pathology Flashcards

(16 cards)

1
Q

what is nephritis?

A

inflammation of the kidney

How well did you know this?
1
Not at all
2
3
4
5
Perfectly
2
Q

what is pyelonephritis?

A

infective nephritis

How well did you know this?
1
Not at all
2
3
4
5
Perfectly
3
Q

what is glomerulonephritis?

A

non infective nephritis

How well did you know this?
1
Not at all
2
3
4
5
Perfectly
4
Q

what is glemoreulonephritis?

A

inflammation of the glomerulus

How well did you know this?
1
Not at all
2
3
4
5
Perfectly
5
Q

what are the main groups of glomerulonephritis?

A

immune mediated:

  • either directed at something in the glomerulus
  • caused by circulating complexes getting stuck in the sieve

OR
-related to vasculitis (secondary)

How well did you know this?
1
Not at all
2
3
4
5
Perfectly
6
Q

pathophysiology of good pastures syndrome?

A
  • Alpha 3 subunit of collagen 4
  • IgG antibodies
  • direct attack of the glomerulus causing glomerulonephritis
How well did you know this?
1
Not at all
2
3
4
5
Perfectly
7
Q

most common cause of glomerulonephritis?

A

-circulating immune complexes

How well did you know this?
1
Not at all
2
3
4
5
Perfectly
8
Q

what may cause circulating immune complexes causing glomerulonephritis?

A

infection- hepatitis virus, bacteria (post strep), HIV
drugs- gold, penicillamine
cancer- any but often lymphoma

How well did you know this?
1
Not at all
2
3
4
5
Perfectly
9
Q

how does vasculitis cause glomerulonephritis?

A

-disrupt the membrane charge, blocking the membranes and stopping the glomeluar sieve from working

How well did you know this?
1
Not at all
2
3
4
5
Perfectly
10
Q

what is the difference between nephritic and nephrotic syndrome?

A

-these are not a diagnoses they are a clinical description

nephritic- haematuria, hypertension

nephrotic- heavy proteinuria, non dependant oedema, hyperlipidaemia

How well did you know this?
1
Not at all
2
3
4
5
Perfectly
11
Q

what allows you to classify nephritic and nephrotic syndrome further?

A
  • light microscopy
  • electron microscopy
  • immunoflorescence
How well did you know this?
1
Not at all
2
3
4
5
Perfectly
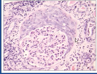
12
Q

what do crescents in a renal biopsy suggest?

A

indicate rapidly progressive GMN

How well did you know this?
1
Not at all
2
3
4
5
Perfectly
13
Q

what do granulomas in a kidney biopsy suggest?

A

GPA or sarcoidosis

How well did you know this?
1
Not at all
2
3
4
5
Perfectly
14
Q

what is seen on light microscopy of glomerulonephritis?

A
  • hypercellularity (due to inflammatory cells and reactive proliferations)
  • sclerosis (due to ongoing damage)
  • crescents
How well did you know this?
1
Not at all
2
3
4
5
Perfectly
15
Q

what is seen on electron microscopy of glomerulonephritis?

A
  • look at the basement membrane and can see if the deposits are in a sub epithelial, mesangial or sub endothelial location
  • this allows us to classify the type of glomerular disease
How well did you know this?
1
Not at all
2
3
4
5
Perfectly
16
Q

what is seen on IMF of good pastures?