Planimetria Flashcards

(13 cards)

1
Q

La siguiente descripción corresponde a: cuerpo, erguido, pies juntos, brazos a los lados, palmas de las manos hacia delante

A

Posición anatómica

How well did you know this?
1
Not at all
2
3
4
5
Perfectly
2
Q

Qué son los planos anatómicos?

A

Son superficies imaginarias que dividen el cuerpo en diferentes secciones

How well did you know this?
1
Not at all
2
3
4
5
Perfectly
3
Q

Divide el plano en izquierda y derecha

A

Planos sagital

How well did you know this?
1
Not at all
2
3
4
5
Perfectly
4
Q

Es perpendicular al plano sagital y divide en anterior y posterior

A

Plano coronal / frontal

How well did you know this?
1
Not at all
2
3
4
5
Perfectly
5
Q

divide al cuerpo en una parte superior y otra inferior

A

Plano transversal/axial

How well did you know this?
1
Not at all
2
3
4
5
Perfectly
6
Q

Divide el plano en diagonal

A

Plano oblicuo

How well did you know this?
1
Not at all
2
3
4
5
Perfectly
7
Q

Sagital medio o mediosagital

A

Divide el plano a través de la línea media

How well did you know this?
1
Not at all
2
3
4
5
Perfectly
8
Q

Para sagital

A

Divide cualquier región en izquierda y derecha, sin importar que no esté en la línea media del cuerpo 

How well did you know this?
1
Not at all
2
3
4
5
Perfectly
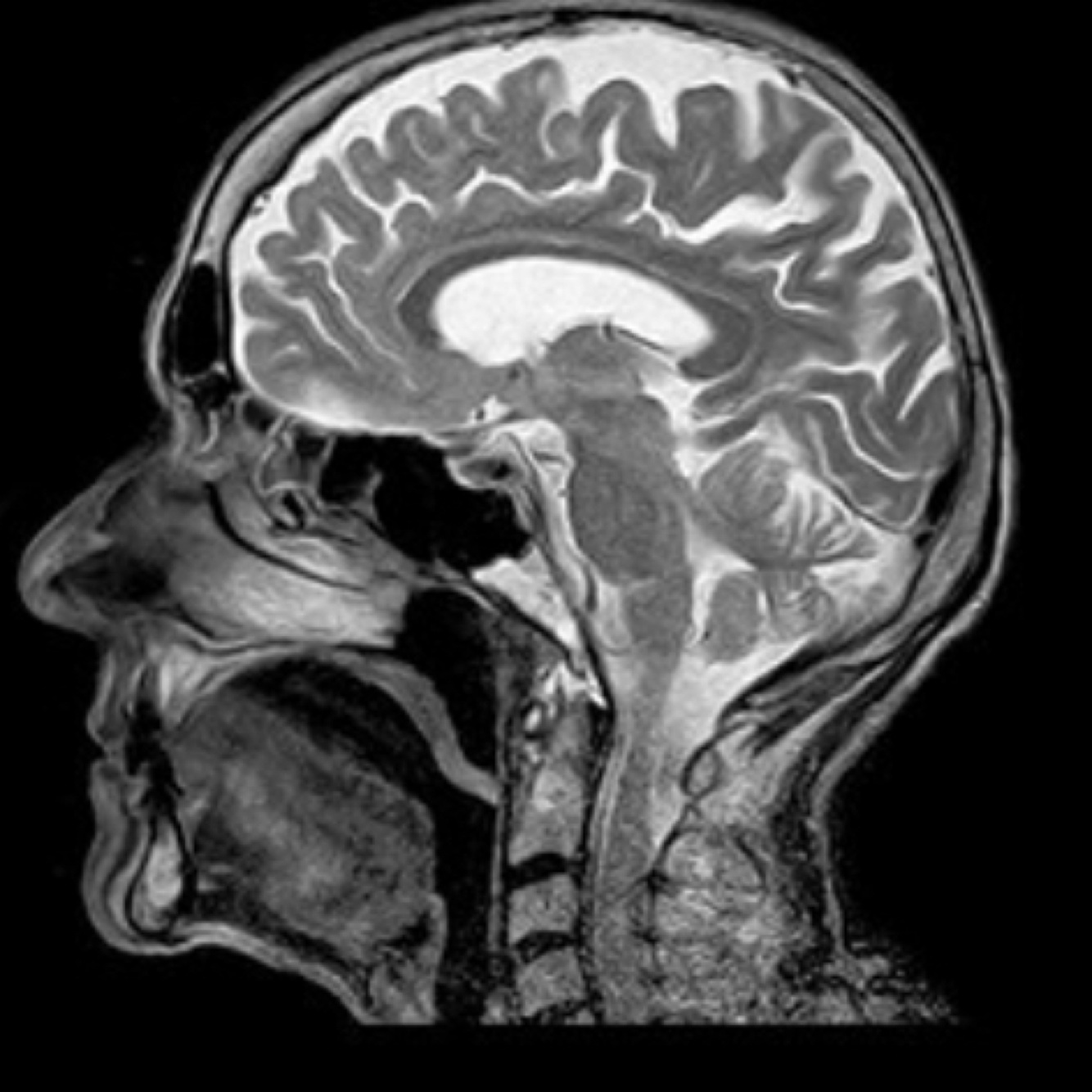
9
Q

