
Aedes aegypti
Credit: Paul I. Howell, MPH; Prof. Frank Hadley Collins/Centers for Disease Control and Prevention (CDC) (Image Number: 9534)

Aedes albopictus
CDC.gov

Hyalomma marginatum
ECDC

Aedes japonicus
ECDC

Ixodes scapularis

Ixodes ricinus
Bitot’s Spot in vit A deficiency
Bitot’s spot is highly suggestive of vitamin A deficiency and, sometimes, chronic conjunctival inflammation. The condition is characterized by metaplasia of the conjunctival epithelium and tangles of keratin admixed with gas-forming bacteria (e.g., Corynebacterium xerosis), giving the lesion its typical foamy appearance
Bitot’s Spot in Vitamin A Deficiency
Giulio Ferrari, M.D., and Maurizia Viganó, M.D.
N Engl J Med 2013; 368:e29May 30, 2013DOI: 10.1056/NEJMicm1205309
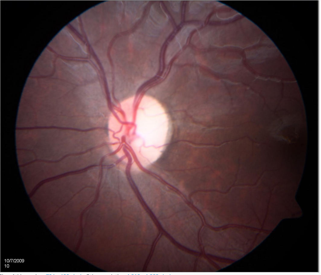
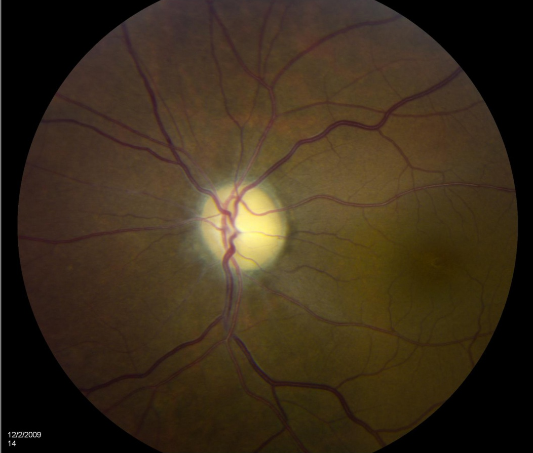
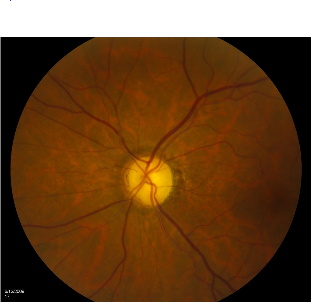
Optic atrophy
Optic atrophy
Optic atrophy
Optic atrophy

Weiss gyűrű
the circular peripapillary attachment that is visible within the vitreous after it has become detached from the optic nerve head.

Hudson-Stähli Line
The Hudson-Stahli line is not associated with any pathology calling for clinical intervention. Formation of the line may depend upon the rate of tear secretion

Schafer’s sign
Retinaleválásnál a retina pigmentsejtjei az elülső csarnokba kerülnek.
Tapsztalatlan vizsgáló nem biztos, hogy észreveszi

Terson syndrome
is the presence of vitreous or sub-internal limiting membrane (ILM) hemorrhage after acute intracranial hemorrhage. It has been hypothesized that the bleeding results when a sudden rise in intracranial pressure causes rupture of retinal and peripapillary vessels. This photo shows a patient with a large sub-ILM hemorrhage.

“reverse hypopyon”
can form when emulsified silicone oil used during vitreoretinal surgery enters the anterior chamber of the eye. The silicone oil floats in the aqueous to look like a layered hypopyon in the upper portion of the anterior chamber.

Herpes keratitis
The fine branching elements distinguish this from the linear or geographic pattern of a traumatic corneal abrasion, although the clinical presentations may be quite similar.