It is diagnosis by abnormal LFT’s
Alk Phos and Biliruben increase.
This disease process includes the entire liver and may or may not include sonographic findings
It affects the heptocytes, which control all the functions of the liver
chronic hepatitis and fatty liver fall under this category
Fatty Infiltration

Fatty infiltration is a benign process that can be reversed with a patients lifestyle change
Common causes are alcoholic abuse, diabetes, and obesity
It occurs from fat accumulation in the hepatocytes which causes damage to these cells
On ultrasound the liver looks hyperechoic and can even be enlarged
The vascular structures may be difficult to visualize because of the increased attenuation
The most common areas for FFS is the gallbladder, caudate lobe, and portal vein areas
Sparing, DENSE
Focal fatty sparing

Hepatitis
Imflamed liver
ABC most common
HEP A
Fecal contamination
oral and contact
not washing hands food contamination
Hep B
Greatest threat to health workers
blood and peircing
Hep C
Drugs Sex often asymptomatic
chronic, scarring of liver
continue to liver cancer
Acute Hep
Pain sudden multi symptom
flu like sym normal LFT
may have mild necrosis possibly liver failure
SONO
may appear normal
extra promanant portal veins
gall bladder thickened
Chronic Hep
Inglamatory process of liver is longlasting
lead to cirrhosis and liver failure
SONO
bumpy borders, hertero, fiobrosis is a disease process that gives liver coarse texture.
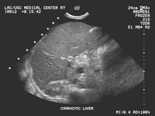
Cirrhosis

parachyma degernerates and lobes infiltate with fat
most common cause ALCHOL
SYM: nauses weight loss flatulence varicosities
SONO
Not advanced: hyperechoic, enlargment, decreased vasculature
ENd stage small noduar, ascites suround
Biliary Obstruction Proximal
MASS
Biliary obstruction proximal is caused by a mass that evades the porta hepatis
Clinically the patient will be jaundiced and the LFT’s will be elevated
Ultrasound is important to document mass location and size
Biliary obstruction distal
STONES
A biliary obstruction distal to the cystic duct is usually caused by stones in the CBD
Stones in the duct usually cause significant amount of RUQ pain, jaundice and elevated labs
On ultrasound you will see a dilated duct with hyperechoic shadowing stones
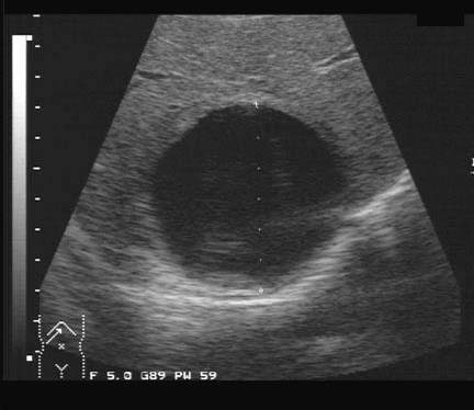
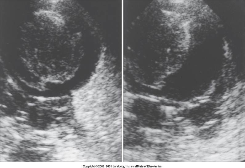
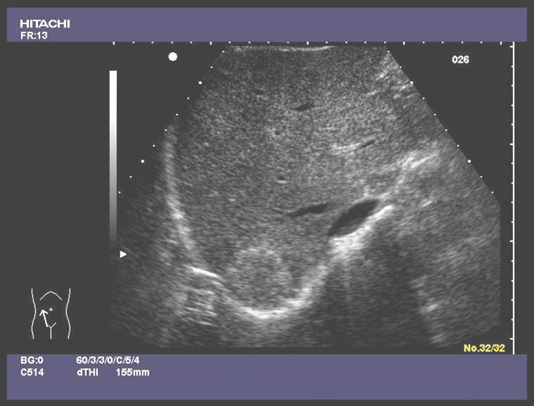
Hepatic Cysts

More commonly in women, thick fluid, cyst can hemorage. Leads to more serious conditions.. infection, absess, necrosis
Hepatic Cysitc Lesion

Liver custs are common, usual Benign
Asymotomatic
Large cyst are at risk for compressing hepatic vasculature and duct syspe,
Simple Cyst lesion

SONO
Thin, smooth walled, posterior enhancemnt
increase thru transmision
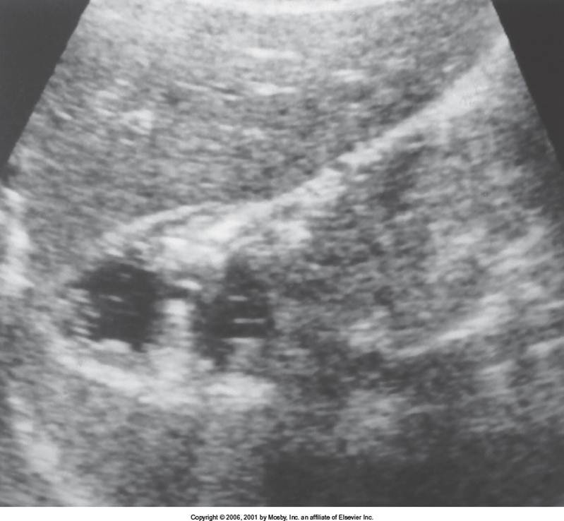
Polycistic Liver diease

Multiple cysts
2-3 cm cysts
1 in 500 people
asymotomatic
Also have polycistic renal disease!
Inflamatory dieseae of liver
Pyogenic Absess

Pus , arise because of trauma, surgery, biliary diease or wound.
fever, increased WBC and RUQ pain
Mass is hypoechoic in echo texture
Floating debris
Gas hyperechoic with posterior shadowing
Hepatic Candidiasis
TARGET LESION

Caused by FUNGUS
HIV CHEMO
Fever localized pain
SONO
hypoechoic mass with echogenic center “TARGER LESION”
shows diffuse, homogeneous, hypoechoic foci
Small amount of fluid in morrisons pouch
Chronic Granulomatous
genetic diease
cant ward off bacteria
frequently children
Hypoechoic mass is id with calcifications
Amebic Abscess

COntracted by ingesting a parasite found in food or water.
pus collection found in liver
Out of contry???
Reaches liver through portal v
non specific sono findings
Echinococcal cyst

TAPEWORM DOG
Larvae burrow through the intestinal wall inter portal circulation
Parasite causes liver to form CYCSTS
which impince hepatic vessels
SONO
simple cyst, complex mass, honeycomb
*if daughter cell is found specific for chinococcal cyst
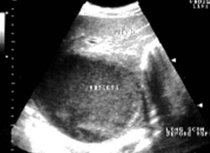
Hepatic Tumor
Neoplasm, new growth can be benign or malignant does not invade other structures
Ex mole
Cavernous Hemangioma

Very common
Bengin
blood filled spaces
asymptomatic
pain arises if it bleeds
SONO:
Hyperechoic with acoustic enhancment
LIver cell adenoma
Women
Birth control
RUQ pain
SONO:
mass with nonspecific findings
Child bearing age???
Feamale??? Birthcontrol??