most severe inflammatory periodontal disorder caused by plaque bacteria
necrotising gingivitis/periodontitis
effect on pt of necrotising periodontitis/gingivitis
rapidly destructive and debilitating
pattern of ANUG/P
Due to shared predisposing factors in a population (e.g. students during a period of examinations, armed forces recruits) ANUG/P is known to occur in epidemic-type patterns.
This has led to the popular belief that ANUG/P is contagious, but this is not the case.
is ANUG/P contagious
NO
Due to shared predisposing factors in a population (e.g. students during a period of examinations, armed forces recruits) ANUG/P is known to occur in epidemic-type patterns. This has led to the popular belief that ANUG/P is contagious, but this is not the case.
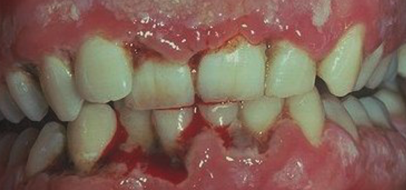
4 main features of NPD
painful
bleeding gums
ulceration
necrosis of interdental papilla
type of infection in NPD
Opportunistic infection – caused by the bacteria inhabiting healthy oral cavity
prevalance of NPD
less than 1% in developed countries
27% in developing countries
NPD is
only one type of periodontal disease
necrotising periodontal disease
severe symptoms - pain, discomfort
NPD can be divided into (5)
necrotising gingivitis NG
necrotising periodontitis NP
necrotising stomatitis NS
necrotising gingivitis
is restricted to gingiva tissue (soft tissue)
necrotising periodotitis NO
involves bone - clinical attachment loss
necrotising stomatitis
disease not restricted to peridontal tissue
oral mucosa is involved
acute and chronic
are descriptors of the disease
chronic periodontal disease
doesnt tend to give severe symptoms to pts - unfortunate because they can present late
(milkd discomfort, bleeding on brushing - present when teeth are mobile)
ANUG
acute necrotising ulcerative gingivitis
ANUP
acute necrotising ulcerative periodontits
old terms for NPD
fusospirochetosis - described bacterial flora involved, not infection
trench mouth - common in trenches in WW1
vincents gingivitis, gingivostomatitis, infection
classed as necrtosing periodontal disease
not vincents angina
vincents angina
diseases of the throat not periodontium
vincents gingivitis NPD and VA occur independently of each other
NUG
Necrotizing ulcerative gingivitis, or simply necrotizing gingivitis (NG), is a common, non-contagious infection of the gums.
If improperly treated NUG may become chronic and/or recurrent.

improper treatment of NUG
If improperly treated NUG may become chronic and/or recurrent.

usual course of NUG
acute
NUP
Necrotizing ulcerative periodontitis (or simply necrotizing periodontitis, NP) or acute necrotizing ulcerative periodontitis (ANUP) is where the infection leads to attachment loss.

NUP and NUG relation
NUP may be an extension of NUG into the periodontal ligaments, although this is not completely proven.
In the meantime, NUG and NUP are classified together under the term necrotizing periodontal diseases NPDs