What are the 4 routes by which pathogens can enter the lungs?
Define pneumonia
Lung inflammation
How is lung inflammation classified?
Explain the pathogenesis of bronchopneumonia
Inhaled agents cause inflammation at the bronchoalveolar junction. An acute inflammatory response is triggered. And exudate of fluid and plasma proteins is formed inthe bronchioles and alveoli. Alveolar macrophages are recruited and neutrophils emigrate to site of inflammation.
How are lesions distributed in bronchopneumonia?
Cranio-ventrally, due to inhalation and gravity. Affects the bronchi, bronchioles and alveoli
What are the causes of bronchopneumonia?
Describe enzootic pnuemonia
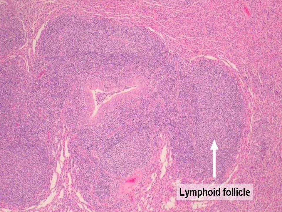
What kind of pneumonia can be seen here?

Bronchopneumonia, enzootic
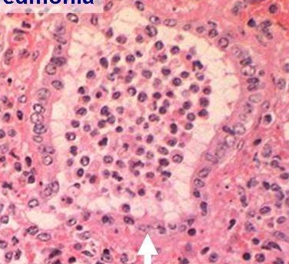
What does this histological image show?

Lymphoid cuffing around a bronchiole. Enzootic pneumonia
Describe suppurative bronchopneumonia
What kind of pneumonia is shown here?

Suppurative bronchopneumonia
What does this histological section show?

Bronchioles and alveoli with exudation of neutrophils and macrophages. Bright pink = intact septa
Describe fibrinous bronchopneumonia
- Pigs (*Actinobacillus pleuropneumoniae),*
not cranio-ventral distribution\*
- Aspiration of gut contentsWhat kind of pneumonia is shown here?

Fibrinous bronchopneumonia
What is shipping fever and in what species is it found?
Describe aspiration pneumonia
What kind of pneumonia is shown here?

Aspiration pneumonia
What are possible sequelae to acute bronchopneumonia?
Describe interstitial pneumonia
What kind of pneumonia is shown here?

Interstitial pneumonia
Describe granulomatous pneumonia
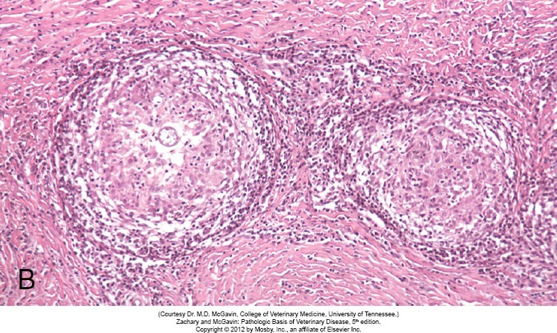
What can be seen in this histological image?

Granulomas
What kind of pneumonia is shown here?

Granulomatous pneumonia
Describe verminous pneumonia in relation to Dictyocaulus
*parasitic infection can cause a variety of lesions, depends on which stage of the lifecycle the parasite is in*