PCD Slides Flashcards

(4 cards)

1
Q
A

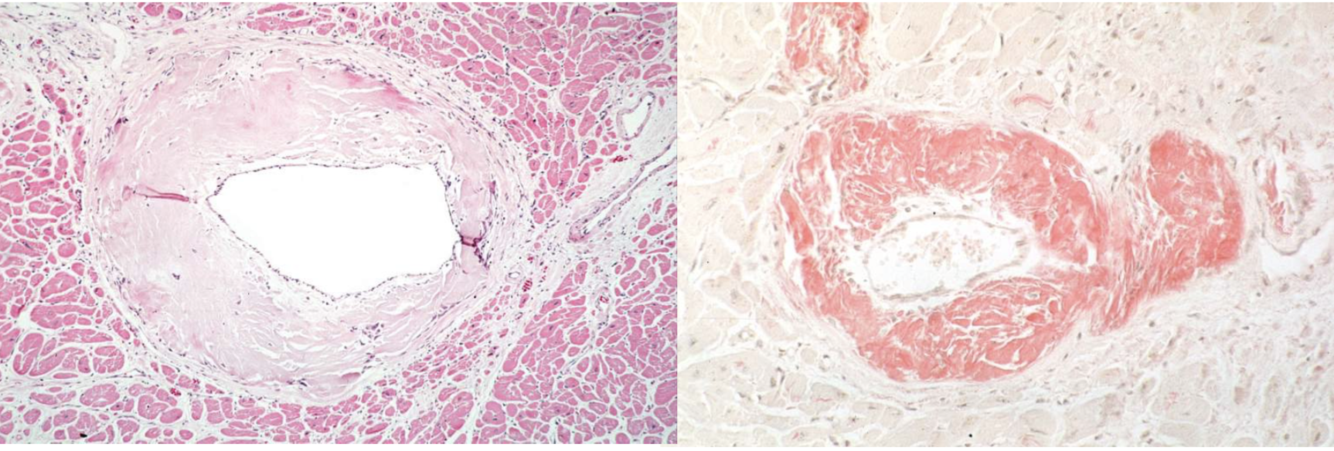
Amylod heart on Congo red stain

  • amyloidosis
How well did you know this?
1
Not at all
2
3
4
5
Perfectly
2
Q
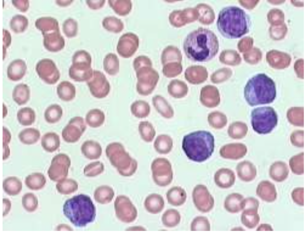
A

plasmacytoid lymphocytes

  • waldenstrom’s
How well did you know this?
1
Not at all
2
3
4
5
Perfectly
3
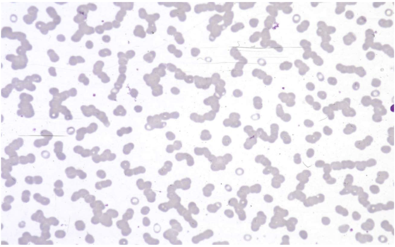
Q
A

waldenstrom’s

How well did you know this?
1
Not at all
2
3
4
5
Perfectly
4
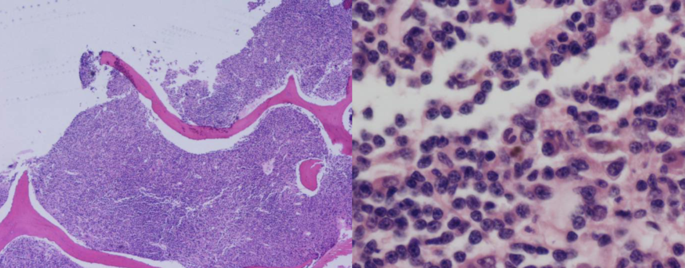
Q

commonly seen in

A
  • multiple myeloma
How well did you know this?
1
Not at all
2
3
4
5
Perfectly