What is this

ALS - degeneration of corticospinal tracts with sparing of other tracts
What is this

Friedrich’s ataxia: tract degeneration - Dorsal columns, spinocerebellar tracts, lateral corticospinal tracts and DRG
Most common hereditary ataxia
AR, Chromosome 9, Triplet repeat GAA, Frataxin
50% hypertrophic cardiomyopathy, severe scoliosis
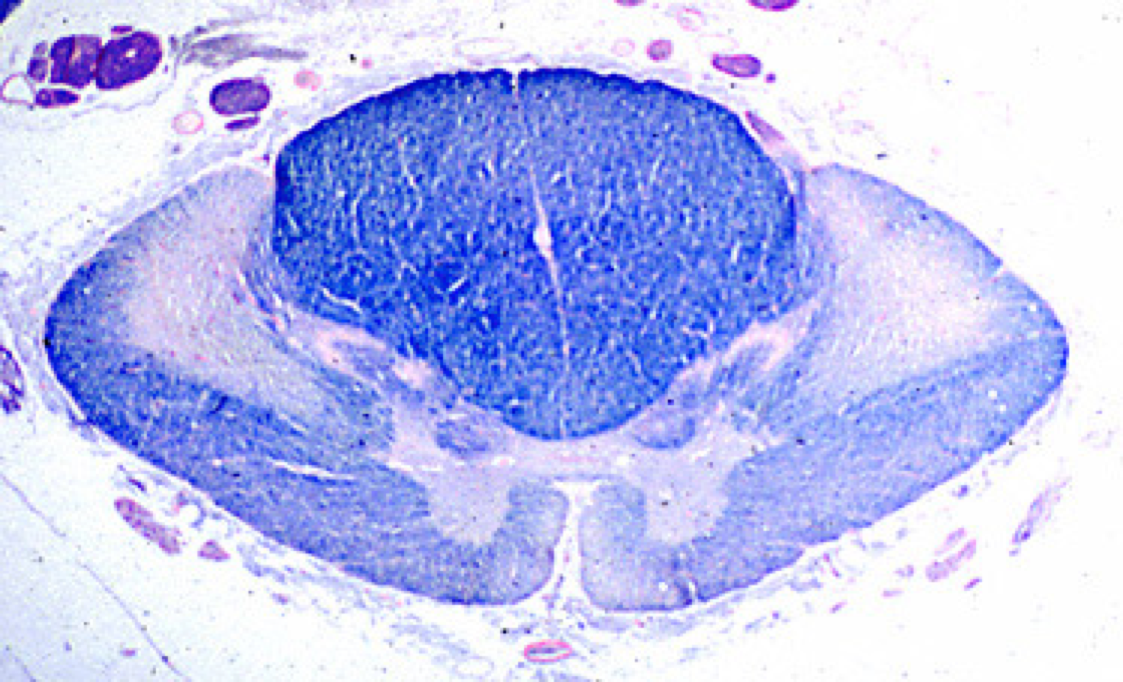
What is this?

B12 or HIV
What is this?

Subacute combined degereration of the cord
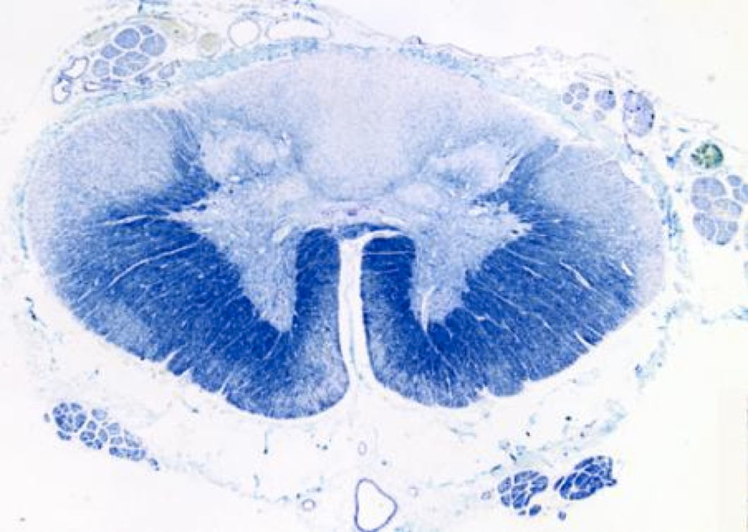
What is this?

