Pie Flashcards

(44 cards)

1
Q

Articulacion que divide al retropie del mediopie (escafoides y cuboides al astragalo y al calcaneo)

A

Articulacion de Chopart

How well did you know this?
1
Not at all
2
3
4
5
Perfectly
2
Q

Articulación que divide al mediopié del antepié (metatarsos y tarsos)

A

Articulacion de Lisfranc

How well did you know this?
1
Not at all
2
3
4
5
Perfectly
3
Q

cuales son los arcos del pie

A

arco longitudinal lateral
arco longitudinal interno o medial
arco transverso

How well did you know this?
1
Not at all
2
3
4
5
Perfectly
4
Q

que arco esta formado por la cabeza del 5to metatarsiano al 3er metatarsiano

A

arco transverso

How well did you know this?
1
Not at all
2
3
4
5
Perfectly
5
Q

que arco se encarga de distribuir las cargas

A

arco medial o interno

How well did you know this?
1
Not at all
2
3
4
5
Perfectly
6
Q

deformidad en la que se disminuye o incluso desaparece el arco longitudinal medial del pie.

A

pie plano

How well did you know this?
1
Not at all
2
3
4
5
Perfectly
7
Q

aumento del arco longitudinal medial. Se apoya bien la barra lateral, pero casi no hay apoyo de la barra medial.

A

pie cavo

How well did you know this?
1
Not at all
2
3
4
5
Perfectly
8
Q

deformidad en el pie en la que existe una extensión completa del medio pie en la que el talón no llega apoyar el suelo y el antepié apoya completamente en el suelo

A

pie equino

How well did you know this?
1
Not at all
2
3
4
5
Perfectly
9
Q

el talón se apoya y hay una hiperflexión dorsal

A

pie talo

How well did you know this?
1
Not at all
2
3
4
5
Perfectly
10
Q

talón se ve con angulación hacia la línea medial. Toda angulación que va hacía la línea media.

A

talovalgo

How well did you know this?
1
Not at all
2
3
4
5
Perfectly
10
Q

talón se ve con angulación que se ALEJA de la línea medial.

A

talovaro

How well did you know this?
1
Not at all
2
3
4
5
Perfectly
11
Q

si se va hacía adentro el antepié

A

aducto de antepie

How well did you know this?
1
Not at all
2
3
4
5
Perfectly
12
Q

Procesos dolorosos cuyo origen está en la zona de apoyo de las cabezas de los metatarsianos

A

metatarsalgias

How well did you know this?
1
Not at all
2
3
4
5
Perfectly
13
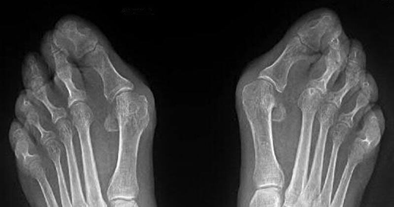
Q

cuales son las patologias del primer metatarsiano
(hallux: articulación)

A

Hallux valgus: articulación se va hacía valgo. Tiene factor genético
Hallux valgus juvenil
Hallux rigidus
Juanete del sastre

How well did you know this?
1
Not at all
2
3
4
5
Perfectly
14
Q

deformidad mas frecuente de ante pie

A

hallux valgus

How well did you know this?
1
Not at all
2
3
4
5
Perfectly
15
Q

factores desencadenantes del hallux valgus

A

Predisposición GENETICA 70% de los casos
TACINES
actividades en punta como ballet

How well did you know this?
1
Not at all
2
3
4
5
Perfectly
16
Q

el Ángulo diafisiario del primer metatarsiano no debe ser mayor de —- cuantos grados?

A

15º

How well did you know this?
1
Not at all
2
3
4
5
Perfectly
17
Q

complicaciones del hallux valgo

A

metatarsalgias vecinas por transferencias
aparicion de un 2° dedo en garra
dolor secundario al uso de clazado
alteraciones en la marcha
irritacion del nervio cutaneo dorsal del 1er dedo

18
Q

en hallux valgo Habrá irritación del nervio:

A

irritacion del nervio cutaneo dorsal del 1er dedo

19
Q

¿Cuándo habrá tratamiento del hallux valgus?

