Calos simples x Verrugas plantares
Calos: área de atrito ou pressão, linhas cutânea atravessam a zona central da lesão, sem lesões satélites e centro seco e regular. Dor por pressão local
Verrugas: as linhas da pele circundam o centro da lesão sem atravessá-lo, lesões satélites marginais, centro amolecido e irregular com hemorragia punctata em sua base. Dor é desencadeada por compressão latero-lateral da lesão e não pela compressão central
Sensibilidade cutânea do pé
L4 - n. safeno
L5 – n. fibular superficial
S1 – n. sural
S2 – fibular profundo

DEFINA SUPINAÇÃO DO PÉ
Supinação->
Flexão do tornozelo + inversão subtalar+ adução mediotársica e supinação da tarsometatársica
DEFINA PRONAÇAO DO PE
Pronação -> Extensão do tornozelo + eversão subtalar + abdução mediotársica e pronação da tarsometatársica.
AMPLITUDE DE MOVIMENTO DAS ARTICULACOES DO PÉ
FLEXO EXTENSÃO: 25-45
Complexo subtalar:
Movimentos no sentido de inversão e eversão ( supinação e pronação )
20o inversão e 10o eversão
Se bloqueio ADM ou dor região anterior e lateral a ponta do maléolo lateral ; pensar em patologias da subtalar
Complexo Chopart ( médio társica ou talonavicular e calcaneocubóide )
Movimentos de adução e abdução
Palpação cabeça navicular ou cabeça tálus em casos extremos
Complexo articular de Lisfranc ( articulação tarsometatársica)
ADM flexão plantar e dorsal
15o Supinação e 25o pronação do antepé em relação médiopé
Estabilidade funcional em terrenos irregulares
Articulações metatarsofalângicas:
800 flexão dorsal e 30o flexão plantar
Palpação cabeças dos MTT
DESCREVA DEDO:

DEFINIÇÃO PÉ PLANO
Definição: perda do arco longitudinal medial (Campbell 11th)
Arco Longitudinal Normal = 14mm
Pode ser rígido ou flexível
Flexível (Pé plano valgo flexível – incidência menor na idade adulta, 14-23%)
Rígido: Coalizão tarsal, pé talo vertical, outras doenças que afetem a art. subtalar (AR, infecção, tumor)
Coalisão Tarsal pode ser FLEXIVEL ou RIGIDA.
FUNCÕES DAS ARTICULACOES DO PÉ
Funcões
Valgo-Eixo paralelo-livre-fase de apoio
Varo- Eixo não parelaelo- travada-fase de balanço
-Lisfranc Abduçao/Aduçao
DEFINIÇÃO E CAUSA DE COALIZAO TARSAL
Conexão óssea, cartilaginosa ou fibrosa entre 2 ou mais ossos do retropé e mediopé
Falha na segmentação do mesênquima primitivo
Tecido fibroso pode sofrer metaplasia → osso/cartilag
Apenas 25% se tornam sintomáticos
COALIZAO TARSAL / DEFORMIDADE RÍGIDA
Não é sinônimo de deformidade rígida!!!
Maioria tem retropé fixo em valgo de gravidade variável + algum grau de perda do arco longitudinal normal
Alguns tem pouca deformidade, e esta pode ser flexível.
Especialmente na coalisão calcâneonavicular
INCIDENCIA COALIZAO TARSAL
Incidência de 1% (subdiagnosticada, pode chegar a 2-5%)
50-60% de bilateralidade
10-20% tem mais de 1 barra
Provável herança autossômica dominante, com penetrância quase complete
Artigo RBO > Os locais mais comuns das pontes ósseas são entre o tálus e o calcâneo (talocalcaneana medial) e entre o navicular e o calcâneo, correspondendo a 90% destas, respectivamente com 48% e 44% dos casos de coalizão tarsal
ANORMALIDADES ASSOCAIDAS A COALIZAO TARSAL
Anormalidades associadas (Lovell) + Graves/Bom Prognostico
Hemimielia fibular, síndrome de Apert, síndrome de Nievegert-Pearlman, outras anomalias congênitas (Pfeiffer, Crouzon, Jackson-Weiss and Muenke)
FISIOPATOLOGIA COLAIZACAO TARSAL
Fisiopatologia
Coalisão Bloqueia Eversão Subtalar no início da marcha (apoio).
Altera biomecânica da Chopart – Impacto talonavicular pela sobrecarga a dorsoflexão.
Posição de relaxamento da subtalar é em valgo → menor tensão no lig. Talocalcâneo Interosseo + Ligamento Cervical.
Por um estímulo patológico, fibulares são estimulados por reflexo a Everter o Retropé → “descomprimindo” a subtalar.
Com o tempo, esta posição torna-se FIXA, The reason for progressive
ESPASTICIDADE FIBULARES
Consequência da coalisão tarsal, e não a causa!!
Encurtamento adquirido adaptativo da musculatura fibular
ESPASTICIDADE DOS FIBULARES
Presente em várias outras condições
AR, fx osteocondral, infecção da art. subtalar, neoplasia no tálus ou calcâneo
Stress em inversão pelo examinador provoca clônus!
Reflexo por estiramento devido ao encurtamento.
A deformidade tem EVERSÃO DO RETROPÉ!!
Coalizão Calcaneonavicular
Presente ao Nascimento
só ossifica aos 8-12 a, AI QUE FICA DURO E DÓI
Antes disso, sintomas são raros devido a maleabilidade cartilaginosa ao redor dos centros de ossificação primários do complexo peritalar
Pode ser óssea (sinostose), cartilaginosa (sincondrose) ou fibrosa (sindesmose)
Incompletas (cartilaginosa e fibrosa) são as mais sintomáticas! = Mais móveis também!
No rx mostram margens ósseas irregulares e indistintas
QUAL SINAL É VISTO NA COALIZAO CALCANEONAVICULAR?