Tabes Dorsalis
Tabes dorsalis, also known as syphilitic myelopathy, is a slow degeneration (specifically, demyelination) of the neural tracts primarily in the dorsal columns (posterior columns) of the spinal cord (the portion closest to the back of the body) & dorsal roots.
Name


Confusion, 70, autopsy - diagnosis?

Alzheimers Disease
This is an amyloid plaque. Look at the big, swollen black neurities! Those are filled with amyloid protein aggregates.
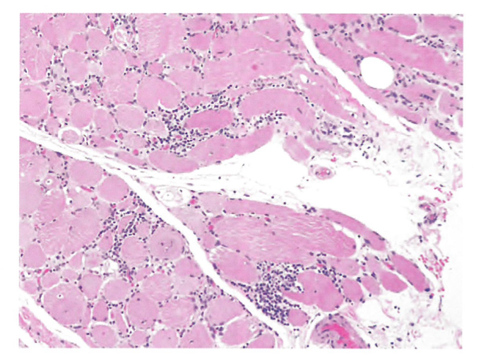
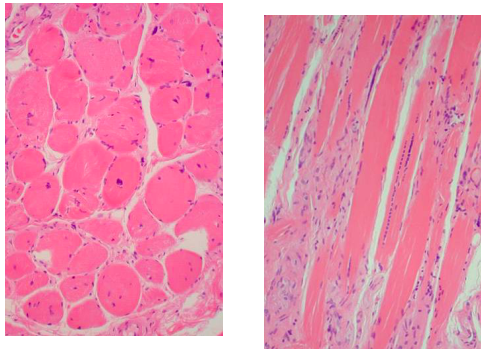
Proximal weakness and pain- diagnosis?

Polymyositis – infiltration inflammation with muscle fiber destruction (left, H&E; right, trichrome). (not rimmed vacuoles like IBM, not perifasicular inflammation like dermatomyositis)
Other histologic features include type II atrophy, fiber type grouping. Usually presents with proximal weakness and pain.
Polymyositis is an idiopathic inflammatory myopathy that typically occurs between the ages of 40 and 50.
Symptoms: Proximal weakness and pain
CK >10x normal
Treatment: Steroids +/- steroid sparing agent
Proximal weakness -dx?

Dermatomyositis – as opposed to polymyositis, the inflammation and atrophy are largely perifascicular in dermatomyositis.
Dermatomyositis, but not polymyositis, has been associated with a higher degree of malignancy.
Other features of DM are a heliotrope rash, shaw sign and Gottron papules.
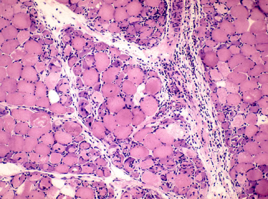
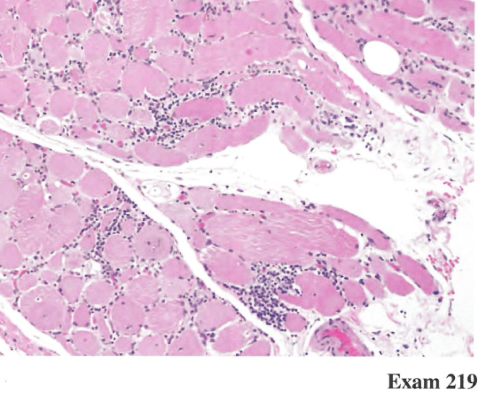
A 55 year old female presents with muscle pain and proximal weakness of several weeks duration. Her muscle biopsy is shown. Which of the following is the most likely diagnosis?

The constellation of findings is most consistent with polymyositis.
60, proximal weakness, Dx?

Inclusion Body Myositis – the hallmark of IBM is “rimmed vacuoles”, or vacuolations in the muscle fibers lined with an eosinophilic rim. Less inflammatory infiltrate.
Idiopathic inflammatory myopathy
Onset: >50 yo
Symptoms: Quadricep and deep finger flexor weakness. May be asymmetric.
CK normal to 10x normal. No treatment available.
Other conditions may give rise to rimmed vacuoles, such as chloroquine toxicity.
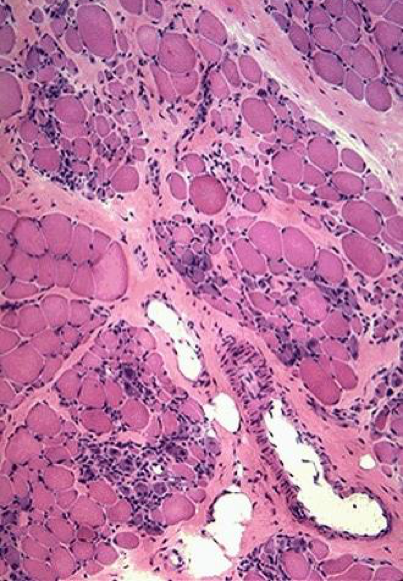
What is this?

