Path Review Flashcards

(131 cards)

1
Q

What are the six subtypes of ameloblastoma?

A

“PDF BAG”
Plexiform
Desmoplastic
Follicular
Basal Cell
Acanthomatous
Granular

How well did you know this?
1
Not at all
2
3
4
5
Perfectly
2
Q

Histology: Tumor islands with central cystic degeneration (stellate reticulum-like appearance) and “reverse polarization” of cells at the periphery of the tumor islands.

A

Ameloblastoma

Reverse polarity of nuclei is pathognmonic

How well did you know this?
1
Not at all
2
3
4
5
Perfectly
3
Q

Palisaded ameloblastlike cells and inner zone of triangular-shaped cells resembling stellate reticulum in bell stage

A

Follicular Ameloblastoma

How well did you know this?
1
Not at all
2
3
4
5
Perfectly
4
Q

Epithelium that proliferates in a fishnet pattern

A

Plexiform ameloblastoma

How well did you know this?
1
Not at all
2
3
4
5
Perfectly
5
Q

Radiolucency with multiloculated, soap-bubble appearance

A

Ameloblastoma

How well did you know this?
1
Not at all
2
3
4
5
Perfectly
6
Q

Solid or multicystic ameloblastoma. Tx?

A

Resection with 1cm margin and one anatomical barrier

How well did you know this?
1
Not at all
2
3
4
5
Perfectly
7
Q

Unicystic ameloblastoma. Tx?

A

Unicystic: enucleation and curettage +/- peripheral ostectomy or liquid nitrogen cryotherapy.

Mural subtype: consider resection with 1cm margin

How well did you know this?
1
Not at all
2
3
4
5
Perfectly
8
Q

Peripheral ameloblastoma. Tx?

A

Excision. Low to no chance for recurrence.

How well did you know this?
1
Not at all
2
3
4
5
Perfectly
9
Q

What is the 2/3rd rule of adenomatoid odontogenic tumor (AOT)?

A

2/3 canine teeth
2/3 female
2/3 maxilla
2nd and 3rd decade of life

How well did you know this?
1
Not at all
2
3
4
5
Perfectly
10
Q

Pear-shaped radiolucency with speckled opaque foci, potentially associated with an impacted tooth (canine)?

A

Adenomatoid odontogenic tumor (AOT)

How well did you know this?
1
Not at all
2
3
4
5
Perfectly
11
Q

Columnar epithelium in a duct-like pattern

A

Adenomatoid odontogenic tumor (AOT)

How well did you know this?
1
Not at all
2
3
4
5
Perfectly
12
Q

Histology: Lisegang rings, psammomalike calcifications, amyloid

A

Calcifying epithelial odontogenic tumor (CEOT) or Pindborg tumor.

If there are clear cells present, it is typically more aggressive with cortical perforation

How well did you know this?
1
Not at all
2
3
4
5
Perfectly
13
Q

Well-defined mixed radiolucent/radioopaque unilocular or multolocular lesion with a snowflake pattern (“driven snow” )

A

Calcifying epithelial odontogenic tumor (CEOT) or Pindborg tumor.

How well did you know this?
1
Not at all
2
3
4
5
Perfectly
14
Q

Calcifying epithelial odontogenic tumor (CEOT) or Pindborg tumor. Tx?

A

Resection with 1cm margins - generally has low recurrence. 14-20% recurrence with enucleation.

How well did you know this?
1
Not at all
2
3
4
5
Perfectly
15
Q

Triangular or pear-shaped radiolucency associated with an erupted tooth

A

Squamous odontogenic tumor (SOT). Presents similarly to AOT, except the tooth is erupted. Most common in the anterior maxilla and/or posterior mandible.

How well did you know this?
1
Not at all
2
3
4
5
Perfectly
16
Q

Variable-sized nests of cytologically bland squamous epithelium in a moderately cellular fibrous stroma

A

Squamous Odontogenic Tumor (SOT)

How well did you know this?
1
Not at all
2
3
4
5
Perfectly
17
Q

Predominance of stellate and spindle cells surrounded by mucoid material.

A

Odontogenic myxoma

How well did you know this?
1
Not at all
2
3
4
5
Perfectly
18
Q

Ill-defined radiolucent lesion with soap-bubble or honeycomb pattern, multilocular

A

Ameloblastoma

How well did you know this?
1
Not at all
2
3
4
5
Perfectly
19
Q

A mutation in which of the following genes is responsible for fibrous dysplasia?
a. GNAQ
b. GNAS
c. PTCH1
d. SH3BP2
e. RUNX2

A

b. GNAS

Mutations in GNAQ (A) are seen in conditions such as Sturge Weber Angiomatosis and blue nevi. PTCH1 (C) is mutated in sporadic cases of odontogenic keratocysts and more frequently in OKCs in the setting of Gorlin Syndrome. SH3BP2 (D) mutations are seen in Cherubism, RUNX2 (E) mutations are seen in Cleidocranial Dysplasia. RUNX2 is also referred to as CBFA1.

