Ped- Ivas Flashcards

(12 cards)

1
Q

OMA- antibiótico

A

Amox e pode fazer 1 x ao dia por 10 dias

Faz se sintomas graves> de 6 meses ate 2 anos por 10 dias e acima de 2 anos por 5-7 dias

Se < 6 meses faz em todos

Sintomas graves :
Otalgia > 48 horas
Febre > 39 graus
Bilateral
Otorreia
Toxemia

How well did you know this?
1
Not at all
2
3
4
5
Perfectly
2
Q

Amigdalite o atb é amox

A

Pode fazer por 10 dias dose única de amox por dia

How well did you know this?
1
Not at all
2
3
4
5
Perfectly
3
Q

Principal afecção de vias aéreas baixas em lactentes

A

Bronquiolite viral agura - vírus sincícial respiratório

How well did you know this?
1
Not at all
2
3
4
5
Perfectly
4
Q

Qual infeção de crianças que cursa com leucocitose e eosinofilia

A

Pneumonia por clamídia

How well did you know this?
1
Not at all
2
3
4
5
Perfectly
5
Q

Qual a FR média das crianças

A

Até 60 em menores de 2 meses
Até 50 em 2 meses a 1 ano
Até 40 em 1 ano - 5 anos

How well did you know this?
1
Not at all
2
3
4
5
Perfectly
6
Q

Qual afeção infantil cursa com leucocitose e linfocitose

A

Coqueluche

Tosse até vomitar ou ficar cianótico

Tratamento : Azitromicina

How well did you know this?
1
Not at all
2
3
4
5
Perfectly
7
Q

Indicações de palivizumabe em lactentes com BVA

A

Prematuro menos de 28 semanas

Cardiopata

Displasia pulmonar

How well did you know this?
1
Not at all
2
3
4
5
Perfectly
8
Q

score de centor para faringite estreptocócica

A
  • ausencia de tosse 1
    -adenopatia anterior 1
  • 5- 14 anos 1
  • febre 1

3 pontos intermediário

menos de 3 pontos baixo

> do que 4 alto

How well did you know this?
1
Not at all
2
3
4
5
Perfectly
9
Q

BVA bronquiolite viral aguda tem crepitações inspiratorias

A

verdade

How well did you know this?
1
Not at all
2
3
4
5
Perfectly
10
Q

RAIO X NORMAL LINHA A

A
How well did you know this?
1
Not at all
2
3
4
5
Perfectly
11
Q

RAIO X COM SINAL DA ÁGUA VIVA DE CONSOLIDAÇÃO

A
How well did you know this?
1
Not at all
2
3
4
5
Perfectly
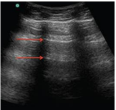
12
Q

RAIOX COM LINHAS B DE EDEMA PULMONAR LINHAS VERTICAIS + DE 3

A
How well did you know this?
1
Not at all
2
3
4
5
Perfectly