Tissue from a cat.
Abnormal/Normal?
MDx?

Abnormal/Normal?
Abnormal
MDx?
Pyometra
Horse.
Mdx?

Mdx?
Hemangiosarcoma
Bovine
Mdx

Palatoschisis
Tissue from a male dog.
MDx?

MDx?
Sertoli Cell Tumor
Tissue from a dog.
Normal/abnormal?
MDx?

Normal/abnormal?
Abnormal
MDx?
Cystic endometrial hyperplasia
MDx

Thyroid atrophy
Edx
Condition Name

Edx - renal osteodystrophy
Common name - rubber jaw
Canine
MDx
Etiology

MDx - intestinal catarhhal enteritis
Etiology - Dipylidium caninum
Dog, MDx

Top - acute splenic infarct (red)
Bottom - chronic splenic infarct (white)
Describe what you see.
What is this likely?

Nodularity of capsular surface.
Pale, no demarcation between cortex and medulla.
Chronic case of interstitial nephritis.
Tissue from a horse.
MDx?
Pathogenesis?

MDx?
Subacute focal suppurative pneumonia
Pathogenesis?
In horses whose heads were held high by halter during shipping preventing “snorting” to expel dust and mucus which then drains down trachea.
*Unilateral - only on right side.
Cat. MDx

Diffuse, granulomatous lymphadenitis
Cyptococcosis
Tissue from a cow.
Normal/abnormal?
Mdx?

Normal/abnormal?
Abnormal, lesion
Mdx?
Granulosa cell tumor
(cystic nature with hemorrhage)
MDx?
Pathogenesis?

MDx?
Mummified fetus
Pathogenesis?
No bacterial infiltration, uterus was closed off, fetus underwent dehydration
Cow.
MDx?
Etiology?

Serous atrophy of fat.
Starvation, emaciation
Tissue from a cow.
MDx?

MDx?
Amorphos globosus
Tissues from a young horse.
MDx?
Etiology?
EDx?

MDx?
Multifocal to coalescing pyogranulomatous pneumonia
Etiology?
Rhodococcus equi
EDx?
Rhodococcal pneumonia
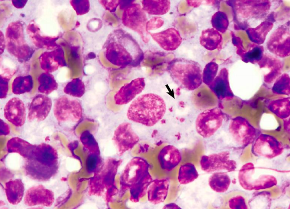
Canine popliteal LN aspirate. Name the disease.

Leishmaniasis
Goat.
MDx?

Lymphosarcoma
Normal/abnormal?
Tissue from a ?
Name of structure?

Normal/abnormal?
Normal!
Tissue from a ?
Horse
Name of structure?
Endometrial Cups
Dog.
Cause and associated lesion.

Canine parvovirus type 2
Lymphoid depletion (bone marrow depletion) - immunodeficiency
Tissue from a ram.
MDx?

MDx?
Epididymitis
Dog
Differentials

Melanoma
Squamous Cell Carcinoma
Edx

Uremic pneumonitis/pneumonopathy