Pathology Flashcards

(164 cards)

1
Q

Provide the six pathological processes we need to consider when interpreting a necropsy ?

A

The six pathological processes

  1. Malformations and displacements
  2. Degeneration and necrosis
  3. Inflammation
  4. Alterations in vasculature
  5. Alterations in growth
  6. Neoplasia
How well did you know this?
1
Not at all
2
3
4
5
Perfectly
2
Q

(9) Describe the common post mortem changes often observed ?

A

9 post mortem changes
- autolysis
- rigor mortis
- algor mortis
- liver mortis (hypostatic congestion)
- post mortem clotting
- haemoglobin imbibition
- bile imbibition
- pseudomelanosis
- bloating, prolapse
- organ displacement
bloody nasal discharge

These changes are non pathological as they occur on or after death.

How well did you know this?
1
Not at all
2
3
4
5
Perfectly
3
Q

Describe when and where rigor mortis occurs and why ?

A

Rigor mortis - contraction of muscles following death
- usually 1-6 hours after death but may persist for 1-2 days
- starts in involuntary muscles, than voluntary muscles
- starts from the head and descends to the trunk and limbs
- muscular animals have a stronger rigor mortis
- high temperature or activity may accelerate the onset of rigor

Note - animals with cachexia / extreme malnutrition may not show signs of rigor mortis

It is caused by a depletion of oxygen and glycogen which subsequently prevents the synthesis of adenosine triphosphate (ATP) after death - no relaxation

How well did you know this?
1
Not at all
2
3
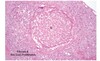
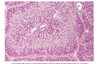
4
5
Perfectly
4
Q

Describe this change that occurs post mortem ?

A

Algor mortis - gradual cooling of the cadaver
- cooling depends upon the body temperature at death eg fever, environmental temp, insulation
- difficult to interpret to establish a time of death
- lens opacity when carcass is cold

How well did you know this?
1
Not at all
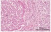
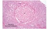
2
3
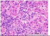
4
5
Perfectly
5
Q

Describe this change that occurs post mortem ?

A

Livor mortis: Hypostatic congestion

Gravitational pull of blood to the down side of the animal
- process begins within an hour of death
- seen externally in skin (best seen white animals)
- seen internally - particularly the lung

How well did you know this?
1
Not at all
2
3
4
5
Perfectly
6
Q

Describe this change which occurs post mortem ?

A

Post mortem clot - clotting in large vessels and heart

Before the blood clots erythrocytes settle to the bottom of a large blood vessel
- dependent on sedimentation rate (ESR)
- faster rate in horses and animals with a systemic inflammatory reaction

Results in two portions
bottoms red mass “red current jelly clot
upper pale yellowish mass “chicken fat clot”

How well did you know this?
1
Not at all
2
3
4
5
Perfectly
7
Q

How do we distinguish a a post mortem blood clot from a ante mortem thrombi or emboli ?

A

How to distinguish a post mortem blood clot

To distinguish carefully remove with forceps
- post-mortem clots are unattached to vessel walls, tend to be shiny, wet and form a perfect cast of the vessel lumen
- anti-mortem arterial thrombi are attached, dry and duller + laminated with a tail extending downstream
- anti-mortem venous thrombi are loosely attached and may resemble post mortem thrombi

How well did you know this?
1
Not at all
2
3
4
5
Perfectly
8
Q

Describe this post mortem change, and its cause ?

A

Autolysis - A breakdown of cells after death

  • changes are amplified and accelerated by bacterial decomposition
  • bacterial metabolism and dissolution of tissues results in colour and texture changes
  • softening
  • friable
  • gas production and odours are collectively termed putrefaction
How well did you know this?
1
Not at all
2
3
4
5
Perfectly
9
Q

What is maceration ?

A

Maceration - The dissolving of soft tissues eg muscle, leaving behind sclerotized or chitinized portions.

How well did you know this?
1
Not at all
2
3
4
5
Perfectly
10
Q

Describe this post mortem change and its cause ?

A

Haemoglobin imbibition
Refers to the pink red staining of tissue

  • haemoglobin from lysed erythrocytes penetrates vessel walls and surrounding tissues
  • particularly observed in the heart and large blood vessels (eg aorta), and veins after several hours post mortem
  • very obvious in aborted foetuses that have been retained for several hours or days in the uterus
How well did you know this?
1
Not at all
2
3
4
5
Perfectly
11
Q

Describe this post mortem change and its cause ?

A

Bile imbibition = Bile from the gallbladder penetrates its wall and stains adjacent tissue yellowish green
- observed adjacent to the gall bladder
- liver, intestine and to a large extent bile ducts

How well did you know this?
1
Not at all
2
3
4
5
Perfectly
12
Q

Describe this post mortem change and its cause ?

A

Pseudomelanosis

Green - grey - black discolouration of tissues

How well did you know this?
1
Not at all
2
3
4
5
Perfectly
13
Q

Post mortem we may observe bloating, organ displacment, livor pallor, mucosal sloughing, bloody nasal discharge and rectal/vaginal prolapse why do these changes occur ?

A

Post mortem changes
Bloating
- more marked in ruminants and horses
- can be difficult to distinguish from ruminal tympany in ruminants
Organ displacement
- gas held within the gastrointestinal tract
Pale areas in the liver (pallor)
- due to increased abdominal pressure from gas filled intestines or a focal action of post-mortem bacteria
Bloody nasal discharge / often an artefact
- nasal congestion and subsequent rupture of congested vessels
- can be difficult to distinguish from haemorrhage
Rectal or vaginal prolapse
- due to gas distension of abdominal viscera

How well did you know this?
1
Not at all
2
3
4
5
Perfectly
14
Q
A
How well did you know this?
1
Not at all
2
3
4
5
Perfectly
15
Q

Describe the three circulatory disorders of the oral cavity pictured below ?

A

Circulatory disorders of the oral cavity

Green = Pallor (pale)
anaemia, haemorrhage, ratsack poisoning

Blue = Icterus (jaundice)
Haemolytic disorders, liver disease

Purple = Cyanosis
oxygen deficiency, methaemoglobinaemia

How well did you know this?
1
Not at all
2
3
4
5
Perfectly
16
Q

Describe the two circulatory disorders of the oral cavity pictured below ?

A

Circulatory disorders of the oral cavity

Blue = Congestion and oedema
Blue tongue virus, buccal mucosa and tongue

Red = Petechia / ecchymosis
septicaemia, DIC and thrombocytopaenia

Oral abnormalities may provide clues of systemic illness.

How well did you know this?
1
Not at all
2
3
4
5
Perfectly
17
Q

Identify the development abnormality of the oral cavity depicted below ?

A

The image demonstrates

Palatoschisis (cleft palate)
- A failure of fusion of the lateral palatine plates
- may involve only the soft palate, or both the hard and soft palate
genetic or toxic origin

Cheiloschisis (cleft lip)
- Failure of fusion of the upper lip along the philtrum (midline)

How well did you know this?
1
Not at all
2
3
4
5
Perfectly
18
Q

Define chelitis, gingivitis and glossitis ?