How well did you know this?
1
Not at all
2
3
4
5
Perfectly
20
Q

Which of the following statements regarding fibrous dysplasia is FALSE?

a. It is a tumor-like condition often diagnosed in childhood
b. Patients may present with expansion of one or more bones
c. It does not have any extra-skeletal (osseous) manifestations
d. Surgical recontouring should be avoided until skeletal maturity is achieved
e. All of the above are true

A

c. It does not have any extra-skeletal (osseous) manifestations

Some forms of polyostotic fibrous dysplasia have extra-skeletal manifestations. These include Jaffe Lichtenstein Syndrome (Café au lait pigmentation), McCune Albright Syndrome (Café au lait pigmentation + endocrine disturbances), and Mazabraud Syndrome (intramuscular myxomas).

How well did you know this?
1
Not at all
2
3
4
5
Perfectly
21
Q

An ossifying fibroma is most likely to be diagnosed in which of the following locations?

a. Anterior maxilla
b. Mandibular premolar-molar region
c. Anterior mandible
d. Maxillary premolar-molar region
e. Temporomandibular joint space

A

d. Maxillary premolar-molar region

How well did you know this?
1
Not at all
2
3
4
5
Perfectly
22
Q
  1. Patients with radiographic findings resembling florid cemento-osseous dysplasia but with generalized enlargement of the affected jawbones should be evaluated for which of the following conditions?
    a. Cherubism
    b. Multiple Myeloma
    c. Cleidocranial dysplasia
    d. Osteosarcoma
    e. Paget’s Disease of Bone
A

e. Paget’s Disease of Bone

Late stage florid cemento-osseous dysplasia may present radiographically as hyperdense bony lesions resembling the “cotton wool” changes seen in Paget’s Disease of Bone.

How well did you know this?
1
Not at all
2
3
4
5
Perfectly
23
Q

A “ground-glass” pattern of bone may be seen in which of the following conditions?

a. Fibrous dysplasia
b. Periapical cemento-osseous dysplasia
c. Focal cemento-osseous dysplasia
d. Florid cemento-osseous dysplasia
e. Ossifying fibroma

A

a. Fibrous dysplasia

How well did you know this?
1
Not at all
2
3
4
5
Perfectly
24
Q

An 8-year-old female presenting with generalized maxillary enlargement, precocious puberty, and pigmented skin lesions should be evaluated for which of the following conditions?

a. Mazabraud Syndrome
b. Jaffe Lichteinstein Syndrome
c. McCune Albright Syndrome
d. Hyperparathyroidism Jaw Tumor Syndrome
e. Paget’s Disease of Bone

A

c. McCune Albright Syndrome

The question stem is describing the features of McCune Albright Syndrome, a form of polyostotic fibrous dysplasia which presents with café au lait skin pigmentations and endocrine disturbances. These endocrine disturbances most frequently manifest as precocious puberty.