Polymyositis
What do target fibers suggest in a muscle biopsy?
What is the pathological finding in muscle fibers associated with hypokalemic periodic paralysis?
•Vacuolar Dilatation of Sarcoplasmic reticulum is found in muscle biopsy of patients with hypokalemic periodic paralysi
Weak child, thin thighs, preserved calves

Duchenne Muscular Dystrophy – on the left is an H&E and the right a trichrome of Duchenne muscular dystrophy.
Rounded muscle fibers, variable fiber size, increased connective tissue, and fat.
The disease is caused by mutations in the gene for dystrophin (X-linked) which results in the absence of dystrophin form the muscle fiber surface.

What is this?

Discussion:
Myotonic dystrophy (MD) is characterized pathologically by predominance of small type I fibers and increased internal nuclei. Type I MD tends to display more numerous ring fibers and targetoid fibers than Type II MD.
type I
Name


Which glycogen storage disease affects only skeletal muscle?
Symptoms in glycogen storage diseases depend on the tissue distribution of the missing enzyme. McArdle disease, which is due to myophosphorylase deficiency, affects only skeletal muscle. Most of the other glycogen storage disease, including von Gierke disease, liver phosphorylase kinase deficiency, Forbes disease, and Pompe disease, also affect the liver.
Weakness, difficulty relaxing hand

Myotonic Dystrophy – on the left shows multiple internal nuclei characteristic of myotonic dystrophy.
This disease features more internal nuclei than any other muscle disorder.
The right longitudinal section shows that the interal nuclei within the muscle fibers also tend to line up. Note the increase in connective tissue.
Myotonic dystrophy results from a triplet repeat expansion of the myotonin gene on chromosome 19; more severe anticipation occurs with maternal inheritance
What is this

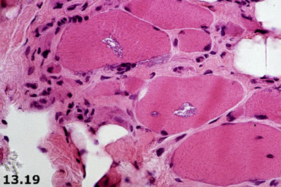
Vasculitis may be seen in amphetamine-induced vasculitis, polyarteritis nodosa, rheumatoid vasculitis, and Wegener granulomatosis, but not in polymyalgia rheumatica which is associated with temporal arteritis and usually type II fiber atrophy in the muscle biopsy, not vasculitis. Takayasu arteritis affects large blood vessels such as aortic arch, not small intramuscular vessels.
A 45 year old male presents with proximal muscle weakness that developed over the last year. His EMG shows a non-irritative proximal predominant myopathy. Muscle biopsy is shown. Use of which of the following drugs could be the cause of his symptoms?

Prednisolone
What is this?

Trichinosis – pictured is a cyst containing the larvae of Trichinella spiralis within muscle. Infection is initiated via ingestion of living larvae in raw or undercooked meat (usually pork) and results in eosinophilc fever and myalgias.
Myoclonus, seizures and blindness - diagnosis?

Lafora body disease
Autosomal recessive
Intractable progressive myoclonic and generalized seizures, dementia, and cortical blindness
Age: 11-18 yo at onset; Total disability in 5-8 years
Dx: Biopsy of skin, liver, muscle or brain with pathognomonic polyglucosan inclusions
Tx: Limited to treatment of seizures
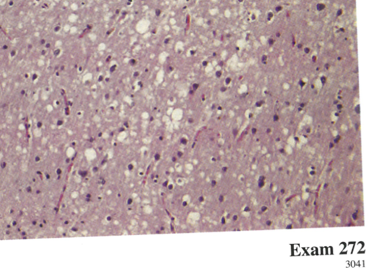
Progressive confusion- autopsy - diagnosis?

•CJD
•
Spongiform degeneration is characteristic of Creutzfeldt-Jacob disease. Most cases are sporadic and occur in patients between 50 and 70 years of age. Iatrogenic transmission can occur but is rare. Startle myoclonus is commonly seen. Although patients may have elevated protein 14-3-3 levels in CSF, this is a non-specific finding which may be seen in other neurologic disorders
CJD is caused by protein particles known as prions they are innocuous proteins but become pathological when transformed into their beta sheet rich isoforms