Qué corte es?

A

Sagital

How well did you know this?
1
Not at all
2
3
4
5
Perfectly
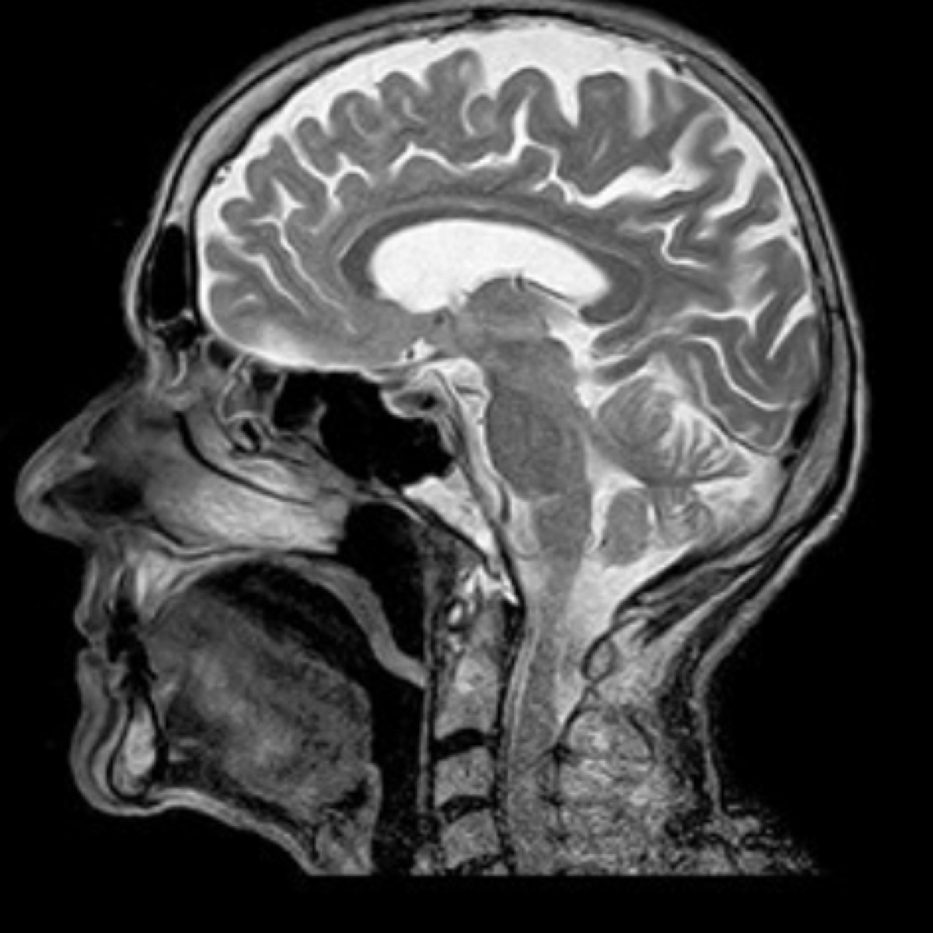
10
Q

Qué corte es?