How well did you know this?
1
Not at all
2
3
4
5
Perfectly
25
You are evaluating a 40-year-old African American female for evaluation of a non-expansile, mixed radiolucent-radiopaque lesion of the anterior mandible. She shows you a prior biopsy report of the lesion with a final diagnosis of “benign fibro-osseous lesion.” What is the most likely diagnosis for this lesion? a. Fibrous dysplasia b. Periapical cemento-osseous dysplasia c. Focal cemento-osseous dysplasia d. Florid cemento-osseous dysplasia e. Ossifying fibroma
b. Periapical cemento-osseous dysplasia The histologic features of all forms of benign fibro-osseous lesions are relatively similar, therefore clinical and radiographic correlation is required to arrive at a definitive diagnosis. The question stem describes features most characteristic of periapical cemento-osseous dysplasia.
26
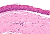
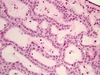
You perform an incisional biopsy on a unilocular radiolucent lesion of the left maxilla in the lateral incisor-canine area which is causing divergence of these tooth roots. A representative image of the biopsy specimen is shown below. What is the best diagnosis? A. Lateral periodontal cyst B. Odontogenic keratocyst C. Glandular odontogenic cyst D. Ameloblastoma E. Calcifying odontogenic cyst
B. Odontogenic keratocyst The image shows the architecture of a cyst, including a lumen, epithelial lining, and fibrous connective tissue wall, therefore choice D is incorrect. The exact type of cyst is determined by the features of the epithelial lining. The epithelial lining shown is ~6-8 cell layers thick, has a palisaded basal cell layer, and is covered by a corrugated surface of parakeratin. Therefore, the correct answer is B. A lateral periodontal cyst (A) will have a thinner lining (1-3 cells thick) with focal thickenings and no keratin. A glandular odontogenic cyst (C) will have a lining of variable thickness and other features including mucous cells, apocrine snouting, microcysts, and cilia. A calcifying odontogenic cyst (E) will have aberrant keratinocyte formation known as “ghost cells.”
27
All of the following have a site predilection for the posterior mandible except one. Which is the EXCEPTION? a. Odontogenic keratocyst b. Ameloblastoma c. Odontogenic myxoma d. Calcifying odontogenic cyst e. Ameloblastic fibroma
d. Calcifying odontogenic cyst The calcifying odontogenic cyst is seen most frequently in the anterior region (incisor-canine area) of the jaws, and has an equal predilection between the maxilla and the mandible.
28
Which of the following is NOT a feature of Gorlin Syndrome (Nevoid Basal Cell Carcinoma Syndrome)? a. Multiple odontogenic keratocysts b. Bifid or splayed ribs c. Autosomal recessive pattern of inheritance d. Palmar and plantar pits e. Calcification of the falx cerebri
c. Autosomal recessive pattern of inheritance Gorlin Syndrome has an autosomal dominant pattern of inheritance. All other choices listed are features of Gorlin Syndrome.
29
Cells displaying aberrant keratinization are a feature of which of the following? a. Calcifying odontogenic cyst b. Glandular odontogenic cyst c. Adenomatoid odontogenic tumor d. Odontogenic keratocyst e. Calcifying epithelial odontogenic tumor
a. Calcifying odontogenic cyst “Ghost cells” are eosinophilic epithelial cells with pink cytoplasm but lacking a nucleus. They are seen in the epithelial lining of calcifying odontogenic cysts.
30
The most common odontogenic cyst is the ____ a. Dentigerous cyst b. Radicular cyst c. Odontogenic keratocyst d. Lateral periodontal cyst e. Glandular odontogenic cyst
b. Radicular cyst The most common odontogenic cyst overall is the radicular cyst, which is a type of inflammatory cyst. The most common developmental odontogenic cyst is the dentigerous cyst.
31
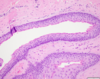
You perform an excisional biopsy on a radiolucent lesion of the mandibular premolar region. A representative section from the specimen is shown below. What is the best diagnosis? a. Lateral periodontal cyst b. Odontogenic keratocyst c. Glandular odontogenic cyst d. Ameloblastoma e. Calcifying odontogenic cyst
a. Lateral periodontal cyst The image shows the architecture of a cyst, including a lumen, epithelial lining, and fibrous connective tissue wall, therefore choice D is incorrect. The exact type of cyst is determined by the features of the epithelial lining. The lining shown is thin (1-3 cell layers thick) with focal thickenings. The diagnosis is therefore A, lateral periodontal cyst. An odontogenic keratocyst (B) will have a lining that is ~6-8 cell layers thick, has a palisaded basal cell layer, and is covered by a corrugated surface of parakeratin. A glandular odontogenic cyst (C) will have a lining of variable thickness and other features including mucous cells, apocrine snouting, microcysts, and cilia. A calcifying odontogenic cyst (E) will have aberrant keratinocyte formation known as “ghost cells.”
32
Which of the following lesions has the highest propensity to cross the midline? a. Dentigerous cyst b. Radicular cyst c. Odontogenic keratocyst d. Lateral periodontal cyst e. Glandular odontogenic cyst
