Perio Flashcards

(100 cards)

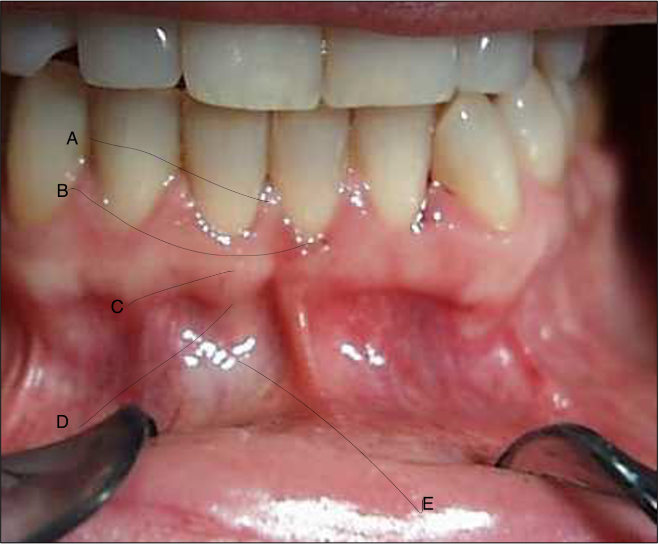
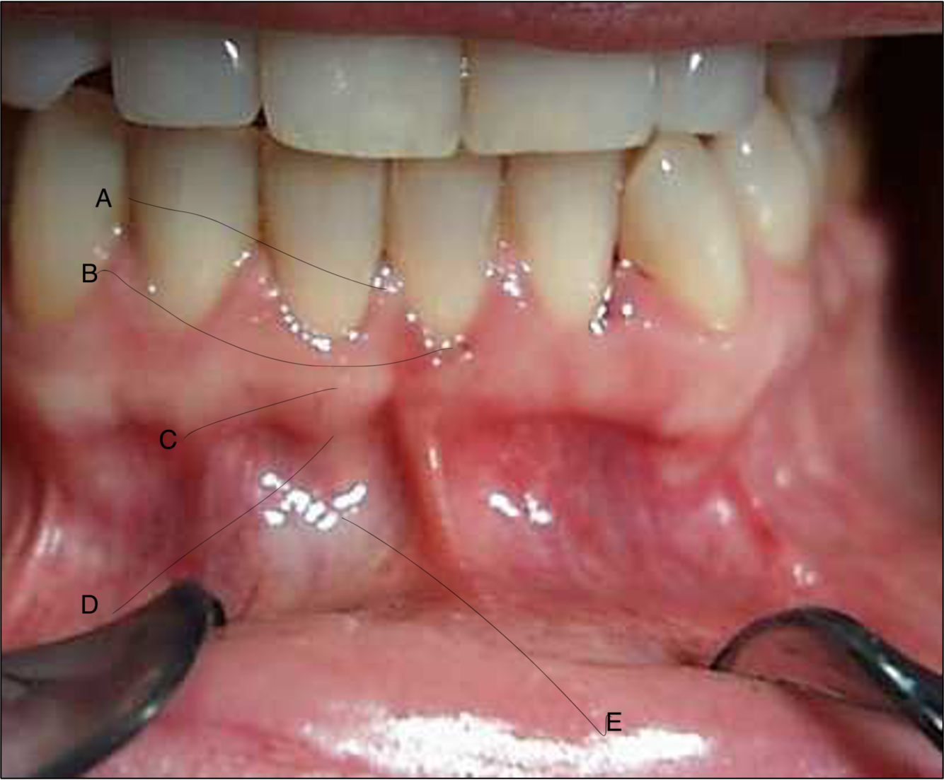
1
Q

What are the following structures commonly known as?

  • interdental papilla
  • marginal gingivae
  • attached gingivae
  • muco-gingival junction
  • oral/alveolar mucosa
A

the investing structures

How well did you know this?
1
Not at all
2
3
4
5
Perfectly
2
Q

What structure is labelled A on the photo?

A

interdental papilla

How well did you know this?
1
Not at all
2
3
4
5
Perfectly
3
Q

What structure is labelled B on the photo?

A

marginal gingivae

How well did you know this?
1
Not at all
2
3
4
5
Perfectly
4
Q

What structure is labelled C on the photo?

A

attached gingivae

How well did you know this?
1
Not at all
2
3
4
5
Perfectly
5
Q

What structure is labelled D on the photo?

A

muco-gingival junction

How well did you know this?
1
Not at all
2
3
4
5
Perfectly
6
Q

What structure is labelled E on the photo?

