congestion

A

Due to gradual or partial obstruction of venous circulation in an area, allowing the tissues to adapt to the lower blood supply.
* Due to external pressure: Neoplasia, enlarged lymph nodes, abscesses.
* Due to obstruction inside of a vein (thrombus)

decrease blood supply = decreased O2
consequences:
* Cellular atrophy
* Proliferation of connective tissue (fibrosis)

How well did you know this?
1
Not at all
2
3
4
5
Perfectly
14
Q

acute generalized congestion

A

Due to sudden obstruction of blood flow in the heart or lungs (etiology must manifest in a short period of time)
cardiac cause:
* Degeneration and necrosis of the myocardium.
* Myocardial infarcts
* Hydro, hemopericardium, suppurative pericarditis

pulmonary cause:
* Pneumonia
* Embolism or thrombosis
* Hydrothorax, hemothorax, Empyema (pyothorax)

How well did you know this?
1
Not at all
2
3
4
5
Perfectly
15
Q

chronic generalized congestion

A

Due to a chronic obstruction of blood flow in the heart or lungs, causing permanent alterations in various tissues and organs (atrophy and fibrosis)

cardiac causes:
1. Valvular stenosis: endocarditis
2. Valvular insufficiency: endocarditis, endocardiosis
3. Myocardial failure: Degeneration and necrosis
4. Cardiac anomalies: VSD, persistence of oval foramen.
5. Constrictive lesions of epi and pericardium

PULMONARY CAUSES:
1.- Obliteration of capillaries:
Chronic alveolar emphysema
Pneumonia
Hydrothorax, hemothorax, Empyema
2.- Compression of major pulmonary vessels by tumors, cysts, etc

How well did you know this?
1
Not at all
2
3
4
5
Perfectly
16
Q

generalized congestion and right cardiac insufficiency

A

Blood accumulates in great veins and liver

Subcutaneous fluid accumulation in ventral areas, extremities and body cavities.

Liver with increased reticular pattern (chronic passive congestion or “nutmeg liver”)

How well did you know this?
1
Not at all
2
3
4
5
Perfectly
17
Q

generalized congestion and left cardiac insufficiency

A

Accumulation of blood and increased hydrostatic pressure in the lung

Extravasated erythrocytes in alveoli and phagocytized by macrophages (“cardiac failure cells”)

18
Q

cardiac failure cells

A

Extravasated erythrocytes in alveoli and phagocytized by macrophages
left cardiac insufficiency

19
Q

pulmonary disorders

A

Two groups: lesions in the pulmonary parenchyma and vascular disorders (altitude sickness or Bovine High Mountain Dz)

20
Q

Cor pulmonale

A

alteration in the structure and function of the right ventricle of the heart caused by a primary disorder of the respiratory system.
Pulmonary hypertension is often the common link between lung dysfunction and the heart incor pulmonale.

21
Q

Brisket disease (high altitude) or bovine high mountain disease (BHMD)

A

result of pulmonary arterial hypertension induced by pulmonary hypoxia occurring at high altitude.
Hypoxia-induced pulmonary arterial vasoconstriction and arterial hyperplasia reduce the diameter of the pulmonary arterioles, resulting in pulmonary hypertension and subsequent right ventricular (RV) hypertrophy.

22
Q

HYPOSTATIC CONGESTION

A

Pooling of blood in the ventral areas of the body due to gravity

23
Q

Petechiae

A

(1-2 mm), usually diapedesis due to minimal vascular damage (e.g. local increase of intravascular pressure, low platelet counts, defective platelet function)

24
Q

Ecchymosis

A

(>3 mm – 2 cm), Associated with same disorders as petechiae or secondary to trauma, vascular inflammation (vasculitis) or increased vascular fragility (amyloidosis)

