Peritonitis Flashcards

(35 cards)

1
Q

What is peritonitis?

1 - inflammation of peri-anal area
2 - inflammation of the parenchyme of the liver
3 - inflammation of the peritoneum

A

3 - inflammation of the peritoneum

  • peritoneum is a membrane, a sheet of smooth tissue that lines your abdominopelvic cavity and surrounds your abdominal organs.
How well did you know this?
1
Not at all
2
3
4
5
Perfectly
2
Q

If a patient has peritonitis, but is correctly treated surgically, what is the mortality rate?

1 - 1%
2 - 5%
3 - 10%
4 - 35%

A

3 - 10%

How well did you know this?
1
Not at all
2
3
4
5
Perfectly
3
Q

If a patient has peritonitis, and they develop sepsis, what is the mortality rate?

1 - 1%
2 - 5%
3 - 10%
4 - 35%

A

4 - 35%

How well did you know this?
1
Not at all
2
3
4
5
Perfectly
4
Q

If a patient has spontaneous bacterial peritonitis, what is the mortality rate?

1 - 1-5%
2 - 5-10%
3 - 10-15%
4 - 35-40%

A

3 - 10-15%

How well did you know this?
1
Not at all
2
3
4
5
Perfectly
5
Q

If a patient has had peritonitis previously, what is the reoccurrence rate?

1 - 5%
2 - 10%
3 - 15%
4 - 70%

A

4 - 70%
- in one year

How well did you know this?
1
Not at all
2
3
4
5
Perfectly
6
Q

Peritonitis is an inflammation of the peritoneum, which is a membrane that lines the abdominopelvic cavity and wraps around some organs. How does it generally begin?

1 - local inflammation of abdominal viscus
2 - local inflammation of the omentum
3 - systemic inflammation of all viscera
4 - systemic inflammation of all mesenteries

A

1 - local inflammation of abdominal viscus

  • viscus is singular for visceral, which means internal organs of the cavities
How well did you know this?
1
Not at all
2
3
4
5
Perfectly
7
Q

In peritonitis is the initial pain well localised?

A
  • no
  • once parietal peritoneum is involved pain become localised to viscus affected
  • can become worse if abdominal muscles are engaged
How well did you know this?
1
Not at all
2
3
4
5
Perfectly
8
Q

Is peritonitis generally present in most GI diseases/conditions?

A
  • yes
How well did you know this?
1
Not at all
2
3
4
5
Perfectly
9
Q

If the local peritoneum is insufficient at containing the infection or local cause of peritonitis, what can happen?

1 - viscus affected can become ischaemic and die
2 - generalised peritonitis occurs
3 - all organs in the abdomen become affected
4 - patient will become septic

A

2 - generalised peritonitis occurs

How well did you know this?
1
Not at all
2
3
4
5
Perfectly
10
Q

What is an abscess?

1 - sac filled with fluid or other material lined by epithelial cells
2 - fluid filled area lined by granulation tissue
3 - pus filled collection lined by epithelial cells
4 - pus filled collection lined by granulation tissue

A

4 - pus filled collection lined by granulation tissue

  • generally contains dead tissue, neutrophils, exudate (high protein and LDH)
How well did you know this?
1
Not at all
2
3
4
5
Perfectly
11
Q

What is a cyst?

1 - sac filled with fluid or other material lined by epithelial cells
2 - fluid filled area lined by granulation tissue
3 - pus filled collection lined by epithelial cells
4 - pus filled collection lined by granulation tissue

A

1 - sac filled with fluid or other material lined by epithelial cells

How well did you know this?
1
Not at all
2
3
4
5
Perfectly
12
Q

What is an pseudocyst?

1 - sac filled with fluid or other material lined by epithelial cells
2 - fluid filled area lined by granulation tissue
3 - pus filled collection lined by epithelial cells
4 - pus filled collection lined by granulation tissue

A

2 - fluid filled area lined by granulation tissue

How well did you know this?
1
Not at all
2
3
4
5
Perfectly
13
Q

What is a fistula?

1 - opening lines by granulation tissues
2 - abnormal passageway, or tunnel, in the body, usually both lines by epithelial cells
3 - abnormal passageway, or tunnel, in the body, usually both lines by granulation tissue

A

2 - abnormal passageway, or tunnel, in the body, usually both lines by epithelial cells

How well did you know this?
1
Not at all
2
3
4
5
Perfectly
14
Q

What is a sinus?

1 - sac filled with fluid or other material lined by epithelial cells
2 - fluid filled area lined by granulation tissue
3 - pus filled collection lined by epithelial cells
4 - blind ended tract

A

4 - blind ended tract

How well did you know this?
1
Not at all
2
3
4
5
Perfectly
15
Q

What is an ascites?

1 - fluid filled abscess
2 - fluid filled cyst
3 - fluid filled space in the abdomen
4 - fluid filled organs

A

3 - fluid filled space in the abdomen

How well did you know this?
1
Not at all
2
3
4
5
Perfectly
16
Q

What is the most common cause of peritonitis?

1 - abscess
2 - cyst
3 - pseudocyst
4 - fistula

A

1 - abscess

  • can be due to omentum trying to wall off infection
  • various perforations (appendicitis, diverticulitis, gall bladder, GIT, malignancy or ischaemic bowel)
17
Q

Is generalised peritonitis, which is generally due to infection or chemical irritation due to leakage of bowel contents, dangerous?

