Tipos de enfermedades trofoblásticas gestacionales (3)
Mola que no es compatible con la embriogénesis
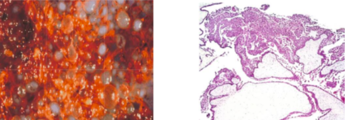
Mola hidatidiforme completa
Cariotipo presente en la mola hidatidiforme completa
Importante aprender
¿Cómo se ve la mola hidatidiforme completa?
Vellosidades hinchadas (racimos de uvas)
Mola resultante de la formación de un embrión temprano
Mola hidatidiforme parcial
¿Cómo se ven las vellosidades en la mola hidatidiforme parcial?
Vellosidades normales
Cariotipo presente en la mola hidatidiforme parcial
Importante aprender
Molas completas con capacidad de invasión
Mola invasiva
La mola invasiva penetra hasta causar:
Ruptura de la pared uterina
La mola invasiva tiene la capacidad de metastatizar
V o F
FALSO: sin capacidad de metastatizar, pero sí de embolizar
Células pueden llegar a pulmones o cerebro
¿Qué se usa para el seguimiento de la mola invasiva y cómo se trata?
Cuadro clínico
Paciente feliz porque piensa que está embarazada, ya que tiene amenorrea y la prueba de embarazo sale positiva. Pero realizamos un USG, donde no ves feto y ves una bola que se ve como copo de nieve, esto es igual a una mola invasiva
¿Por qué la prueba de embarazo salió positiva?
¿Cómo se trata?
Si al momento de retirar la placenta se deja un pedazo, ¿qué puede generarse?
Coriocarcinoma gestacional
Neoplasia maligna de la placenta que puede resultar de una mola completa (50%), después de un aborto (25%) o después de una gestación normal
Coriocarcinoma gestacional
El coriocarcinoma gestacionel es la neoplasia que presenta más:
Necrosis y hemorragia
¿Cómo se presenta el carcinoma gestacional al diagnóstico?
Enfermedad diseminada a pulmones, vagina, encéfalo o hígado
¿De qué se conforma el coriocarcinoma gestacional?
Células neoplásicas de citotrofoblasto y sincitiotrofoblasto
No forma vellosidades
El coriocarcinoma gestacional responde muy bien a la quimioterapia
V o F
VERDADERO