A 62-year-old year old man presented with orthopnea and nocturia, which was gradually worsening over the past 6 months. Additionally, the patient complained of passing frequent, bulky, greasy stools. The patient subsequently expired one year later due to complications of a myocardial infarction. Physical examination demonstrates features consistent with pulmonary edema. Laboratory studies: BUN 62 mg/dL, creatinine 4.8 mg/dL, total protein 5.3 g/dL, and albumin 2.2 g/dL. Urinalysis showed 4+ protein on the dipstick. A CBC demonstrated rouleaux formation and a lymphocytosis. The patient was admitted with further findings including: serum monoclonal IgM and Bence Jones proteinuria. An EKG showed low voltage change with axis deviation. A chest x-ray revealed a normal sized heart. A rectal biopsy was diagnostic of AL amyloidosis. How does this account for all of his symptoms?
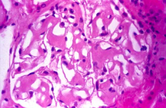
Amyloid deposition in the GI tract can cause malabsorption. Deposition in the heart can cause arrhythmias, cardiomyopathy and pulmonary edema. High serum protein also increases viscosity and can cause ischemic damage. Hypoalbuminemia, renal insufficiency and proteinuria are due to renal nephrotic syndrome from amyloid disrupting the glomerular basement membrane (shown below, note that amyloid deposition does not induce an inflammatory response).

A 54-year-old man presented with nocturia and easy bruising. The patient was admitted, however on the third hospital day, he developed hematemesis and hypotension and died about 2 hours later. On physical examination it was noted that he had golden brown colored skin, a firm liver edge palpable 5 cm beneath the right costal margin in the midclavicular line, and atrophic testes. Laboratory results: fasting glucose of 225 mg/dL, total protein 7.5 g/dL, albumin 3.0 g/dL, and total and direct bilirubin of 1.9 and 1.2 mg/dL, respectively. The stool was guaiac positive. Liver biopsy confirms hemochromatosis. How does this account for all of his symptoms?
Excess iron goes into parenchymal cells and causes direct toxicity. This can cause hepatocyte damage leading to cirrhosis and hepatocellular carcinoma, pancreatic damage and diabetes mellitus, Cirrhosis w/portal hypertension can cause esophageal varices and account for hematemesis and hypotension.
A 34-year-old African-American, Army Captain complained to his dermatologist of a mild, dry cough. The patient had been recently evaluated for a rash of his lower legs that was subsequently diagnosed as erythema nodosum. Physical examination revealed mild hepatomegaly. A chest x-ray demonstrating bilateral hilar lymphadenopathy with reticulonodular parenchymal infiltrates. Endobronchial and liver biopsies were subsequently performed demonstrating similar histopathologic changes and confirming sarcoidosis. How does this diagnosis account for his symptoms?
For unknown reasons, CD4 T-cells get activated, move from skin to organs and produce IL-2 and IFN-gamma that activate macrophages that will form granulomas. This results in granulomas in the lung causing interstitial fibrosis, eyes causing uveitis, skin causing erythema nodosum. Additionally, the CD4 T-cells activate B-cells and you get hypergammaglobulinemia.
A 32-year-old African-American woman complained to her family physician of hand and knee joint pain, low-grade fever, fatigue and recent weight loss. At physical examination the interphalangeal joints of both hands and both knees were erythematous and warm, however, no deformities were noted. Additional findings included an erythematous, raised rash over both malar eminences, patches of alopecia over occipital scalp, and a raised, scaly, keratotic rash on the upper arms. An autoimmune disorder was suspected, with the following lab results obtained: Hb: = 10.8 g/dL; WBC = 4200 mm; Platelets = 62,000 mm; ESR elevated; ANA = 1:320(rim pattern). A skin biopsy was performed from the upper arm rash revealing perivascular infiltration of lymphocytes, vasculitis, and degeneration of the basal layer of the epidermis. Why does this patient’s presentation make you think SLE?
Constitutional symptoms of fever, fatigue and weight loss. Non-erosive arthritis with pain out of proportion to physical exam findings. Photosensit
Sarcoid effects on the heart
Arrhythmias
Common causes of AL amyloidosis.
IgM may indicate Waldenstrom’s macroglobulinemia, IgG may indicated multiple myeloma; however the most common cause is plasma cell dyscrasia that causes monoclonal gammopathy of unknown origin.
Amyloid effects on the heart
Congestive w/dilation of the heart or restrictive cardiomyopathy. Arrhythmias can also present via disruption of the conducting system.
Pathogenesis of disease from amyloid deposition.
Amyloid is a non-branching fibril the aggregates and deposits extra-cellularly. It impinges on surrounding cells and causes pressure atrophy.
Etiologies of amyloidosis
1) Familial: mutated transthyretin that aggregates 2) Increased production of protein that is permissive for amyloid aggregation as happens in chronic inflammation (SAA->AA), plasma cell dyscrasia (AL) and Alzheimer’s (APP->beta2-A).