e. Glandular odontogenic cyst Although choice C may also cross the midline if it becomes large enough in size, the lesion with the greatest propensity of the choices listed is E. The glandular odontogenic cyst and central giant cell granuloma are the two radiolucent lesions most likely to cross the midline.
33
The gingival cyst of the adult is the soft tissue equivalent of the: a. Gingival cyst of the newborn b. Odontogenic keratocyst c. Dentigerous cyst d. Lateral periodontal cyst e. Calcifying odontogenic cyst
d. Lateral periodontal cyst The gingival cyst of the adult is the soft tissue analogue of the lateral periodontal cyst, in that it has the same/similar histologic features but lacks bony involvement. The gingival cyst of the newborn is a keratin filled cyst seen on the alveolar ridge of newborn children, which will rupture and resolve spontaneously. The soft tissue equivalent of the dentigerous cyst is the eruption cyst/hematoma.
34
Palisading of the basal cell layer and a corrugated, parakeratin lining are characteristic of which of the following? a. Dentigerous cyst b. Radicular cyst c. Odontogenic keratocyst d. Lateral periodontal cyst e. Glandular odontogenic cyst
c. Odontogenic keratocyst
35
Which of the following is the most common developmental odontogenic cyst? a. Dentigerous cyst b. Radicular cyst c. Odontogenic keratocyst d. Lateral periodontal cyst e. Glandular odontogenic cyst
a. Dentigerous cyst
36
The inheritance pattern of Gorlin Syndrome (Nevoid Basal Cell Carcinoma Syndrome) is: a. Autosomal dominant b. Autosomal recessive c. X-lined dominant d. X-lined recessive e. None of the above
a. Autosomal dominant
37
Most examples of “primordial cysts” resemble what on histologic examination? a. Odontogenic keratocyst b. Dentigerous cyst c. Glandular odontogenic cyst d. Lateral periodontal cyst e. Calcifying odontogenic cyst
a. Odontogenic keratocyst The “primordial cyst” by definition is a cyst that forms in place of a tooth (i.e. although there is no tooth at the site of the cyst, the patient reports no history of prior dental extractions in the area). Most of these “primordial cysts” are odontogenic keratocysts on microscopic examination.
38
All of the following are considered developmental odontogenic cysts except one. Which is the EXCEPTION? a. Buccal bifurcation cyst b. Odontogenic keratocyst c. Dentigerous cyst d. Lateral periodontal cyst e. Glandular odontogenic cyst
a. Buccal bifurcation cyst The buccal bifurcation cyst is a type of inflammatory odontogenic cyst that is most often seen in association with erupting mandibular first molars. Other examples of inflammatory odontogenic cysts include radicular and residual cysts.
39
The Gorlin Cyst is an alternative/former name for which of the following? a. Lateral periodontal cyst b. Odontogenic keratocyst c. Calcifying odontogenic cyst d. Dentigerous cyst e. Glandular odontogenic cyst
c. Calcifying odontogenic cyst The Gorlin cyst is another name for the calcifying odontogenic cyst. The Gorlin cyst/COC is NOT associated with Gorlin Syndrome (Nevoid Basal Cell Carcinoma Syndrome).
40
Which of the following odontogenic cysts is most likely to undergo malignant transformation? a. Residual cyst b. Dentigerous cyst c. Odontogenic keratocyst d. Buccal bifurcation cyst e. Glandular odontogenic cyst
a. Residual cyst Although still exceedingly rare, the epithelial lining of a residual cyst may undergo malignant change, from which a squamous cell carcinoma may develop.
41
The buccal bifurcation cyst is most commonly seen in association with: a. Maxillary first molar b. Maxillary second molar c. Mandibular first molar d. Mandibular second molar e. Mandibular third molar
c. Mandibular first molar
42
Which of the following lesions contains ghost cells? a. Calcifying odontogenic cyst b. Glandular odontogenic cyst c. Odontogenic keratocyst d. Dentigerous cyst e. Radicular cyst
a. Calcifying odontogenic cyst
43
Which of the following is a true statement regarding the differences between an odontogenic keratocyst and an orthokeratinized odontogenic cyst? a. An odontogenic keratocyst has a lower recurrence rate than an orthokeratinized odontogenic cyst b. An odontogenic keratocyst may be seen in Gorlin Syndrome, while an orthokeratinized odontogenic cyst will not c. An odontogenic keratocyst is radiolucent, while an orthokeratinized odontogenic cyst is mixed radiolucent-radiopaque d. An odontogenic keratocyst can be distinguished from an orthokeratinized odontogenic cyst based on radiographic presentation alone
b. An odontogenic keratocyst may be seen in Gorlin Syndrome, while an orthokeratinized odontogenic cyst will not An odontogenic keratocyst has a higher rate of recurrence than an orthokeratinized odontogenic cyst. Both will present as radiolucent lesions. A biopsy is required to definitively distinguish between the two entities.
44
Epstein Pearls are usually seen on the: a. Palate b. Gingiva c. Tongue d. Buccal mucosa e. Floor of mouth
a. Palate Epstein Pearls are keratin filled inclusion cysts seen on the midline of the hard palate in newborns. They will rupture and resolve spontaneously. Similar appearing lesions are referred to as Bohns Nodules when they involve the lateral palate and gingival cyst of the newborn when they involve the alveolar ridge.
45
A botryoid odontogenic cyst is a name for a multilocular version of the: a. Odontogenic keratocyst b. Lateral periodontal cyst c. Orthokeratinized odontogenic cyst d. Dentigerous cyst e. Calcifying odontogenic cyst
