PATHOLOGY Flashcards

(66 cards)

1
Q

Explain the flow volume loops of obstructive and restrictive respiratory diseases.
6

A
How well did you know this?
1
Not at all
2
3
4
5
Perfectly
2
Q

What is the FVC, FEV1 and FEV1/FVC in restrictive lung disease?

A
How well did you know this?
1
Not at all
2
3
4
5
Perfectly
3
Q

Causes of restrictive lung disease

A
How well did you know this?
1
Not at all
2
3
4
5
Perfectly
4
Q

Caracteristics of poor breathing mechanics:
A-a gradient and causes:

A
How well did you know this?
1
Not at all
2
3
4
5
Perfectly
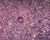
5
Q
A

Honeycomb lung appearance. Characteristic of interstitial lung disease.

How well did you know this?
1
Not at all
2
3
4
5
Perfectly
6
Q

What is DLCO? What causes a normal and low DLCO? What is normal?

A

70 a 140% and severe disease is les 40%

How well did you know this?
1
Not at all
2
3
4
5
Perfectly
7
Q

What are causes of restrictive pulmonary disease?

A
  1. Poor breathing tecnica
  2. Interstitial pulmonary disease
How well did you know this?
1
Not at all
2
3
4
5
Perfectly
8
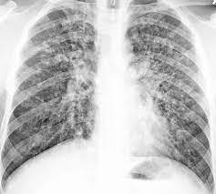
Q

Name the Pneumoconiosis. Pulmonary pathology. Complications

A
  1. Coal dust lungs. Upper lungs
  2. Asbestosis: Lower lobes. Shipbuilding, roofing, plumbing. Pleural plaques and lung cancers
  3. Silicosis: Upper lobes. Silica Quartz, metal production facilities. TB and bronchogenic carcinoma. EGGSHELL CALCIFICATION OF LYMPH NODES
How well did you know this?
1
Not at all
2
3
4
5
Perfectly
9
Q

Name the two cancers associated with asbestosis

A
How well did you know this?
1
Not at all
2
3
4
5
Perfectly
10
Q

Talk about hypersensitivity pneumonitis. Causes and type of hypersensitivity

A
How well did you know this?
1
Not at all
2
3
4
5
Perfectly
11
Q

Natural history of lobar pneumonia. Phase, days and cells.

A
How well did you know this?
1
Not at all
2
3
4
5
Perfectly
12
Q

Types of pneumonia and etiologic agent.

A
  1. Lobar: S. Pneumonie
  2. Bronchopneumonitis: S. Aures
  3. Interstitial: Viruses and Atypical bacteria
How well did you know this?
1
Not at all
2
3
4
5
Perfectly
13
Q
A
  1. Lobar: S. Pneumonie
  2. Bronchopneumonitis: S. Aures
  3. Interstitial: Viruses and Atypical bacteria
How well did you know this?
1
Not at all
2
3
4
5
Perfectly
14
Q

Name the common causes of pneumonia per age.

A
How well did you know this?
1
Not at all
2
3
4
5
Perfectly
15
Q

Name the etiology per special group for pneumonia

A
How well did you know this?
1
Not at all
2
3
4
5
Perfectly
16
Q

Explain the physiopathology of ARDS?

A
How well did you know this?
1
Not at all
2
3
4
5
Perfectly
17
Q

Triggers for ARDS?

A
How well did you know this?
1
Not at all
2
3
4
5
Perfectly
18
Q

Legionella symptoms of pneumonia.

A
  1. Mild Pneumonia
  2. GI symptoms
  3. Hyponatremia
How well did you know this?
1
Not at all
2
3
4
5
Perfectly
19
Q

Special bug mycoplasma pneumonia caracteristics:

A
  • Has no wall it cannot be stain.
  • Military recruits and residents dorms
  • Autoimmune hemolytic anemia
  • Steven johnson syndrome
How well did you know this?
1
Not at all
2
3
4
5
Perfectly
20
Q

First word that comes in mind with influenza virus:

A

SECUNDARY PNEUMONIA

S. Pneumonia, H. Influenzae

Worsening of symptoms after initial improvement.

How well did you know this?
1
Not at all
2
3
4
5
Perfectly
21
Q

Owl eye intranuclear inclusions is from …………………

A

citomegalovirus

How well did you know this?
1
Not at all
2
3
4
5
Perfectly
22
Q

Characteristics of Syncytial respiratory virus.

