Was sind die beiden Typen der Autoimmunität?
Wie entsteht ein hämorrhagischer Infarkt?
Arterieller Verschluss -> Einblutung aus Kollateralen, Venen oder Vas privatum
Was sind die fünf Formen der Entzündung?
Welche Immun-Abwehrmechanismen gibt es und welche Systeme gehören dazu?
Definition: Papillom
Entstehensweise von Dekubitus?
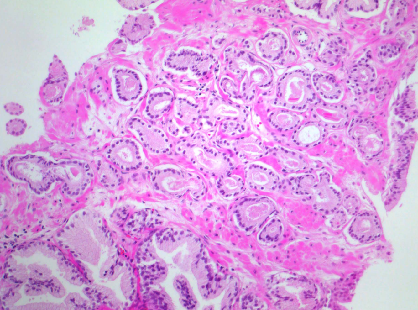
Was sind die diagnostischen Kriterien für ein Adeno-CA?
Definition: Heterolyse
Freisetzung von Enzymen aus Lysosomen angelockter Entzündungszellen
Welche Zellen gehören zur akuten Entzündung?
Definition: Metaplasie
Reversible Umwandlung eines ausdifferenzierten Gewebes in ein differenziertes Gewebe eines anderen Typs
Malignes Fibröses Histiozytom
Bedeutung?
Vorkommen?
Prognose?
Normalgewicht: Nebenniere
4 - 4.2g
Definition: Transsudat
Welche Ödemformen gibt es?
Welches sind die Subtypen des klassischen Hodgkin Lymphoms?
Welche Strategien verwenden die Hodgkin Zellen um den programmierten Zelltod fehlerhafter B-Zellen zu umgehen?
Zwischen welchen Arten von Gewebe unterscheidet man beim physiologischen Zellersatz?
Welcher Tumortyp ist das?

Überempfindlichkeitsreaktion Typ III
Mechanismus?
Beispiele?
Lipom
Häufung?
Lokalisation?
Bedeutung?
Prognose?
Folgen der Hämochromatose in der Leber?
Leberzirrhose und hepatozelluläres Karzinom
Welche Zellen gehören zur chronischen Entzündung?
Welches sind die diagnostischen Kriterien für ein Plattenepithel-CA?
Überempfindlichkeitsreaktion Typ I
Mechanismus?
Beispiele?