b. Lateral periodontal cyst
46
Name three clear cell tumors
CEOT, mucoepidermoid CA, and renal cell CA
47
Name four ghost cell tumors
Craniopharyngioma, ameloblastic fibro-odontoma, calcifying odontogenic cyst (gorlin cyst), ghost cell odontogenic CA Ghost cells are enlarged eosinophilic epithelial cells with eosinophilic cytoplasm without a nucleus
48
What are the three benign pathologies that are resected with a margin of at least 1cm?
Ameloblastoma, CEOT and odontogenic myxoma
49
Histology: "Suprabasalar epithelium shows stellate reticulum with ghost cell formation"
Calcifying Cystic Odontogenic Tumor (Gorlin Cyst)
50
You perform an excisional biopsy of the tongue lesion shown below. Based on the clinical image and the associated photomicrograph, what is the best diagnosis? a. Schwannoma b. Lipoma c. Squamous cell carcinoma d. Granular cell tumor e. Rhabdomyoma
d. Granular cell tumor
51
You perform an incisional biopsy of a submucosal palatal swelling. The pathology report describes Antoni A and Antoni B microscopic patterns. What is the best diagnosis? a. Neurofibroma b. Schwannoma c. Granular cell tumor d. Leiomyoma e. Rhabdomyosarcoma
b. Schwannoma Antoni A and B are the characteristic patterns seen in a schwannoma. Antoni A is the more cellular zone which contains a palisaded arrangement of Schwann cells and intervening acellular areas known as Verocay bodies. Antoni B is less cellular and less organized and does not contain Verocay bodies.
52
The most common soft tissue malignancy involving the head and neck region in children is the: a. Rhabdomyosaroma b. Leiomyosarcoma c. Malignant peripheral nerve sheath tumor d. Liposarcoma e. Fibrosarcoma
a. Rhabdomyosaroma
53
The oral lymphoepithelial cyst has the same histologic features as which of the following? a. Thyroglossal duct cyst b. Branchial cleft cyst c. Nasopalatine duct cyst d. Median palatal cyst e. Dermoid cyst
b. Branchial cleft cyst
54
A cystic lateral neck mass in an adult patient over the age of 40 is most likely to be a/an: a. Branchial cleft cyst b. Metastatic oropharyngeal squamous cell carcinoma c. Thyroglossal duct cyst d. Plunging ranula e. Lymphoepithelial cyst
b. Metastatic oropharyngeal squamous cell carcinoma Most cystic lateral neck masses diagnosed in adults represent cystic metastases from an oropharyngeal primary SCC. A diagnosis of a branchial cleft cyst in a patient older than 40 years should be viewed with caution.
55
6. Multiple mucosal neuromas in a young child may be suggestive of which of the following? a. Neurofibromatosis Type I b. Neurofibromatosis Type II c. Multiple Endocrine Neoplasia Syndrome 1 d. Multiple Endocrine Neoplasia Syndrome 2a e. Multiple Endocrine Neoplasia Syndrome 2
e. Multiple Endocrine Neoplasia Syndrome 2 MEN2B results in tumors of neuroendocrine tissues including pheochromocytomas and medullary thyroid carcinoma. Patients with MEN2B also have a Marfanoid build and multiple oral mucosal neuromas, the latter of which represents an early clinical feature and may aid in diagnosis.
56
Which of the following is NOT a feature of Neurofibromatosis Type I? a. Lisch nodules b. Axillary freckling c. Café au lait skin pigmentations d. Bilateral acoustic schwannomas e. Autosomal dominant pattern of inheritance
d. Bilateral acoustic schwannomas Features of NF1 include pigmented iris hamartomas (Lisch nodules), axillary freckling (Crowe Sign), café au lait pigmentation, multiple neurofibromas, and an AD pattern of inheritance. Bilateral acoustic schwannomas are a feature of NF2.
57
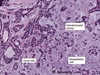
8. You perform a biopsy of a palatal lesion in an HIV+ individual. A representative microscopic image is shown below. Which of the following is true regarding this lesion? a. It is best diagnosed as Kaposi Sarcoma b. It is caused by HHV-8 c. It may also be seen in patients who are status-post organ transplant d. All of the above are true
d. All of the above are true
58
An ovoid or heart-shaped radiolucency occurring interproximal and apical to the roots of vital maxillary central incisor teeth is best termed a: a. Median palatal cyst b. Nasopalatine duct cyst c. Dermoid cyst d. Branchial cleft cyst e. Thyroglossal duct cyst
b. Nasopalatine duct cyst The cyst of the incisive papilla is the peripheral or soft-tissue only varient
59
All of the following are true regarding pyogenic granulomas except one. Which is the EXCEPTION? a. It may also be referred to as a “pregnancy tumor” b. It is limited to the gingiva c. It is a reactive rather than neoplastic process d. Microscopic analysis shows granulation tissue composed of many large and small blood vessels e. Proposed etiologies include local irritation and/or trauma
b. It is limited to the gingiva
60
A ‘cystic hygroma’ shows the microscopic features of a: a. Hemangioma b. Lymphangioma c. Lipoma d. Schwannoma e. Rhabdomyoma
b. Lymphangioma A cystic hygroma is another term for a macrocystic lymphangioma of the lateral neck.
61
A translocation between chromosomes X and 17 resulting in the ASPL-TFE3 fusion gene is seen in which of the following? a. Rhabdomyosarcoma b. Leiomyosarcoma c. Synovial Sarcoma d. Alveolar soft part sarcoma e. Liposarcoma
d. Alveolar soft part sarcoma
