What is PCOS
a disorderof the HPO axis which is characterised by ovulatory dysfunction and hyperandrogenism.
in some cases characterised by raised LH and testosterone
What is the Rotterdam Criteria
Diagnostic criteria for PCOS: which requires any 2 of the following
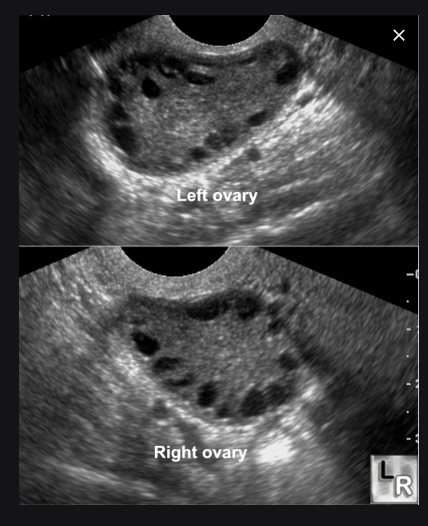
What would you see of pelvic USS that is a diagnostic indicator of PCOS
12 or more peripheral antral follicles or increased ovarian volume >10cm3

Common and uncommon signs and symptoms of PCOS
Common
Uncommon:
Long Term Complications of PCOS to be aware of?
Investigations to do in a women with suspected or diagnosed PCOS?
First Line management of PCOS
Weight gain and lifestyle modifications
COC could be appropriate if also needing contraception
Management of hirituism and acne in PCOS
A COC pill can be used.
Always weigh against increased risk of VTE
Management of infertility in the setting of a PCOS patient?
How does clomifene citrate work to increase fertility?
It is anti-oestrogen and therefore increases FSH in the early follicular stage
A cluster of conditions that increase your risk of CVD, stroke and T2DM
Three or more of the following