Placa tórax Flashcards

(18 cards)

1
Q

Q: ¿En qué casos se obtiene una radiografía de tórax en proyección anteroposterior (AP)?

A

A: Se obtiene una radiografía AP cuando el paciente no puede estar erguido, como en pacientes gravemente enfermos, frágiles o en situaciones de emergencia, ya sea en la cama o sentado.

How well did you know this?
1
Not at all
2
3
4
5
Perfectly
2
Q

Q: ¿Por qué se prefiere la radiografía de tórax en proyección posteroanterior (PA)?

A

A: Se prefiere la radiografía PA porque la técnica radiográfica es estándar, lo que permite una comparación precisa y válida entre radiografías PA repetidas.

How well did you know this?
1
Not at all
2
3
4
5
Perfectly
3
Q

Q: ¿Cómo se realiza una radiografía de tórax AP en el departamento de radiología?

A

A: En el departamento de radiología, la radiografía AP se realiza cuando el paciente no puede estar erguido; el radiólogo coloca al paciente sentado en una silla con su espalda hacia el cassette.

How well did you know this?
1
Not at all
2
3
4
5
Perfectly
4
Q

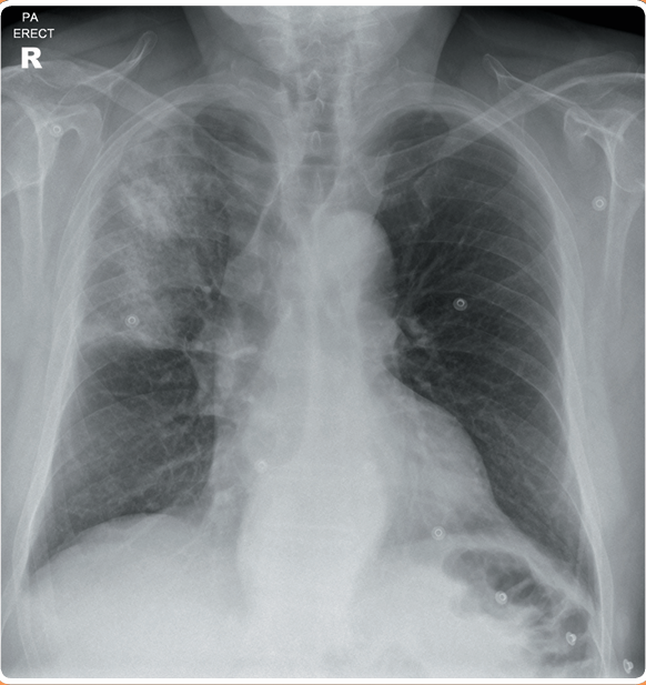
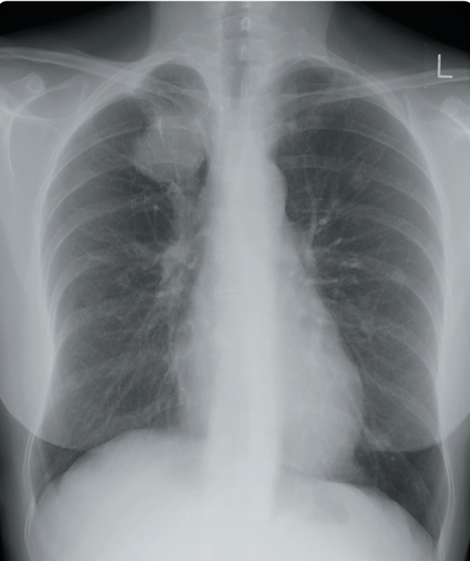
Un hombre de 70 años que vive en un hogar residencial se presenta a la sala de emergencias con aumento de la confusión. Tiene tos productiva y fiebre.
Tiene antecedentes médicos de hipertensión, angina e incapacidad cognitiva leve. Tiene un historial de 25 paquetes-año de tabaquismo. En el examen físico, presenta saturaciones de 89% en aire y fiebre con una temperatura de 38.8°C. Se observa matidez a la percusión y estertores gruesos en el lóbulo superior derecho. Se solicita una radiografía de tórax para evaluar posible neumonía o colapso.