18
Q

Generalised peritonitis, which is generally due to infection or chemical irritation due to leakage of bowel contents is very dangerous and can lead to bacterial infection. Which 2 bacteria are the most common cause?

1 - E.coli and Klebsiella
2 - E.coli and Bacteroides
3 - Bacteroides and Klebsiella
4 - Streptococcus and E.coli

A

2 - E.coli and Bacteroides

19
Q

What is primary peritonitis

1 - inflammation of the whole peritoneum
2 - inflammation of peritoneum with no clear intra-abdominal source
3 - inflammation of greater omentum
4 - inflammation of visceral peritoneum

A

2 - inflammation of peritoneum with no clear intra-abdominal source

  • rare but generally due to infection of ascitic fluid in liver disease caused by streptococcus
20
Q

Which of the following are NOT a common symptom of peritonitis?

1 - anorexia
2 - fever
3 - severe generalised abdominal pain radiating to shoulders and back
4 - abdominal pain worse with movement
5 - coughing
6 - melena
7 - sneezing

21
Q

Which of the following is NOT a common sign of peritonitis?

1 - fever
2 - tachycardia
3 - increased BP
4 - generalised abdominal tenderness with guarding, rigidity, rebound tenderness
5 - swinging pyrexia

A

3 - increased BP

22
Q

If peritonitis moves from local to generalised peritonitis, does the patients condition get better or worse?

A
  • declines rapidly
23
Q

If a patient has secondary peritonitis, secondary due to perforation, which of the following is NOT a common sign?

1 - sudden onset of acute and severe abdominal pain
2 - gradual increase in pain and distention
3 - collapse of the patient
4 - patient goes into shock

A

2 - gradual increase in pain and distention

24
Q

If a patient has swinging pyrexia (moves between chills and fever) in suspected peritonitis, what can this suggest?

1 - abscess or pyogenic infection
2 - abscess or cyst
3 - pyogenic infection or cyst

A

1 - abscess or pyogenic infection

  • neutrophils are released but then destroyed
25
Is secondary peritonitis as dangerous as primary peritonitis?
- no - symptoms gradually become worse
26
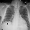
Peritonitis can cause pneumoperitoneum. What imaging modality is best to detect the presence of pneumoperitoneum? 1 - erect chest X-ray 2 - supine chest X-ray 3 - erect MRI scan 4 - erect CT scan
1 - erect chest X-ray - air will rise to the above the liver
27
For a definitive diagnosis of peritonitis, what 2 imaging modalities are most commonly used? 1 - CT and MRI 2 - ultrasound and MRI 3 - ultrasound and X-ray 4 - CT and ultrasound
4 - CT and ultrasound
28
When assessing for peritonitis we need to take bloods. Which of the following is NOT typically raised during peritonitis? 1 - Hb and WCC 2 - CRP 3 - U+Es 4 - amylase 5 - clotting factors 6 - LFTs 7 - bilirubin 8 - group and save (determines patient blood group)
7 - bilirubin
29
If a patient has peritonitis and we suspect ischaemic bowel or pancreatitis, what blood test must we do? 1 - CRP 2 - WCC 3 - ABG 4 - neutrophils
3 - ABG
30
If a patient has suspected bacterial peritonitis, what raised marker in blood is generally enough to begin treatment? 1 - RBCs 2 - neutrophils 3 - WCC 4 - leukocytes
2 - neutrophils
31
If a patient has peritonitis and an abscess has been identified as the cause and is accessible on a CT or ultrasound, what treatment would the patient be given? 1 - ultrasound guided percutaneous drainage 2 - laparotomy and abscess drainage 3 - percutaneous drainage if palpable 4 - fluids and rest
1 - ultrasound guided percutaneous drainage - if unable to drain percutaneously then patient will need a laparotomy to drain the abscess and treat underlying cause
32
In generalised peritonitis the patient is at risk of sepsis. Which of the following is NOT a treatment for patients who becomes septic? 1 - give IV fluid and put in catheter to monitor fluids 2 - prescribe antibiotics (metronidazole + cefuroxime) 3 - place patient on air and measure lactate levels 4 - take blood sample for blood cultures 5 - encourage the patient to eat for calories due to stress
5 - encourage the patient to eat for calories due to stress - patient may also be placed on an NG tube
33
If a patient has generalised peritonitis and requires surgery via laparotomy, which of the following is NOT a treatment? 1 - partial dissection of pancreas as underlying cause 2 - peritoneal and abdominal cavity lavage 3 - treatment of underlying condition (appendicitis etc.)
1 - partial dissection of pancreas as underlying cause
34
If a patient has generalised peritonitis and requires surgery for initial diagnosis, is laparotomy or laparoscopy preferred?
- laparoscopy - minimises wound complications and more rapid recovery
35
If a patient has suspected peritonitis following surgery and presents with swinging pyrexia, high WCC and continued pain) what should we suspect for? 1 - local abscess formation 2 - local ascities 3 - perforation 4 - local cyst formation
1 - local abscess formation - commonly pelvis or subphrenic