What is gain?
Gain: degree of amplification of the returning signal. “Brightness.” This is referring to the amplitude. Analogous to the volume knob on the stereo.
What is Axial Resolution?
The ability of your system to display two structures which are very close togheter, when the structures are in parallel to the US beam. Meaning, what is the minimum distance that 2 objects can be apart and allow your system to still differentiate them as 2 objects and not 1 object?
Poor Axial Resolution = one messy object
Good Axial Resolution = 2 distinct objects

What is the Harmonic Frequency?
It is twice the transmitted frequency
It is used to enhance the appearance of an image
sound is reflected at twice the transmitted frequency
-> a probe emits an ultrasound at 2mHz, but due to harmonics, the image displayed is displayed from a 4mHz sound reflection. Particulary helpful to help us see endocardial boarders.
What is the difference between pulse wave doppler and continuous wave doppler?

What is Temporal Resolution?
Your ability to precisely position moving structures form instant to instant.
Excellent temporal resolution requires a high frame rate
Increase Frame Rate
What is Lateral Resolution?
The ability of your system to display two structures which are very close togheter, when the structures are in perpendicular to the US beam. Meaning, what is the minimum distance that 2 objects can be apart and allow your system to still differentiate them as 2 objects and not 1 object?
Poor Axial Resolution = one messy object
Good Axial Resolution = 2 distinct objects
minimize gain, use lower frequency probe, change focal zone.

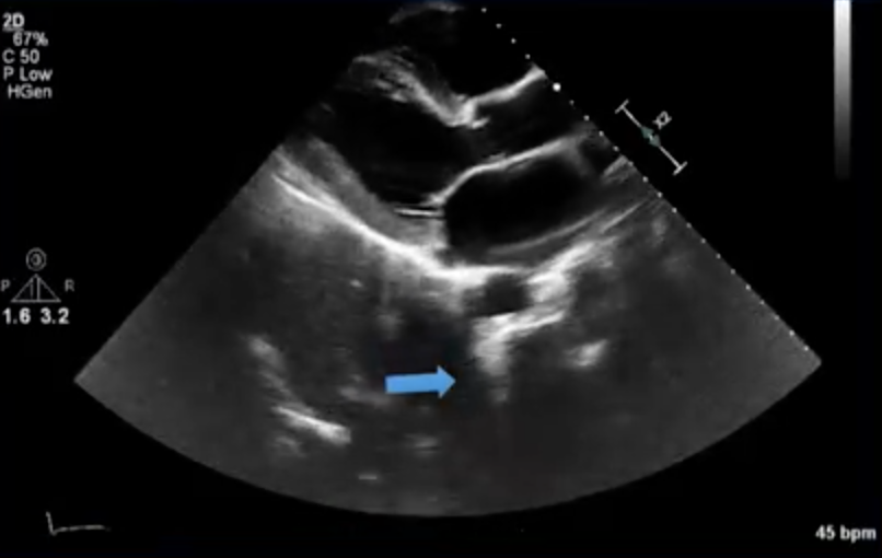
The Artifact seen here….

Acoustic Enhancement
Artifact Shown Here..

An Ultrasound Beam has a Central BEAM as well as Side Beams (side lobes). if you have a bright reflector in the path of the side-lobe the machine will interpret it to be in the center.
Benefit of Harmonic Imaging is that is suppresses the fundamental frequenceis and clutter/side lobe artifacts are easily suppressed.

What is the velocity of propagation for US through soft tissue?
1540m/s

why does it matter. if you needed to calcuate the wavelenght for a given transducer frequency.
Example: what is the wavelnght for a 4MHz transducer through the myocardium
wavelenght = c/f……wavelenght = 1540/4,000,000 = 0.000385m = 0.385mm
Why do you need to have your doppler lined up with the flow of blood?
because if not, the doppler eqution and velocity will be innacurate. both equations require calculating the cosign of the angle of intercept. the cosign of 0 and 180 = 1 and allows this variable to cancel out. If not lined up it throws off the calculation.
Doppler equation = 2xFt

What is Aliasing?
The in abiity to determine speed and direction of blood flow
What is the Thermal Index?
The ratio of transmitted acoustic power needed to increase tissue temp by 1 degree C
* the vast majority of tissues tolerate US very well, Eye may be more sensitve, more prevelant with Doppler and color doppler
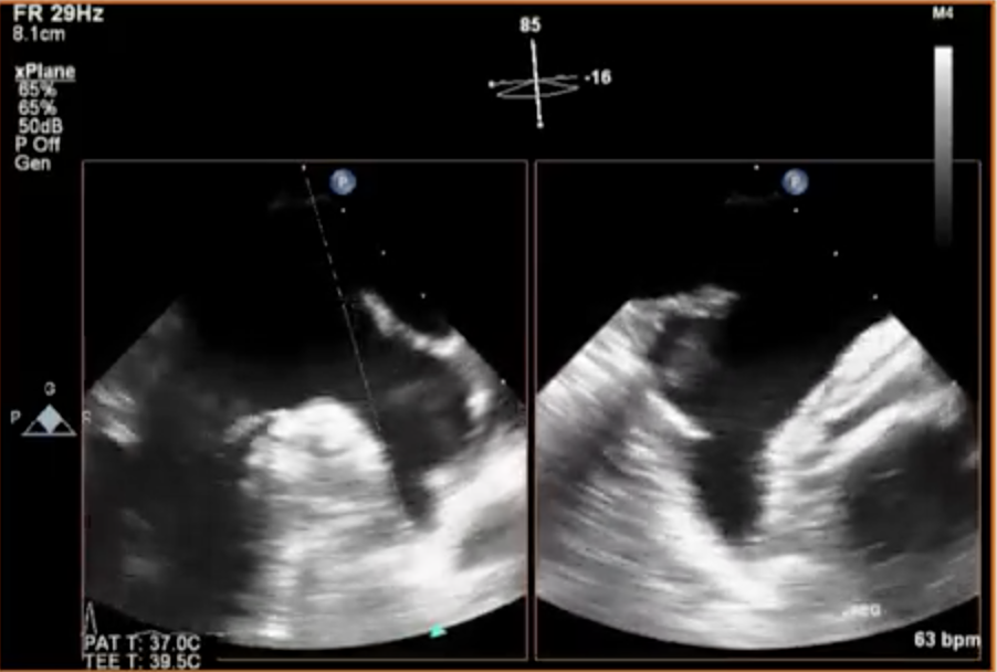
The Type of Artifact Shown Here….