A

solo si es SINTOMÁTICO. Conservados: separador del primer dedo. Quirúrgico/osteotomía: si hay mucho dolor
bunionectomia
tecnica mcbride

20
Q

como se le llama a la artrosis metatarsofalangica de primer dedo

A

hallux rigidus

21
Q

clinica hallux rigidus

A

en la hiperflexión del primer metatarsofálange encontramos mucho dolor porque hay un pinzamiento de la parte dorsal

La maniobra flexión dorsal del metatarso falángica_ causa pellizcamiento = dolor e inflamación

22
Q

que vemos en rx con CARGA de px con hallux rigidus

A

Se verá bunion y disminución del espacio por la artrosis

23
Q

Tratamiento hallux rigidus

A

Tratamiento conservador
- Zapato amplio con una suela rígida para disminuir el movimiento de la articulación
- Calzado sin tacón alto

Tratamiento quirúrgico
Queilectomía (en proceso degenerativo importante)
Osteotomías del metatarsiano o de la falange proximal
Artoplastia de resección (se quitan las superficies articulares)
Artrodesis

24
quessss
juanete de sastre
25
cuales son las alteraciones interfalangicas
Dedo en garra, no ocurre en el primer dedo Dedo en martillo Dedo en mazo, en falange distal o proximal
26
hiperextensión de la articulación MTF, flexión IFP (interfalángica proximal) y posición en flexión o neutro de IFD (distal)
garra
27
hiperextension IFP (interfalángica proximal) y flexion IFD (interfalángica distal)
MAZO
28
metatarsiano mas comun a fracturarse por fatiga o estres ○ En deportistas ○ Encontramos dolor y aumento de volumen
segundo y tercer metatarsiano
29
Como se le conoce a la enfermedad que se caracteriza por necrosis avascular del segundo metatarsiano
* Enfermedad de Freiberg (o Kohler 2) ○ Por sobrecarga ○ Microfracturas de repetición Avascularidad
30
Clínica de la enfermedad de freiberg:
Dolor localizado que no se quita, dolor principalmente e rocker 3 por la zona que afecta
31
¿Cómo se hace el diagnóstico de la necrosis del segundo dedo?
por descarte y será por RM: radiopacidad en el centro de la lesión
32
¿Qué es el neuroma de Morton?
Neuropatía por atrapamiento del nervio intermetatarsiano = DOLOR NEUROPATICO Predominio entre el 3er y 4to dedo En pacientes que corren mucho
33
Necrosis avascular idiopática del escafoides (no se sabe por qué) Más común en hombres de 4 a 5 años de edad
enfermedad de Kohler
34
En el síndrome del túnel del tarso que nervio esta afectado
neuropatia compresiva del TIBIAL POSTERIOR causado por el retinaculo flexor
35
Inflamación de epífisis posterior del calcáneo que causa tracción aquilea constante ○ Tenemos cargas repetitivas de tracción creando microtraumatismos que empiezan a inflamar en px jovenes
enfermedad de sever
36
incidencia en la enf de sever
○ Entre los 10 a 15 años que es cuando todavía no se cierran las fisis de crecimiento ○ Pacientes activos (p. ej que hacen muchas actividades deportivas)
37
Inflamación de la tuberosidad plantar y bursa de la aponeurosis plantar Estrés repetitivo sobre esa fascia y hace que se empiece a inflamar
fascitis plantar
38
factores que predisponen a la fascitis plantar
Obesidad Caminatas largas Pie cavo (fascia plantar más corta) Pie plano (fascia plantar que no soporta bien las cargas) Estar parados mucho tiempo por trabajo
39
clinica fascitis plantar, en que rocker
Dolor punzante en inserción Dolor a la extensión 1er Rocker Dolor en primeros pasos de la mañana o posterior a sedestación
40
tratamiento fascitis plantar
Tratamiento: 90% conservador y fisioterapia Ejercicios de estiramiento y de fortalecimiento Taloneras de Heis
41
Exostosis inserción calcáneo del tendón de Aquiles Inflamación y sensibilidad doloroso Roce con el zapato
enfermedad de haglund
42
¿Cuál es la clínica de la enfermedad de Haglud?
Dolor a la tracción, eritema y sensibilidad en el sitio de inserción del tendón de Aquiles
43
tratamiento enf de haglud
Cambio de calzado por algo más cómodo (chanclas, etc.) Antiinflamatorios Quirúrgico es algo agresivo: inserción en la parte posterior del calcáneo, se quita exostosis y se reinserta el tendón en esa zona