A

Definitions

Chelitis = chronic inflammation of the lips

Gingivitis = early form of gum disease / inflammation

Glossitis = Tongue becomes inflammed and swollen

How well did you know this?
1
Not at all
2
3
4
5
Perfectly
19
Q

When describing lesions we use the words Macule, Papule, Vesicles and Ulcers define these terms ?

A

Definitions
Macule = raised flat lesion
Papule = raised and round
Vesicles = fluid filled
Erosions = indent top layer only
Ulcer = indent beyond the submucosa

How well did you know this?
1
Not at all
2
3
4
5
Perfectly
20
Q

Describe the clinical signs of Vesicular Stomatitides ?

A

Vesicular Stomatitides
Fluid filled vesicles in the epithelium of the oral cavity, lips, rostral plate and tongue
Lesions enlarge form vessicles, coalesce into bullae rupturing into erosions and ulcers

Lesions and signs
Bullae = large blisters on the skin that are filled with clear fluid
Ptyalism = the animals overproduce saliva
- oral and nasal vesicles and bullae
- oral epithelium detaches leaving a raw ulcerated surface
- Ptyalism - too much saliva
- fever
- anorexia
ulcerations on mammaries and genitalia

How well did you know this?
1
Not at all
2
3
4
5
Perfectly
21
Q

Define Bullae and Ptyalism ?

A

Definitions

Bullae = Large blisters on the skin that are filled with clear fluid

Ptyalism = over production of saliva

How well did you know this?
1
Not at all
2
3
4
5
Perfectly
22
Q

What causes Vesicular Stomatitides (inflammation of the mouth) ?

A

Vesicular Stomatitides

Viral induced vesiculation of the oral epithelium
- Foot and mouth disease ( ruminants, pigs)
- Vesicular stomatitis (cattle, pigs and horses)
- Vesicular Exanthema (pigs)
- Swine vesicular disease (pigs)

These are non fatal but result in great economic loss
- poor weight gain
-possible abortions
-secondary bacterial infections
- exotic to Australia / export barriers

The vesicular viruses are epitheliotrophic causing epithelial lesions
- intracellular oedema leading to swelling of the stratum spongiosum
- cells rupture, virus is released to infect nearby cells
- lesions enlarge, form vesicles, coalesce into bullae
- rupture into erosions and ulcers

How well did you know this?
1
Not at all
2
3
4
5
Perfectly
23
Q

What are the potential causes of ulcerative / erosive Stomatitides ?

A
How well did you know this?
1
Not at all
2
3
4
5
Perfectly
24
Q

Identify this type of Stomatitides, and its clinical signs?

