A patient presents with hematuria and oliguria. Kidney biopsy with silver stain is shown below.

(crescents in bowman space)
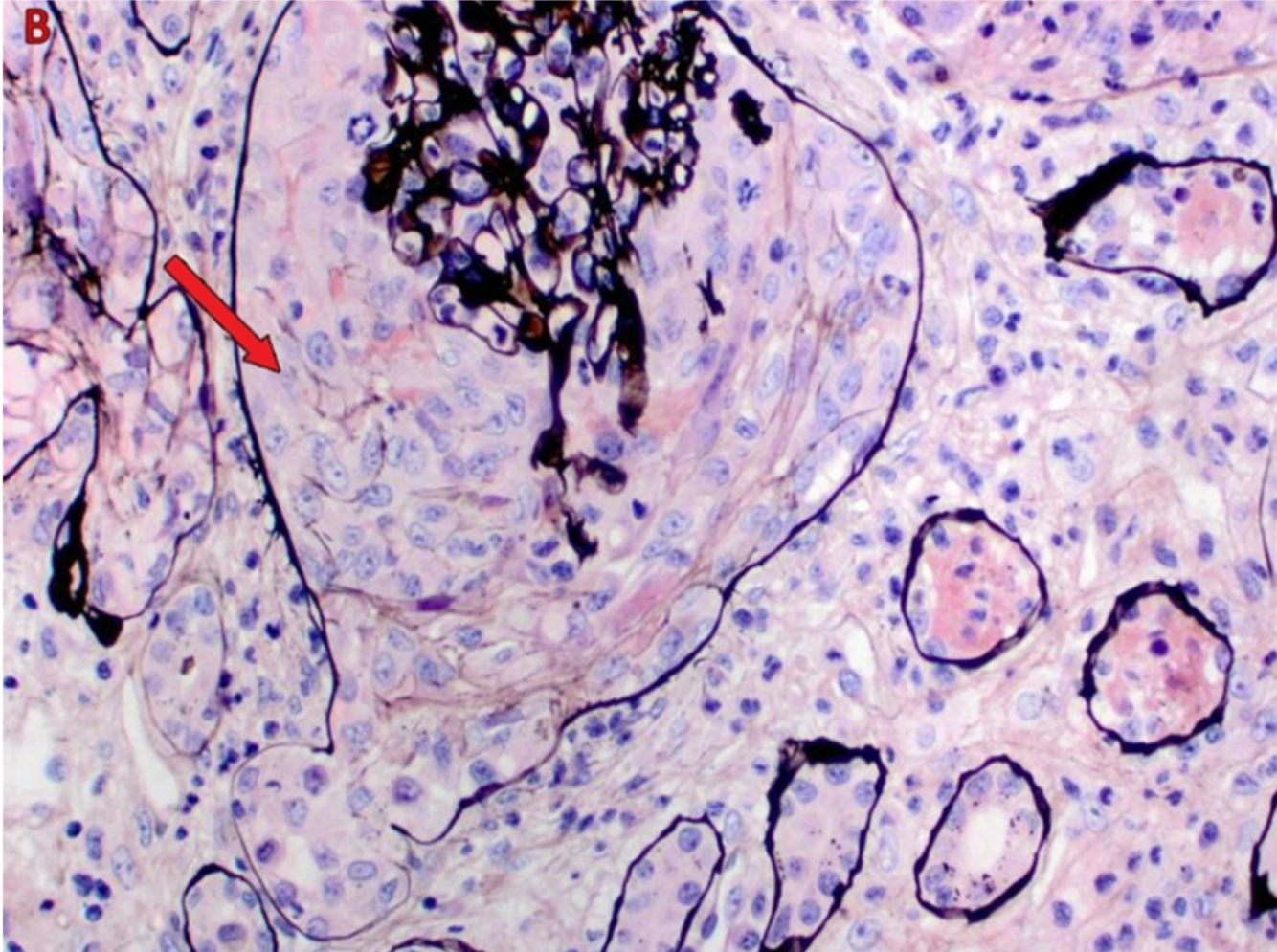
A biopsy of a cancerous lung lesion is shown below.
Where did this cancer originate from and why?