A

ESUMEN, INVESTIGACIONES Y MANEJO
La radiografía muestra una consolidación heterogénea en el lóbulo superior derecho, compatible con neumonía. La consolidación tiene un margen inferior relativamente abrupto, consistente con la fisura horizontal, lo que indica que se trata de neumonía del lóbulo superior derecho. Una opacidad focal en esta región puede representar una consolidación focal o una masa. De manera incidental, también se observa una hernia de hiato.

Las pruebas iniciales de laboratorio pueden incluir hemograma (FBC), análisis de electrolitos y función renal (U/Es), hemocultivos y proteína C reactiva (CRP). También se puede realizar un cultivo de esputo.

El paciente debe ser tratado con antibióticos adecuados para neumonía adquirida en la comunidad, y se debe realizar una radiografía de tórax de seguimiento en 4-6 semanas para asegurarse de que haya resolución. Los antibióticos pueden ser orales o intravenosos dependiendo de la gravedad de la neumonía (según CURB-65).

Si la opacidad focal en el lóbulo superior derecho no se resuelve, sería apropiado realizar una tomografía computarizada (TC) de tórax y abdomen con contraste intravenoso para evaluar un posible tumor pulmonar. También sería útil revisar imágenes previas y las notas del caso para verificar si ya existía alguna anomalía en esta área anteriormente.

How well did you know this?
1
Not at all
2
3
4
5
Perfectly
5
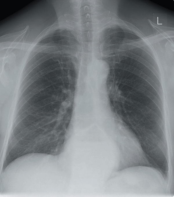
Q

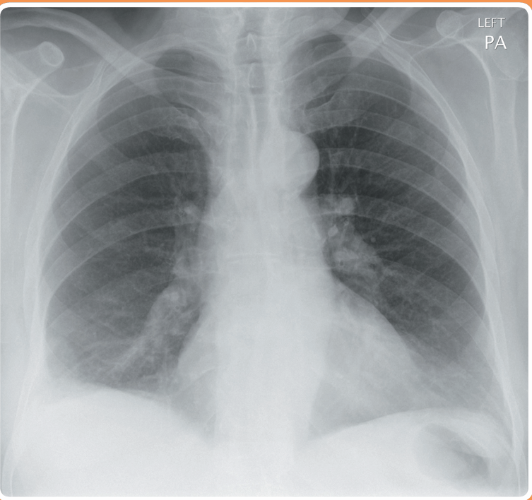
Una mujer de 71 años se presenta a la sala de emergencias con dolor torácico y dificultad para respirar. Hace 2 semanas se sometió a una reemplazo total de cadera izquierdo. No es fumadora. En el examen físico, presenta saturaciones del 91% en aire y no tiene fiebre. Los campos pulmonares son resonantes en toda su extensión, con buena entrada de aire bilateralmente. Se solicita una radiografía de tórax para evaluar posible neumonía, colapso, derrame o embolia pulmonar.

A

RESUMEN, INVESTIGACIONES Y MANEJO
La radiografía muestra un pequeño derrame pleural derecho con consolidación asociada menor. Esto podría reflejar una neumonía con un derrame parapneumónico. La otra principal posibilidad diagnóstica, especialmente debido a la cirugía reciente, es una embolia pulmonar con infarto (consolidación) y derrame pleural.

Se debe administrar oxígeno suplementario.
Las pruebas iniciales de laboratorio pueden incluir gases arteriales, hemograma (FBC), análisis de electrolitos y función renal (U/Es), pruebas de función hepática (LFTs), hemocultivos, coagulación y proteína C reactiva (CRP). Los cultivos de esputo también serían útiles. El D-dímero es poco probable que sea útil debido a la cirugía reciente. Se debe considerar una tomografía computarizada con angiografía pulmonar (CT Pulmonary Angiogram).

El tratamiento con antibióticos o heparina de bajo peso molecular se guiará por los resultados de las investigaciones anteriores.