A

Ulcerative / erosive Stomatitides
- erosion / ulceration no vesicles

How well did you know this?
1
Not at all
2
3
4
5
Perfectly
25
Identify this type of Stomatitides, and its clinical signs and cause ?
Papular Stomatitides Two causes Parapoxvirus - Bovine Papular Stomatitis - papules and plaques on nares, muzzle, gingiva, buccal cavity, palate and tongue ballooning degeneration - ballooning degeneration of epithelial cells - cytoplasmic inclusion bodies Contagious Ecthyma (Orf, Scabby mouth) - sheep / goats in young animals - papules, vesicles, pustules and scabs
26
Identify this type of Stomatitides, what is its clinical signs ?
Papular Stomatitides - ballooning degeneration of epithelial cells - cytoplasmic inclusion bodies - papules - vesicles, pustules and scabs
27
Define Achlasia ?
Achlasia Is a motility disorder of the oesophagus - it is a congenital disorder - causes dysphagia, regurgitation and weight loss - usually seen post weaning with the initial introduction of food
28
Define Cricopharyngeal Achlasia ?
Cricopharyngeal Achlasia Upper oesophageal sphincter disorder - this is a congenital disorder frequently seen in small dog breeds such as terriers, cocker spaniels and miniature poodles
29
Define megaoesophagus ? Describe the pathology of congenital megaoesophagus ?
Megaoesophagus = a dilation of the oesophagus Congenital megaoesophagus (Three causes) 1. This is caused by a persistent right aortic arch (vascular ring anomaly) - aorta, pulmonary artery and ductus arteriosis - obstruction and dilation cranial to the heart 2. Idiopathic denervation, Myasthenia gravis - dilation cranial to the stomach 3. Oesophagial ectasia - Megaoesophagus - dilation due to insufficient or uncoordinated peristalsis - can be congenital or acquired
30
How could you acquire megaoesophagus ?
Megaoesophagus Dilation cranial to the stomach There are many ways megaoesophagus could be acquired - idiopathic denervation - myasthenia gravis (autoimmune muscle disease) - lead poisoning - oesophagitis (inflammation) - polymyositis (muscle inflammation and weakness) - hypothyroidism - peripheral neuropathies (nerve damage) - recurrent gastric dilation (bloat in deep chested dogs) Breed predilection golden retrievers and Irish setters
31
Identify four parasites you would find within the oesophagus ?
32
Identify the pictured disorder ?
Hypertrophy of the distal oesophagus (horse)
33
Describe primary and secondary ruminal tympany ?
Bloat (ruminal tympany) Overdistension of the rumen and reticulum by fermentation gasses Primary Tympany (frothy bloat) Fermentation gases become trapped within a stable foam; not readily eructed - rapid digestion and fine dietary particles trap gas in bubbles - pasture bloat (legumes, alfalfa) - feedlot bloat (finely ground grain, bacterial slime) Secondary tympany (free gas bloat) Animal is unable to eructate free gas in the rumen - partial obstruction of the oesophagus - altered ruminoreticula motility (vagal nerve) - posture recumbancy
34
Discuss the difference between ulcers and erosions within the oesophagus ? What processes could lead to oesophagitis ?
Oesophagitis Erosion is characterised by a partial loss of the epithelium Ulcer = Segmental or more extensive loss of the epithelium including the basement membrane Causes of oesophagitis - acid reflux horse - bovine viral diarrhoea disease cattle (ulcerative) - trauma induced oesophageal ulceration horses - crotalaria plants have a toxin which may cause damage
35
Identify this disease ?
Diphtheritic oesophagitis
36
Describe the underlying pathology and clinical signs of ruminal tympany ?
Ruminal tympany Pathology - distension is due to a stable foam or free gas - compression of the diaphragm - reduced pleural cavity volumes - increased intra thoracic and intraabdominal pressures - reduced venous return to the heart - shock and hypoxia Clinical signs - distended left paralumbar fossa - distended abdomen - increased respiratory and increased heart rate - dyspnoea - sudden death - bloat line (results from excessive pressure in the thoracic cavity - pushing blood into the oesophagus)
37
Describe the different types of ruminal foreign bodies ?
Ruminal foreign bodies Trichobezoars - hair accumulation Phytobezoars - accumulation of plant matter Nails Wire
38
Describe how carbohydrate overload leads to acidosis and rumenitis ?
Pathology of acidosis Carbohydrate engorgement - feedlot cattle - highly fermentable, CHO rich feed eg grain Ruminal acidosis - Streptococcus bovis and Lactobacillus spp - increased lactic acid production due to an increase in dissociated fatty acids - rumen = PH < 5 This causes - metabolic acidosis - dehydration - circulatory collapse The low PH is favourable to the growth of bacteria and fungi - ruminitis
39
What findings would you make in a necropsy following a case of ruminal acidosis ?
Ruminal acidosis and necropsy findings Necropsy finding - watery acidic ruminal and intestinal contents - often a large amount of grain in the rumen - mucosa of ruminal papillae brown friable and sloughs Histopathology Ruminal epithelium is damaged - hydropic change - coagulative necrosis - influx of neutrophils If the animal survives lactic acidosis; pale stellate scars on ruminal mucosa
40
Describe the two types of rumenitis and their likely causes ?
Two types of ruminitis Bacterial ruminitis - usually secondary to acidosis or mechanical rumen trauma - cause Fusobacterium necrophorum (necrobacillosis) or Truperella pyogenes - bacteria often migrate through the portal vein and cause hepatic abscesses Mycotic fungal ruminitis - can develop several days following ruminal acidosis or injury - can also be secondary to antibiotics - Mucor, Rhizopus, Absidia and Aspergillus sp - can spread to the placenta
41
What are the four types of Vagus indigestion ?
42
Define a simple gastric dilation and a GDV ?
Definitions Simple gastric dilation - occurs in many species - common and non life threatening - eg pups overeating Acute GDV = Gastric dilation and volvulus LIFE THREATENING DISEASE - predilection in deep chested dog breeds (German sheppard) GDV is thought to be associated with - large amounts of food - dry dog biscuits with a high fat content - post prandial exercise/ excitement - aerophagia (air swallowing and belching)
43
What is Parakerotosis ?
Parakerotosis Parakerotosis of the reticulo rumen is characterised by hardening and enlargement of the papillae of the reticulo rumen. - most common in animals feed a high concentrate diet during the finishing period
44
What is this image of ?
Ruminal papillomas
45
Name a potential parasite which could invade the rumen ?
46
Identify this condition and why is it of significant concern for the animal ?
Traumatic reticulitis (Hardware disease) Reticuloperitonitis Concern - can lead to pericarditis
47
Questions 1-4 ?
Questions 1. Dilation of the oesophagus 2. Megaoesophagus - congenital - persistent right aortic arch (vascular ring anomaly) - obstruction and dilation of the oesophagus cranial to the 3. Clinical signs = difficulty swallowing, regurgitation and weight loss 4. X ray heart black = heart blue = oesophagus purple = aorta green = ligamentum arteriosum pink = pulmonary artery 2.
48
Question 1. Primary tympany = fermentation gases become trapped within a stable foam and the cow is unable to eructate. Rapid digestion and fine dietary particles trap the gas in bubbles - excessive production of gas - entrapment 2. - compression of the diaphragm puts a strain on breathing - increased thoracic and intrabdominal pressures - reduced venous return to the heart = shock and hypoxia 3. Two other ways bloat may develop - altered ruminoreticula motility (vagal nerve) - posture recumbency - partial obstruction of the oesophagus
49
Describe the pathology and clinical signs of GDV ?
