What is this? Which is acute and which is chronic?

dermatitis
top: acute
bottom: chronic
Patient had exposure to irritant.

eczematous, scaly edematous plaques with vesicles in areas of exposure
allergic contact dermatitis

left: poison oak (3-7 cm, lobulated notched edges, groups of 3, 5 or 7, bush)
right: poison ivy (groups of 3s, hairy stem notched edges, 3-15 cm, vines or shrubs)

Rhus allergy
lesions begin as erythematous macules that become papules or plaques, blisters from over one or two days
linear streaks

Rhus allergy

linear streaks, fomites can be contaminated by plant oil and lead to recurrent eruptions
Rhus dermatitis

eyelid allergic contact dermatitis
What allergen might this person be exposed to?

topical antibiotic cream
allergic contact dermatitis
What allergen might this person be exposed to?

nickel allergic contact dermatitis from glasses
What allergen might this person be exposed to?

allergic contact dermatitis from nickel from belt
What allergen might this respiratory therapist be exposed to?

latex allergy
allergic contact dermatitis
What are the possible allergen exposures in these pictures?

allergic contact dermatitis
upper left: neoprene in keyboard pad
lower left: paraphenylenediamene
upper right: shoe
lower right: bleached rubber

allergic contact dermatits
top: bacitracin
low: neomycin in otic suspension

allergic contact dermatitis

allergic contact dermatitis

irritant contact dermatitis
left: pepper spray
right: bleach

atopic dermatitis
a: flexure erythema
b: flexural eczema
c: flexural lichenification
d: circumoral pallor
e: Dennie Morgan folds

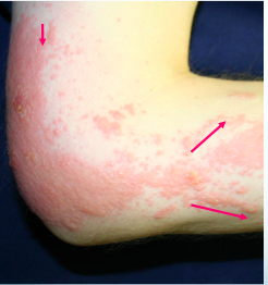
atopic dermatitis
excoriations and lichenification on flexor surfaces of elbow and wrist and on hand

atopic dermatitis

atopic dermatitis

atopic dermatitis

erosions, drainage with yellow crusting indicates infection
atopic dermatitis

multiple wide spread monomorphic punched out discrete erosion with hemorrhagic crusting
eczema herpeticum

coin shaped lesionof acute/subacute dermatitis that are fairly well demarcated
nummular dermatitis/ discoid eczema