This pediatric disease process is represented by a “thumbprint” sign on X-ray.

EPIGLOTTITIS


EPIGLOTTITIS
FORMULA USED FOR CALCULATING FLUID MAINTENANCE ON PEDIATRIC PATIENTS.
4-2-1 RULE
4 mL X kg for the 1st 10 kg
2 mL X kg for 10-20 kg
1 mL X kg for each kg over 20 kg
THE MOST NARROW PORTION OF A PATIENT <10 YEARS OLD?
THE CRICOID RING
INFANTS BREATHE THROUGH WHAT?
NOSE
INFANTS ARE OBLIGATE NOSE BREATHERS
PEDIATRIC PATIENTS OLDER THAN INFANT BREATH HOW?
MOUTH BREATHERS
PEDI PATIENTS ARE OBLIGATE MOUTH BREATHERS
HYPOXIA CAUSES WHAT IN PEDIATRIC PATIENTS?
BRADYCARDIA/ CARDIAC ARREST
BULGING FONTANELLE, INCREASED ICP, RETINAL HEMORRHAGE
SHAKEN BABY SYNDROME
WHAT PERCENTAGE OF BLOOD LOSS WILL PEDIATRIC PATIENTS START TO SHOW HYPOTENSION?
25%
RANGE 25-30% BLOOD LOSS PRIOR TO SHOWING SIGNS OF HYPOTENSION
THE CHILD IS STRUCK BY A VEHICLE
THE CHILD STRIKES THE VEHICLE
THE CHILD STRIKES THE GROUND
WADDEL’S TRIAD
THE MOST COMMON CAUSE OF BRONCHIOLITIS IS?
RSV
RESPIRATORY SYNCYTIAL VIRUS
CHARATERIZED BY SWELLING OF BRONCHIOLE WALLS
>90% VIRAL
COUGH, SHORTNESS OF BREATH, NASAL FLARING, WHEEZING/CRACKLES
HIGHLY CONTAGIOUS
OFTEN CAUSED BY RSV
BRONCHIOLITIS
SWELLING AROUND THE VOCAL CORDS
NON LIFE THREATNING
GRADUAL ONSET, NO DROOLING
“SEAL LIKE” BRAKING COUGH
STEEPLE SIGN ON X-RAY
TREATED WITH RACEMIC EPINEPHRINE AND
DECADRON (STEROIDS)
CROUP
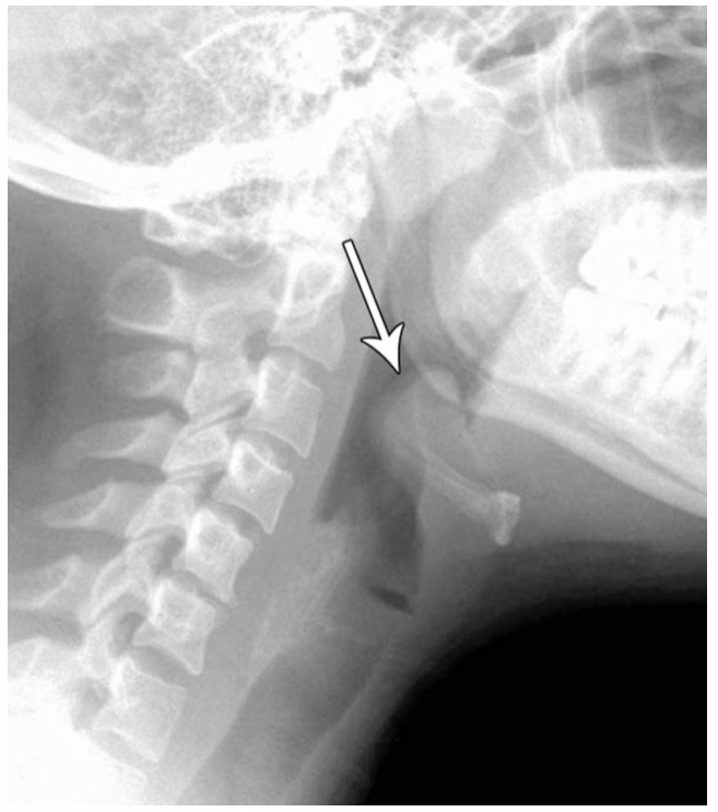
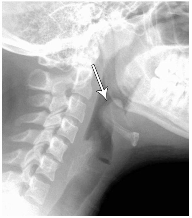
THIS X-RAY IS A SIGN OF WHAT IN PEDIATRICS?
CROUP
THE AVERAGE CIRCULATING BLOOD VOLUME IN A CHILD IS?
80-90 mL/kg
WHAT IS THE NEONATES/INFANTS FLUID RESUSCITATION VOLUME NEEDED?
10 cc/kg <1 yr
WHAT IS THE NEEDED FLUID RESUSCITATION VOLUME NEEDED FOR A CHILD OVER 1 YR?
20 cc/kg > 1 yr