GDV Gastric dilation and volvulus Pathology - gastric dilation through the accumulation of food and water -Gastric volvulus - the stomach rotates along its mesenteric axis causing obstruction of the gastro-oesophageal and pyloric outflow - high intra gastric pressures and twisting causes outflow obstruction to gastric veins - more fluid and gas build up in the stomach - decreased cardiac venous return leads to cardiac failure or cardiogenic shock Clinical signs - tachycardia (rapid heart rate) - tachypnoea (rapid breathing) - pale mucous membranes - reduced cardiac out put weakness collapse and death - gastric ischaemia and necrosis
50
Describe an abomasal displacement and volvulus ? What factors would predispose an animal to abomasal displacement ?
Abomasal displacement and volvulus The majority of abomasal displacements occur to the left side - this is a result of abomasal atony, or gaseous distension - stops tuning over its contents and gases build up causing the abomasum to move up the abdomen - hypocalcaemic atony - non pregnant cows following strenuous activity - 15% of abomasal displacements occur to the right, but these are more prone to volvulus This mostly affects high performing dairy cows 6 weeks post calving Right sided (RDA) occur in only 15-20% of cases
51
What are the clinical signs of Abomasal displacement and volvulus ?
Abomasal displacement and volvulus Clinical signs - anorexia - cachexia (muscle mass loss) - dehydration - lack faeces High pitched "ping" upon percussion
52
Describe the pathology and clinical signs of Abomasal dilation and tympany (bloat) ?
Abomasal dilation and tympany (bloat) Syndrome of young cattle - mainly dairy breeds Pathology - This results from the fermentation of high energy ingesta and gas producing bacteria in the abomasum Clinical signs - Hypercalcaemia (high calcium level in blood) - glycosuria (glucose in urine) Necropsy - haemorrhage, oedema, necrosis, emphysema of the abomasum, and other compartments of the forestomachs - clostridium and Sarcina ventriculi
53
What factors would predispose a calf to abomasal dilation and tympany ?
abomasal dilation and tympany Predisposing factors - bucket feed calves - single milk feed per day - cold milk / milk replacer - lack of free choice water - inconsistency of feeding time - dosing with a high energy electrolyte solutions - failure of passive transfer
54
What factors could result in gastric or abomasal impaction ?
Factors leading to impaction Vagal nerve damage - thoracic lesions eg pneumonia, pleuritis and lymphosarcoma Physical obstruction - foreign material - roughage feed - Trichobezoars - Phytobezoars
55
What is going on in this picture of a horse ?
Horse gastric rupture Gastric dilation and rupture in a horse may occur secondarily to grain overload - Clostridium type A toxins grass disease - idiopathic - difficult to tell if rupture occurred prior to or after death
56
Describe the pathology of gastritis ?
57
What are the clinical signs of gastritis ?
Clinical signs of gastritis - haemorrhage - oedema - increase in mucous production - inflammatory leucocytes - abcesses, granulomas, necrosis, erosions and ulcers
58
Describe the different types of Abomasal inflammation or abomasitis ?
Abomasitis Mycotic abomasitis - Aspergillius, Mucor, Rhizopus, Absidia and Mortierella sp - often secondary to lactic acidosis - fungi are often angioinvasive (infiltrate blood vessels) - cause vasculitis, thrombosis, infarcts and necrosis Parasitic abomasitis - haemonchs, ostertagia and T.axei Viral abomasitis - IBR, mucosal disease, rinderpest, MCF and bluetongue Haemorrhagic abomasitis (Braxy in sheep and cattle) - Clostridium septicum exotoxemia - gelatinous oedema of the submuscosa
59
Describe two conditions of hypertrophy/hyperplasia in the stomach ?
Hyperplasia = increase cell number Hypertrophy = enlargement Hypertrophic Gastritis - dogs, pigs, horses, and monkeys - thickened rugae due to hyperplasia of the gastric glands -it is thought to result from retained gastric fluid and bile reflux - parasitic nodules eg Draschia, Habronema sp Chronic giant hypertrophic gastropathy - Dog breeds affected besenji, beagle, boxer and bull terriers - weight loss vomiting and diarrhoea - protein losing gastropathy, hypoproteinemia - increased mucosal permeability to proteins - hypertrophy, hyperplasia and inflammation
60
Describe the factors which could lead to gastric ulcers and erosions ?
Gastric ulcers and erosions Caused by an imbalance between acid secretion and mucosal protection - injury (trauma, chemicals) - high acidity (islet cell tumours produce histamine) - Ischaemia - Reduced protective PGs (steroids, NSAIDS) Pathology - allows pepsin and HCL into the submucosa
61
Describe the most important gastric parasites ?
62
What is the difference between an erosion and an ulcer ?
Erosion = Partial loss of the epithelial layer Ulcer = Complete loss of the epithelial layer exposing the submucosa
63
Describe the anatomy of the pancreas ?
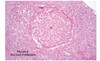
Pancreas anatomy Exocrine 85% of organ mass - composed of acini cells (dark purple area) - secretes digestive enzymes trpsin, lipase, amylase (which activate other enzymes) - secretes bicarbonate - most enzymes secreted as proenzymes to be activated in the duodenum (eg trypsinogen - trypsin) Endocrin Islets of Langerhans (lighter coloured areas) - secretes insulin and glucagon hormones.
64
What mechanisms would the pancreas utilise for defence (5) ?
Pancreas defence - Proenzymes - activation to enzymes within the duodenum - Protective enzymes - eg trypsin inhibitors inactivate trypsin - Resident immune cells - monocyte macrophage system - Innate and adaptive immune responses - Location - protected by the skin, ribcage and omentum
65
Identify the four portals of entry into the pancreas ?
Portal of entry into the pancreas 1. Penetration / extension - direct trauma (from GIT or externally) 2. Haematogenous 3. Ascending - retrograde up the pancreatic duct 4. Autodigestion
66
Identify a few of the incidental findings within the pancreas ?
Incidental conditions of the pancreas - unrelated to the disease Ectopic pancreatic tissue "choristoma" - can also occur in the SI, stomach, spleen and gallbladder Pacinian corpuscles - nerve endings surrounded by laminated cytoplasmic processes - normal in cats present in interlobular connective tissue Pancreatic acini (pancreolithiasis) - uncommon in cattle Stromal fat infiltration (increased adipocytes) Autolysis - At post-mortem occurs rapidly
67
Identify this disease, and describe what factors could result in the condition ?
Exocrine pancreatic insufficiency (EPI) Defined - Failure to secrete digestive enzymes from the pancreas Causes 1. Exocrine pancreatic atrophy (or pancreatic acinar atrophy PAA) 2. Chronic recurrent pancreatitis (most common in cats
68
What are the clinical signs of EPI, and how would you diagnose the condition ?
Exocrine pancreatic insufficiency Clinical signs -Maldigestion and secondary malabsorption - weight loss and polyphagia (eating excessively) - Build up of undigested nutrients - voluminous pale faeces (steatorrhea) - Small intestinal bacterial overgrowth (SIBO) - diarrhoea and flatulence Necropsy - dramatically reduced size of the pancreas Predisposed - German sheppards, rough coated collies and usually in young animals <1 year of age Diagnosis Serum trypsin- like immunoreactivity test - blood test serum to measure levels of trypsin like enzymes in the blood - A dog with EPI will have minimal trypsin like immunoreactivity in their blood
69
Identify this disease and describe its pathogenesis ?
Acute pancreatitis / acute pancreatic necrosis The cause - Direct injury to acinar cells - microbes, toxins, drugs, ischaemia - Disturbed enzyme trafficking - drugs, duct obstruction - Obstruction of pancreatic duct - neoplasia, cholelithiasis (gall stones), parasites, chronic inflammation and necrosis Pathogenesis The leakage of enzymatic enzymes trpysin, lipase etc - activate kinin, complement and the coagulation pathways - necrosis - haemorrhage and ischaemia - oedema - fat necrosis and saponification
70
What is ischaemia ?
Definition when a portion of your body does not receive enough blood
71
Define Choristoma ?