A
  • Common cause of bronquilitis, pneumonia in kids
  • Stational from november to april
How well did you know this?
1
Not at all
2
3
4
5
Perfectly
23
Q

Who is the terrible etiology in pneumonia?

A
How well did you know this?
1
Not at all
2
3
4
5
Perfectly
24
Q

Talk about Pneumocystis jirovecii pneumonia:

A
  1. Immunocompromised
  2. It cannot be stain
  3. Special: Silver
  4. 1st line Treatment: TMP SMX
  5. Prophylaxis: Less than 200 cells CDA
How well did you know this?
1
Not at all
2
3
4
5
Perfectly
25
Types of pneumothorax:
26
Treatment of pneumothorax: And why?
Air space filled, remembering air is oxyegn and nitrogen. If you administer 100% oxygen the capillaries will absorb more nitrogen because of the gradient.
27
Types of pleural effusion, causes.
Transudative: Low oncotic pressure, high hydrostatic pressure. Hearth failure, cirrhosis, nephrotic syndrome. Exudative: Damage to the capillaries. Pneumonia or malignancy. Lymphatic: Injury to the thoracic duct. Malignancy, trauma cx. Milky appearance. high levels of trigliceridos.
28
How to differentiate a transudative from a exudative effusion:
29
What is mesothelioma, risk factor
30
Causes of Chayne Stoke respirations:
Hearth failure and stroke
31
………………….. Protein abnormal in cystic fibrosis
CFTR: Cystic fibrosis transmembrane regulator
32
What is the CFTF? What type pf transporter is? Where can we find it? What does it does in each site?
33
……………… The common mutation in CF
DELTA F508
34
What does it really means that their is a mutation in CFTR?
* Abnormal protein folding * Prevents protein trafficking ro correct site
35
What features I find in CF ?
Chronic pancreatitis Diabetes mellitus asociated chronic pancreatitis Biliary disease 95% infertile. absent vas deferent
36
…………………….. most common pathogen in CF
Pseudomonas aeruginosa
37
……………………. diagnosis of CF
Sweat chloride test. High chloride level
38
Treatment of CF
39
……………………….. is the responsable for M. tuberculosis for not stain
Mycolic Acid in the cell wall
40
Name the virulence factors of mycobacterium tuberculosis
41
Tuberculosis is a ……………………………. hypersensibility reaction.
Type 4 cell mediated reaction. Activates Th1 …..CD4…..T cells
42
Granulomas Inflammation can be ………………. such as TB or ………………… such as sarcoidosis,
TB: Caseating granulomas Sarcoidosis: Non caseating granulomas
43
Langhans giangt cell. TB granuloma HORSE SHOE!!
44
Hilar lymphadenopathy. Primary TB
45
What is the ghon foci, where is located and what stage of TB we can find it? What is the ghon complex?
46
What is PPD? What and when is it measure? When is it positive?
PURIFIED PROTEIN DERIVATED INDURATION NOT REDNESS
47
Causes of false negative in PPD test
48
Mechanism of action of the TB drugs
49
Adverse effects of isoniazid and its mechanism of resistance
50
Why isoniazid gives neurotoxicity?
It competes with B6 as a cofactor in the synthesis of neurotransmitters
51
Non caseating granuloma.
52
………………………………. key players in sarcoidosis.
CD4, IL-2 e IFN y
53
What systems are affected in sarcoidosis. (5)
1. Lungs: 2. Skin: Erythema nudosum 3. Eye: Uveitis 4. Heart: Block electrical signals or pericarditis 5. SNC: Bell palsy or neurosarcoid
54
2 cute characteristics of sarcoidosis
55
Treatment for sarcoidosis
56
Causes of hypercoagulability?
57
Causes of hypercoagulability?
1. Contraceptive use 2. Factor V leiden
58
Name the more common sites where emboli arise:
1. Iliac veins 2. Femoral 3. Popliteal veins
59
…………………………… imaging test of choice for deep vein trombosis
Doppler compression ultrasound
60
…………………… imaging test of choise in PE
CT angiography
61
What is the air emboli and causes?
Nitrogen bubbles precipitate in ascending divers, treat with hyperbaric O2.
62
Pulmonary embolism
63
………………………. calf pain with dorsiflexion of foot.
homans sign
64
PULMONARY EMBOLISM
65
66
What is the fat embolism syndrome
1. Resperatory 2. Neurologic 3. Petechiae