
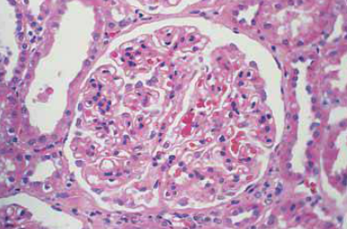
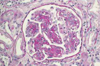
normal glomerulus
Potter sequence: pulm hypoplasia and what shown in pic

bilat renal agenesis

horseshoe kidney
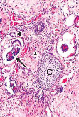
immature glomeruli, tubules, and cartilage are surrounded by loose, undifferentiated mesenchymal tissue

renal dysplasia

multicystic renal dysplasia (does not have a reniform shape)
MOI of this polycystic kidney disease

autosomal dominant
MOI of this polycystic kidney disease

autosomal recessive
this disease causes 90% of primary nephrotic syndrome cases in children younger than 5, 50% in older children, and 15% in adults

minimal change disease (no abnormality on light microscopy)
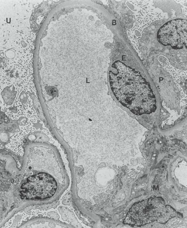
finding in minimal change disease on electron micrograph

effacement of foot processes

focal segmental glomerulosclerosis

HIV assoc nephropathy
glomerulus is slightly enlarged and shows diffuse thickening of capillary walls, there is no hypercellularity

membranous glomerulonephritis
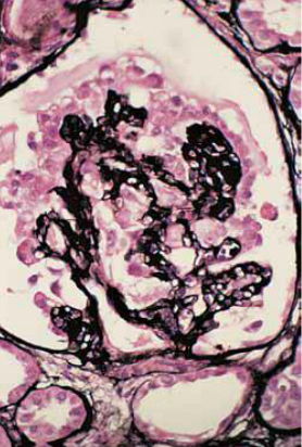
silver stain reveals multiple “spikes” diffusely distributed in the glomerular capillary basement membranes

membranous glomerulonephritis
IF shows granular deposits of IgG outlining the glomerular capillary loops

membranous glomerulonephritis
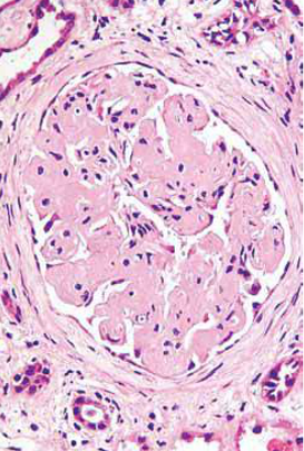
increase in mesangial matrix forming several nodular lesions. Dilation of glomerular capillaries, some basement membranes are thickened

diabetic glomerulosclerosis
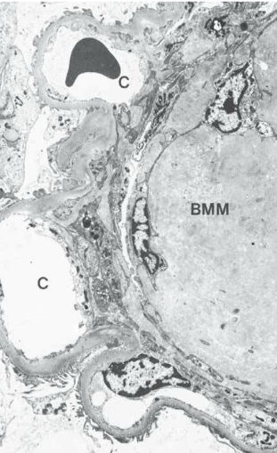
EM shows nodular aggregate of basement membrane-like material (BMM). Peripheral capillary (C) demonstrates diffuse basement membrane widening

advanced diabetic glomerulosclerosis
amorphous acellular material expands the mesangial areas and obstructs glomerular capillaries

amyloid nephropathy
Congo red stain under polarized light shows characteristic apple green birefringence

amyloid nephropathy
deposits of fibrils in a glomerulus adjacent to podocyte cytoplasm with effaced foot processes

amyloid nephropathy
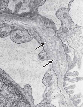
lamina densa of glomerular BM is laminated rather than forming a single dense band

hereditary nephritis aka Alport syndrome
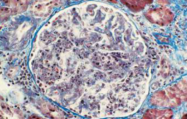
masson trichrome stain, may contain neutrophils

acute post-strep glomerulonephritis
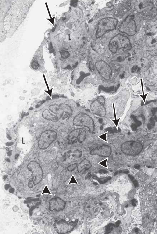
EM shows numerous subepithelial humps (arrows) and mesangial hypercellularity (arrowheads). Capillary lumina (L) are markedly narrowed

acute post infectious glomerulonephritis
IF shows granular staining for C3 in capillary walls and mesangium

acute post infectious glomerulonephritis
glomerular lobulation is accentuated, increased cells and matrix in mesangium, thickening of capillary walls

type I membranoproliferative glomerulonephritis