Pathology Flashcards

(4 cards)

1
Q

systemic hypertension is defined as what pressure?

A

140/90 mmHg

How well did you know this?
1
Not at all
2
3
4
5
Perfectly
2
Q

what is normal bp?

A

120/80 mmHg

How well did you know this?
1
Not at all
2
3
4
5
Perfectly
3
Q

what is atherosclerosis?

A

thickening of the intima

How well did you know this?
1
Not at all
2
3
4
5
Perfectly
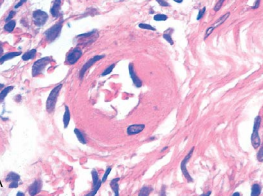
4
Q

what pathology is this?

name three visible characteristics:

A

hyaline arteriolosclerosis

  1. narrowed lumen
  2. izedincreased protein deposition (hyaline)
  3. thickened arteriolarl wall
How well did you know this?
1
Not at all
2
3
4
5
Perfectly