How well did you know this?
1
Not at all
2
3
4
5
Perfectly
6
Q

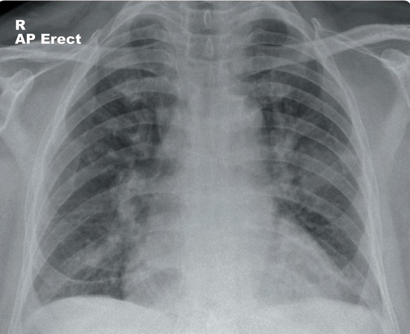
Una mujer de 60 años se presenta a su médico de cabecera con fatiga, pérdida de peso y sibilancias. No tiene antecedentes médicos significativos. No es fumadora. En el examen físico, presenta saturaciones del 99% en aire y no tiene fiebre. Se escucha sibilancia en el lóbulo superior derecho. Se solicita una radiografía de tórax para evaluar posible malignidad o EPOC.

A

RESUMEN, INVESTIGACIONES Y MANEJO
La radiografía muestra una gran lesión redondeada en el lóbulo superior derecho del pulmón, asociada con múltiples nódulos más pequeños. Esto es altamente sospechoso de un cáncer pulmonar primario del lóbulo superior derecho con metástasis pulmonares. El hilio derecho denso es sospechoso de enfermedad nodal hilar. La relevancia del engrosamiento pleural apical derecho no está clara.

Las pruebas iniciales de laboratorio pueden incluir hemograma (FBC), análisis de electrolitos y función renal (U/Es), proteína C reactiva (CRP), pruebas de función hepática (LFTs) y perfil óseo.

El paciente debe ser referido a los servicios de neumología/oncología para un manejo adicional, que puede incluir biopsia y discusión en un equipo multidisciplinario (MDT). El tratamiento, que puede incluir cirugía, radioterapia, quimioterapia o tratamiento paliativo, dependerá del resultado de la discusión en el MDT, las investigaciones y los deseos del paciente.

Se debe realizar una tomografía computarizada (TC) de tórax y abdomen con contraste intravenoso para estadificación.

How well did you know this?
1
Not at all
2
3
4
5
Perfectly
7
Q

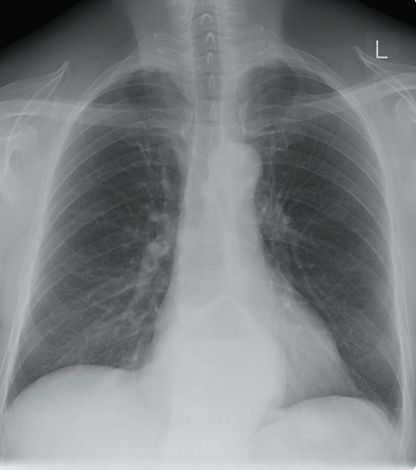
Un hombre de 55 años se presenta a la sala de emergencias con un historial de 2 semanas de tos productiva y dificultad para respirar. Tiene antecedentes de reflujo gastroesofágico. No es fumador. En el examen físico, presenta saturaciones del 100% en aire y no tiene fiebre. Los pulmones son resonantes en toda su extensión, con buena entrada de aire bilateralmente. Se solicita una radiografía de tórax para evaluar posible neumonía, derrame o colapso.

A

RESUMEN, INVESTIGACIONES Y MANEJO
La radiografía muestra una opacidad retrocardíaca con un nivel aire-líquido, consistente con una hernia de hiato de tamaño moderado. Los pulmones están claros.

Se puede requerir tratamiento si la enfermedad por reflujo gastroesofágico es sintomática; de lo contrario, no es necesario tratamiento para la hernia de hiato.

How well did you know this?
1
Not at all
2
3
4
5
Perfectly
8
Q

Un hombre de 54 años se presenta a la sala de emergencias con dificultad respiratoria aguda. Tiene antecedentes de enfermedad arterial isquémica y un historial de 20 paquetes-año de tabaquismo. En el examen físico, está afebril, con saturaciones del 90% en aire. La frecuencia cardíaca es de 100 lpm y la frecuencia respiratoria de 22. Se observa matidez y estertores inspiratorios en ambas zonas bajas. La presión yugular está elevada 4 cm. Se realiza una radiografía de tórax para buscar edema pulmonar.

