Name of lesion and dx

Bacilary angiomatosis = rare gram negative bacillus infection causing vascular lesions
Dx = AIDs


Seborrheic keratosis
-warty with stuck on appearance

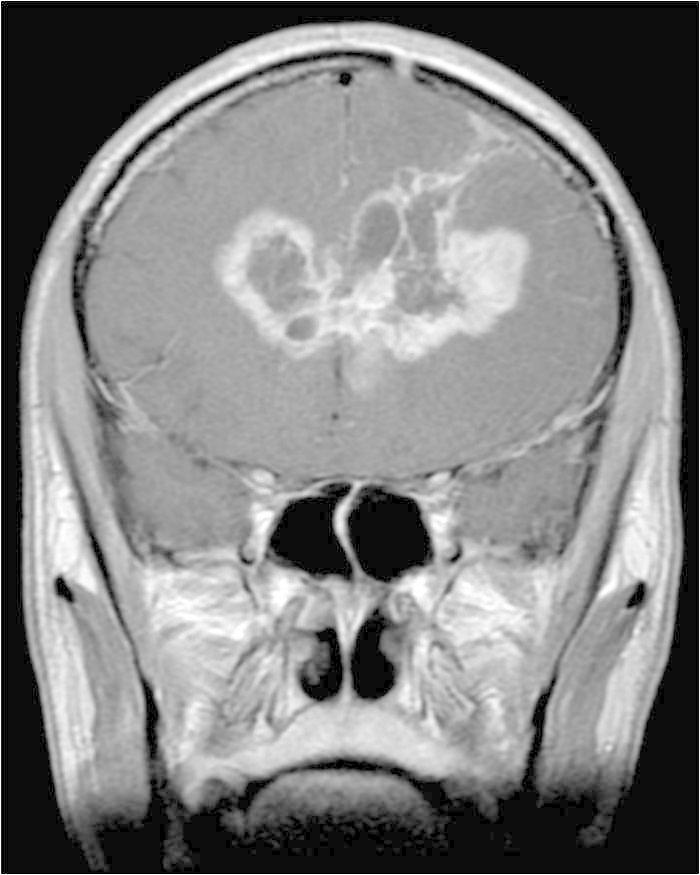
Name the lesion

Classic butterfly appearance of glioblastoma multiforme
-butterfly w/ central necrosis
How to treat

Treating erythema nodosum: disease is usually self-limiting (aka no tx but symptomatic needed)
-but if due to underlying d/o (ex: strep pharyngitis, sarcoidosis): then will resolve w/ tx of underlying d/o
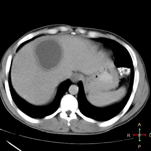
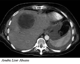
26 yo Mexican M w/ RUQ pain and low fevers

(a) Dx = amebic abscess by intestinal protozoan, entamoeba histolytica
- abdominal pain, fever, leukocytosis, liver abscess of imaging
(b) Tx = empiric metronidazole

PPD induration that is considered positive for
(a) anyone
(b) immunocompromised pts
PPT induration positive in
(a) Anyone: > 15 mm
(b) Immunocompromised: > 5 mm
Identify the lesion

Dermatofibroma = firm, hyperpigmented, dimpled/buttonhole center
Name of finding
(a) Dx

Erythema chronicum migrans
(a) Rash characteristic of early Lyme disease

Squamous vs. basal cell carcinoma

Squamous- more ulcerated nasty appearance
Basal- translucent pearly papule w/ telangectasias

Dx and Tx

Subconjunctival hemorrhage
-benign => tx w/ observation

(a) EKG finding
(b) Dx
(c) Tx

(a) Varying amplitudes (beat by beat variation) in QRS axis and amplitude due to swinging motion of heart in pericardial cavity during pericardial effusion = Electrical alternans
(b) Electrical alternans + sinus tachy = cardiac tamponade
(c) Tx = pericardiocentesis


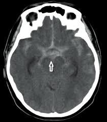
Subarachnoid hemorrhage- blood in cisterns
Etiologies

Epidural vs. subdural hemorrhage appearance on CT


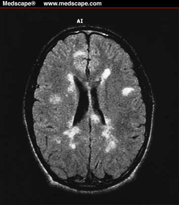
Multiple sclerosis- paraventricular white matter lesions
-multiple, bilateral, asymmetric hyperintense lesions representing clusters of demyelinated neurons


Livedo Reticularis = lace-like purplish discoloration of the skin caused by swelling of venules due to carpillary obstruction by small blood clots
Lots of causes, including connective tissue diseases: SLE, vasculitis, anti-phospholipid syndrome


Dupuytren’s contracture = palmar fibromatosis causing limited extension of the 4th and 5th digit
Men 10x more likely than women, runs in families (genetic component)

Went away then came back

Epidermal (inclusion) cyst = benign nodule usually from trauma or acne (but mostly ppl dont know how it came about)
VS. lipoma- don’t recur and don’t have central punctum


Hidradenitis suppurativa = acne inversa = chronic inflammatory condition involving the sweat glands


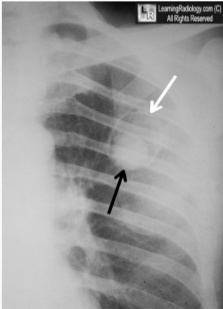
Crescent sign and halo sign = invasive aspergillosis
Solid mass surrounded by radiolucent crescent


Erythema nodosum = red patches on anterior bottom leg (shins)
Etiologies: idiopathic, strep pharyngitis
EN + hilar lymphadenopathy = Sarcoidosis

Which skin cancer is more common in immunosuppressed and transplant pts?
Squamous cell carcinoma

CD4 count of
(a) Pt w/o HIV
(b) Pt w/ HIV at high risk for PCP
CD4 count of
(a) non-HIV pt = 500 - 1,500
(b) HIV pt at pretty high risk for PCP (and other opportunistic infections) when CD4 count gets under 200

Ichthyosis vulgaris = skin disorder causing dry, scaly skin
-autosomal dominant inheritance
Dry, dead skin cells accumulate in patches on surface
-‘fish scale disease’ b/c dead skin accumulates in a patterm similar to fish’s scales


Bamboo sign of thickened/calcified ligament and SI joints fuse
-characteristic of ankylosing spondylitis
