What is the morphilogical diagnosis?

Atrophic Rhinitis
OR
Catarhal rhinitis with asymmestrical symmetry of the nasal septum
Lung from a pig
What is the EDx and the pattern associated with this kind of lesion?

EDx: Haemotogenous bacterial infection
Pattern: Embolic pneumonia
The lesions are found in both middle and caudal lung lobes
DDx? Etiology?

DDx: Glasser’s Disease; Porcine Contagious Pneumonia
EDx: Porcine COntagious Pneumonia
What tissue is this?
DDx?

This is the tongue and larynx of a foal
The lesions are the darkish lines in the muscosa of the trachea
DDx: Aspiration Pneumonia
Common cause: Iatrogenic damage - when passing a nasal-gastric tube, the lining of the mucosa was damaged –> aspiration penumonia
Tissue from a young horse
MDx?
EDx?

MDx: Granulomatous Penumonia (Pyogranulomatous)
EDx: rhodococcus equi
What type of virus is most likely the cause of these lesions?

Calicivirus is the most likely cause
Presence of lesions on the tongue –> covered by fibrin debris
EDx: Ureamic glosidis
Kidney of a dog
What is the EDx?
What breed of dog is predisposed to this condition?

Renal amyloidosis
Shar Pei’s are extremely predisposed!
Between Cats and Dogs, which are more prone to the seen lesions?
In which compartment of the heart is this more commonly soon?

Dogs > Cats
Found predominately in the left atrium
Condition?

Uremic endocarditis of the right atrium
MDx?

Dystrophic Calcification
or
Multifocal intracostal Subplural Mineralization
What is the EDx?
What breeds are predisposed to this condition?

Uremic Gastritis
Predisposed breed: Shi-Tzu!

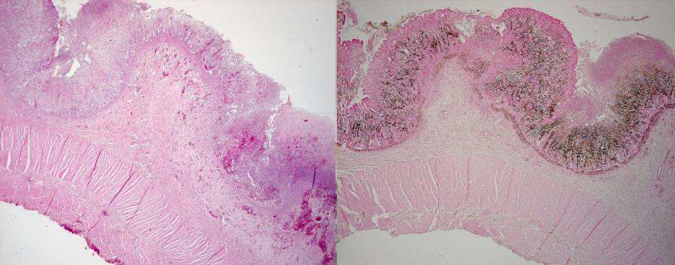
Uremic Gastritis histology slide
What kind of stain is used to obtain the pigmentation on the right?

Von Kossa Stain
Name of this condition?

Fibrocondro Dystrophy
What is abnormal about this puppy?
What can the abnormality lead to?

This puppy has a soft spot in the skull
The skull does not have full closure –> increased pressure on the brain –> hydrocephalus

Hydrocephalus of a dog
Is this more likely to be congenital or a lesion obtained after birth?

Congenital due to the massive amounts of damage
Morphological Diagnosis?

Chronic/advanced hydrocephalus
What is the “general” term used to describe this type of lesion?
What is the likely cause of this condition?

This condition is commonly known as “Coning” of the skull
Most likely cause is hydrocephalus
*recall that meningeal seal can look like this too; however, is caused by a hole in the skull that leads to a fluid sac formation
Name of this condition?
What three causes commonly lead to this condition?

Arthrogryposis: muscles never got a chance to move while in the womb due to lack of CNS innervation (spinal cord) –> locked limbs
Top three causes:
Schmoenburg (butchering the spelling)
Akabane Virus
BVD (will commonly see with cerebellar hypoplasia as well)
What two conditions are seen in this calf?

Dwarfism + arthrogryposis
Is this lesion benign or malignant?
Is it invading into the brain?

This lesion is more often benign and does not invade into the brain; however, it it does cuase pressure onto the brain often leading to other conditions
What is seen in these two cats?

Cerebellar coning
Bottom cat: more severe
There is distortion of symmetry to the brain
What is the likely pathogenesis of this type of lesion?

Pathogenesis: Some kin of penetration wound (potentially a bite wound) that led to this lesion
What organ is affected here?
Is this a tumour? if so, is it a micro or macro tumour? Furthermore, if it is a tumour, is it a functional tumour?

The pituitary is affected here
This specific case is a macro tumour (Micro - not space occupying; Macro - large enough to cause compression on the brain)
Most pituitary tumours are functional! (main cause of Cushin’s in dogs)
What is the inflammation of the ganglia called?
ganglioneuritis