Bright coumadin ridge on TEE with Hazy Structure that could be mistaken for a thrombus but is actually reverbertion of the bright LAA/coumadin ridge

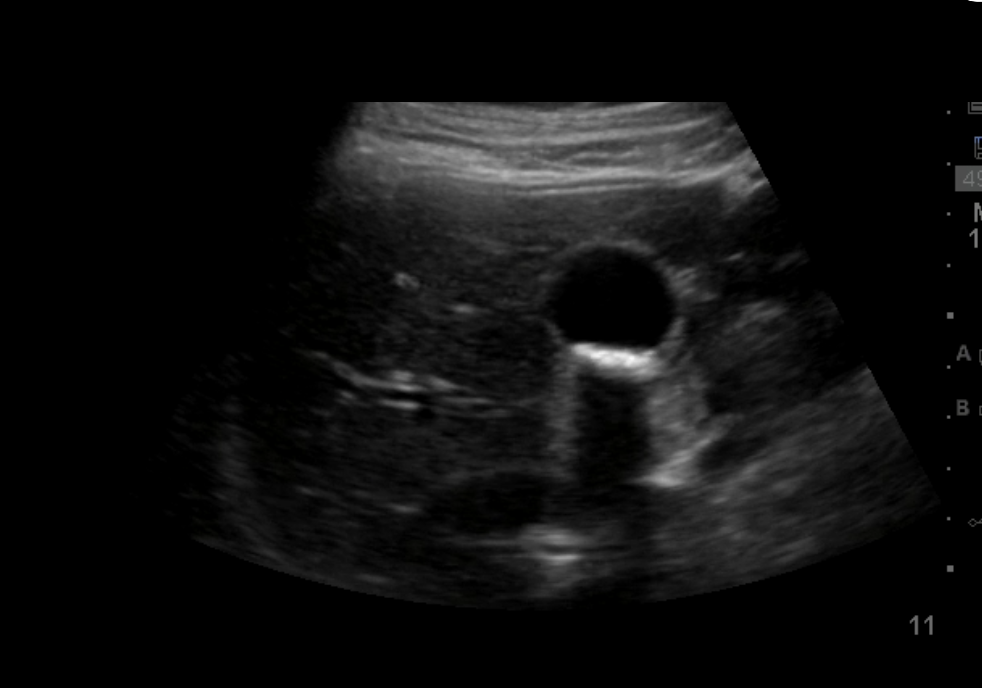
What kind of artifact is illustrated here?

Acoustic shadowing – cause by failure of ultrasound beam to pass through an object resulting in a dark area distal to the reflective/attenuating surface
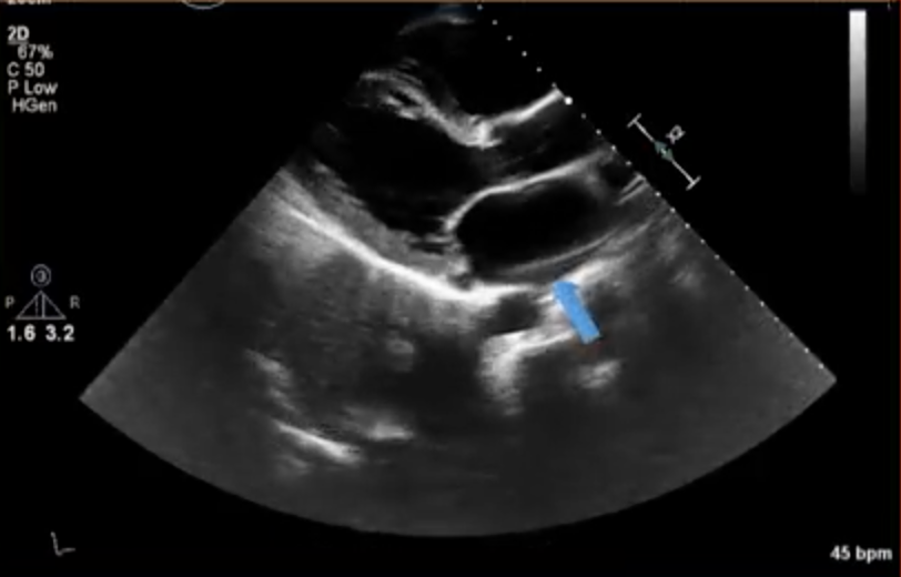
What artifact is illustrated here? (Hint: structure in thorax noted beyond the diaphgram)

Posterior acoustic enhancement – certain media allow efficient propagation of the ultrasound waves, increasing the transmission of the ultrasound wave; the tissue behind the media appears more echogenic.
Whats the difference between ringdown artifact and comet tails/reverberation artifact?
