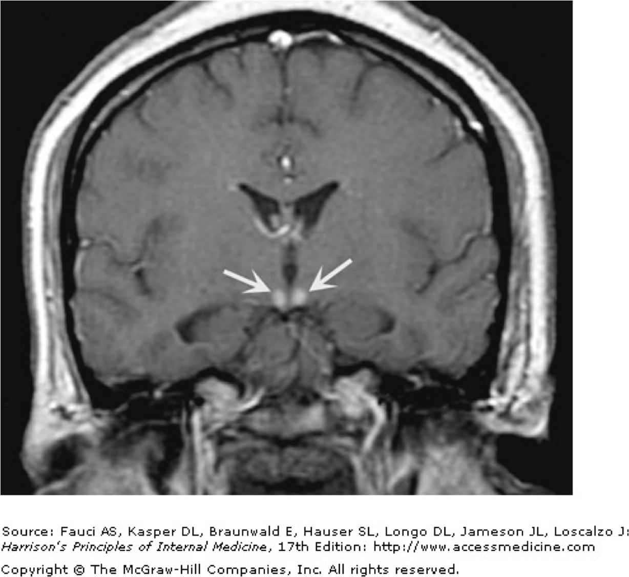
What is shown here?

opthalmoplegia
seen here when the patient is looking to the left
could be a sign of wernicke’s encephalopathy as a part of beri beri, caused by thiamine deficiency
Which condition is implicated here?

Wernicke’s syndrome
mamillary bodies light up b/c of increased blood flow in this area, localizing the injected contrast
What is shown here?

demyelination of lateral & dorsal columns due to vit b12 deficiency. Will cause loss of vibration & pressure.