A

oral/alveolar mucosa

How well did you know this?
1
Not at all
2
3
4
5
Perfectly
7
Q

Which periodontal structure is important to maintain during restorative treatment in order to preserve gum health? (lowest point of the gingival sulcus to the top of the alveolar bone crest)

A

biological width

How well did you know this?
1
Not at all
2
3
4
5
Perfectly
8
Q

What are the 5 functions of the junctional epithelium of gingiva?

A
  • forms attachment to the tooth
  • provides a barrier
  • rapid turnover
  • provides antimicrobial defence
  • GCF flow
How well did you know this?
1
Not at all
2
3
4
5
Perfectly
9
Q

Which type of periodontal ligament fibre is A?

A

alveolar crest fibres

How well did you know this?
1
Not at all
2
3
4
5
Perfectly
10
Q

Which type of periodontal ligament fibre is B?

A

horizontal fibres

How well did you know this?
1
Not at all
2
3
4
5
Perfectly
11
Q

Which type of periodontal ligament fibre is C?

A

inter-radicular fibres

How well did you know this?
1
Not at all
2
3
4
5
Perfectly
12
Q

Which type of periodontal ligament fibre is D?

A

oblique fibres

How well did you know this?
1
Not at all
2
3
4
5
Perfectly
13
Q

Which type of periodontal ligament fibre is E?

A

apical fibres

How well did you know this?
1
Not at all
2
3
4
5
Perfectly
14
Q

What are the characteristics of healthy gingiva?

A
  • pale pink
  • firm
  • stippled gingiva
  • interdental papilla fills the interdental space
  • no recession, BOP or inflammation
How well did you know this?
1
Not at all
2
3
4
5
Perfectly
15
Q

What is the probing depth for healthy gingiva?

A

1-3mm

How well did you know this?
1
Not at all
2
3
4
5
Perfectly
16
Q

Which periodontal disease is the following?

  • reversible
  • inflammation of the gingival tissues mostly plaque induced
A

gingivitis

How well did you know this?
1
Not at all
2
3
4
5
Perfectly
17
Q

Which periodontal disease is the following?

  • irreversible
  • destructive chronic bacterial infection that leads to inflammation in the soft tissues and bone around the teeth
A

periodontitis

How well did you know this?
1
Not at all
2
3
4
5
Perfectly
18
Q

What are 3 putative pathogens of periodontal disease?

A
  • p gingivalis
  • tannerella forsythus
  • treponema denticola
How well did you know this?
1
Not at all
2
3
4
5
Perfectly
19
Q

How long does it take for the initial lesion to form in periodontal disease?

A

2-4 days

How well did you know this?
1
Not at all
2
3
4
5
Perfectly
20
Q

How long does it take for the early lesion to form in periodontal disease?

A

4-10 days

How well did you know this?
1
Not at all
2
3
4
5
Perfectly
21
Q

How long does it take for the established lesion to form in periodontal disease?

A

2-3 weeks

How well did you know this?
1
Not at all
2
3
4
5
Perfectly
22
Q

How long does it take for the advanced lesion to form in periodontal disease?

A

over 3 weeks

How well did you know this?
1
Not at all
2
3
4
5
Perfectly
23
Q

What are 6 signs of gingivitis?

A
  • redness
  • swelling
  • bleeding
  • loss of stippling
  • soft, spongy
  • increased probing depths (false pocketing) due to swelling
How well did you know this?
1
Not at all
2
3
4
5
Perfectly
24
Q

What are 6 signs of periodontitis?