62
A reciprocal translocation between chromosomes X and 18 resulting in an SS18-SSX fusion gene is seen in which of the following? a. Rhabdomyosarcoma b. Leiomyosarcoma c. Synovial Sarcoma d. Alveolar soft part sarcoma e. Liposarcoma
c. Synovial Sarcoma
63
Which of the following is most likely to present as a midline floor of mouth swelling? a. Ranula b. Dermoid cyst c. Nasopalatine duct cyst d. Mucoepidermoid carcinoma e. Branchial cleft cyst
b. Dermoid cyst
64
Which of the following has the highest predilection for the tongue out of all possible body sites? a. Schwannoma b. Neurofibroma c. Neuroma d. Lipoma e. Granular cell tumor
e. Granular cell tumor The most common site of occurrence for a GCT throughout the entire body is the tongue.
65
Verocay bodies are seen in: a. Schwannoma b. Neurofibroma c. Granular cell tumor d. Hemangioma e. Lipoma
a. Schwannoma
66
Which of the following is a keratin-filled cyst which contains adnexal structures in its’ wall? a. Epidermoid cyst b. Dermoid cyst c. Thyroglossal duct cyst d. Branchial cleft cyst e. Lymphoepithelial cyst
b. Dermoid cyst
67
Where is the most common site of metastasis for metastasizing (malignant) ameloblastomas?
The lungs
68
What form of hyperparathyroidism presents with elevated calcium and decreased phosphate? a. Primary b. Secondary c. Tertiary
a. Primary or c. Tertiary Primary: typically from an adenoma of the parathyroid Tertiary: usually refractory hyperparathyroidism secondary to chronic renal disease or a paraneoplastic syndrome (ie oral SCC) Both present with similar Ca and PO4 findings due to the excessive release of parathyroid-related peptide secretion
69
What form of hyperparathyroidism presents with decreased calcium and increased phosphate? a. Primary b. Secondary c. Tertiary
b. Secondary Usually occurring due to low Vit D levels secondary to chronic renal disease resulting in poor Ca reabsorption.
70
Histology: "dilated capillaries, multi-nucleated giant cells and hemosiderin pigmentation"
Central Giant Cell Granuloma Presents as either aggressive (giant cell tumor) or non-aggressive (giant cell lesion) variants. Aggressive Criteria: one major criteria + 3 minor criteria Major Criteria: -size >5cm -recurrence after initial tx Minor Criteria: -rapid growth -tooth loosening +/- displacement -radiographic evidence of cortical thinning and/or perforation -tooth resorption Aggressive tx: en-bloc resection with 1cm margin Non-aggressive tx: enucleation + pharmacologic therapy (intralesional steroids, calcitonin therapy, INF therapy)
71
Red-blue pedunculated soft tissue lesion with cupping or saucerization of the underlying alveolar bone found in the mandibular gingiva.`
Peripheral Giant Cell Lesion One of the three P soft tissue lesions: -Pyogenic granuloma -Peripheral giant cell lesion -Peripheral ossifying fibroma
72
What are the "3 P soft tissue lesions"?
-Pyogenic granuloma -Peripheral giant cell lesion -Peripheral ossifying fibroma
73
What are five giant cell lesions?
Hyperparathyroidism, CGCG, Cherubism, and Aneurismal Bone Cyst, Langerhans Cell Histiocytosis Lesions are poorly related to one another, but appear similar under light microscope.
74
Histology: "eosinophilic, perivascular cuffing of collagen"
Characteristic finding of cherubism, although frequently absent. 3 Types of Cherubism: 1. Bilateral mandibular rami 2. Entire mandible, with condylar sparing 3. Maxilla and mandible Mutation in the SH3BP2 chromosome. Often left untreated, as it can spontaniously regress after puberty Associated with Jaffe-Campanacci syndrome. Noonan-like
75
Clinical appearance of a "blood-soaked sponge" when lesion is entered
Aneurismal bone cyst
76
Birbeck granules under electron microscopy is diagnostic for which giant cell lesion?
Langerhans Cell Histiocytosis Also stains positive with CD1a and S100 (image)
77
Classic triad of: jaw lesions, diabetes insipidus and exophthalmos is characteristic of which disease process?
Hand-schuller Christian or the multifocal unisystem presentation of langerhans cell histiocytosis
78
How can you differentiate an ossifying fibroma from fibrous dysplasia radiographically?
OF is encapsulated and will have a radiolucent rim (especially when smaller than 2-3cm), FD is not capsulated and follows the contours of the facial bones. Histologically, they are indistinguishable.
79
Histology: pseudo-encapsulated, whorly spindle cells, antoni A and B forms, and verocay bodies
Schwannoma (neurilemmoma) Vestibular schwannoma is associated with NF2 (neurofibromin 2 gene on chromosome 22). For comparison, neurofibromas are UNENCAPSULATED, blend with adjacent tissue, have spindle-shaped cells with wavy nuclei, and abundant mast cells
80
Histology: unencapsulated lesion that blends with adjacent tissue, has spindle-shaped cells with wavy nuclei, and abundant mast cells
Neurofibroma Associated with neurofibromatosis. Type 1 NF (Von Recklinnghausen disease) is the most common, presents with lisch nodules, coast of california cafe au lait spots, optic pathway gliomas, and crowe sign
81
Histology: "osteoid and primitive woven bone amidst fibrovascular connective tissue stroma"
Osteoid osteoma or osteoblastoma Osteoblastoma tends to be larger and more aggressive with constant discomfort. Osteoid osteoma presents with nocturnal pain, is smaller and RESPONDS TO NSAIDS
