How does the breast develop in the embryo?
The skin involutes and begins developing from sweat glands. The breast tissue can arise anywhere along the milk line (axilla to vulva).

What is the functional unit of the breast?
Terminal duct-lobular unit. Lobules make milk and ducts drain the milk to the nipple.

What does histology of normal lobules and ducts look like?
2 layers of epithelium: columnar lumenal cell layer (protects duct and makes milk in lobule) + myoepithelial layer (squeezes duct to push milk forward).
What hormone receptors are present in breast tissue?
Estrogen and progesterone. This is why there is breast development after menarche, tenderness during the menstrual cycle, hyperplasia during pregnancy and atrophy after menopause.
Where is the highest density of breast tissue located?
The upper outer quadrant of the breast.
What things can cause galactorrhea?
Galactorrhea is milk production outside of lactation. Causes include nipple stimulation, prolactinomas and drugs.
A breast-feeding mother presents with a warm, erythematous and tender breast. There is purulent discharge and a tender mass on the right side. How do you treat her?
Breast feeding causes fissures around the nipple that allow infection by S. aureus and results in mastitis. You treat this with continued drainage and dicloxacillin to prevent abscess formation.
A 33 year old woman presents with a subareolar mass and nipple retraction. She has a history of smoking. What is likely causing her condition?
Periductal mastitis. Smoking causes a relative vitamin A deficiency. This results in squamous metaplasia in the lactiferous ducts (normally highly-specialized columnar cells that require vitamin A) and keratin production that plugs the ducts. In the plugged tube you get an inflammatory response that increases fibroblast activity, causing fibrosis and nipple retraction.
A 60 year old post-menopausal woman with a history of multiple pregnancies presents with a warm, tender, erythematous subareolar mass. There is a green-brown nipple discharge. What is likely causing her condition?
Mammary Duct Ectasia. Inflammation in wall of the subareolar duct causes dilation (ectasia) of the duct. Inflammatory products come out of the duct as a green-brown discharge. Note that this is a rare condition.
A 60 year old post-menopausal woman with a history of multiple pregnancies presents with a warm, tender, erythematous subareolar mass. There is a green-brown nipple discharge. If you were worried about breast cancer in a post-menopausal woman what would you likely see on your biopsy?
Chronic inflammation with plasma cells is characteristic of mammary duct ectasia.
A 35 year old woman has a mass on breast examination and calcification on mammography. To be safe you do a biopsy and see necrotic fat with calcifications and giant cells. What caused her condition?
Necrosis of breast fat after trauma. Trauma to the fat causes inflammation, necrosis, fibrosis and giant cell formation. Calcification is a result of saponification from fat necrosis. Note that trauma like a softball to the chest is sufficient to cause this condition.
A 26 year old woman presents with a vague, irregular and lumpy breast in the upper outer quadrant of both breasts. What would you likely see on biopsy of these small lumps?
In fibrocystic change you would see dilation of the lobular acini and ducts. Dilation causes inflammation and you would see connective tissue and fibrosis. Grossly the cysts would have a blue-domed appearance.
A 26 year old woman presents with a vague, irregular and lumpy breast in the upper outer quadrant of both breasts. You do a biopsy and diagnose her with fibrocystic change. What is the cause of this and what is her risk for cancer?
The rising a falling of estrogen and progesterone is a likely cause of fibrocystic changes, which most often occur in premenopausal women. This is benign in its pure form and carries no additional risk for cancer.
What characteristics of fibrocystic change increases risk for invasive breast carcinoma for both breasts regardless of which breast it was found in?
1) Fibrosis + Cysts + Apocrine metaplasia = NO increased risk 2) Ductal hyperplasia (excess lumenal epithelium) and/or Sclerosing Adenosis (too many mammary glands w/connective tissue fibrosis/calcification) = 2x risk 3) Atypical hyperplasia (ductal or lobular atypical cells) = 5x risk

A 30 year old woman presents with bloody nipple discharge. You do an intraductal biopsy and tell her that her condition is benign. What did you see on biopsy?
Intraductal papilloma: a papillary lesion (finger-like projection w/fibrovascular core lined by one layer of epithelial cells and one layer of myoepithelial cells) in the alveolar ducts that often bleeds and causes a bloody nipple discharge.
A 30 year old woman presents with bloody nipple discharge. You do an intraductal biopsy and tell her that her condition is malignant. What did you see on biopsy?
A papillary carcinoma is more common as women age and more often seen in a post-menopausal woman. Papillary carcinomas lack myoepithelial cells.
Most common benign neoplasm of the beast? (Also most common tumor in premenopausal females)
Fibroadenoma. Note that it is not as common in postmenopausal females because the fibroadenomas are estrogen sensitive.
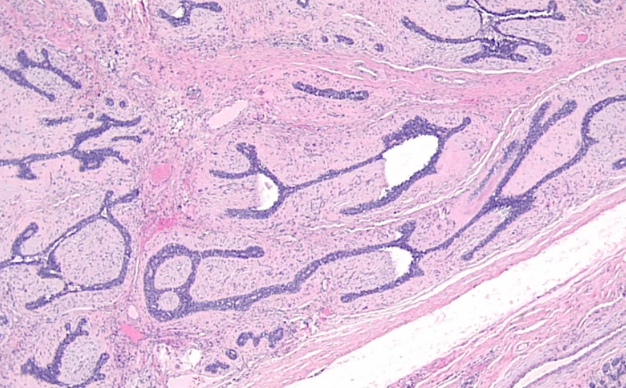
A 30 year old woman presents with a well-circumscribed, mobile, marble-like mass in her right breast. She says that it has grown since her last pregnancy. Biopsy is shown below. What is the most likely diagnosis? What is her prognosis?

Fibroadenoma. Note the fibrous tissue and glands sharply demarcated from adjacent breast tissue. These are the most common tumor in premenopausal women, is benign and is estrogen sensitive. Note that there is no increased risk for breast cancer.
A 60 year old woman presents with a well-circumscribed, mobile, marble-like mass in her right breast. Biopsy is shown below. What is the most likely diagnosis? What is the prognosis?

Note the overgrowth of the fibrous component and leaf-like projections in a postmenopausal woman. This is a phyllodes tumor. These can be malignant.
Most common carcinoma in women by incidence? What is the major risk factor for this?
Breast cancer. It is also the 2nd most common cause of cancer mortality. The most common risk factor is estrogen exposure (being female, early menarche & late menopause and obesity). Additional risk factors include atypical hyperplasia and 1st degree relative w/breast cancer (sister, mother and daughter).
Ductal carcinoma in situ that has walked its way up the duct and out onto the nipple.
Paget’s disease of the nipple
Ductal carcinoma in situ that has invaded the ductal basement membrane into the surrounding stroma.
Invasive ductal carcinoma
Lobular carcinoma in situ that has invaded through the lobular basement membrane and into connective tissue.
Invasive lobular carcinoma
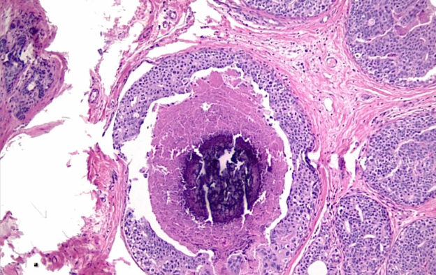
Breast cancer that is more commonly detected as calcification on mammography than a mass?
Ductal carcinoma in situ (Comedo type). When the malignant cells proliferate within the ducts, the center of the proliferation becomes necrotic. It also undergoes dystrophic calcification and shows up on mammography. It does not present as a mass because it is confined to the ducts.