A
  • deepened sulcus (true pocket)
  • subgingival plaque
  • alveolar bone and periodontal ligament destruction
  • loss of normal gingival contour
  • mobility of teeth and/or drifting
  • junctional epithelium receding apically
How well did you know this?
1
Not at all
2
3
4
5
Perfectly
25
What is the cause of periodontal pockets? (abnormal space between tooth and supporting structures)
loss of connective tissue attachment (periodontal ligament and supra gingival fibre destruction)
26
What are 8 risk factors for periodontal disease?
- smoking - systemic disease (eg. diabetes) - genetics - medication - pregnancy - stress - obesity - diet
27
What are 5 methods of managing periodontal disease?
- improvements in OH - hygiene appointments (debridement) - periodontal surgery - adjunctive antibiotic therapy - tooth extraction
28
What 6 ways is periodontal health assessed?
- gingival colour - gingival contour - BOP - pocket depth - radiographs - presence and location of plaque/calculus
29
When taking a BPE, which teeth are scored on patients RHS side?
7-4
30
When taking a BPE, which teeth are scored on patients anteriors?
3-3
31
When taking a BPE, which teeth are scored on patients LHS side?
4-7
32
What is the probing pressure when taking a BPE?
20g
33
When taking a BPE, third molars are usually not included, except from when?
2nd molars are missing
34
When taking a BPE, sextants with only one tooth are scored X and the remaining tooth score is included where?
the adjacent sextant
35
What score is given when taking a BPE when furcation is involved?
*
36
When taking a BPE, what does a code 4 or * indicate?
full 6ppc required
37
When taking a BPE, what score is given for no disease?
score 0
38
When taking a BPE, what score is given for bleeding on probing?
score 1
39
When taking a BPE, what score is given for plaque retentive factors (calculus, overhangs) pockets < 3.5mm?
score 2
40
When taking a BPE, what score is given for pockets > 3.5mm but < 5.5mm (black band partially disappears)?
score 3
41
When taking a BPE, what score is given for deep pockets > 5.5mm (black band disappears)?
score 4
42
If periodontal tissues are too painful for the patient to take a BPE score, what should be done?
- do not persist with BPE - disclose and take photographs - concentrate on OHI - return to BPE at a later date
43
What is the difference between bleeding on probing and marginal bleeding?
- Marginal bleeding reflects how well the patient is able to carry out effective plaque control daily (bleeding from swiping along gum line) - Bleeding on probing from the base of the pockets indicates active diseased sites (bleeding from pockets)
44
During a 6ppc, what 5 measurements are taken?
1. recession 2. probing depth 3. bleeding on probing 4. mobility 5. furcation involvement
45
What treatment would be carried out for a BPE score of 3?
- assess OH and OHI - assess plaque and bleeding - motivation - supra and subgingival scaling to disrupt plaque biofilm in pockets - periodontal pocket depth (PPD) chart of sextants scoring 3 after initial treatment
46
What treatment would be carried out for a BPE score of 4 or * ?
- assess OH and OHI - assess plaque and bleeding - full mouth periodontal assessment - all sextants - supra and subgingival scaling - PPD repeated after initial therapy
47
What are periodontal probes used to determine?
- pocket depth - attachment level - amount of gingival recession - presence of plaque and calculus - anatomical features of the root
48
What is the difference between BPE and PPD scores?
- BPEs are to screen for disease | - PPD are to measure the depth of pockets
49
What are some factors that affect errors that can occur whilst periodontal probing?
- dimensions and shape of probe - positioning of probe - measurement scale - probing force - extent of inflammation
50
What probe positioning error can occur when you get an underestimated PPD?
probe not parallel to long axis of root
51
How should a probe be positioned to get an accurate PPD?
keep probe parallel as possible to long axis of root
52
What are 5 factors that can influence probing depth?
- severity of the disease - thickness of probe - correct placement and pressure - tooth contours - calculus
53
When scoring mobility, what score is given for no detectable movement/physiological mobility (classically up to 0.2mm)?
score 0
54
When scoring mobility, what score is given for mobility of the crown of the tooth 0.2-1mm in the horizontal direction?
score 1
55
When scoring mobility, what score is given for mobility of the crown of the tooth > 1mm in the horizontal direction?
score 2
56
When scoring mobility, what score is given for mobility of the crown of the tooth in both the horizontal and vertical planes?
score 3
57
What instrument is used to measure furcation involvement?
naber probe
58
When measuring furcation, what score is given for naber probe going through 1/3?
grade 1
59
When measuring furcation, what score is given for naber probe going through 2/3?
grade 2
60
When measuring furcation, what score is given for naber probe going through 3/3?
grade 3
61
What treatment implications should be explained to patients prior to periodontal treatment?
gums will recede, therefore roots may become visible and therefore sensitivity
62
Why carry out mechanical plaque removal?
- removes plaque retentive factors - cosmetic - facilitates disrupting the plaque biofilm
63
What is the definition of periodontitis?