82
Multiple osteomas, intestinal polyposis, sebaceous/epidermal cysts of skin and fibromas of soft tissues is characteristic of?
Gardner syndrome
83
Histology: "spindle cell tumor showing herring bone pattern and interfascicular pattern"
Fibrosarcoma Tx: resection with 1-2cm margins. Questionable benefit of chemo or radiation therapy. Stains positive for vimectin.
84
Histology: multicystic lesion partially lined by respiratory epithelial cells with mucous pooling
Glandular Odontogenic Tumor Located in the anterior mandible as a painless swelling. Excised with a wide margin. Can be difficult to differentiate from a low-grade mucoepidermoid CA
84
The soft tissue counterpart of lateral periodontal cysts
Gingival cyst of adult
85
What is the genetic mutation associated with OKC?
PTCH1 Also associated with Nevoid Basal Cell Carcinoma Syndrome (Gorlin Goltz Syndrome) and BCC
86
Histology: cystic pathology lined by parakeratinized stratified squamous epithelium (6-8 cells thick). Areas of separation from the basal membrane with inconspicuous rete ridges
OKC
87
Name 5 features of Nevoid Basal Cell Carcinoma Syndrome (Gorlin Goltz)
-Multiple OKCs -Numerous basal cell carcinomas (typically sun exposed areas) -Palmar pitting -Bifid Ribs -Calcified falx cerebri -Hypertelorism -Ovarian fibromas -Medulloblastomas
88
Radiograph: well-defined radiolucency of the posterior mandible with scalloping around the tooth roots
Traumatic Bone Cyst Does not represent a true cyst as there is no epithelial lining. Clinically appears as an empty cavity +/- clear serosanginous fluid.
89
What is the most common benign neoplasm of the salivary glands?
Pleomorphic adenoma
90
What are the most common malignant neoplasms of the salivary glands?
Mucoepidermoid CA and Adenoid cystic carcinoma
91
What three salivary gland neoplasms are known to have perineural invasion?
Adenoid cystic CA, mucoepidermoid CA, and polymorphous low-grade adenocarcinoma (PLGA). ACC and high-grade mucoepidermoid CA are also known to have perineural SPREAD
92
Histology: a combination of ductal cells, chondromyxoid matrix and myoepithelial cells
Pleomorphic Adenoma Found in the parotid>palate>submandibular gland. The most common benign neoplasm of the salivary glands. Treatment is partial superficial parotidectomy vs superficial parotidectomy based on the ability to obtain margins with a 5mm cuff of normal tissue. In the submandibular gland the entire gland is removed, and in the palate there is a wide local excision with 1cm of periosteal sacrificing.
93
Histology: papillary cystic growth of oncocytic ductal cells in a lymphoid stroma
Papillary Cystic Lymphomatosum (Warthin's Tumor) Most commonly found in the parotid tail. 10% bilateral, 10% associated with smoking. Concentrates technetium 99, which can be used to aid in diagnosis. Tx: partial superficial parotidectomy vs total superficial parotidectomy
94
Histology: interconnecting strands of ductal cells arranged in a double row`
Canalicular Adenoma Subtype of monomorphic adenoma 75% occur in the upper lip.
95
Histology: papillary cystic growth of oncocytic ductal cells with round eosinophilic polygonal cells with swollen cytoplasm and centralized nucleus
Oncocytoma Subtype of monomorphic adenoma
96
Histology: basaloid-type cells with pale cytoplasm and indistinct cell boundaries
Basal Cell Adenoma Most common subtype of monomorphic adenoma 75% occur in the parotid gland. Within major glands they display encapsulation (no capsule in minor salivary glands).
97
What are the indications for a neck dissection in malignant salivary gland neoplasms?
-Positive clinical nodes: modified radical neck dissection (levels II-V) is indicated -High risk/grade pathology (high grade mucoepidermoid CA, SSC, adenocarcinoma, malignant mixed tumor or oncocytoma) -T3 or T4 lesion -Age >53yo -Perilymphatic invasion -Extraglandular spread
98
What is the most common malignant salivary gland tumor?
Mucoepidermoid Carcinoma Parotid>Palate>Submandibular gland
99
What stain identifies mucin in the staining of mucoepidermoid CA?
Mucicarmine
100
In high-grade mucoepidermoid carcinoma, which of these cell types predominates? a. Epidermoid cells b. Mucous cells c. Glandular cells
a. Epidermoid cells
101
Stage I and II mucoepidermoid carcinoma is treated with which of the following (select all that apply): a. Possible neck dissection b. Possible post-operative radiation therapy c. Wide local excision d. Superficial parotidectomy e. Adjuvant chemotherapy
c. Wide local excision d. Superficial parotidectomy
102
Stage III and IV mucoepidermoid carcinoma is treated with which of the following (select all that apply): a. Possible neck dissection b. Possible post-operative radiation therapy c. Wide local excision d. Superficial parotidectomy e. Adjuvant chemotherapy
a. Possible neck dissection b. Possible post-operative radiation therapy c. Wide local excision d. Superficial parotidectomy
103
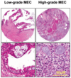
Histology: mucous, epidermoid and glandular cells arranged in a solid/cystic pattern
Mucoepidermoid Carcinoma Note that increased numbers of epidermoid cells are seen in high-grade MEC vs increased glandular and mucous cells in low-grade
104
Which histologic subtype of adenoid cystic carcinoma denotes the worst prognosis? a. Solid b. Cribriform c. Tubular
