S/p contrast- where is the contrast and where is it not?

CT of SBO- see the contrast stops (doesn’t progress) b/c it’s functionally obstructed!

Differentiate the three chambers of a pleur-evac


Differentiate levels of nodes in breast cancer dissection
Level I = lateral to pec minor
Level II = under pec minor
Level III = medial to pec minor

Give brief overview of FAST exam
FAST = focused assessement w/ sonography during trauma
3 P’s: pericardial, pleural, and peritoneal spaces to assess for fluid/blood/air

What are the inguinal rings holes in?
Deep inguinal ring is a hole in the transversalis fascia
Superficial inguinal ring is a hole in the aponeurosis of the external oblique

Name and differentiate the 4 classifications of hip fractures

Hip fractures classified by anatomic location and fracture type- split into

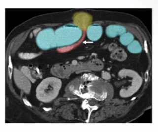
What is this showing…?

SBO 2/2 hernia
-see dilated bowel (blue and yellow) up to rapid transition point, w/ collapsed bowel (red) right after herniated portion of bowel
Most common primary cutaneous neoplasm
Squamous cell carcinoma

Differentiate fusiform vs. saccular aneurysm
Fusiform = symmetric enlargement
Saccular = asymmetric enlargement
-associated w/ infection and trauma

Associated malignancy

Dx = necrolytic migratory erythema
Associated tumor = glucagonoma
Differentiate sigmoid vs. cecal volvulus
Volvulus = obstruction due to twisting or knotting of the GI tract
Dangerous b/c of the risk of ischemia, necrosis, perforation

Describe how to visualize appendix on axial CT slice of the abdomen
Locate appendix btwn the cecum (will be filled w/ contrast and gas) and the right psoas muscle
-joins the cecum btwn 2-6 oclock

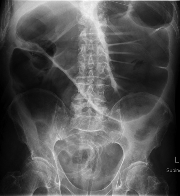
Dx

Dilated large colon (peripherally located and haustra don’t go wall to wall) proximally
-large bowel obstruction


Keloid- scar formation where tissue extends beyond the border of the original wound
Name the 4 boundaries of the inguinal canal
Anterior wall = aponeurosis of the external oblique (contains the superficial inguinal ring)
Posterior wall = transversalis fascia (contains the deep inguinal ring)
Roof -=internal oblique and transversus abdominis
Floor = inguinal ligament, medial ligament on end

Artery most commonly injured in pelvic fracture
Superior gluteal artery
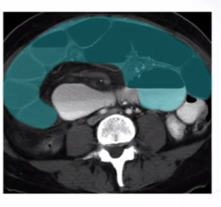
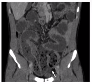
Etiology of this SBO?

The arrow showing a rapid transition point btwn dilated (proximal) and collapsed (distal) bowel
-w/ no other etiology this is diagnostic for SBO 2/2 adhesion
Name 3 places on ultrasound during FAST to assess for peritoneal fluid
Describe location of needle decompression tube to treat tension pneumothorax
Tension pneumothorax- air in the pleural spcae compressing the lung (causes mediastinal shift and pt is unable to breathe)
Needle decompression- right above the 5th rib (avoid the neovascular bundle) at the nipple line, halfway btwn anterior axillary and midaxillary line

Overweight 13 yo boy w/ groin pain found to be limping
Dx
Tx
SCFE = slipped capital femoral epiphysis

Describe the spacial relationship of the two inguinal rings
Spermatic cord enters the inguinal canal laterally thru the depp inguinal ring (opening in the internal oblique and transverse abdominal muscle, or transversalis fascia?)
Then spermatic cord enters medially out the superficial inguinal ring (opening in the external oblique aponeurosis)

37 yo F, 6 mo s/p lap gastric band operation p/w sudden onset severe epigastric and retrosternal chest pain
(a) Slipped gastric band- stomach herniates thru the band (can potentially be caused by overeating if pt’s stomach is forced to stretch)
- causes gastric outlet obstruction
(b) Needs emergency decompression to prevent ischemia/necrosis or gastric perforation

Give brief overview of steps of thyrodectomy

Name the three nerves in the groin region susceptible to injury during hernia repair
