PEDs Flashcards

(40 cards)

1
Q

What are the stages of Odontogenesis/Tooth Development

A
  1. Thickening/Initiation
  2. Bud
  3. Cap
  4. Bell-Histodifferentiation
  5. Bell-Morphodifferentiation
  6. Bell-Apposition
  7. Bell-Maturation
  8. Tooth Eruption
How well did you know this?
1
Not at all
2
3
4
5
Perfectly
2
Q

Tooth Development: Initiation

A

starts: 6 weeks in utero

How well did you know this?
1
Not at all
2
3
4
5
Perfectly
3
Q

Calcification sequence of primary teeth

A

A-14
D-15
B-16
C-17
E-18

How well did you know this?
1
Not at all
2
3
4
5
Perfectly
4
Q

Calcification sequence of permanent teeth

A
How well did you know this?
1
Not at all
2
3
4
5
Perfectly
5
Q

Eruption Sequence of Primary Teeth

A

nxi

How well did you know this?
1
Not at all
2
3
4
5
Perfectly
6
Q

Eruption Sequence for Permanent Teeth

A

MAIN (start with I)

How well did you know this?
1
Not at all
2
3
4
5
Perfectly
7
Q

Supernumery Teeth

A

extra teeth

Most common form=Mesiodens
* occurs at midline of 8/9
* palatal position

migh block normal eruption of permanent teeth

How well did you know this?
1
Not at all
2
3
4
5
Perfectly
8
Q

Primary Teeth: Anomolies of Number

A

Defect in Initiation or Bud Stage

Supernumery
Congenital Missing teeth

How well did you know this?
1
Not at all
2
3
4
5
Perfectly
9
Q

what are the most common congenitally Missing permanent Teeth?

A
  1. 3rds
  2. Mandibular 2nd premolars
  3. Maxillary Laterals
  4. Maxillary 2nd premolars
How well did you know this?
1
Not at all
2
3
4
5
Perfectly
10
Q

What is the most common congenitally missing primary tooth?

A

Primary Max Lateral Incisor

How well did you know this?
1
Not at all
2
3
4
5
Perfectly
11
Q

Anomolies of Size

A

Microdontia (disturbance in bell stage)
Macrodontia (disturbance in bell stage)
Fusion (Cap stage)
Gemination (Cap Stage)

How well did you know this?
1
Not at all
2
3
4
5
Perfectly
12
Q

Microdontia

A

Small teeth

2 forms:
Generalized: all teeth
* down syndrome
* pituitary dwarfism
* ectodermal dysplasia

Localized: 1or 2 teeth
* maxillary peg laterals
* more common

How well did you know this?
1
Not at all
2
3
4
5
Perfectly
13
Q

Macrodontia

A

Big Teeth
* Not Gemination and fusion

2 Forms:
Generalized:
* Pituitary gigantism
* pineal hyperplasia with hyperinsulism

Localized:
* Hemifacial hyperplasia

How well did you know this?
1
Not at all
2
3
4
5
Perfectly
14
Q

Fusion

A

2 buds merge into one tooth
* more common in primary teeth
* only anterior teeth
* count as 1 tooth

How well did you know this?
1
Not at all
2
3
4
5
Perfectly
15
Q

Gemination

A

1 root buds into 2 crowns
* normal tooth count
* share a root

How well did you know this?
1
Not at all
2
3
4
5
Perfectly
16
Q

Shape Anomolies

A

Dens evaginatus
Dens invaginatus
Taurodontism
Dilaceration

How well did you know this?
1
Not at all
2
3
4
5
Perfectly
17
Q

Dens Evaginatus

A

An extra cusp
* contains enamel, dentin, and pulp
* Talon Cusp=Anterior teeth

18
Q

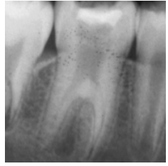
Dens Invaginatus

A

aka Dens in Dente (tooth within tooth)
* caused by invagination of IEE
* quick caries progression through tunnel
* permanent maxillary laterals=most common
* radiograph to dx