25
Suffusions
large hemorrhage (larger than ecchymosis)
26
hematoma
hemorrhage in a focal confined space (contained within a tissue) The hematoma **grows in size** until the pressure exerted by the extravascular blood matches that within the injured vessel or the vessel seals internally by hemostasis.
27
Thrombus
**Pathologic formation of a blood clot**. Solid structure formed by components of the blood within the circulatory system.
28
requirements for thrombosis
1. **Blood must flow** (Stagnant blood clots, but do not form thrombi) 2. **Decreased flow rate** (permits contact of thrombocytes with endothelium) 3. Once attached to the endothelium, **thrombocytes resist blood flow and current by forming “eddies”**, which allows more thrombocytes to adhere ad form a mass > Thrombus
29
Endothelial damage
**MOST IMPORTANT CAUSE OF THROMBOSIS** * Endothelial damage **leading to platelet activation** almost inevitably **underlies thrombus formation in the heart** and arterial circulation, where the high rates of blood flow impedes clot formation. * Endothelial damage or change to prothrombotic status **(endothelial activation) > exposure of vWF and TF.** * Endothelial activation: Physical injuries, infectious agents, abnormal blood flow, inflammatory mediators, metabolic abnormalities (hypercholesterolemia), toxins > prothrombotic state
30
Alterations of the normal blood flow
**Turbulence** > **endothelial injury** or dysfunction and countercurrents, contributing to local formation of stasis. **Stasis:** Major contributor to formation of venous thrombus.
31
Hypercoagulabity
AKA **thrombophilia** can be defined as **any disorder of the blood that predisposed to thrombosis** Important role in **venous thrombosis** Primary (genetic) and secondary (acquired) * Primary: Factor V mutation, **antithromin III deficiency**, prothrombin mutation. * Secondary: Prolonged immobilization, myocardial infarction, atrial fibrillation, tissues injury, cancer, prosthetic cardiac valves, DIC, cardiomyopathy, nephrotic syndrome, Hyper-estrogenic states, others).
32
Thrombi morphology
**Arterial or cardiac:** sites of turbulence or endothelial injury, tend to **grow downstream from the site of attachment.** **Venous:** characteristically occur at sites of stasis, tend to **extend upstream from their point of origin**. **Both grow away from the heart!**
33
Arterial or Cardiac Thrombi
Usually **at sites of endothelial injury** (atherosclerotic plaques) or **turbulence** (vessel bifurcation) Tend to **grow in downstream from point of attachment** Tend to be **occlusive** Thrombi development on heart valves * Infective endocarditis: bacterial/fungal infection * Sterile endocarditis: hypercoagulable states
34
Lines of Zahn
platelets and fibrin deposits alternating with darker cell-rich layers. Lines of Zahn identifies a thrombus that has grown in “flowing blood”.
35
venous thrombi
Typically **at sites of stasis**: therefore **contain more RBCs** (red/stasis thrombi) Tend to **grow against the direction of blood flow** Tend to be **occlusive** May be confused with postmortem clots * Postmortem clots: more gelatinous, with a dark red dependent portion where red cells have settled by gravity + a yellow chicken fat supernatant) * Venous thrombi: firmer with a point of attachment, and on transection reveal vague strands of pale gray fibrin
36
Fate of thrombi
If patient survives: * **Propagation:** Thrombus accumulates more platelets and fibrin > **vessel obstruction** * **Embolization**: Fragments of thrombus **dislodge and travel to other sites** in vasculature * **Dissolution**: Thrombus **removed by fibrinolytic** activity * **Organization & Recanalization**: Thrombus **induces inflammation and fibrosis** (organization) > may become recanalized or **incorporated into a thickened vascular wall**
37
effects of thrombosis
**Negligible effects:** no adverse effects (occurs in vessels that are not critical for life) **Beneficial effects:** It is needed to **stop bleeding** (IMPORTANT IN HEMOSTASIS). **Damaging effects:** thrombosis in areas with inadequate collateral circulation > **ischemia or infarct**
38
Disseminated intravascular coagulation (DIC)
**Pathologic activation of the clotting cascade**: * sudden or insidious onset of **widespread fibrin thrombi** in microcirculation (blood clots throughout the body) Not a disease per se, but **consequence:** * **widespread lesions to the vascular endothelium** > endotoxins, parasites, protozoa (Babesia) and viral agents (Feline infectious peritonitis, African swine fever), rattlesnake bite, polytraumatism, others. Diagnosis * Gross appearance: none * Microscopic appearance: **acute fibrin thrombi in capillaries** and small vessels, particularly in end-organs Significance * **Diffuse circulatory insufficiency:** particularly in brain, lungs, heart, and kidneys * Induction of **paradoxical hemorrhage**: due to rapid concurrent consumption of platelets and coagulation proteins + simultaneous activation of fibrinolytic mechanisms
39
embolism
a **detached intravascular solid, liquid, or gaseous mass that is carried by blood to a site distant from its point of origin** Inevitably, **emboli lodge in vessels** too small to permit further passage, resulting in **partial or complete vascular occlusion** May significance of embolism is **ischemic necrosis of distal tissue (infarction)** | Thrombosis can produce emboli but not all emboli are from a thrombus
40
embolism etoilogy
**Thrombus (95%)** Fibrin Bacteria Parasites Neoplasia Fat embolism (in lungs due to fractures) Gas embolism
41
Infarction
an area of ischemic necrosis caused by occlusion of either arterial supply or venous drainage in a particular tissue Causes * Nearly 99% of all infarcts result **from thrombotic or embolic events**, and almost all result from **arterial occlusion** * **Venous infarcts rare**: bypass channels rapidly open after venous thrombosis * Venous infarction more likely in organs with single venous outflow channels (kidney, heart, spleen, brain)
42
acute, subacute, chronic kidney infarcts