A

Sagital

How well did you know this?
1
Not at all
2
3
4
5
Perfectly
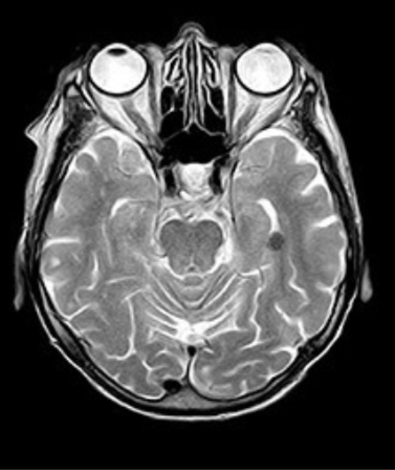
11
Q

Qué corte es?

A

Transversal / Axial

How well did you know this?
1
Not at all
2
3
4
5
Perfectly
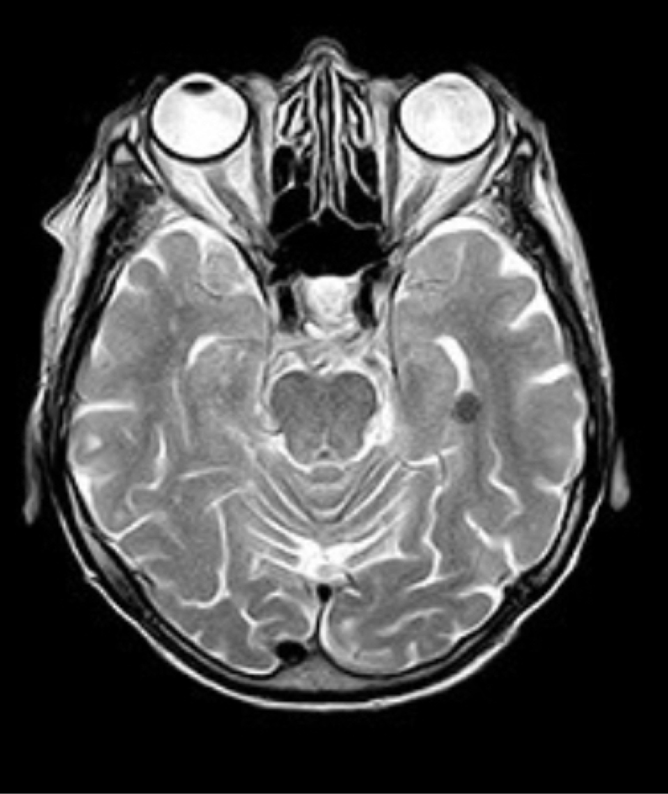
12
Q

Qué corte es?

A

Transversal / Axial

How well did you know this?
1
Not at all
2
3
4
5
Perfectly
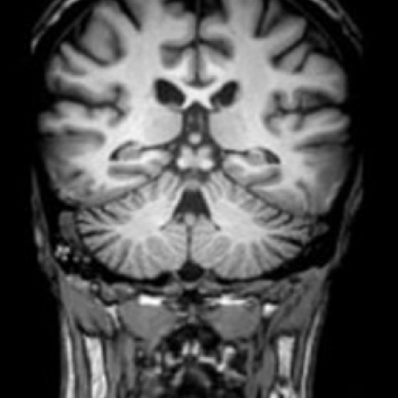
13
Q

Qué cortés?

A

Coronal / frontal

How well did you know this?
1
Not at all
2
3
4
5
Perfectly