Explain the pericardium.
A protective covering for the heart.
It consists of an outer fibrous pericardial sac and an inner serous pericardium.
The serous pericardium consists of the inner visceral pericardium and out parietal pericardium.
The inner visceral pericardium lines the heart and great vessels.
The outer parietal pericardium lines the fibrous sac.
Normal amount of pericardial fluid.
20-49 ml
Causes of pericarditis.
Infectious - viral, bacterial, TB, fungal
Post-MI
Malignant pericarditis
Uraemic pericarditis
Myxoedematous pericarditis
Autoimmune pericarditis
Post-traumatic
Post-surgical
Post-radiation
What is pericarditis?
Inflammation of the pericardium
Causes of acute pericarditis.
Usually idiopathic
or
Secondary to;
Viruses
Bacteria
Fungi and parasites
Autoimmune
Drugs
Metabolic
Trauma
Surgery
Malignancy
Clinical features of acute pericarditis.
Central retrosternal chest pain that can be described as pleuritic. It is exacerbated on inspiration and movement + lying flat.
There might be relief of sitting forward.
Pericardial friction rub
Evidence of pericardial effusion or cardiac tamponade
Possible fever
Investigations in acute pericarditis.
ECG
Bloods - FBC, ESR, U&Es, cardiac enzymes (troponin might be increased),
CXR
Echo if suspecting pericardial effusion
CMR and CT may show localised inflammation.
ECG findings in acute pericarditis.
Concave saddle-shpaed ST segment elevation and PR depression.
Sinus tachy
There might be reciprocal ST depression in aVR and V1.

Inflammatory blood tests in pericarditis.
Will be elevated such as CRP, ESR and white cell count.
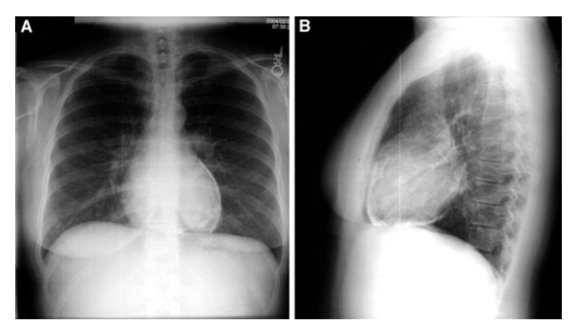
CXR findings in pericarditis.
Possible cardiomegaly if pericardial effusion.
Diagnosis of acute pericarditis.
2 of the 4 following;
Chest pain indicative of pericarditis
Pericardial friction rub
ECG abnormalities indicative of pericarditis
Pericardial effusion
Management of acute pericarditis.
NSAIDs or aspirin with gastric protection for 1-2 weeks.
Treat the pain, the inflammation is usually self-limiting.
Add colchiocine 500 micrograms OD or BD for 3 months to reduce the risk of recurrence.
Rest until symptoms resolve.
Treat the cause.
If not improving or autoimmune basis consider giving steroids or other immunosuppressive therapy.
Cause of chronic pericarditis.
20% of cases of acute pericarditis go on to develop idiopathic relapsing pericarditis.
This may be incessant (recurrent within 6 weeks) or chornic (lasting > 3 months).
Management of chronic pericarditis.
First line is NSAIDs or aspirin + colchicine for up to 6 months.
If it is resistant consider oral corticosteroids.
Some patients might require pericardiectomy.
Causes of malignant pericarditis.
Carcinoma of the bronchus
Carcinoma of the breast
Hodgkin’s lymphoma
Leukaemia
Malignant melanoma
This can also cause pericardial effusion which is commonly haemorrhagic in nature.
What is constrictive pericarditis?
In certain causes the pericardium can become thick, fibrous and calcified.
This leads to the pericardium becoming inelastic so diastolic filling will be impaired.
These changes are chronic meaning that the body will have time to compensate for the changes.
This means that the condition is not as immediately life-threatening as cardiac tamponade.
Causes of constrictive pericarditis.
Usually unknown in the UK
Due to any pericarditis
TB in the rest of the world
Open heart surgery
Dopamine agonists such as cabergoline and pergolide.
Name another condition that is very similar to constrictive pericarditis and is important to distinguish from.
Restrictive cardiomyopathy.
This is important to differentiate between because constrictive pericarditis can be treated but usually restrictive cardiomyopathy cannot.
Clinical features of constrictive pericarditis.
Features of right sided heart failure.
Raised JVP
Kussmaul’s sign (JVP rising paradoxically with inspiration)
Soft, diffuse apex beat
Quiet heart sounds
Diastolic pericardial knock
Hepatosplenomegaly
Ascites
Oedema
Investigations in constrictive pericarditis.
CXR
CT/MRI
Echo
ECG
Endomyocardial biopsy
All of these tests may help to distinguish between constrictive pericarditis and restrictive cardiomyopathy.
CXR findings in constrictive pericarditis.
Small heart +/- pericardial calcifications.

ECG findings in constrictive pericarditis.
Low-voltage QRS with generalised T-wave flattening or inversion.
Management of constrictive pericarditis.
If non-TB then surgical excision of the pericardium is required.
If there is TB + calcifications then surgical excision as well.
If there is TB - calcifications then treat as TB first and wait and see.