Abscesses of the periodontium
gingival abscess
periodontal abscess
pericoronal abscess
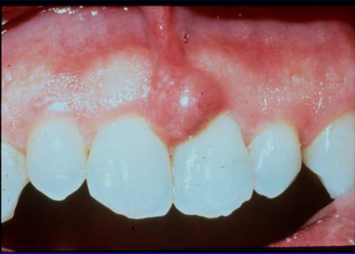
gingival abscess
localized purulent infection that involves the marginal gingiva or interdental papilla
etiology: acute inflammatory response to foreign substances forced into the gingiva
clinical features: localized swelling LIMITED to marginal gingiva or papilla. A red, smooth, shiny surface. May be painful and appear pointed. Purulent exudate may be present. No previous periodontal disease.

periodontal abscess
localized purulent infection w/in the tissues adjacent to the periodontal pocket that may lead to the destruction of periodontal ligament and alveolar bone. Usually pre-existing chronic periodontitis present!!! Occlusion of pocket orifice.
Clinical featuers: smooth, shiny swelling of the gingiva, painful, tender to palpation, purulent exudate, increased probing depth, mobile and/or percussion sensitive, tooth usually vital
A PERIODONTAL EVALUATION FOLLOWING RESOLUTION OF ACUTE SYMPTOMS IS ESSENTIAL!!!

pericoronitis
special type of acute periodontal abscess that occurs when gingival tissue (operculum) overlies an erupting tooth (usually a third molar)
recurring acute symptoms are usually initiated by trauma from the opposing tooth or by impaction of food or debris under the flap of tissue that partially covers the erupting tooth

pericoronitis procedure
relieving the pain is surgical removal of the operculum. Inject local anesthetic directly into the overlying tissue and then cut it away using the outline of the tooth as a guide for the incision. Sutures are not required
irrigate w/ a weak (3%) hydrogen peroxide solution
purulent material can be released by placing the catheter tip of the irrigating syringe under the tissue flap overlying the impacted molar
prescrive oral analgesics for comfort as well as penicillin over the next 10 days
instruct the patient on the importance of cleansing away any food particles that collect beneath the gingival flap
follow-up should be provided to observe the resolution of the acute infection and to evaluate the need for removal of the gingival flap or molar
DO NOT undertake any major blunt dissection while draining pus. This could spread a superficial infection into the deep spaces f the head and neck or follow a deep abscess posteriorly into the carotid sheath
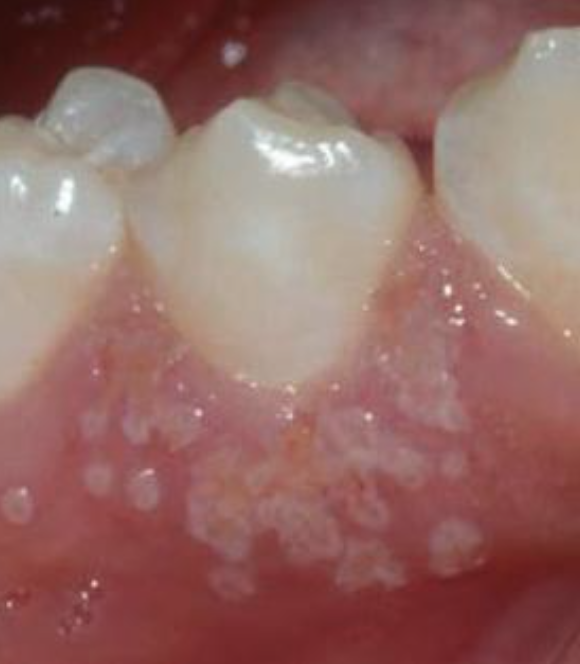
Necrotizing Ulcerative Gingivitis (NUG)
infection characterized by gingival necrosis presenting as “punched-out” papillae, with gingival bleeding and pain and foul smell

primary herpetic gingivo stomatitis
differential diagnosis

necrotizing periodontal disease
treatment: local debridement, oral hygiene instructions, oral rinses, pain control, antibiotics, modify predisposing factors, proper follow-up
the treatment of the necrotizing periodontal diseases is divided into two phases: acute and comprehensive follow up
primary herpetic gingivostomatitis
etiology: herpes simplex virus
age: frequently children
site: gingiva and entire mucosa
symptoms: multiple vesicles which burst leaving small round fibrin-covered ulcers which tend to coalesce. Fever and lymphadenopathy common
duration: 7-14 days
contagious
partial immunity
healing: no perm destruction
primary herpetic gingivostomatitis treatment
bed rest, fluids - forced, nutrition, antipyretics (acetaminophen, not ASA due to risk of reye’s syndrome)
pain relief (viscous lidocaine, benadryl elixir, 50% benadryl elixir/50% maalox)
antiviral medications (immunocompromised patients)
careful plaque removal to limit bacterial super infection of the ulcerations, which delay their healing
in severe cases, including patients w/immunodeficiency, the systemic use of antiviral drugs such as Acyclovir
Recurrent Oral Herpes
Oral lesions usually herpes simplex virus type 1
lesions start as vesicles, rupture and coalesce
limited to keratinized gingiva/mucosa
can cause post-operative pain following dental treatment
treatment: palliative, antiviral medications (consider for treatment of immunocompromised patients, but not for periodic recurrence in healthy patients)