Choristoma = normal tissue found within an abnormal place.
72
What animals are predisposed to acute pancreatitis ? Also what are the clinical signs of acute pancreatitis ?
Acute pancreatitis / acute pancreatic necrosis Predisposing factors Dogs - obese and middle/older aged (miniture schnauzers) Cats two syndromes - Acute pancreatic necrosis - Suppurative pancreatitis with discharge/pus (ascending bacterial infecting) The clinical signs Almost nothing at all to near death - inappetence or anorexia and abdominal pain - vomiting and diarrhoea - severe cases - shock, haemorrhage and death
73
Describe the gross pathology and histopathology of acute pancreatitis ?
Acute pancreatitis Gross pathological changes - haemorrhage and oedema - separetion of pancreatic lobes, expansion of interlobular spaces - tissue necrosis (firm, friable, pink - black) - fat necrosis of peripancreatic fat (yellow-white-grey may feel firm) Histopathological changes - necrosis of the pancreatic acini/ parenchyma - extensive haemorrhage - extensive cell infiltrate - neutrophils predominate - fibrinous exudate in septa - fat necrosis
74
What test could we use to diagnose acute pancreatitis ?
Acute pancreatitis / acute pancreatic necrosis
75
Identify this disease and describe the clinical signs / consequences ?
Chronic pancreatitis Predisposition = important in dogs - occasionally seen in cats, horses (strongyle infection) and cattle (calculi) Clinical signs Non specific often mild and transient - bouts of lethargy, anorexia, diarrhoea with/without vomiting and abdominal pain Consequences of chronic pancreatitis Progressive destruction of pancreatic tissue - pancreas has a limited capacity for regeneration (only if damage is mild) - fibrosis and atrophy is common sequelae to injury if severe enough - EPI + / - diabetes mellitus
76
Describe the gross pathological change and histology of chronic pancreatitis ?
Chronic pancreatitis Gross pathology - shrunken and nodular from fibrosis - fibrous adhesions to adjacent tissue Histopathology - Fribrosis - increased stroma connective tissue, replacement of acini - Atrophy pancreatic paranchyma - Lymphoplasmacytic infiltration (chronic inflammation)
77
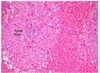
Identify this tissue and pathological process ?
Pancreatic nodular hypoplasia - older dogs, cats, cattle - multiple smooth raised nodules (do not confuse with neoplasia)
78
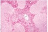
Identify this tissue and disease process ?
Pancreatic adenocarcinoma Well differentiated carcinoma of acini - cats can develop a unique paraneoplastic syndrome - gross = symmetrical alopecia of the ventral trunk and limbs with a glistening appearance - Histology = follicular and adnexal atrophy and loss of stratum corneum
79
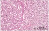
Identify this tissue and disease process ?
Pancreatic carcinoma - uncommon in all species but most often in cats and dogs - single or multiple grey to yellow nodules - invasive may have necrosis and adhesions
80
Case study pancreas
Case study one pancreas A middle aged to older dog which is over weight - elevated amylase lipase - anorexia, lethargy and fever - vomiting diarrhoea - cranial abdominal pain The cause acute pancreatitis
81
Case study pancreas
Pancreas case study two Young German Sheppard - rapid weights loss - ravenous appetite - large volume of pale faeces low levels of trypsin Cause = EPI Exocrine pancreatic insufficiency
82
Revision Q1 a. Morphological diagnosis Pancreas hypertrophic b. Consequences - maldigestion - weight loss - build up undigested nutrients voluminous pale faeces small intestinal bacterial overgrowth diarrhoea and flatulence
83
Pacinian corpuscles - nerve endings surrounded by lamellated cytoplasmic processes - normal in cats
84
Describe the anatomy of the liver and its four main anatomical units ?
Liver anatomy Hepatocytes - portal and central areas - about 75% of liver mass Bile duct system - canaliculi - ducts, gall bladder Vascular system Supply - portal vein 75% drains viscera - hepatic artery 25% blood Drainage to the heart - central vein
85
Describe how the blood flows and bile drains within the liver ?
Liver Blood flows from the portal triads around the periphery towards the central vein in the centre of the lobule Bile drains from hepatocytes to portal triads at the centre
86
What are the main functions of the liver ?
Liver functions Synthesis, storage and metabolism of body fuels - proteins produce albumin and coagulation factors - CHO; storage and mobilisation of glucose - lipids; production and degradation of plasma lipis such as cholesterol, triglycerides and lipoproteins Detoxify - foreign substances (xenobiotics eg insecticides, drugs and toxins) - endogenous substances, steroids, hormones - metabolic conversion of ammonia to urea Kupffer cells - Filters blood, phagocytosis to remove infectious agents, endotoxin, damaged RBC/WBCs immune complexes Excretory function - Bile; composed of water, cholesterol, bile acids (aid with digestion of lipids in the intestine)
87
Describe the portals of entry into the liver ?
Hepatobiliary injury - may enter the liver and biliary system Haematogenous (portal vein or hepatic artery) retrograde biliary from the GIT Direct penetration from trauma (abdominal wall or GIT) May cause inflammation, degeneration (reversable or apoptosis necrosis (irreversible).
88
What are the patterns of hepatocellular degeneration and necrosis ?
Patterns Random - no pattern to the cell damage - haematogenous agents (viruses, bacteria) Zonal patterns Periacinar / Centrolobular - toxins that require activation, anemaia, heart failure Midzonal Perportal - toxins that don't require activation (directly toxic) ascending through the biliary tree, inflammatory lesions Massive Necrosis of the entire lobule/ not necessarily a large area affected
89
Identify this pathology ?
90
Identify this pathology ?
91
Nature and distribution of degeneration, necrosis and inflammatory lesions in the liver is affected by what factors ?
92
Identify this pattern of hepatocellular degeneration and necrosis ?
Random pattern No pattern to the cell damage eg haematogenous infectious agents (viruses, bacteria)
93
Identify this pattern hepatocellular degeneration and necrosis ?
Zonal pattern Accentuation of the normal lobular pattern Paeriacinar - toxins require activation MidzonaPeriportal - toxins do not require activation
94
Identify this pattern of hepatocellular degeneration and necrosis ?
Mid zonal
95
Identify this pattern of hepatocellular degeneration and necrosis ?
Zonal hepatocellular injury Periacinar centrilobular necrosis
96
Identify this pattern of hepatocellular degeneration and necrosis ?
97
Identify this pattern of hepatocellular degeneration and necrosis ?
Massive necrosis Necrosis of the entire lobule - not necessarily a large area affected
98
How would you go about classification of hepatobiliary disease ?
When classifying liver / biliary disease we need to consider - Distribution pattern of involvement - Type of inflammatory cell present (neutrophil, lymphocyte and macrophage) - Evidence of degeneration, necrosis or fibrosis - Evidence of regeneration - Presence of aetiological agent - Severity - Duration
99
What would you observe in a acute case of hepatitis ?
Acute hepatitis Often a random distribution of inflammation - often neutrophils present (especially bacterial infections) - may have lymphocytes if the infection is viral - hepatocellular necrosis apoptosis - often see random necrosis with viral hepatitis
100
What would you observe in a case of chronic hepatitis ?
Chronic hepatitis Persistence of antigenic stimulus - accumulation of mononuclear cells (lymphocyte, macrophage) - focal or diffuse granulomatous hepatitis - may in some cases also have neutrophils present - fibrosis and biliary hyperplasia - may get regeneration of hepatocytes
101
Define cholangitis and Cholangiohepatitis ?