a. Solid Cribriform is the most common,
105
AJCC 8 Oral SCC Staging: A single ipsilateral lymph node less than or equal to 3cm and ENE -
N1
106
AJCC 8 Oral SCC Staging: A single ipsilateral lymph node less than or equal to 3cm and ENE +
N2a
107
AJCC 8 Oral SCC Staging: A single ipsilateral lymph node greater than 3cm and less than 6cm, ENE -
N2a
108
AJCC 8 Oral SCC Staging: Metastasis in multiple ipsilateral nodes, none larger than 6cm, ENE -
N2b
109
AJCC 8 Oral SCC Staging: Metastasis in bilateral or contralateral lymph nodes, none larger than 6cm, ENE -
N2c Bilateral neck dissection is indicated
110
AJCC 8 Oral SCC Staging: Metastasis in a single ipsilateral node larger than 3cm and ENE +
N3b
111
AJCC 8 Oral SCC Staging: Metastasis in a lymph node larger than 6cm and ENE -
N3a
112
AJCC 8 Oral SCC Staging: Mutliple ipsilateral, contralateral or bilateral nodes with ENE +
N3b
113
AJCC 8 Oral SCC Staging: Tumor less than or equal to 2cm with DOI greater than 5mm
T2
114
AJCC 8 Oral SCC Staging: Tumor less than or equal to 2cm with DOI less than or equal to 5mm
T1
115
AJCC 8 Oral SCC Staging: Tumor greater than 2cm and less than or equal to 4cm with DOI less than or equal to 10mm
T2
116
AJCC 8 Oral SCC Staging: Tumor greater than 4cm with DOI less than or equal to 10mm
T3
117
AJCC 8 Oral SCC Staging: Tumor less than 4cm with DOI greater than 10mm
T3
118
AJCC 8 Oral SCC Staging: Tumor greater than 4cm with DOC greater than 10mm, with invasion into the cortical bone
T4a
119
AJCC 8 Oral SCC Staging: Tumor greater than 4cm with DOC greater than 10mm, with invasion into the skin of the face
T4a
120
AJCC 8 Oral SCC Staging: Tumor greater than 4cm with DOC greater than 10mm, with invasion into the skull base, pterygoid plates, or encases the carotid artery
T4b
121
What are in the indications for a neck dissection in oral SCC?
"I 'TOLD' you we needed a neck dissection!" T: T2 or higher O: occult metastasis to a regional node 20%+ probability L: location is high risk (FOM, tongue, retromolar trigone) D: DOI 3-4mm in the tongue
122
What is the definition of a Radical Neck Dissection?
-Removal of all ipsilateral cervical lymph nodes -Levels: I-V -Removal of SCM, spinal accessory nerve and internal jugular vein
123
What is a Modified Radical Neck Dissection, and what are the three types?
Similar to radical neck dissection (levels I-V) with preservation of critical structures. Type I: preserve the spinal accessory nerve (SAN) Type II: preserve SAN and internal jugular vein (IJV) Type III: preserve SAN, IJV and SCM "NVM" acronym: nerve, vein, muscle. Each level spares the previous structure and adds another.
124
What is a Selective Neck Dissection, and which levels are typically included for oral SCC?
Selective neck dissection aims to preserve critical structures like the SAN, IJV and SCM and limits the lymph node groups that would otherwise be included in a radical neck dissection. For oral SCC, levels I-III (supraomohyoid) are often included. For oropharyngeal CA, hypopharyngeal and laryngeal CA, levels II-IV are typically included.
125
When is adjuvant radiation treatment (+/-chemotherapy) indicated in oral SCC?
"Expect Some Nausea, Vomiting, and Pain" E: Extracapsular nodal spread or positive margins at the primary tumor S: Size (T3-T4 primary tumor) N: N2-N3 or level IV-V nodes V: Vascular embolism P: Perineural invasion
126
What is the most common form of skin cancer? a. Squamous Cell Carcinoma b. Basal Cell Carcinoma c. Melanoma d. Actinic Keratosis
b. Basal Cell Carcinoma 80% of all skin cancers are basal cell carcinomas. Associated with PTCH gene mutations, and thus are seen with Gorlin's Syndrome. 9-14% of skin malignancies are SCC. 4% of skin malignancies are melanoma Actinic Keratosis is a pre-malignant lesion with a 2-10% likelihood of malignant transformation to SCC.
127
Which subtype of basal cell carcinoma is the most common? a. Fibroepithelioma of Pinkus b. Basosquamous c. Cystic d. Micronodular e. Morpheaform f. Superficial g. Nodular
g. Nodular Nodular - 79%. Bleeds easily, face>trunk Superficial - 15% Erythematous scaly plaque, trunk>face Morpheaform - 6% Resembles a scar Micronodular - <1%
128
What is the most common subtype of melanoma? a. Superficial spreading b. Acral lentiginous c. Lentigo maligna d. Nodular
a. Superficial spreading Superficial spreading: most common. Appears as dark/pigmented macules. Nodular: second most common. Raised blue-black-red papule or nodule. Does not have a radial growth stage, does not follow the ABCDE rule. Acral lentiginous: occurs on palms and soles (hutchinson sign - pigmentation under the nail bed) Lentigo maligna: least common, but most common type on the face or sun-exposed areas. Common in older individuals.
129
What is a Clark level III for melanoma?
Abutting the papillary/reticular dermis Clark Levels: I - Confined to epithelium II - Invading the papillary dermis III - Abutting the papillary/reticular dermis IV - Reticular dermis V - Sub-cutaneous
130
What is the antimicrobial treatment for mucous membrane pemphigoid? a. Dapsone b. Clarithromycin c. Rifampin d. Moxifloxacin
a. Dapsone May be used for oral MMP that cannot be adequately managed with local therapy (topical steroids - triamcinolone). For ocular involvement, systemic steroids are indicated.