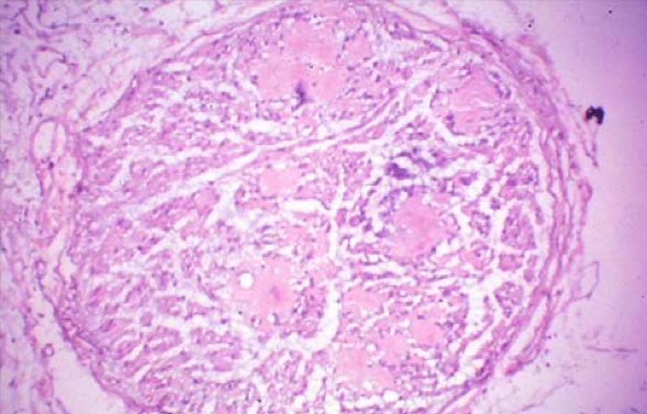
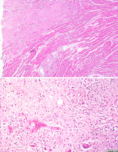
What would you expect histologic analysis of this cardiac section to look like?

Note the grayish, glistening material that is nodular, patchy and dispersed. This is amyloid deposition in the heart. On histology you see an extracellular, amorphous, pale, pink material. You would see atrophy of the surrounding cells. On immunohistochemical staining with Congo red you see apple-green birefringence.

Why are people with Alzheimer’s disease at higher risk intracranial hemorrhages?
Amyloid angiopathy: blood vessels have amyloid in their wall and are at risk for bleeding.

What symptoms do familial mutated transthyretin typically result in?
Peripheral and autonomic neuropathy from amyloid deposition in the nerves.

Secondary causes of hemochromatosis
Transfusions or any cause of ineffective erythropoiesis (thalassemia and myelodysplastic syndrome)
What happens to red cell production when people have chronic inflammation?
Liver responds to inflammation by releasing hepcidin as an acute phase reactant. Hepcidin binds to ferroportin Fe transport protein in intestinal cells, causing it to internalize and be proteolyzed. This decreases iron absorption from the intestine and prevents macrophages from giving up its stored iron to developing erythroid cells and causes anemia of chronic disease.
Most common genetic cause of hemochromatosis.
HFE gene, near the MHC I gene, interferes with hepcidin production when mutated and allows for dysregulation of Fe uptake.
How do you confirm that this patient had hemochromatosis?

Despite presence of brown deposits, Prussian-blue stain will confirm that it is iron and not lipofuscin.

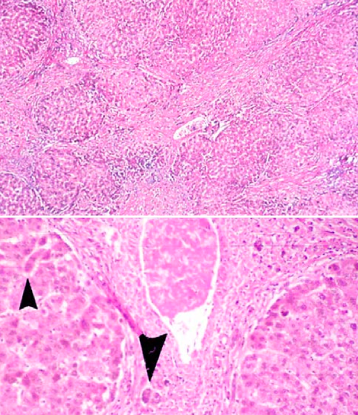
What observations do you have of this patient’s liver?

Note the nodules of hepatocytes surrounded by bands of fibrosis. This is characteristic of cirrhosis. Note the pigment in Kupffer cells and bile duct epithelial cells. Note below the Prussian blue stain indicating hemochromatosis as the culprit.

Aside from cardiac failure, hepatic pathology, and diabetes, what other things can hemochromatosis cause?
Compensatory increase in MSH due to hypopituitarism caused by hemochromatosis causes skin bronzing. Hypopituitarism causes atrophic testes. Fe can also cause joint damage.

Why don’t people with sarcoidosis react to Tb tests?
CD4 T-cells migrate out of the skin to other organs and you get skin anergy.
Why do you see hypercalcemia in patients with sarcoidosis?
Macrophages in granulomas are producing vitamin D, which increases calcium reabsorption and causes hypercalcemia.
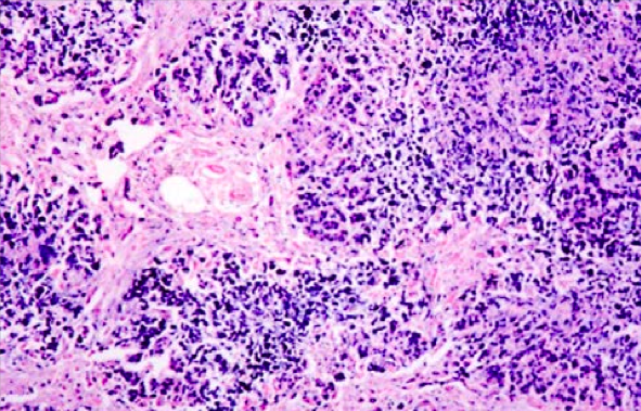
What would you expect to see on histologic analysis of this myocardium with multiple patchy white infiltrates from sarcoid?

Non-caseating granuloma: nodular multinucleate giant cells, epithelioid histiocytes w/pink cytoplasm and lymphocytes in the periphery.

What other conditions do you need to rule out before diagnosing someone with sarcoidosis because you saw non-caseating granulomas on biopsy?
Tb, fungi and foreign bodies can also cause granulomas and need to be ruled out.
What would you expect to see on biopsy of this hilar lymph node in a patient who had sarcoidosis?

Non-caseating granulomas with multinucleate giant cells and surrounding epitheliod histiocytes. You can also see asteroid body inclusions

Aside from lupus, what other condition presents with a malar rash?

Dermatomyositis