Definitions Cholangitis = Inflammation centred on the biliary tract - inflammatory cells and fibrosis around the portal triads Cholangiohepatitis = Inflammation around the portal triads which also extends into the liver parenchyma
102
How does the liver respond to injury ?
Livers response to injury The outcome following destruction of hepatic parenchyma depends on the nature and duration of insult. - regeneration - fibrosis - biliary hyperplasia - hepatic failure - Cirrhosis (end stage liver disease)
103
In response to injury the liver regenerates - describe this process ?
Liver regeneration Rapid and efficient regeneration of lost hepatic mass - hepatocytes, bile duct epithelium and endothelium - replication of hepatic stem cells if there is severe damage (careful regulation of growth factors) - stem cells bipotential producing new hepatocytes or bile duct epithelial cells This leads to an increased size of existing lobules Note - this occurs without scarring if ECM (reticulin) is intact Prolonged injury and attempt at regeneration causes - fibrous scarring can occur - nodular proliferations - may regain normal hepatic mass but have abnormal bile and blood flow
104
Identify this process in the liver ?
Biliary hyperplasia and stem cell hyperplasia Proliferation of new bile ducts in periportal area - non specific response to liver injury / often accompanies fibrosis
105
When healing the liver undergoes fibrosis describe this process ?
Liver fibrosis Increased ECM within the liver - collagen, proteoglycans, fibronectin and hyaluronic acid - produced by Stellate cells (myofibroblast cells) - this process is common in repetitive / chronic liver damage, distorts liver architecture and can be lethal when severe. Often severely impairs liver function - distorts blood flow - perisinusoidal fibrosis (reduce hepatocyte function, reduce exposure of hepatocytes to blood).
106
Describe the different patterns of fibrosis in the liver, as this may assist with identifying the type of insult ?
The different patterns of fibrosis in th liver and their likely cause Periacinar (centrolobular) = chronic toxic injury, chronic R heart failure Periportal - chronic inflammation, some toxins Multifocal - migrating parasites, haematogenous bacteria and viruses
107
Describe Cirrhosis in the liver ?
Cirrhosis " Diffuse process characterised by fibrosis and the conversion of the normal liver architecture into structurally abnormal lobules." W.H.O - distorted architecture - loss of hepatic parenchyma - regenerative nodules between bands of fibrous tissue The final irreversible result of chronic liver injury such as - chronic toxicity - chronic cholangitis/ obstruction - chronic congestion (R sided heart failure) - inherited disorders of Cu/Fe metabolism - chronic hepatitis -
108
Identify this pathology ?
109
Identify the common pathways of chronic liver disease ?
Pathway of chronic liver disease Fibrosis - deprives hepatocytes of oxygen and nutrients - portal hypertension - secondary (acquired portosystemic shunting of blood) Accumulation of constitutes of bile - bile is hepatotoxic at high concentrations Accumulation of metals - including copper and iron (catalyse formation of reactive oxygen species). Sustained/ repetitive hepatocyte death - this causes a self perpetuating cycle / a feature of chronic progressive liver disease.
110
What factors would determine the final outcome of liver injury ?
The final outcome of liver injury depends upon these factors ? - Whether hepatocellular injury is sustained/ repetitive - severity and extent of fibrosis - how much of the livers ECM framework remains on which regeneration can take place
111
What factors would determine the final outcome of liver injury ?
The final outcome of liver injury depends upon these factors ? - Whether hepatocellular injury is sustained/ repetitive - severity and extent of fibrosis - how much of the livers ECM framework remains on which regeneration can take place
112
How would you provide a gross description of a lesion ?
Gross description of lesions 1. Location - organ and where the organ is located IE cranial 2. Distribution - focal, multi focal, diffuse, mottled, scattered etc 3. Colour - red, yellow, pale, black grey etc 4. Shape - round, ovoid, lobular, nodular 5. Surface appearance well demarcated, poorly demarcated, raised, depressed, glistening etc 6. Consistency - texture, content - friable, gritty, dry, caseous, cavity, containing clear or viscous fluid 7. Odour and appearance
113
Describe the defence mechanisms of the intestine (8) ?
Defence mechanisms of the intestine
114
Describe the development abnormality of Atresia and Merkel's diverticulum ?
Developmental abnormality Atresia Atresia Occlusion of the lumen due to abnormal development - segment of intestine occluded or completely missing - named by the intestinal area occluded eg atresia ani, atresia coli Merkel's diverticulum Blind ended sac near the jejenum - ileum junction - no great consequence
115
Describe the developmental abnormality of Megacolon ?
Developmental abnormality megacolon Large colon usually faecal filled - absent or damaged colonic innervation / lack of innervation - ileocolic Aganglionosis - mysenteric plexus dose not develop
116
Describe how the intestine commonly becomes obstruction ?
Intestinal obstruction Foreign bodies - obstruction +/- toxicosis - linear foreign body (constintina effects - phytobezoars, trichobezoars Impaction - feed (roughage, poor dentition) - sand - nematodes (ascarid) Strictures - wounds, vascular injury (thrombosis of vessels) Enteroliths - hard stome magnesium and struviate - horse MgNH3 (struviate)
117
Identify this pathology and any possible causes ?
Intussception A segment of intestine is telescoped into the immediately distal segment - intussusceptum, intussusipiens - named according to site ileocaecal, caecocolic This may result from - enteritis, diarrhoea, parasites, granulomas, linear foreign bodies and surgical manipulation of the intestine Intussception may result in obstruction of the intestine
118
Define ileus ? What factors could result in ileus ?
Ileus Non mechanical hypomotility - intestine is refractory to nerve discharges - results in a functional obstruction (pseudo-obstruction) - all species may be affected This pathology can result from - intestinal manipulation at surgery - anaesthesia drugs - peritonitis - toxaemia - shock electrolyte imbalances (esp hypokalaemia) - viraemia - tetanus Pathology generally resolves itself
119
Define an internal and external herniation ?
Intestinal hernias Herniation - incarceration (trapped within hernia) - strangulation Internal hernia Displacement through a normal or pathological foramen in the abdominal cavity esp horses epiploic foramen and mesenteric tears External herniation A pouch (sac) of peritoneum penetrates outside the abdominal cavity - umbilical, hiatal, inguinal and scrotal hernias - protrusion of the intestines through the abdominal wall - diaphragmatic and perineal hernias - post operative and ventral hernias
120
Define a volvulus and torsion ?
Volvulus = Twisting along the mesenteric axis - up to 720 degrees rotation Torsion = Rotating along the length of the long axis
121
What problems could volvulus and torsion of the intestine results in ?
Torsion / volvulus could result in - vascular obstruction, ischaemic injury and infarction - mesenteric oedema - congestion - haemorrhage - necrosis Necrosis - becomes dark red/black and distended with gas This could potentially result from the animals movement eg rolling and will require surgical correction
122
The horse is particularly prone to intestinal disorders. Define intestinal torsion, volvulus, pedunculated lipomas, renosplenic entrapment and epiploic entrapment in the horse ?
Horses are particularly prone to intestinal disorders 1. Intestinal torsion / volvulus - most commonly left dorsal and left ventral colon at diaphragmatic and sternal flexure 2. Pedunculated lipomas - wrap around intestinal mesentery or intestine - causes intestinal ischaemia and strangulation 3. Reno-splenic entrapment - Left dorsal displacement of the left dorsal or ventral colon - between spleen and left body wall 4. Epiploic foramen entrapment