Recurrent Aphthous Stomatitis
“canker sores”
Affects mobile mucosa
small, shallow ulcerations with slightly raised erythematous borders
central area covered by yellow-white pseudomembrane
heals without scarring in 10-14 days
predisposing factors: trauma, stress, food hypersensitivity, previous viral infection, nutritional deficiences
treatment: palliative. Pain relief (topical anesthetic rinses), adequate fluids and nutrition, corticosteriods, oral rinses (chlorohexidine has been anecdotally reported to shorten the course of apthous stomatitis), topical “band aids”, chemical or laser ablation of lesions
Desquamative lesions
lichen planus (erosive), pemphigoid, pemphigus
first line treatment: topical application of 0.05% fluocinonide (lidex) in an adhesive base - can affect: pemphigoid - ocular lesions and skin, pemphigus - can affect any mucous membranes, lichen planus - any mucous membrane or skin
more aggresive treatment with corticosteroids or immunosuppresants is out of scope of care
definitive diagnosis is with biopsy
periodontal restorative considerations
gingival inflammation MUST be controlled before restorative procedures are started!!!
MARGINS are placed in a specific relationship to the host tissues (gingiva and bone). If host tissues are:
undergoing changes (swelling and shrinking from inflammation)
to determine gingival margins of restorations properly
with residual periodontal disease, you CANNOT predictably place margins in desired locations
Biologic Width violations and poor contours
overcontoured sub-gingival margins
overhang

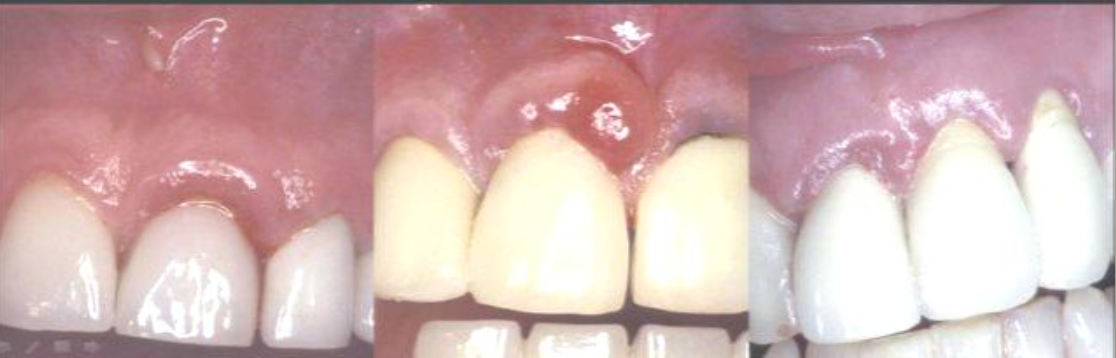
Biologic Width Violation
On the mesial surface of the left central incisor, bone has NOT been lost, but gingival inflammation occurs.
On the distal surface of the left central incisor, bone loss has occurred, and a normal biologic width has been reestablished (one possibility)
The signs of biological width violation
chronic progessive gingival inflammation around the restoration
BOP
localized gingival hyperplasia with minimal bone loss
gingival recession
pocket formation
clinical attachment loss
gingival hyperplasia is most frequently found in altered passive eruption and subgingivally placed restoration margins

When will biological width violation occur?
depends on the restoration
better the marginal integrity and contour of the restoration the longer it will take
restoration failure: if there is inadequate tooth structure for the restoration - metal can fatigue, open up margins and caries will happen
requirements for biologica width and restoration
clinical crown of tooth must be adequate for retention of artificial crown
to get enough retention you may be tempted to place the margin into the junctional epithelium and connective tissue attachment.
Biologic AND Mechanical Requirements for restoration
Apical 1/3 of the prepartion - the greatest retention and resistance of the restoration - ~2mm ferrule height - forces of occlusion dispersed onto the PDL rather than post and core

chamfer/margin = .5 - 1mm
distance from the base of healthy tooth to the crest of bone:
2 + 1 +2 = 5mm
Indications for clinical crown lengthening
caries
occlusal wear
altered or delayed passive eruption
root perforation
fracture of the clinical crown
esthetics
Any factor that diminishes the dimension of the clinical crown
Factors to consider prior to crown lengthening procedure
remaining crown root ratio
will crown lengthening compromise the periodontium of adjacent teeth?
can that tooth stand alone after treatment?
esthetics