19
Q

Taurodontism

A

Vertically elongated pulp chamber & short roots
* Linked to Type IV amelogenesis Imperfecta

20
Q

Dilaceration

A

Abnormal bend in root
* due to trauma to primary tooth

21
Q

Structure Anomolies

A

Enamel hypoplasia
Enamel Hypocalcification
Amelogenesis Imperfecta
Dentinogenesis Imperfecta
Dentin Dysplasia
Regional Odontodysplasia
Concresence
Enamel Pearl

22
Q

Enamel Hypoplasia

A

Failure in Apposition Stage

Turner’s Hypoplasia
* periapical infection or trauma to primary tooth causes inflammatory response that messes up ameloblasts of developing permanent tooth below affected primary tooth

Congenital Syphillis:
* Hutchinson’s Incisors: Hypoplastic notch
* Mulberry Molars:globular enamel

23
Q

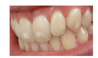
Enamel Hypocalcification

A

Abnormal Mineralization
* results in white spots

24
Q

Amelogenesis Imperfecta

A

Failure in Bell Stage

Autosomal dominant, recessive, or x-linked
* intrinsic alteration of enamel
* affects all teeth (primary & permanent)
* thin to no enamel, dentin and pulp not afffected
* tx: Full coverage crowns for esthetics

25
**Dentinogenesis Imperfecta**
Failure in Bell Stage Autosomal Dominant * intrinsic alteration of dentin * affects all teeth (primary and permanent) * short roots, bell-shaped crowns, **obliterated pulps** * **Bulbous Crowns** in radiographs due to constricted DEJ * **Blue Sclera** (also linked to osteogenesis imperfecta) * tx: Full coverage crowns for esthetics
26
Dentin Dysplasia
Intrinsic alteration of dentin * affects all teeth-primary and permanent **Type 1**: Radicular * **short roots** * premature mobility/exfoliation **Type 2**: Coronal * **chevron pulps**
27
Regional Odontodysplasia
**Ghost Teeth** * occurs in 1 quadrant
28
Concrescence
Joining of 2 adjacent teeth by **cementum only** * maxillary molars=most common
29
Enamel Pearl
**Chunk of enamel** block attachment of sharpeys fibers (type 1 collagen) * periodontal pocket * molars only
30
Distinct features of Primary tooth Anatomy
Thinner Enamel (1mm vs 2mm-permanent) Bigger Pulp Whiter Occlusal directed enamel rods (point up at DEJ) Cervical Bulge (Prominent bulge at primary 1st molar) More Divergent Roots Small or absent root trunk Wider M/D and Short I/G than successors
31
Characteristics of Primary Maxillary Central Incisor
**Widest Anterior MD** Only anterior tooth **Width>Height** Prominent labial and lingual cervical ridges
32
Characteristics of Primary Maxillary Lateral Incisors
NONE
33
Characteristics of Primary Maxillary Canines
Widest Anterior FL Longer & sharper cusp than mandibular K9
34
Characteristics of Primary maxillary 1st molars
Crown resembles Permanent Max 1st premolar Most prominent MF cervical ridge of max primary teeth CEJ Dips more on the mesial
35
Characteristics of Primary Maxillary 2nd Molars
Widest FL Primary tooth crown resembles permanent maxillary 1st molar only primary tooth with: * cusp of carabelli * oblique ridge * DL Groove
36
Characteristics of Primary Mandibular Central Incisor
Smallest FL
37
Characteristics of Primary Mandibular Lateral Incisors
None
38
Characteristics of Primary Mandibular Canine
None
39
Characteristics of Primary Mandibular 1st molar
Most unique tooth CEJ dips more on mesial half ML cusp=ice cream cone cusp * highest and sharpest MB Cusp=Largest
40
Characteristics of Primary Mandibular 2nd Molar
Widest MD of all primary teeth Crown resembles permanent mandibular 1st molar