123
Identify and discuss this pathology ?
Pedunculated lipoma Lipoma = a benign tumour of fatty tissue Pedunculated lipoma - wrap around the intestinal mesentery or intestine - causes intestinal ischaemia and strangulation
124
Define the incidental finding of; large intestine and caecal rupture, intestinal diverticula, and Muscular hypertrophy of the ileum ?
Define these incidental findings Large intestine and caecal rupture - post parturient mares - caecal impaction, anaesthesia and rectal palpation Intestinal diverticula - Mucosal epithelial lined cavities - may extend through all layers to the serosa - may rupture and cause peritonitis Muscular hypertrophy - tunica muscularis hypertrophy - incidental or can cause impaction and rupture
125
Discuss the pathology of the intestinal intoxicants of NSAIDS, corticosteroids and ingested irritants ?
Pathology of intestinal intoxicants Ingested irritants A huge number of chemicals can cause GIT irritation - arsenic, bracken fer (cattle), copper and nitrate etc - lesions in the mouth stomach and intestine - haemorrhage and inflammation - ulceration and sloughing of the mucosal lining Corticosteroids Can cause ulceration and perforation in the gut GIT - reduce cell turnover and delay healing - decrease mucous production - increased gastrin and hence acid production reduced PGs NSAIDS Erosions, ulcers, haemorrhage and necrosis - direct contact orally and reduced PG synthesis
126
Name three intestinal intoxicants ?
NSAIDS corticosteroids and ingested irritants (copper, bracken fern, arsenic and nitrate etc
127
Discuss the vascular disorder of the intestine in horses caused by a parasite ?
Strongylus Vulgaris Third stage larvae are ingested and moult to stage four in the intestine - migrate through small arterioles to the wall of the cranial mesenteric artery Pathology - arteritis and aneurisms - thrombosis and thromboembolism - intestinal infarction causes severe colic and daeth -
128
Define Lymphangectasia and the factors that result in this pathology ?
Lymphangectasia Lacteal dilation - it results in diminished lymph absorption by lacteals in the lamina propria It results from Congenital -developmental disorder of the lymphatics Acquired - idiopathic or may be secondary to lymphatic obstruction (neoplasm, granuloma) Cause - diarrhoea - steatorrhea (increase of fat secretion in stools - hypoproteinaemia (low protein levels in the blood) - ascites -
129
Identify this neoplasia ?
Intestinal lymphoma in a cat Cancer of the lymphatic system
130
Identify this neoplasia ?
Adinocarcinoma in a sheep A malignant tumour formed from glandular structures in the epithelial tissue.
131
Describe the four pathogenic mechanisms of diarrhoea ?
The four pathogenic mechanisms of diarrhoea 1. Malabsorption - +/- bacterial fermentation - osmotic diarrhea - especially in the small intestine 2. Hypersecretion - especially in ETEC (entero toxigenic ecoli) - by a structurally intact mucosa - eflux of fluids and electrolytes 3. Exudation - increased permeability - protein losing enteropathy 4. Hypermotility - not usually a primary mechanism - reduced mucosal contact time
132
Describe the pathogens which could result in osmotic diarrhoea ?
Diseases of absorptive enterocytes Osmotic diarrhoea Loss of enterocytes - leads to villous atrophy Maldigestion and malabsorption Osmotic diarrhoea Diseases of absorptive enterocytes Viruses - rotavirus, coronavirus, and TGE pigs Bacteria - Brachyspira hyodesentariae pigs Parasites - coccidia, crptosporidia
133
Identify diseases which would result in undifferentiated crypt cells ?
Diseases of undifferentiated crypt cells Loss of cells which are capable of rapid mitosis - impaired regeneration of epithelium. - clinical effects may be delayed several days - severe often fatal disease Cause - Viruses - parvovirus, rinderpest virus and bovine viral diarrhoea virus - Radiation
134
Identify diseases which would result in disruption of the microvilli and glycocalyx ?
Disease of the microvilli and glycocalyx Largely responsible for large surface area and the enzymes of digestion and absorption - maldigestion and malabsorption - osmotic diarrhoea Causes - Lactose intolerance (lack of enzyme lactase) - Attaching and effacing E.coli (enzyme systems being disrupted)
135
Identify disease which would result in damage of the lamina proper within the intestine ?
Disease processes resulting in damage to the lamina proper Inflammation - dense cellular infiltrations can result in diarrhoea - Johnes disease cattle - inflammatory bowel disease Necrotising processes - necrosis of GALT and overlying epithelium - BVD cattle - Rhodoccocus equi Vascular changes and lymphangiectasia - usually secondary to the obstruction of flow
136
Identify disease which would result in damage of the lamina proper within the intestine ?
Disease processes resulting in damage to the lamina proper Inflammation - dense cellular infiltrations can result in diarrhoea - Johnes disease cattle - inflammatory bowel disease Necrotising processes - necrosis of GALT and overlying epithelium - BVD cattle - Rhodoccocus equi Vascular changes and lymphangiectasia - usually secondary to the obstruction of flow
137
Describe the consequences of acute gastro - entero - colitis (4) ?
The consequences of Gastro - entero - colitis Dehydration - fluid loss from vomiting and diarrhoea - hypovolaemia - reduced tissue perfusion Acid base disturbances Metabolic acidosis - tissue hypoxia - anaerobic glycolysis - ketoacidosis - bicarbonate loss from diarrhoea Metabolic alkalosis - loss of HCL through vomiting Electrolyte imbalances - decreased neuromuscular control of the myocardium Hypovolaemic shock and death - esp young animals
138
Describe the consequences of chronic gastro - entero - colitis ?
The consequences of chronic gastro - entero - colitis If there is chronic diarrhoea - loss of protein and other nutrients - weight loss - odema bottle jaw
139
Define enteritis, colitis and typhlitis ?
Definitions Enteritis - small intestine colitis - large intestine typhlitis - caecum small bowel diarrhoea Large bowel diarrhoea
139
Define enteritis, colitis and typhlitis ?
Definitions Enteritis - small intestine colitis - large intestine typhlitis - caecum small bowel diarrhoea Large bowel diarrhoea
140
Identify this type of stomatitides, what could be the potential causes ?
Necrotising stomatitides NecrotisingStomatitides Cause cattle diptheria fusobacterium necrophorum - filamentous gram -ve anaerobe Clinical signs Affects oral cavity, tongue, larynx and pharynx - yellow grey foci of necrosis surrounded by a rim of hyperaemia - bacterial toxins cause extensive lesions Signs = swollen cheeks, anorexia, pyrexia halitosis - bad smalling breath infection may become systemic throughout the GIT and LNS
141
Identify this pathology and describe its histological appearance ?
Eosinophilic stomatitides Feline eosinophilc ulcers "rodent ulcers" and feline eosinophilic granuloma - common in cats - aetiology unknown potentially immune mediated - cats lip lesions near philtrum - oral cavity, tongue, palate etc Histological appearance - Central collagenolysis - chemical breakdown of collagen (flame) - mixed inflammatory cell infiltrate - eosinophils, mast cells and multinucleated giant cells - increased circulating eosinophils
142
Identify this pathology and describe its clinical signs ?
Lymphoplasmacytic stomatitis in a cat Slow growing lymphoma Contains lymphocytes and plasma cells - idiopathic condition in cats hyperplastic (increased cell number) ulcerated mucosa - red inflamed gums - foul breath - inappetence Bacteria FeLV or FIV ?
143
Define an epulis and oral hyperplasia ?
Definition Oral hypoplasia - overgrowth of gum tissue - can bury teeth (picture below) - common in boxers and brachycephalic dogs - increase in the number of cells Epulis Non specific term - benign growth of the gingiva associated with the periodontal ligament - histopathology to distinguish the different forms - eg acanthomatous epulis and fribromatous epulis