involves irreversible changes to, and loss of, bone, cementum and periodontal ligament which support the teeth
64
When diagnosing periodontium as healthy, what are the 2 subcategories of diagnosis?
- intact periodontium | - reduced periodontium
65
What percentage of bleeding on probing should be expected for gingivitis for a patient with intact periodontium?
more than/equivalent of 10%
66
What percentage of bleeding should be expected for a healthy intact periodontium?
less than 10%
67
What is the expected pocket depths for healthy periodontium and/or gingivitis?
less than/equivalent to 3mm
68
What is the expected probing pocket depths for a patient with reduced periodontium but (non periodontitis patient - no previous disease)?
less than/equivalent to 3mm
69
What is the expected bleeding on probing for a patient with reduced periodontium however not due to previous disease and now has a healthy periodontium?
less than 10%
70
What is the expected bleeding on probing for a patient with reduced periodontium however not due to previous disease and now has gingivitis?
more than/equivalent to 10%
71
Would there be any expected probing attachment loss for a patient with a reduced peridontium however not due to previous disease?
yes
72
Would there be any expected probing attachment loss for a patient with successfully treated periodontitis?
yes
73
What is the expected probing pocket depths for a patient with successfully treated periodontitis?
less than/equivalent to 4mm (no site 4mm with BOP)
74
What is the expected bleeding on probing for a patient with successfully treated periodontitis and now stable?
less than 10%
75
What is the expected bleeding on probing for a patient with gingivitis and has a history of periodontitis but is now in remission?
more than/equivalent to 10%
76
What is the expected bleeding on probing percentage for localised gingivitis (1/3 or less of the mouth)?
between 10-30%
77
What is the expected bleeding on probing percentage for generalised gingivitis?
more than 30%
78
What BPE score is given for the following? - no pockets > 3.5mm, no calculus/overhangs - no bleeding after probing - black band completely visible
score 0
79
What BPE score is given for the following? - no pockets > 3.5mm - no calculus/overhangs - bleeding after probing - black band completely visible
score 1
80
What BPE score is given for the following? - no pockets > 3.5mm - supra or subgingival calculus/overhangs - black band completely visible
score 1
81
What is the treatment for a BPE score of 0?
encouragement to continue as they are, no need for periodontal treatment
82
What is the treatment for BPE score of 1?
OHI
83
What is the treatment for BPE score of 2?
- OHI | - removal of plaque retentive factors and calculus
84
What are the 3 subcategories of periodontitis diagnosis?
- localised (less than/equivalent to 30% teeth) - generalised (more than 30% teeth) - molar incisor pattern
85
What is the treatment for a BPE score of 3?
- initial period treatment (OHI, removal of PRFs including supra and subgingival scaling) - appropriate radiographs of affected teeth (PAs) - after 3 months - review and localised 6ppc
86
Code 3 | What is the final diagnosis for less than/equal to 4mm PPD and no radiographic bone loss?
health or gingivitis
87
Code 3 | What is the final diagnosis for more than/equal to 4mm PPD and radiographic bone loss?
- localised perio <30% - generalised perio >30% - molar incisor pattern perio
88
What is the assessments/treatment for BPE score of 4?
- full perio assessment - appropriate radiographic assessment (PAs or OPG) - 6ppc of all teeth, not just the areas scoring 4s
89
When staging periodontitis, what stage is given for - interproximal bone loss of <15% (or 2mm attachment loss from CEJ) - 1-2mm clinical attachment loss - PPD 4mm or less
stage 1 (early/mild)
90
When staging periodontitis, what stage is given for - interproximal bone loss of coronal third of root - 3-4mm clinical attachment loss - tooth loss - PPD 5mm or less
stage 2 (moderate)
91
When staging periodontitis, what stage is given for - interproximal bone loss of mid third of root - 5mm or more clinical attachment loss - bone loss beyond 33% - tooth loss of 4 teeth or more - class 2-3 furcations
stage 3 (severe)
92
When staging periodontitis, what stage is given for - interproximal bone loss of apical third of root - encompasses all of stage 3 but with masticatory dysfunction, secondary occlusal trauma etc
stage 4 (very severe)
93
How is the grading of periodontitis calculated?
% bone loss divided by patient age
94
When grading periodontitis, what grade is given for < 0.5?
grade a (slow rate of progression)
95
When grading periodontitis, what grade is given for 0.5-1.0?
grade b (moderate rate of progression)
96
When grading periodontitis, what grade is given for >1.0?
grade c (rapid rate of progression)
97
What current status is given for the following? - BOP < 10% - PPD equal to/less than 4mm - no BOP at 4mm sites
currently stable
98
What current status is given for the following? - BOP equal to/more than 10% - PPD less than/equal to 4mm - no BOP at 4mm sites
currently in remission
99
What current status is given for the following? | - PPD more than/equal to 5mm or PPD more than/equal to 4mm and BOP
currently unstable
100
Which 6 factors are considered when diagnosing periodontal condition?
- extent of disease - type of disease - stage - grade - current periodontal status - risk factor profile