What does elevated alkaline phosphatase level tell you in a patient?
Elevated osteoblastic activity
What do you start thinking about if you see multiple osteocytes and chondrocytes in a single lacuna?
Malignancy
What is the basic, non-mineralized matrix that is first laid down in bone? What does this substance look like on an H&E stain?
Osteoid. It stains pink.
What type of bone lacks structure, stains purple in H&E and is laid down after osteoid?
Woven bone.
What is the final step in bone development to increase bone strength?
Mineralized lamellar bone formation in the direction of weight bearing
What types of bone growth are seen in children? Adults?
Epiphyseal and appositional bone growth are seen in children. Appositional bone growth is the only form of bone growth in adults.
A 74 year old woman tripped and was unable to get up. She has noticed instability in dance exercises recently. You sent her to get a dexascan which confirmed osteoporosis. How is her condition different from someone with osteomalacia?
People with osteomalacia have a reduction in mineralization. Osteoporosis is simply a decrease in bone mass, all blood tests will be the same as someone without osteoporosis.
Why do menopausal women have an increased risk for osteoporosis?
Women produce more pro-inflammatory cytokines in the absence of estrogen. One of these is TNF, which increases expression of RANK and RANKL which increases osteoclast activity.
Why do young people sometimes get osteoporosis (secondary osteoporosis)?
Disuse, drugs, endocrine, neoplasia.
What are some factors that indicate osteoporosis that can tip you off without the patient breaking a bone?
Change in posture, change in height (due to loss of vertebral height) and, the gold standard, DXA Scan

What can you prescribe to an older person with osteoporosis?
Vitamin D, exercise, estrogen supplementation, and anti-inflammatory drugs.
What is your diagnosis?

Osteoporosis. Note lack of trabecullar interconnections, thin trabeculae, quiescent cellular activity, and thin cortex.
A 65 year old woman complains of pain in her back, knees and hips for several years. During your physical exam you note Heberden nodes and no swelling or redness in the joints. What is causing her symptoms?
This is typical of degenerative join disease. Cartilage degeneration causes friction and pain in the joints.

A 65 year old woman complains of pain in her back, knees and hips for several years. During your physical exam you note Heberden nodes, swelling and redness in the joints. What is your differential diagnosis? What tests could you do?
Gout, pseudogout, septic infection or rheumatoid arthritis. Culture, gram-stain, biopsy looking for inflammatory cells and crystals.
How does your body compensate for cartilage degeneration by stabilizing joints?

Formation of osteophytes. Also note area of yellow fibrosis due to bone on bone friction.
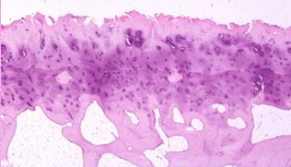
A patient comes to see you with knee pain and is wondering if he will need a knee replacement in the future. This is his biopsy, what do you tell him?

He has degenerative joint disease, his cartilage is fraying away and will need a knee replacement.
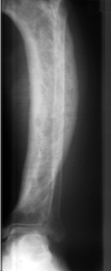
A 57 year old female with right leg pain for the last 3 months comes to see you. During your physical exam you notice anterior bowing of the tibia, warmth and localized tenderness over the skin of the bone. You order an x-ray and it shows expansion and alternating areas of osteosclerosis and osteolysis. Why is this person at risk for fractures?

This is Paget’s Disease. Rampant osteoblast overcompensation for initial osteoclast overactivity creates a disorganized, weak and mosaic pattern of woven bone. Although the woven bone is later converted to lamellar bone, it is still weak and prone to fracture.

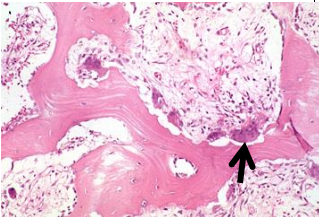
How do you know this patient does not have bone loss due to osteoporosis?

Giant osteoclasts are taking bites out of the bone and osteoblasts are working to build bone. The highly cellular surface indicates tremendous bone turnover typical of Paget’s disease.
How does hyperparathyroidism differ from Paget’s disease?
Lots of osteoclast activity and little osteoblast activity. You will also have high blood Ca levels and PTH levels not evident in Paget’s disease.
What do blood samples look like in a patient with Paget’s disease?
Alkaline phosphatase will be very high and Ca levels will be normal because it is being recycled.
Your patient has severe polyostotic Paget’s disease. What is your greatest concern for this patient?
Polyostotic Paget’s disease creates a fertile ground for osteosarcomas.
What bones are typically affected in Paget’s disease?
Skull, tibia and pelvis.
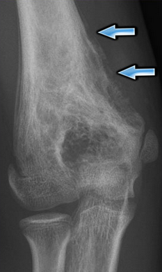
A 15 year old boy presents with pain, swelling and lack of mobility in the knee. What do you see in this x-ray and what condition does it hint towards?

Note Codman’s Triangle evident by destruction of the cortex which shows malignancy. This hints toward osteosarcoma.
Why is a tissue sample not enough to make a diagnosis of osteosarcoma?
Osteoblasts intimately associated with the osteoid they are making is typical of osteosarcoma AND bone fractures.