144
Describe the pathology and clinical signs of rotovirus enteritis ?
Rotovirus enteritis Found everywhere in the environment Affects all species - particularly affects neonates as colostral and milk antibodies decline coming into weaning. (calves and piglets) Pathology Virus infects the upper 2/3 of villi - sloughing of epithelial cells - shortened villi and possible fusion of villi (villous atrophy) - yellow watery diarrhoea - dehydration, weakness and depression
145
Describe the pathology and clinical signs of Coronavirus enteritis ?
Coronavirus enteritis Similar course of disease and signs as rotovirus but generally the signs are more severe Coronavirus enteritis in a calf - calves <1week of age (neonatal scours) - more severe than rotavirus and prolonged - virus is more virulent - death is more likely - colitis as well as enteritis Coronovirus in cats Usually mild and self limiting in kittens - occasional fetal enteritis in adult cats
146
Describe the pathology and clinical signs of Adenovirus Enteritis ?
Adenovirus Enteritis Affects cattle sheep, goats, deer, pigs and horses - species specific viruses Usually a systemic infection - mild respiratory infection - liver and kidneys also affected - endothelial cells affected Often subclinical enteric infection - sometimes clinical enteric disease especially if immunosuppressed - eg Arabian horses with combined immunodeficiency disease
147
Why is the lung susceptible to to injury, and how does it protect itself ?
The lungs are susceptible to injury because - Constant exposure to microbes, toxins, fibres, toxic gases and vapour in the air - large surface area - large volume of air passing continuously into the lungs (9000L in humans) - Lungs are also susceptible to haematogenous blood borne microbes and toxins. (entire cardiac output of right ventricle and large pulmonary capillary bed) The defence mechanisms of the lungs Conducting system - sneezing, coughing, mucociliary clearance, mucous and antibodies Transitional system - Club cells (detoxify foreign substances) - antioxidants, and antibodies Exchange system - alveolar macrophages (inhaled pathogens) - intravascular monocytes (circulating pathogens) antibodies, surfactant and antioxidants
148
Describe the location of Club cells and their function ?
Club cells Located in the lungs - columnar to cuboidal cells - non ciliated, non mucous secretory cells The function of club cells - provide secretory surfactants and other proteins - serve as progenitor cells for ciliated and secretory epithelial cells - meatbolise xenobiotic compounds via cytochrome P450-dependant mixed function oxygenases associated with SER (smooth endoplasmic reticulum) Sometimes certain inhaled substances may generate toxic metabolites that can damage the club cell.
149
Describe the mechanisms by which viruses predispose the lungs to bacterial infections ?
Impairment of the defence mechanisms by viral infections Mechanisms 1. Injure the epithelium - enhances bacterial attachment - impaired mucociliary clearance (which prevents the physical removal of bacteria) 2. Reduction in antibacterial secretory products 3. Dysfunction of alveolar macrophages and lymphocytes - phagocytic function of macrophages reduced for 5-7 days after viral infections 4. Immunosuppressive effects of some viruses - canine distemper virus The viruses - Influenza virus pigs and horses - Bovine herpesvirus -1, Parainfluenza-3 and Bovine syncytial virus - cattle Bacterial infections may then result from normal flora of the respiratory tract Mannheimia hemolytica cattle or Pastereurella multiocida in cats, pigs
150
With disorders of the nasal cavity define the following terms; Epistaxis, Haemoptysis, Hyposmia and Anosmia ?
Definition Epistaxis = bleeding from the nose - either from the nasal cavity or from the lungs Haemoptysis = coughing up blood in sputum or saliva - commonly from lung lesions Hyposmia = Reduction of the olfactory function secondary to chronic injury to the olfactory epithelium Anosmia = Loss of olfactory function
151
Identify this pathology ?
Ethmoidal haematomas This is an important pathology in horses - chronic progressive, often unilateral nose bleeding - appears as a soft, tumour like, dark red mass arising from the mucosa of the ethmoidal conchae
152
Define the terms rhinitis, Sinusitis and Rhinosinusitis ?
Define rhinitis, sinusitis and rhinosinusitis Nasal discharge
153
Define the terms Serous Rhinitus and Catarrhal Rhinitis ?
Definitions Serous rhinitis = a clear fluid Catarrhal Rhinitis - more sever - thick mucus with leucocytes and cellular debris - progress to mucopurulent with neutrophils present
154
Identify and describe the pathology ?
Mucopurulent (Suppurative) Rhinitis - heavy neutrophil content plus mucous & cellular debris - more severe damage to mucosa - necrosis - indicates secondary bacterial infections
155
Identify and describe this pathology ?
Fibrinous Rhinitis - inflammation with increased vascular permeability - large amount of fibrinogen coagulates into fibrin - yellow tan or gray rubbery mat on the mucosa - may form a pseudomembrane that is difficult to remove and has underlying necrotic tissue called Diptheritic or Fibrinonecrotic rhinitis
156
Identify and describe this pathology ?
Granulomatous Rhinitis - chronic allergic inflammation - fungal infections (mycosis) - foreign bodies Granulomatous masses may obstruct the nasal cavity - may lead to destruction of the turbinates (nasal choncae) or erosion into the sinuses
157
Describe potential causes and pathology of Rhinitis ?
Sinusitis = nasal discharge Cause - it may occur with Rhinitis - can develop from penetrating wounds or tooth infection into the maxillary sinus The result / poor drainage of the sinuses leads to - accumulation of mucous (mucocele) - accumulation of pus (empyema) - may extend into the adjacent bone (osteomyelitis)
158
Identify the main viral disease of the equine
159
Identify viruses of the equine respiratory system ?
Infectious agents of the lung in horses Viruses Equine herpesvirus (EHV 1 and EHV 4) - mild respiratory disease in foals and young adults Equine influenza - highly contagious, self limiting - upper respiratory tract infection - high morbidity and low mortality
160
Discuss the pathology and agent of equine strangles ?
Equine strangles Infectious highly contagious disease of Equidae caused by STREPTOCOCCUS EQUI. Pathology Suppurative rhinitis - copious amounts of mucopurulent nasal discharge - hyperaemia of nasal mucosa (increased blood flow) Mandibular and retropharyngeal - inflammation of the lymph nodes (lymphadenitis) May spread to the lungs and other organs "bastard strangles"
161
Disscuss the pathology and agent of IBR ?
IBR = Infectious bovine Rhinotracheitis Agent = Bovine herpesvirus 1 - respiratory, genital, neurological and systemic effects - significant in an intensive feedlot system - synergism of IBR with Mannheimia haemolytica producing pneumonia Respiratory form - severe hyperaemia and focal necrosis of nasal, pharyngeal, laryngeal and tracheal mucosa - secondary bacterial infection leading to fibrinonecrotic (diphtheritic) layers - post-mortem diagnosis conformed by virus isolation or identification of the virus by immunocytochemistry or PCR
162
Describe the pathology and agent of Atrophic Rhinitis ?
Atrophic Rhinitis Common - inflammation and atrophy of the nasal conchae (turbinates) Combined infection Bordetella bronchiseptica Pasteurella multocida Pathology - cytotoxins inhibit osteoblastic activity - promotes osteoclastic reabsorption of nasal bones, particularly nasal conchae
163
Describe the pathology and agent of inclusion body rhinitis ?
Inclusion body rhinitis Disease of young pigs High morbidity and low mortality - mild rhinitis - necrotising, non suppurative rhinitis - Giant basophilic intranuclear inclusion bodies (cytomegalovirus) in nasal epithelium and glands