A

RESUMEN, INVESTIGACIONES Y MANEJO
La radiografía muestra características de insuficiencia cardíaca (cardiomegalia, opacificación intersticial, desvío venoso en los lóbulos superiores y pequeños derrames pleurales).

Se deben realizar análisis de electrolitos y función renal (U/Es) para evaluar la función renal, así como un hemograma (FBC) para detectar cualquier anemia asociada. Un electrocardiograma (ECG) sería útil para buscar posibles cambios eléctricos nuevos. Una ecocardiografía (ECHO) permitiría evaluar la función del ventrículo izquierdo.

El paciente debe ser tratado por edema pulmonar agudo/insuficiencia cardíaca. Una radiografía de tórax de seguimiento puede usarse para monitorear la respuesta al tratamiento.

How well did you know this?
1
Not at all
2
3
4
5
Perfectly
9
Q

Q: ¿Por qué ocurre la ampliación en las radiografías AP?

A

A: Ocurre debido a dos factores:

La distancia más corta entre el tubo de rayos X y el cassette comparada con la distancia estándar de 180 cm en las radiografías PA, lo que produce un haz de rayos X divergente en los márgenes del corazón.
El corazón y el mediastino están más alejados del cassette que en una radiografía PA.

How well did you know this?
1
Not at all
2
3
4
5
Perfectly
10
Q

Q: ¿Cuáles son las desventajas de la ampliación en una radiografía AP?

A

A: Se puede dar una falsa impresión de agrandamiento cardíaco, mediastinal y/o aórtico. Además, la comparación precisa del mediastino con una radiografía PA anterior o posterior es riesgosa.

How well did you know this?
1
Not at all
2
3
4
5
Perfectly
11
Q

Q: ¿Por qué la profundidad de la inspiración es importante en las radiografías?

A

A: Si las caras anteriores de al menos seis costillas no están por encima del domo izquierdo del diafragma, se sospecha que la inspiración es superficial, lo que puede alterar la interpretación de la radiografía.

How well did you know this?
1
Not at all
2
3
4
5
Perfectly
12
Q

Q: ¿En qué situaciones es común la inspiración superficial?

A

A: Es común en personas mayores, pacientes con dolor, pacientes inconscientes y en radiografías realizadas en la cama.

How well did you know this?
1
Not at all
2
3
4
5
Perfectly
13
Q

Q: ¿Qué problemas pueden surgir cuando la inspiración es superficial?

A

A:

El diámetro transversal del corazón puede parecer artificialmente agrandado, ya que el corazón no se desplaza hacia abajo durante una inspiración incompleta.
La falta de expansión completa de los pulmones puede causar congestión de los vasos en las bases pulmonares, lo que puede simular una infección pulmonar basal o áreas de colapso subsegmental.

How well did you know this?
1
Not at all
2
3
4
5
Perfectly
14
Q

Q: ¿Cómo se puede determinar si un paciente está rotado en una radiografía de tórax?

A

A: El paciente no está rotado si una línea vertical trazada a través del centro de los cuerpos vertebrales (T1-T5) es equidistante del extremo medial de cada clavícula. La rotación está presente cuando una clavícula está más alejada de esta línea vertical.

How well did you know this?
1
Not at all
2
3
4
5
Perfectly
15
Q

Q: ¿Qué problemas pueden surgir si un paciente está rotado en una radiografía PA?

A

A: La rotación hacia la derecha puede hacer que el manubrio, la vena cava superior y/o los vasos que surgen del arco de la aorta se proyecten de manera prominente hacia la derecha, lo que puede simular una masa mediastínica.

How well did you know this?
1
Not at all
2
3
4
5
Perfectly
16
Q

Q: ¿Qué problemas pueden surgir si un paciente está rotado en una radiografía AP?

A

A: La rotación hacia la izquierda puede hacer que el arco aórtico aparezca agrandado.

17
Q

Q: ¿Qué efecto puede tener la rotación en la apariencia de los pulmones?

A

A: La rotación es una causa común de que un pulmón aparezca más oscuro que el otro.