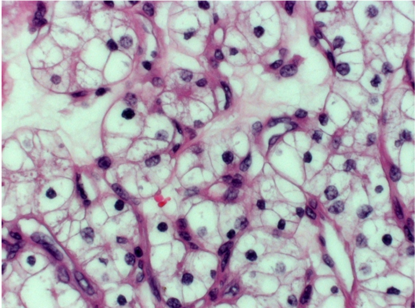
The Kidneys (renal cell carcinoma)
Due to the empty/clear cytoplams
(clear cell renal carcinoma - most common type)
How and does Benign Prostatic Hyperplasia affect the ability to urinate? Why? Major complication?
It increases resistance to urine flow due to compressing the urethra (increasing the hydroostatic pressure required to overcome resistance to flow)
This results in incomplete emptying of the bladder.
(as bladder empties urinary pressure will soon fall below the bladders leaving a residual volume of urine)
Most common complication is UTI
In poststreptococcal glomerulonephritis (PSGN) what is the most important poor prognostic factor?
Increased Age
In a patient recovering from acute tubular necrosis, what is the major complication and why?
Major complication: Electrolyte Imbalances + Oliguria
(hypokalemia, hypocalcemia, hypophosphatemia)
This occurs due to GFR improving before tubular cell recovery
(tubular cells are stable cells and take some time to reenter cell cycle)
How would the following be altered in a hypovolemic patient in comparison to a regular person:
1. RPF is decreased
(RPF = amount of blood going to kidneys)
2. GFR is decreased
(GFR = amount of filtered blood in kidneys)
3. FF is increased
(FF = GFR/RPF)
(FF is increased during hypovlemia to try to maintain GFR)
Which toxic agents can result in Acute Tubular Necrosis?
How can Heart Failure affect the renal system?
Cardiorenal Syndrome
How would hypovolemia affect the following:
All will be increased
In minimal change disease, what are the effects of albumin loss on:
(stimulated by decreased oncotic pressure)
In acute tubular necrosis, which structures are most susceptible to ischemic damage?
How would uterolithiasis (stone in ureter) present?
- hydronephrosis (swelling of kidney due to build up urine)
- Hematuria (RBCs with no RBC casts)
- Stone crystals
How/why does Osteodystrophy occur with chronic renal disease/failure?
2. Increased PTH (secondary hyperparathyroidism)
3. Increased osteoclast function
4. Osteodystrophy
What is the earliest sign of diabetic nephropathy?
Albuminuria
What are 2 general things that can decrease renal stone formation?
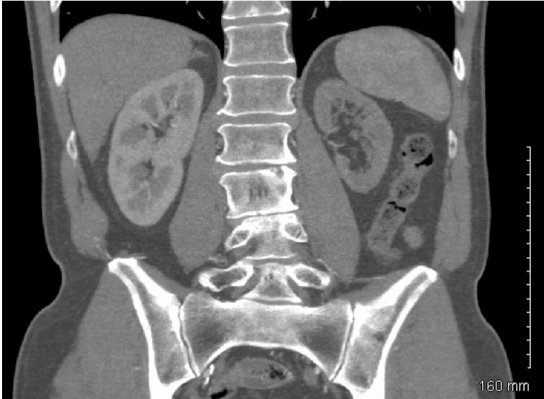
A 65 yo patient comes in complaining of abdominal pain after eating who has a BP of 175/110.
CT scan of the abdomen reveals the following:
What condition is this patient most likely suffering from?

Renal artery stenosis

How can chronic kidney disease cause spasms?
2. Phosphate binds calcium
3. hypocalcemia
4. spasms
IgA Vasculitis / Henoch-Schonlein Purpura
3.
- palpable purpura on buttocks
- GI pain + bleeding
- joint pain
- Hematuria
Interstial Nephritis
Diuretics (Pee), NSAIDs (Pain-free), Penicillins, PPIs, RifamPin
Renal Papillary Necrosis
Sickle cell disease/trait
Acute Pyelonephritis (kidney infection)
Analgesic/NSAID abuse
Diabetes
How can BPH damage the kidney structure?
IgA Nephropathy (Berger’s Disease)
2. IgA deposition in mesangium of glomeruli
Hemolytic Uremic Syndrome
1. Triad of:
How would the following values in a patient with long-standing Polycysitic Kidney Disease compare to a healthy individual:
Chronic Kidney Disease (in this case PKD) results in:
(even though it functions to increase Ca, it is inhibited by phosphate)