OUTROS EXAMES DE IMAGEM PARA COALIZACAO CALCANEONAVICULAR
TAC não é necessária para diagnóstico
Usada para excluir outras barras associadas (5%)
RNM
Pode auxiliar em barras fibrosas/cartilaginosas
PADRÃO OURO É TAC !
Coalizão Calcaneonavicular
Tratamento conservador
Tentar sempre
Reduzir atividades, palmilha firme com sustentação do arco
Imobilização (gessada?) por 4-6 semanas (se sintomático)
Resolve o quadro em 30% dos casos
Pode ficar assintomático por longos períodos ou indefinidamente
Pacientes que chegam por volta de 20 anos com poucos ou nenhum sintoma tendem a permanecer assim pelo resto da vida
Coalizão Calcaneonavicular
Tratamento Cirúrgico
Na falha do tratamento conservador; tem bons resultados
Ressecção ampla da barra + interposição tecidual
Tirar aprox. 1,5-2,5cm de osso; interposição com musculatura (ex. Extensor Curto dos Dedos) ou gordura / ou ambos
Contraindicado
Não fazer se Sinais Artrose!
Acometimentos extensos; > 15º valgo retrope; acometimento de > 50% faceta posterior
Piores Resultados
Osteotomias de correção (medialização do calcâneo / alongamento da coluna lateral): pode ser associada, se desvios acentuados
Artrodese (se Instabilidade ou Artrose)
Tríplice artrodese é a mais recomendada
Em adolescentes mais velhos e adultos, principalmente se já com alt. degenerativas na subtalar ou talonavicular
Como procedimento de salvação se falha da ressecção da barra, em qualquer idade.
Artrodese subtalar: pacientes selecionados, com artrose somente talocalcanea, sem desvio significativo retrop
Coalizão Talocalcanea
Introdução
Barra ossifica de forma completa ou incompleta aos 12-16 anos
Diagnóstico normalmente em adolescentes mais velhos e adultos → mais tarde que a calcaneonavicular
Em casos sintomáticos, TAC pode identificar mais cedo
Coalizão Talocalcanea
Clínica
Sintomas (similar à calcaneonavicular)
Cansaço no pé e dor no retropé com atividades
Queda do arco longitudinal normalmente não é queixa
Exame físico
Principal achado é grande diminuição ou ausência de mobilidade na subtalar
Ao contrário da calcaneonavicular, que pode manter + movimento
Dor a palpação do seio do tarso, na art. talonavicular, nos tendões fibulares e especialmente medial sobre o sustentáculo do tálus
Valgo do retropé, perda do arco longitudinal (maior que na calcaneonavicular) e espasmo dos fibulares
MAIS VELHO 12-16a
MAIS RIGIDEZ SUBTALAR
MAIS PLANO/MENOS ARCO
Coalizão Talocalcanea
Radiografia
AP / Perfil com carga, oblíqua a 45º, axial de Harris (projeção postero-superior oblíqua a 45º)
Axial do calcâneo
Barra óssea entre o sustentáculo do tálus e a faceta medial do tálus
Nas incompletas, irregularidades / perda da distinção das margens articulares
Coalizão Talocalcanea
Radiografia
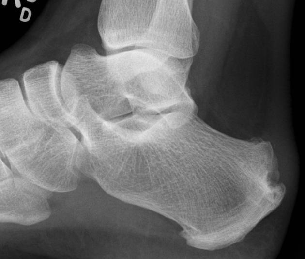
Perfil
Esporão (“bico”) da cabeça do tálus na margem articular dorsal - (Impacto navicular na cabeca do talus + tração pela capsula anterior)
Sinal do C de Lefleur
Semicirculo esclérótico no calcâneo abaixo da faceta média se continuando até superfície articular tibiotalar
Representa sobreposição entre a margem cortical do sustentáculo do tálus e a barra
Alargamento / arredondamento do processo lateral do tálus ao impactar no sulco do calcâneo
Estreitamento do espaço articular talocalcaneo posterior
Perda da art. subtalar média
***Semicirculo esclérótico no calcâneo abaixo da faceta média se continuando até superfície articular tibiotala
Coalizão Talocalcanea
Outros exames
TAC
Ajuda no diagnóstico quando RX não é conclusivo
Define localização exata
Mostra condições das outras articulações
RNM
Ajuda na identificação de barras incompletas